• 文献检索
  • 文档翻译
  • 深度研究
  • 学术资讯
  • Suppr Zotero 插件Zotero 插件
  • 邀请有礼
  • 套餐&价格
  • 历史记录
应用&插件
Suppr Zotero 插件Zotero 插件浏览器插件Mac 客户端Windows 客户端微信小程序
定价
高级版会员购买积分包购买API积分包
服务
文献检索文档翻译深度研究API 文档MCP 服务
关于我们
关于 Suppr公司介绍联系我们用户协议隐私条款
关注我们

Suppr 超能文献

核心技术专利:CN118964589B侵权必究
粤ICP备2023148730 号-1Suppr @ 2026

文献检索

告别复杂PubMed语法,用中文像聊天一样搜索,搜遍4000万医学文献。AI智能推荐,让科研检索更轻松。

立即免费搜索

文件翻译

保留排版,准确专业,支持PDF/Word/PPT等文件格式,支持 12+语言互译。

免费翻译文档

深度研究

AI帮你快速写综述,25分钟生成高质量综述,智能提取关键信息,辅助科研写作。

立即免费体验

肺黏液表皮样癌:一例报告

Mucoepidermoid carcinoma of the lung: a case report.

作者信息

Kitada Masahiro, Matsuda Yoshinari, Sato Kazuhiro, Hayashi Satoshi, Ishibashi Kei, Miyokawa Naoyuki, Sasajima Tadahiro

机构信息

Department of Surgery, Asahikawa Medical University, Asahikawa, Japan.

出版信息

J Cardiothorac Surg. 2011 Oct 11;6:132. doi: 10.1186/1749-8090-6-132.

DOI:10.1186/1749-8090-6-132
PMID:21985459
原文链接:https://pmc.ncbi.nlm.nih.gov/articles/PMC3207949/
Abstract

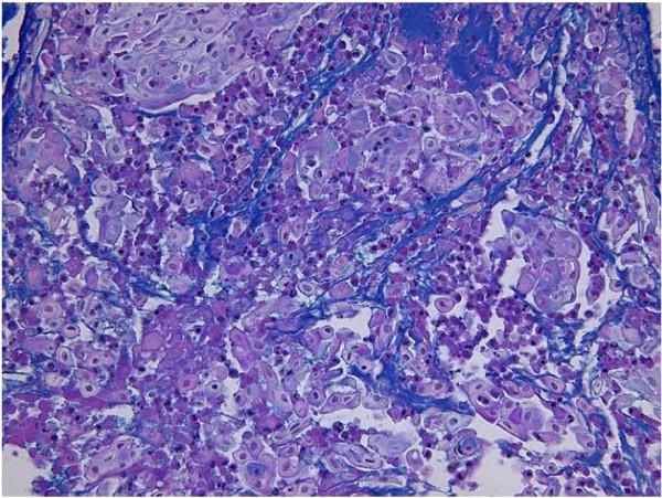
Mucoepidermoid carcinoma of the lung (MEC) is a tumor of low malignant potential of bronchial gland origin. MEC and adenoid cystic carcinoma are both considered to be salivary gland-type neoplasms. MECs are comparatively rare with an incidence of all lung cancers. We recently encountered a case of this type of lung cancer. A 60-year-old man was found to have an abnormal shadow in the left lower lung field on a regular check-up for lung cancer at his company. Chest radiography and CT revealed a mass shadow measuring 30 mm in diameter in the left lower lung field. Bronchoscopy revealed a protuberant tumor in the S9 bronchus, leading to a diagnosis of low-grade MEC by transbronchial lung biopsy. He underwent left lower lobe resection and mediastinal lymph node dissection using VATS. Tumor cells had a scattering of mucus-producing epithelial components in papillary growth of stratified squamous epithelia with anisokaryosis and minimal pleomorphism, indicating a diagnosis of MEC. Because the postoperative course was good and the tumor was low-grade, no adjuvant treatment was administered. The patient has had no signs of tumor recurrence for 9 months, to date, since resection of the tumor.

摘要

肺黏液表皮样癌(MEC)是一种起源于支气管腺体、恶性潜能较低的肿瘤。MEC和腺样囊性癌均被视为涎腺型肿瘤。MEC在所有肺癌中相对少见。我们最近遇到了一例这种类型的肺癌。一名60岁男性在其公司的肺癌定期检查中,发现左下肺野有异常阴影。胸部X线摄影和CT显示左下肺野有一个直径30mm的肿块阴影。支气管镜检查发现S9支气管有一个突出的肿瘤,经支气管肺活检诊断为低级别MEC。他接受了电视辅助胸腔镜手术(VATS)下的左下叶切除和纵隔淋巴结清扫。肿瘤细胞在分层鳞状上皮的乳头状生长中有散在的产生黏液的上皮成分,伴有核异形和轻度多形性,提示MEC诊断。由于术后过程良好且肿瘤为低级别,未给予辅助治疗。迄今为止,自肿瘤切除以来,该患者9个月来没有肿瘤复发的迹象。

