• 文献检索
  • 文档翻译
  • 深度研究
  • 学术资讯
  • Suppr Zotero 插件Zotero 插件
  • 邀请有礼
  • 套餐&价格
  • 历史记录
应用&插件
Suppr Zotero 插件Zotero 插件浏览器插件Mac 客户端Windows 客户端微信小程序
定价
高级版会员购买积分包购买API积分包
服务
文献检索文档翻译深度研究API 文档MCP 服务
关于我们
关于 Suppr公司介绍联系我们用户协议隐私条款
关注我们

Suppr 超能文献

核心技术专利:CN118964589B侵权必究
粤ICP备2023148730 号-1Suppr @ 2026

文献检索

告别复杂PubMed语法,用中文像聊天一样搜索,搜遍4000万医学文献。AI智能推荐,让科研检索更轻松。

立即免费搜索

文件翻译

保留排版,准确专业,支持PDF/Word/PPT等文件格式,支持 12+语言互译。

免费翻译文档

深度研究

AI帮你快速写综述,25分钟生成高质量综述,智能提取关键信息,辅助科研写作。

立即免费体验

寻找稳定性:采用 Nuss 技术治疗的三批漏斗胸患者的胸壁移位情况。

The search for stability: bar displacement in three series of pectus excavatum patients treated with the Nuss technique.

机构信息

Department of Thoracic Surgery, Heart Institute, Hospital das Clínicas, Faculdade de Medicina, Universidade de São Paulo, São Paulo, Brazil.

出版信息

Clinics (Sao Paulo). 2011;66(10):1743-6. doi: 10.1590/s1807-59322011001000012.

DOI:10.1590/s1807-59322011001000012
PMID:22012046
原文链接:https://pmc.ncbi.nlm.nih.gov/articles/PMC3180147/
Abstract

OBJECTIVES

To compare bar displacement and complication rates in three retrospective series of patients operated on by the same surgical team.

METHOD

A retrospective medical chart analysis of the three patient series was performed. In the first series, the original, unmodified Nuss technique was performed. In the second, we used the ''third point fixation'' technique,and in the last series, the correction was performed with modifications to the stabilizer and stabilizer position.

RESULTS

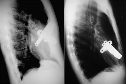
There were no deaths in any of the series. Minor complications occurred in six (4.9%) patients: pneumothorax with spontaneous resolution (2), suture site infection (2), and bar displacement without the reoperation need (2). Major complications were observed in eight (6.5%) patients: pleural effusion requiring drainage (1), foreign body reaction to the bar (1), pneumonia and shock septic (1), cardiac perforation (1), skin erosion/seroma (1), and displacement that necessitated a second operation to remove the bar within the 30 days of implantation (3). All major complications occurred in the first and second series.

CONCLUSION

The elimination of fixation wires, the use of shorter bars and redesigned stabilizers placed in a more medial position results in a better outcome for pectus excavatum patients treated with the Nuss technique. With bar displacement and instability no longer significant postoperative risks, the Nuss technique should be considered among the available options for the surgical correction of pectus excavatum in pediatric patients.

摘要

目的

比较由同一位外科医生操作的 3 个回顾性系列患者的肋弓移位和并发症发生率。

方法

对 3 个患者系列的回顾性病历分析进行了回顾。在第一系列中,进行了原始的、未修改的 Nuss 技术。在第二系列中,我们使用了“第三点固定”技术,而在最后一系列中,通过修改稳定器和稳定器位置来进行矫正。

结果

在任何系列中都没有死亡。有 6 例(4.9%)发生轻微并发症:气胸伴自发缓解(2 例)、缝合部位感染(2 例)和无需再次手术的肋弓移位(2 例)。8 例(6.5%)出现严重并发症:需要引流的胸腔积液(1 例)、对肋弓的异物反应(1 例)、肺炎和感染性休克(1 例)、心脏穿孔(1 例)、皮肤侵蚀/血清肿(1 例)以及植入后 30 天内需要再次手术取出肋弓的移位(3 例)。所有严重并发症均发生在第一和第二系列中。

结论

消除固定线、使用更短的肋弓和重新设计的稳定器放置在更内侧的位置,可使接受 Nuss 技术治疗的漏斗胸患者获得更好的结果。由于肋弓移位和不稳定不再是重大的术后风险,因此应考虑将 Nuss 技术作为小儿漏斗胸手术矫正的一种选择。

