• 文献检索
  • 文档翻译
  • 深度研究
  • 学术资讯
  • Suppr Zotero 插件Zotero 插件
  • 邀请有礼
  • 套餐&价格
  • 历史记录
应用&插件
Suppr Zotero 插件Zotero 插件浏览器插件Mac 客户端Windows 客户端微信小程序
定价
高级版会员购买积分包购买API积分包
服务
文献检索文档翻译深度研究API 文档MCP 服务
关于我们
关于 Suppr公司介绍联系我们用户协议隐私条款
关注我们

Suppr 超能文献

核心技术专利:CN118964589B侵权必究
粤ICP备2023148730 号-1Suppr @ 2026

文献检索

告别复杂PubMed语法,用中文像聊天一样搜索,搜遍4000万医学文献。AI智能推荐,让科研检索更轻松。

立即免费搜索

文件翻译

保留排版,准确专业,支持PDF/Word/PPT等文件格式,支持 12+语言互译。

免费翻译文档

深度研究

AI帮你快速写综述,25分钟生成高质量综述,智能提取关键信息,辅助科研写作。

立即免费体验

罗格列酮对胰岛素抵抗和骨质疏松大鼠模型骨质量的影响。

Effect of rosiglitazone on bone quality in a rat model of insulin resistance and osteoporosis.

机构信息

Department of Laboratory Medicine and Pathobiology, University of Toronto, Toronto, Ontario, Canada.

出版信息

Diabetes. 2011 Dec;60(12):3271-8. doi: 10.2337/db10-1672. Epub 2011 Oct 12.

DOI:10.2337/db10-1672
PMID:21998400
原文链接:https://pmc.ncbi.nlm.nih.gov/articles/PMC3219933/
Abstract

OBJECTIVE

Rosiglitazone (RSG) is an insulin-sensitizing drug used to treat type 2 diabetes mellitus. The A Diabetes Outcome Progression Trial (ADOPT) shows that women taking RSG experienced more fractures than patients taking other type 2 diabetes drugs. These were not osteoporotic vertebral fractures but, rather, occurred in the limbs. The purpose of this study was to investigate how RSG treatment alters bone quality, which leads to fracture risk, using the Zucker fatty rat as a model.

RESEARCH DESIGN AND METHODS

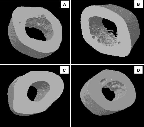
A total of 61 female 4-month-old rats were divided into six groups. One Sham group was a control and another was administered oral RSG 10 mg/kg/day. Four ovariectomized (OVX) groups were dosed as follows: controls, RSG 10 mg/kg, alendronate (ALN, injected at 0.7 mg/kg/week), and RSG 10 mg/kg plus ALN. After 12 weeks of treatment, bone quality was evaluated by mechanical testing. Microarchitecture, bone mineral density (BMD), cortical bone porosity, and bone remodeling were also measured.

RESULTS

OVX RSG 10 mg/kg rats had lower vertebral BMD and compromised trabecular architecture versus OVX controls. Increased cortical bone porosity and decreased mechanical properties occurred in these rats. ALN treatment prevented decreased BMD and architectural and mechanical properties in the OVX model. Reduced bone formation, increased marrow adiposity, and excess bone resorption were observed in RSG-treated rats.

CONCLUSIONS

RSG decreases bone quality. An unusual finding was an increase in cortical bone porosity induced by RSG, consistent with its effect on long bones of women. ALN, an inhibitor of bone resorption, enhanced mechanical strength and may provide an approach to partially counter the deleterious skeletal effects of RSG.

摘要

目的

罗格列酮(RSG)是一种用于治疗 2 型糖尿病的胰岛素增敏药物。A 糖尿病结局进展试验(ADOPT)表明,服用 RSG 的女性比服用其他 2 型糖尿病药物的患者发生更多骨折。这些骨折不是骨质疏松性椎体骨折,而是发生在四肢。本研究旨在使用 Zucker 肥胖大鼠作为模型,探讨 RSG 治疗如何改变导致骨折风险的骨质量。