https://cdn.ncbi.nlm.nih.gov/pmc/blobs/efe2/3207949/7d579279d868/1749-8090-6-132-5.jpg
https://cdn.ncbi.nlm.nih.gov/pmc/blobs/efe2/3207949/fdfcd4651c87/1749-8090-6-132-1.jpg
https://cdn.ncbi.nlm.nih.gov/pmc/blobs/efe2/3207949/6500a5aa5a02/1749-8090-6-132-2.jpg
https://cdn.ncbi.nlm.nih.gov/pmc/blobs/efe2/3207949/8a2ef30cf177/1749-8090-6-132-3.jpg
https://cdn.ncbi.nlm.nih.gov/pmc/blobs/efe2/3207949/e8957cd0ef61/1749-8090-6-132-4.jpg
https://cdn.ncbi.nlm.nih.gov/pmc/blobs/efe2/3207949/7d579279d868/1749-8090-6-132-5.jpg
https://cdn.ncbi.nlm.nih.gov/pmc/blobs/efe2/3207949/fdfcd4651c87/1749-8090-6-132-1.jpg
https://cdn.ncbi.nlm.nih.gov/pmc/blobs/efe2/3207949/6500a5aa5a02/1749-8090-6-132-2.jpg
https://cdn.ncbi.nlm.nih.gov/pmc/blobs/efe2/3207949/8a2ef30cf177/1749-8090-6-132-3.jpg
https://cdn.ncbi.nlm.nih.gov/pmc/blobs/efe2/3207949/e8957cd0ef61/1749-8090-6-132-4.jpg
https://cdn.ncbi.nlm.nih.gov/pmc/blobs/efe2/3207949/7d579279d868/1749-8090-6-132-5.jpg

相似文献

1
Mucoepidermoid carcinoma of the lung: a case report.肺黏液表皮样癌:一例报告
J Cardiothorac Surg. 2011 Oct 11;6:132. doi: 10.1186/1749-8090-6-132.
2
Rapid metastasis of stage IA primary pulmonary high-grade mucoepidermoid carcinoma with a cystic airspace: a case report and reflection.IA 期原发性肺高分化黏液表皮样癌伴囊性气腔快速转移:1 例报告及反思。
J Int Med Res. 2021 Sep;49(9):3000605211038137. doi: 10.1177/03000605211038137.
3
[Mucoepidermoid carcinoma with high level of serous carcinoembryonic antigen; report of a case].[伴有高水平浆液性癌胚抗原的黏液表皮样癌;一例报告]
Kyobu Geka. 2005 Jul;58(7):592-5.
4
[An experience with surgical treatment for mucoepidermoid carcinoma of the lungs].[肺黏液表皮样癌的外科治疗经验]
Kyobu Geka. 1993 Nov;46(12):1077-9.
5
Fluorine-18-fluorodeoxyglucose positron emission tomography/ computed tomography findings in a pediatric mucoepidermoid carcinoma and differential diagnosis.小儿黏液表皮样癌的氟-18-氟脱氧葡萄糖正电子发射断层扫描/计算机断层扫描表现及鉴别诊断
Hell J Nucl Med. 2017 May-Aug;20(2):172-175. doi: 10.1967/s002449910560. Epub 2017 Jul 12.
6
Pathological complete response to gefitinib in a 10-year-old boy with EGFR-negative pulmonary mucoepidermoid carcinoma: a case report and literature review.一名10岁EGFR阴性肺黏液表皮样癌男孩对吉非替尼的病理完全缓解:病例报告及文献综述
Clin Respir J. 2017 May;11(3):346-351. doi: 10.1111/crj.12343. Epub 2015 Aug 6.
7
[Pulmonary Mucoepidermoid Carcinoma--A Case Report].[肺黏液表皮样癌——病例报告]
Gan To Kagaku Ryoho. 2015 Nov;42(12):1830-2.
8
[Successful treatment of bronchial mucoepidermoid carcinoma by bronchoplasty].[支气管成形术成功治疗支气管黏液表皮样癌]
Kyobu Geka. 2005 Jul;58(7):531-6.
9
Primary salivary gland-type lung cancer: spectrum of clinical presentation, histopathologic and prognostic factors.原发性涎腺型肺癌:临床表现、组织病理学及预后因素谱
Cancer. 2007 Nov 15;110(10):2253-9. doi: 10.1002/cncr.23048.
10
A case of mucoepidermoid carcinoma of the bronchus presented with hydropneumothorax in a child.一名儿童支气管黏液表皮样癌病例表现为气胸合并胸腔积液。
Pediatr Pulmonol. 2014 Mar;49(3):E86-9. doi: 10.1002/ppul.22938. Epub 2013 Oct 25.