https://cdn.ncbi.nlm.nih.gov/pmc/blobs/9225/3180147/a21a4ee996ab/cln-66-10-1743-g005.jpg
https://cdn.ncbi.nlm.nih.gov/pmc/blobs/9225/3180147/c18bd8e725d8/cln-66-10-1743-g001.jpg
https://cdn.ncbi.nlm.nih.gov/pmc/blobs/9225/3180147/5e342e2919d1/cln-66-10-1743-g002.jpg
https://cdn.ncbi.nlm.nih.gov/pmc/blobs/9225/3180147/e75893599d11/cln-66-10-1743-g003.jpg
https://cdn.ncbi.nlm.nih.gov/pmc/blobs/9225/3180147/861cac49088a/cln-66-10-1743-g004.jpg
https://cdn.ncbi.nlm.nih.gov/pmc/blobs/9225/3180147/a21a4ee996ab/cln-66-10-1743-g005.jpg
https://cdn.ncbi.nlm.nih.gov/pmc/blobs/9225/3180147/c18bd8e725d8/cln-66-10-1743-g001.jpg
https://cdn.ncbi.nlm.nih.gov/pmc/blobs/9225/3180147/5e342e2919d1/cln-66-10-1743-g002.jpg
https://cdn.ncbi.nlm.nih.gov/pmc/blobs/9225/3180147/e75893599d11/cln-66-10-1743-g003.jpg
https://cdn.ncbi.nlm.nih.gov/pmc/blobs/9225/3180147/861cac49088a/cln-66-10-1743-g004.jpg
https://cdn.ncbi.nlm.nih.gov/pmc/blobs/9225/3180147/a21a4ee996ab/cln-66-10-1743-g005.jpg

相似文献

1
The search for stability: bar displacement in three series of pectus excavatum patients treated with the Nuss technique.寻找稳定性:采用 Nuss 技术治疗的三批漏斗胸患者的胸壁移位情况。
Clinics (Sao Paulo). 2011;66(10):1743-6. doi: 10.1590/s1807-59322011001000012.
2
A simple technique for preventing bar displacement with the Nuss repair of pectus excavatum.一种在漏斗胸Nuss修复术中防止钢板移位的简单技术。
J Pediatr Surg. 2001 Aug;36(8):1266-8. doi: 10.1053/jpsu.2001.25791.
3
Child pectus excavatum: correction by minimally invasive surgery.小儿漏斗胸:微创矫正。
Orthop Traumatol Surg Res. 2009 May;95(3):190-5. doi: 10.1016/j.otsr.2009.03.001. Epub 2009 Apr 18.
4
Experience in 100 cases with the Nuss procedure using a technique for stabilization of the pectus bar.100例应用钢板固定技术的努氏手术经验。
Pediatr Surg Int. 2003 May;19(3):186-9. doi: 10.1007/s00383-002-0915-z. Epub 2003 May 27.
5
Early complications of the Nuss procedure for pectus excavatum: a prospective study.漏斗胸畸形Nuss手术的早期并发症:一项前瞻性研究。
Pediatr Surg Int. 2008 Jun;24(6):659-66. doi: 10.1007/s00383-008-2106-z. Epub 2008 Apr 5.
6
Emerging Fixation Technique to Prevent Pectus Bar Displacement: Needlescope-Assisted 3-Point Fixation.预防鸡胸矫正棒移位的新型固定技术:针式内镜辅助三点固定法
Thorac Cardiovasc Surg. 2016 Jan;64(1):78-82. doi: 10.1055/s-0035-1556818. Epub 2015 Aug 16.
7
The minimally invasive Nuss technique for recurrent or failed pectus excavatum repair in 50 patients.50例复发性或失败的漏斗胸修复的微创Nuss技术
J Pediatr Surg. 2005 Jan;40(1):181-6; discussion 186-7. doi: 10.1016/j.jpedsurg.2004.09.038.
8
Surgical Outcomes of Double Compression and Complete Fixation Bar System in Pectus Excavatum.漏斗胸双压完全固定棒系统的手术效果。
Ann Thorac Surg. 2018 Oct;106(4):1025-1031. doi: 10.1016/j.athoracsur.2018.05.025. Epub 2018 Jun 8.
9
Review and discussion of the complications of minimally invasive pectus excavatum repair.微创漏斗胸修复术并发症的回顾与讨论。
Eur J Pediatr Surg. 2002 Aug;12(4):230-4. doi: 10.1055/s-2002-34485.
10
Associated risk factors for patients undergoing a unique or double Nuss bar placement for pectus excavatum.接受独特或双根Nuss钢板置入治疗漏斗胸患者的相关危险因素。
Asian Cardiovasc Thorac Ann. 2023 Mar;31(3):221-228. doi: 10.1177/02184923221142165. Epub 2022 Nov 29.

引用本文的文献

1
Bar Dislocation after Pectus Excavatum Repair: A Systematic Review of Risk Factors, Stabilization Techniques, and Management Strategies.漏斗胸修复术后肋骨脱位:危险因素、稳定技术及管理策略的系统评价
J Chest Surg. 2025 May 5;58(3):85-98. doi: 10.5090/jcs.24.118. Epub 2025 Mar 14.
2
Effect of medial stabilizer chest position on pectus bar dislocation.内侧稳定器胸部位置对鸡胸矫正器脱位的影响。
Pediatr Surg Int. 2024 Aug 18;40(1):232. doi: 10.1007/s00383-024-05822-w.
3
Randomized comparison of oblique and perpendicular stabilizers for minimally invasive repair of pectus excavatum.