研究设计和方法

共将 61 只 4 月龄雌性大鼠分为 6 组。1 个 Sham 组作为对照,另 1 个给予口服 RSG 10mg/kg/天。4 个卵巢切除(OVX)组的剂量如下:对照组、RSG 10mg/kg、阿伦膦酸钠(ALN,每周注射 0.7mg/kg)和 RSG 10mg/kg 加 ALN。治疗 12 周后,通过机械测试评估骨质量。还测量了微结构、骨密度(BMD)、皮质骨孔隙率和骨重建。

结果

与 OVX 对照组相比,OVX RSG 10mg/kg 大鼠的椎体 BMD 较低,骨小梁结构受损。这些大鼠的皮质骨孔隙率增加,机械性能降低。ALN 治疗可预防 OVX 模型中 BMD、结构和机械性能的降低。在 RSG 治疗的大鼠中观察到骨形成减少、骨髓脂肪增多和骨吸收过度。

结论

RSG 降低骨质量。一个不寻常的发现是 RSG 引起的皮质骨孔隙率增加,这与其对女性长骨的作用一致。ALN,一种骨吸收抑制剂,增强了机械强度,并可能为部分抵消 RSG 对骨骼的有害影响提供一种方法。

https://cdn.ncbi.nlm.nih.gov/pmc/blobs/529e/3219933/9f98b0ce7344/3271fig2.jpg
https://cdn.ncbi.nlm.nih.gov/pmc/blobs/529e/3219933/f68b1b672886/3271fig1.jpg
https://cdn.ncbi.nlm.nih.gov/pmc/blobs/529e/3219933/9f98b0ce7344/3271fig2.jpg
https://cdn.ncbi.nlm.nih.gov/pmc/blobs/529e/3219933/f68b1b672886/3271fig1.jpg
https://cdn.ncbi.nlm.nih.gov/pmc/blobs/529e/3219933/9f98b0ce7344/3271fig2.jpg

相似文献

1
Effect of rosiglitazone on bone quality in a rat model of insulin resistance and osteoporosis.罗格列酮对胰岛素抵抗和骨质疏松大鼠模型骨质量的影响。
Diabetes. 2011 Dec;60(12):3271-8. doi: 10.2337/db10-1672. Epub 2011 Oct 12.
2
The effect of rosiglitazone on bone mass and fragility is reversible and can be attenuated with alendronate.罗格列酮对骨量和脆性的影响是可逆的,并用阿仑膦酸钠可以减轻这种影响。
J Bone Miner Res. 2013 Jul;28(7):1653-65. doi: 10.1002/jbmr.1918.
3
Rosiglitazone decreases bone mineral density and increases bone turnover in postmenopausal women with type 2 diabetes mellitus.罗格列酮可降低 2 型糖尿病绝经后妇女的骨密度并增加骨转换。
J Clin Endocrinol Metab. 2013 Apr;98(4):1519-28. doi: 10.1210/jc.2012-4018. Epub 2013 Feb 28.
4
Alendronate retards the progression of lumbar intervertebral disc degeneration in ovariectomized rats.阿伦膦酸盐可延缓去卵巢大鼠腰椎间盘退变的进展。
Bone. 2013 Aug;55(2):439-48. doi: 10.1016/j.bone.2013.03.002. Epub 2013 Mar 14.
5
Effects of combination treatment with alendronate and vitamin K(2) on bone mineral density and strength in ovariectomized mice.阿仑膦酸钠和维生素 K2 联合治疗对去卵巢小鼠骨密度和骨强度的影响。
J Bone Miner Metab. 2010 Jul;28(4):403-9. doi: 10.1007/s00774-009-0148-5. Epub 2010 Jan 26.
6
Differential maintenance of cortical and cancellous bone strength following discontinuation of bone-active agents.停用骨活性药物后皮质骨和松质骨强度的差异维持。
J Bone Miner Res. 2011 Mar;26(3):569-81. doi: 10.1002/jbmr.249.
7
Effects of denosumab, alendronate, or denosumab following alendronate on bone turnover, calcium homeostasis, bone mass and bone strength in ovariectomized cynomolgus monkeys.地诺单抗、阿仑膦酸钠或阿仑膦酸钠后用地诺单抗对去卵巢食蟹猴骨转换、钙稳态、骨量和骨强度的影响。
J Bone Miner Res. 2015 Apr;30(4):657-69. doi: 10.1002/jbmr.2401.
8
A rat osteoporotic spine model for the evaluation of bioresorbable bone cements.一种用于评估可生物降解骨水泥的大鼠骨质疏松性脊柱模型。
Spine J. 2007 Jul-Aug;7(4):466-74. doi: 10.1016/j.spinee.2006.06.400. Epub 2007 Apr 6.
9
Can the alendronate dosage be altered when combined with high-frequency loading in osteoporosis treatment?在骨质疏松症的治疗中,与高频加载联合使用时,阿仑膦酸钠的剂量可以改变吗?
Osteoporos Int. 2017 Apr;28(4):1287-1293. doi: 10.1007/s00198-016-3859-1. Epub 2016 Dec 5.
10
Alendronate (ALN) combined with osteoprotegerin (OPG) significantly improves mechanical properties of long bone than the single use of ALN or OPG in the ovariectomized rats.阿仑膦酸钠(ALN)联合护骨素(OPG)可明显改善去卵巢大鼠长骨的力学性能,优于 ALN 或 OPG 的单一使用。
J Orthop Surg Res. 2011 Jul 13;6:34. doi: 10.1186/1749-799X-6-34.