引用本文的文献

1
Case report: diagnostic challenges and long-term survival of a child with bronchial mucoepidermoid carcinoma.病例报告:一名支气管黏液表皮样癌患儿的诊断挑战与长期生存情况
Transl Pediatr. 2025 Jul 31;14(7):1700-1707. doi: 10.21037/tp-2025-235. Epub 2025 Jul 28.
2
Nomogram for predicting the survival rate of primary pulmonary mucoepidermoid carcinoma patients: a retrospective study based on SEER database.预测原发性肺黏液表皮样癌患者生存率的列线图:基于SEER数据库的回顾性研究
Ann Transl Med. 2021 Mar;9(5):407. doi: 10.21037/atm-20-6555.
3
Curious case of primary pulmonary mucoepidermoid carcinoma.

本文引用的文献

1
Mucoepidermoid carcinoma of lung: potential target of EGFR-directed treatment.肺黏液表皮样癌:表皮生长因子受体靶向治疗的潜在靶点
Lung Cancer. 2008 Jul;61(1):30-4. doi: 10.1016/j.lungcan.2007.11.014. Epub 2008 Jan 14.
2
Pulmonary mucoepidermoid carcinoma with prominent tumor-associated lymphoid proliferation.伴有显著肿瘤相关淋巴样增生的肺黏液表皮样癌
Am J Surg Pathol. 2005 Mar;29(3):407-11. doi: 10.1097/01.pas.0000151616.14598.e7.
3
Mucoepidermoid tumors of the bronchus.支气管黏液表皮样肿瘤
原发性肺黏液表皮样癌的罕见病例
J Family Med Prim Care. 2019 Dec 10;8(12):4039-4041. doi: 10.4103/jfmpc.jfmpc_731_19. eCollection 2019 Dec.
4
Accidental discovery of a mass on the left main bronchus in a patient undergoing thyroid surgery.在一名接受甲状腺手术的患者中意外发现左主支气管有肿物。
Saudi J Anaesth. 2018 Jul-Sep;12(3):465-467. doi: 10.4103/sja.SJA_6_18.
5
Interventional Bronchoscopic Therapy in Adult Patients with Tracheobronchial Mucoepidermoid Carcinoma.成人气管支气管黏膜表皮样癌的介入性支气管镜治疗。
Chin Med J (Engl). 2017 Oct 20;130(20):2453-2458. doi: 10.4103/0366-6999.216417.
6
Bronchial Foreign Body Alerting of a Bronchial Tumor: The Need of a Follow-Up Radiography.支气管肿瘤的支气管异物警示:后续进行X光检查的必要性。
Case Rep Pediatr. 2016;2016:6714351. doi: 10.1155/2016/6714351. Epub 2016 Nov 22.
7
A 35-year old woman with productive cough and breathlessness.一名35岁的女性,伴有咳痰和呼吸急促症状。
Lung India. 2015 Nov-Dec;32(6):651-4. doi: 10.4103/0970-2113.168106.
8
Pulmonary mucoepidermoid carcinoma in Chinese population: a clinicopathological and radiological analysis.中国人群肺黏液表皮样癌:临床病理与影像学分析
Int J Clin Exp Pathol. 2015 Mar 1;8(3):3001-7. eCollection 2015.
9
Mucoepidermoid carcinoma of the lung: a rare entity.肺黏液表皮样癌:一种罕见的疾病。
Oxf Med Case Reports. 2015 Feb 26;2015(2):203-5. doi: 10.1093/omcr/omv012. eCollection 2015 Feb.
10
Mucoepidermoid lung carcinoma in child.
Ann Med Health Sci Res. 2014 Mar;4(2):276-8. doi: 10.4103/2141-9248.129063.
J Thorac Cardiovasc Surg. 1961 Jul;42:24-31.
4
Bronchogenic carcinoma; an analysis of 100 autopsy cases.支气管源性癌;100例尸检病例分析。
Mil Surg. 1952 Nov;111(5):335-51.
5
Video-assisted sleeve lobectomy for mucoepidermoid carcinoma of the left lower lobar bronchus: a case report.电视辅助下左肺下叶支气管黏液表皮样癌袖状肺叶切除术:1例报告
Chest. 2002 Feb;121(2):635-6. doi: 10.1378/chest.121.2.635.
6
The new World Health Organization classification of lung tumours.世界卫生组织肺癌新分类
Eur Respir J. 2001 Dec;18(6):1059-68. doi: 10.1183/09031936.01.00275301.
7
Mucoepidermoid tumors of the lung.肺黏液表皮样肿瘤
Cancer. 1987 Sep 15;60(6):1346-52. doi: 10.1002/1097-0142(19870915)60:6<1346::aid-cncr2820600631>3.0.co;2-0.
8
Mucoepidermoid lung tumors.黏液表皮样肺肿瘤
Ann Thorac Surg. 1989 Mar;47(3):394-9. doi: 10.1016/0003-4975(89)90380-9.
9
Tracheobronchial mucoepidermoid carcinoma. Clinicopathological features and results of treatment.
J Thorac Cardiovasc Surg. 1978 Oct;76(4):431-8.