本文引用的文献

1
Technical modifications in stabilisers and in bar removal in the Nuss procedure.努斯手术中固定器及取出棒的技术改进。
Eur J Cardiothorac Surg. 2009 Aug;36(2):410-2. doi: 10.1016/j.ejcts.2009.03.061. Epub 2009 May 22.
2
Minimally invasive surgical repair of pectus excavatum.漏斗胸的微创外科修复术。
Semin Pediatr Surg. 2008 Aug;17(3):209-17. doi: 10.1053/j.sempedsurg.2008.03.003.
3
Extreme eccentric canal type pectus excavatum: morphological study and repair techniques.极重度偏心沟型漏斗胸:形态学研究与修复技术
漏斗胸微创修复中倾斜与垂直稳定器的随机对照研究
Interdiscip Cardiovasc Thorac Surg. 2024 Mar 5;38(3). doi: 10.1093/icvts/ivae040.
4
Spontaneous subdiaphragmatic bar migration after pectus excavatum treatment.自发性膈下支棍迁移后漏斗胸治疗。
BMJ Case Rep. 2022 Dec 29;15(12):e251757. doi: 10.1136/bcr-2022-251757.
5
Stiffness reduction of the rib cage to perform a minimally invasive pectus excavatum repair: biomechanical evaluation.胸廓刚度降低在微创漏斗胸修复术中的应用:生物力学评估。
Interact Cardiovasc Thorac Surg. 2022 Jan 6;34(1):99-104. doi: 10.1093/icvts/ivab210. Epub 2021 Aug 2.
6
Single-centre Indian case series using X or cross bar for Nuss procedure in pectus excavatum.在漏斗胸矫治术中使用X形或横杆进行Nuss手术的单中心印度病例系列。
Indian J Thorac Cardiovasc Surg. 2020 Nov;36(6):643-648. doi: 10.1007/s12055-020-01007-x. Epub 2020 Jul 21.
7
Back to the future: a case series of minimally invasive repair of pectus excavatum with regular instruments.回到未来:一组使用常规器械微创修复漏斗胸的病例
J Bras Pneumol. 2019 Feb 11;45(1):e20170373. doi: 10.1590/1806-3713/e20170373.
8
Nuss Procedure for a Patient with Negative Haller Index.针对哈勒指数为阴性患者的努斯手术
European J Pediatr Surg Rep. 2018 Jan;6(1):e18-e22. doi: 10.1055/s-0038-1623537. Epub 2018 Feb 20.
9
Development of a computer-aided design and finite-element analysis combined method for customized Nuss bar in pectus excavatum surgery.计算机辅助设计与有限元分析相结合的方法在漏斗胸矫正术中定制 Nuss 杆的应用。
Sci Rep. 2017 Jun 14;7(1):3543. doi: 10.1038/s41598-017-03622-y.
10
Management of deep pectus excavatum (DPE).重度漏斗胸(DPE)的治疗
Ann Cardiothorac Surg. 2016 Sep;5(5):476-484. doi: 10.21037/acs.2016.09.02.
Eur J Cardiothorac Surg. 2008 Jul;34(1):150-4. doi: 10.1016/j.ejcts.2008.03.044. Epub 2008 May 2.
4
Early complications of the Nuss procedure for pectus excavatum: a prospective study.漏斗胸畸形Nuss手术的早期并发症:一项前瞻性研究。
Pediatr Surg Int. 2008 Jun;24(6):659-66. doi: 10.1007/s00383-008-2106-z. Epub 2008 Apr 5.
5
Complications associated with the Nuss procedure: continued evolution of the learning curve.与努斯手术相关的并发症:学习曲线的持续演变。
Am J Surg. 2008 Mar;195(3):313-6; discussion 316-7. doi: 10.1016/j.amjsurg.2007.12.015.
6
Early results following the Nuss operation for pectus excavatum--a single-institution experience of 383 patients.漏斗胸畸形的努斯手术早期结果——一家机构383例患者的经验
Interact Cardiovasc Thorac Surg. 2008 Feb;7(1):54-7. doi: 10.1510/icvts.2007.160937. Epub 2007 Oct 19.
7
Technical modification of the Nuss operation for the correction of pectus excavatum.
Clinics (Sao Paulo). 2006 Apr;61(2):185-6. doi: 10.1590/s1807-59322006000200018. Epub 2006 Apr 25.
8
The use of a lateral stabilizer increases the incidence of wound trouble following the Nuss procedure.使用外侧稳定器会增加努氏手术后伤口问题的发生率。
Ann Thorac Surg. 2004 Jan;77(1):296-300. doi: 10.1016/s0003-4975(03)01335-3.
9
The Nuss procedure for pectus excavatum: evolution of techniques and early results on 322 patients.用于漏斗胸的努斯手术:技术演变及322例患者的早期结果
Ann Thorac Surg. 2004 Jan;77(1):289-95. doi: 10.1016/s0003-4975(03)01330-4.
10
A simple technique for preventing bar displacement with the Nuss repair of pectus excavatum.一种在漏斗胸Nuss修复术中防止钢板移位的简单技术。
J Pediatr Surg. 2001 Aug;36(8):1266-8. doi: 10.1053/jpsu.2001.25791.