引用本文的文献

1
Potential Metabolic Pathways Involved in Osteoporosis and Evaluation of Fracture Risk in Individuals with Diabetes.潜在的骨质疏松症代谢途径及糖尿病个体骨折风险评估。
Biomed Res Int. 2024 May 23;2024:6640796. doi: 10.1155/2024/6640796. eCollection 2024.
2
H. pylori infection and osteoporosis: a large-scale observational and mendelian randomization study.幽门螺杆菌感染与骨质疏松症:一项大规模观察性和孟德尔随机化研究。
BMC Infect Dis. 2024 Mar 12;24(1):305. doi: 10.1186/s12879-024-09196-1.
3
Bone-kidney axis: A potential therapeutic target for diabetic nephropathy.

本文引用的文献

1
Parathyroid hormone and bisphosphonate have opposite effects on stress fracture repair.甲状旁腺激素和双膦酸盐对应力性骨折修复有相反的影响。
Bone. 2010 Aug;47(2):235-40. doi: 10.1016/j.bone.2010.05.015. Epub 2010 May 16.
2
The peroxisome proliferator-activated receptor-gamma agonist rosiglitazone increases bone resorption in women with type 2 diabetes: a randomized, controlled trial.过氧化物酶体增殖物激活受体-γ 激动剂罗格列酮增加 2 型糖尿病女性的骨吸收:一项随机对照试验。
Calcif Tissue Int. 2010 May;86(5):343-9. doi: 10.1007/s00223-010-9352-5. Epub 2010 Mar 31.
3
Effects of rosiglitazone on bone mineral density and remodelling parameters in Postmenopausal diabetic women: a 2-year follow-up study.
骨-肾轴:糖尿病肾病的潜在治疗靶点。
Front Endocrinol (Lausanne). 2022 Oct 24;13:996776. doi: 10.3389/fendo.2022.996776. eCollection 2022.
4
Betulinic acid decreases lipid accumulation in adipogenesis-induced human mesenchymal stem cells with upregulation of and and post-transcriptional downregulation of adiponectin and leptin secretion.桦木酸可减少脂肪生成诱导的人间充质干细胞中的脂质积累,同时上调 和 ,并在转录后下调脂联素和瘦素分泌。
PeerJ. 2021 Oct 14;9:e12321. doi: 10.7717/peerj.12321. eCollection 2021.
5
Molecular Modulation of Osteoblasts and Osteoclasts in Type 2 Diabetes.2 型糖尿病中破骨细胞和成骨细胞的分子调节。
J Diabetes Res. 2018 Nov 4;2018:6354787. doi: 10.1155/2018/6354787. eCollection 2018.
6
Diabetes pharmacotherapy and effects on the musculoskeletal system.糖尿病药物治疗及其对骨骼肌肉系统的影响。
Diabetes Metab Res Rev. 2019 Feb;35(2):e3100. doi: 10.1002/dmrr.3100. Epub 2018 Dec 20.
7
All-trans retinoic acid shifts rosiglitazone-induced adipogenic differentiation to osteogenic differentiation in mouse embryonic fibroblasts.全反式维甲酸可使罗格列酮诱导的小鼠胚胎成纤维细胞的脂肪生成分化转变为成骨分化。
Int J Mol Med. 2016 Dec;38(6):1693-1702. doi: 10.3892/ijmm.2016.2782. Epub 2016 Oct 19.
8
