Suppr超能文献

腰部皮下颗粒细胞瘤

Subcutaneous granular cell tumour of the lumbar region.

作者信息

Fragulidis Gp, Chondrogiannis Kd, Lykoudis Pm, Karakatsanis A, Georgiou Ca, Vouza E, Melemeni A

机构信息

Department of Surgery, Aretaieio Hospital, Medical School, University of Athens, Athens, Greece.

出版信息

J Cutan Aesthet Surg. 2011 May;4(2):132-4. doi: 10.4103/0974-2077.85039.

Abstract

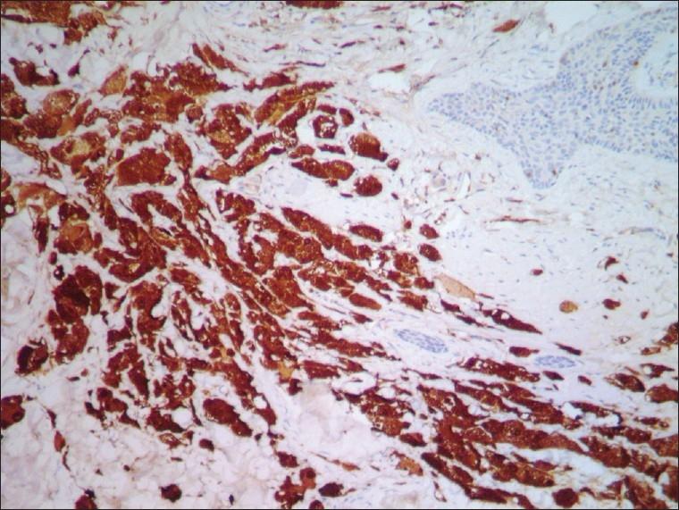
Granular cell tumour (GCT), also known as Abrikossoff tumour, is an uncommon neoplasm, probably of neural origin derived from Schwann cells. It usually presents as a subcutaneous solitary asymptomatic nodule. It has been the subject of much debate in the literature concerning the tumour origin and the association with other malignancies. We report a case of subcutaneous GCT in the lumbar region in a 31-year-old Caucasian male. Although they are a rare entity, GCTs should be considered in the differential diagnosis of the subcutaneous soft tissue tumours. Surgical removal with wide margins is the treatment of choice as malignant changes have been reported after long-term follow-up.

摘要

颗粒细胞瘤(GCT),也称为阿布里科索夫瘤,是一种罕见的肿瘤,可能起源于神经,由施万细胞衍生而来。它通常表现为皮下孤立的无症状结节。关于肿瘤起源以及与其他恶性肿瘤的关联,该肿瘤在文献中一直是诸多争论的主题。我们报告一例31岁白种男性腰部皮下颗粒细胞瘤病例。尽管颗粒细胞瘤是一种罕见的实体瘤,但在皮下软组织肿瘤的鉴别诊断中应考虑到它。由于长期随访后有恶变的报道,因此手术广泛切除是首选的治疗方法。

https://cdn.ncbi.nlm.nih.gov/pmc/blobs/94d3/3183719/716f9ea1e13a/JCAS-4-132-g001.jpg

文献检索

告别复杂PubMed语法,用中文像聊天一样搜索,搜遍4000万医学文献。AI智能推荐,让科研检索更轻松。

立即免费搜索

文件翻译

保留排版,准确专业,支持PDF/Word/PPT等文件格式,支持 12+语言互译。

免费翻译文档

深度研究

AI帮你快速写综述,25分钟生成高质量综述,智能提取关键信息,辅助科研写作。

立即免费体验