Suppr超能文献

一例肾孤立性纤维瘤。

A case of solitary fibrous tumor of the kidney.

作者信息

Naveen H N, Nelivigi Girish N, Venkatesh G K, Suriraju V

机构信息

Department of Urology, Institute of Nephro Urology, Bangalore, India.

出版信息

Urol Ann. 2011 Sep;3(3):158-60. doi: 10.4103/0974-7796.84956.

Abstract

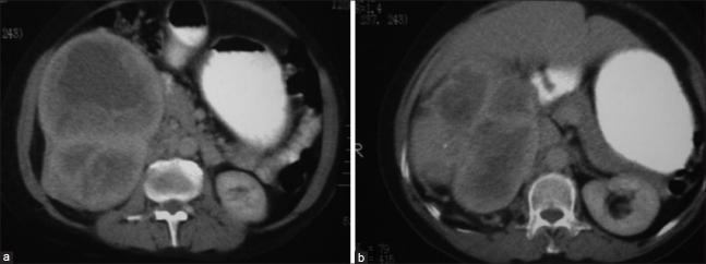
A solitary fibrous tumor (SFT) is an unusual spindle cell neoplasm that usually occurs in the pleura but has recently been described in diverse extrapleural sites. Urogenital localization is rare and to our knowledge, only 39 cases of SFT of the kidney have been described. Although SFT of the kidney is extremely rare, this tumor must be included in the differential diagnosis, whenever a renal tumor consisting of mesenchymal elements is encountered. We report a case of a large SFT of the right kidney which was clinically and radiologically thought to be renal cell carcinoma and a final diagnosis of SFT was made only after immunohistochemical study.

摘要

孤立性纤维瘤(SFT)是一种不常见的梭形细胞肿瘤,通常发生于胸膜,但最近也有在多种胸膜外部位的报道。泌尿生殖系统定位罕见,据我们所知,仅报道过39例肾孤立性纤维瘤。尽管肾孤立性纤维瘤极为罕见,但每当遇到由间充质成分构成的肾肿瘤时,该肿瘤都必须列入鉴别诊断。我们报告一例右肾巨大孤立性纤维瘤病例,临床和影像学检查均考虑为肾细胞癌,仅在免疫组化研究后才最终确诊为孤立性纤维瘤。

https://cdn.ncbi.nlm.nih.gov/pmc/blobs/8a86/3183710/419fc7444930/UA-3-158-g001.jpg

文献检索

告别复杂PubMed语法,用中文像聊天一样搜索,搜遍4000万医学文献。AI智能推荐,让科研检索更轻松。

立即免费搜索

文件翻译

保留排版,准确专业,支持PDF/Word/PPT等文件格式,支持 12+语言互译。

免费翻译文档

深度研究

AI帮你快速写综述,25分钟生成高质量综述,智能提取关键信息,辅助科研写作。

立即免费体验