Metabolic syndrome impairs reactivity and wall mechanics of cerebral resistance arteries in obese Zucker rats.代谢综合征损害肥胖Zucker大鼠脑阻力动脉的反应性和血管壁力学。
Am J Physiol Heart Circ Physiol. 2015 Dec 1;309(11):H1846-59. doi: 10.1152/ajpheart.00691.2015. Epub 2015 Oct 16.
9
The effect of thiazolidinediones on bone mineral density and bone turnover: systematic review and meta-analysis.噻唑烷二酮类药物对骨密度和骨转换的影响:系统评价与荟萃分析。
Diabetologia. 2015 Oct;58(10):2238-46. doi: 10.1007/s00125-015-3660-2. Epub 2015 Jun 25.
10
Cerebral Cortical Microvascular Rarefaction in Metabolic Syndrome is Dependent on Insulin Resistance and Loss of Nitric Oxide Bioavailability.代谢综合征中大脑皮质微血管稀疏依赖于胰岛素抵抗和一氧化氮生物利用度的丧失。
Microcirculation. 2015 Aug;22(6):435-45. doi: 10.1111/micc.12209.
罗格列酮对绝经后糖尿病女性骨密度和重塑参数的影响:一项为期 2 年的随访研究。
Clin Endocrinol (Oxf). 2010 Sep;73(3):305-12. doi: 10.1111/j.1365-2265.2010.03784.x. Epub 2010 Feb 10.
4
The risk of fractures associated with thiazolidinediones: a self-controlled case-series study.噻唑烷二酮类药物相关的骨折风险:一项自我对照病例系列研究。
PLoS Med. 2009 Sep;6(9):e1000154. doi: 10.1371/journal.pmed.1000154. Epub 2009 Sep 29.
5
Vertebral fractures in males with type 2 diabetes treated with rosiglitazone.使用罗格列酮治疗的2型糖尿病男性患者的椎体骨折
Bone. 2009 Oct;45(4):784-8. doi: 10.1016/j.bone.2009.06.006. Epub 2009 Jun 13.
6
PPAR-gamma regulates osteoclastogenesis in mice.过氧化物酶体增殖物激活受体γ调节小鼠破骨细胞生成。
Nat Med. 2007 Dec;13(12):1496-503. doi: 10.1038/nm1672. Epub 2007 Dec 2.
7
PPARgamma inhibits osteogenesis via the down-regulation of the expression of COX-2 and iNOS in rats.过氧化物酶体增殖物激活受体γ通过下调大鼠体内环氧化酶-2和诱导型一氧化氮合酶的表达来抑制骨生成。
Bone. 2007 Oct;41(4):562-74. doi: 10.1016/j.bone.2007.06.017. Epub 2007 Jul 4.
8
Three years of alendronate treatment results in similar levels of vertebral microdamage as after one year of treatment.三年的阿仑膦酸盐治疗导致的椎体微损伤水平与一年治疗后的相似。
J Bone Miner Res. 2007 Nov;22(11):1759-65. doi: 10.1359/jbmr.070720.
9
Longitudinal analysis of mesenchymal progenitors and bone quality in the stem cell antigen-1-null osteoporotic mouse.干细胞抗原-1缺失骨质疏松小鼠间充质祖细胞与骨质量的纵向分析
J Bone Miner Res. 2007 Sep;22(9):1373-86. doi: 10.1359/jbmr.070604.
10
Peroxisome proliferator-activated receptors (PPARs) in the control of bone metabolism.过氧化物酶体增殖物激活受体(PPARs)对骨代谢的调控
Fundam Clin Pharmacol. 2007 Jun;21(3):231-44. doi: 10.1111/j.1472-8206.2007.00486.x.