• 文献检索
  • 文档翻译
  • 深度研究
  • 学术资讯
  • Suppr Zotero 插件Zotero 插件
  • 邀请有礼
  • 套餐&价格
  • 历史记录
应用&插件
Suppr Zotero 插件Zotero 插件浏览器插件Mac 客户端Windows 客户端微信小程序
定价
高级版会员购买积分包购买API积分包
服务
文献检索文档翻译深度研究API 文档MCP 服务
关于我们
关于 Suppr公司介绍联系我们用户协议隐私条款
关注我们

Suppr 超能文献

核心技术专利:CN118964589B侵权必究
粤ICP备2023148730 号-1Suppr @ 2026

文献检索

告别复杂PubMed语法,用中文像聊天一样搜索,搜遍4000万医学文献。AI智能推荐,让科研检索更轻松。

立即免费搜索

文件翻译

保留排版,准确专业,支持PDF/Word/PPT等文件格式,支持 12+语言互译。

免费翻译文档

深度研究

AI帮你快速写综述,25分钟生成高质量综述,智能提取关键信息,辅助科研写作。

立即免费体验

终末期肾病患者颞浅动脉钙化:与血管危险因素及缺血性脑血管病的关联

Superficial temporal artery calcification in patients with end-stage renal disease: Association with vascular risk factors and ischemic cerebrovascular disease.

作者信息

Anwar Zeeshan, Zan Elcin, Carone Marco, Ozturk Arzu, Sozio Stephen M, Yousem David M

机构信息

Aga Khan University School of Medicine, Karachi, Pakistan.

出版信息

Indian J Radiol Imaging. 2011 Jul;21(3):215-20. doi: 10.4103/0971-3026.85371.

DOI:10.4103/0971-3026.85371
PMID:22013298
原文链接:https://pmc.ncbi.nlm.nih.gov/articles/PMC3190495/
Abstract

BACKGROUND AND PURPOSE

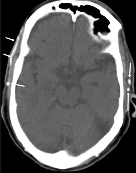
Extracranial superficial temporal artery (STA) calcification is an unusual finding seen in patients with chronic kidney disease and has unknown ramifications with respect to intracranial ischemic disease. We sought to determine the association between the risk factors for vascular calcification and this rare phenomenon, in patients with chronic renal failure, and to assess the coexistence of cerebral ischemia.

MATERIALS AND METHODS

Medical records and laboratory data on risk factors for vascular calcification were retrospectively retrieved for 453 patients with a discharge diagnosis of end-stage renal disease (ESRD). CT head examinations were reviewed to identify and associate STA calcification with 1) risk factors for the vascular calcification, 2) intracranial artery calcification, and 3) cerebral ischemia (white matter and/or cortical ischemic changes).

RESULTS

STA calcification was present in 9.9% (45/453) of the studied cohort. The prevalence of cerebral ischemia was 24.4% (11/45) in patients with STA calcification and 9.3% (38/408) in patients without it. Diabetes mellitus (OR: 2.56, 95% CI: 1.059-6.208; P=0.037) was independently associated with the risk of STA calcification. The risk of cerebral ischemia, however, was not related to STA calcification (P=0.221).

CONCLUSION

The presence of diabetes mellitus is important in describing the risk of STA calcification in patients with ESRD, whereas age, gender, hypertension, serum calcium, serum phosphate, or serum hemoglobin levels are not. The risk of cerebral ischemia is not related to STA calcification but has the strongest association with diabetes mellitus.

摘要

背景与目的

颅外颞浅动脉(STA)钙化是慢性肾病患者中一种不常见的表现,其对颅内缺血性疾病的影响尚不清楚。我们试图确定慢性肾衰竭患者血管钙化风险因素与这种罕见现象之间的关联,并评估脑缺血的共存情况。

材料与方法

回顾性检索453例出院诊断为终末期肾病(ESRD)患者的血管钙化风险因素的病历和实验室数据。对头颅CT检查进行评估,以确定STA钙化与以下因素的关联:1)血管钙化的风险因素;2)颅内动脉钙化;3)脑缺血(白质和/或皮质缺血改变)。

结果

在所研究的队列中,9.9%(45/453)的患者存在STA钙化。STA钙化患者的脑缺血患病率为24.4%(11/45),无STA钙化患者的脑缺血患病率为9.3%(38/408)。糖尿病(OR:2.56,95%CI:1.059 - 6.208;P = 0.037)与STA钙化风险独立相关。然而,脑缺血风险与STA钙化无关(P = 0.221)。

结论

糖尿病的存在对于描述ESRD患者STA钙化风险很重要,而年龄、性别、高血压、血清钙、血清磷或血清血红蛋白水平则不然。脑缺血风险与STA钙化无关,但与糖尿病的关联最为密切。

https://cdn.ncbi.nlm.nih.gov/pmc/blobs/fb71/3190495/2d31a05a7077/IJRI-21-215-g002.jpg
https://cdn.ncbi.nlm.nih.gov/pmc/blobs/fb71/3190495/4529cfb10189/IJRI-21-215-g001.jpg
https://cdn.ncbi.nlm.nih.gov/pmc/blobs/fb71/3190495/2d31a05a7077/IJRI-21-215-g002.jpg
https://cdn.ncbi.nlm.nih.gov/pmc/blobs/fb71/3190495/4529cfb10189/IJRI-21-215-g001.jpg
https://cdn.ncbi.nlm.nih.gov/pmc/blobs/fb71/3190495/2d31a05a7077/IJRI-21-215-g002.jpg

相似文献

1
Superficial temporal artery calcification in patients with end-stage renal disease: Association with vascular risk factors and ischemic cerebrovascular disease.终末期肾病患者颞浅动脉钙化:与血管危险因素及缺血性脑血管病的关联
Indian J Radiol Imaging. 2011 Jul;21(3):215-20. doi: 10.4103/0971-3026.85371.
2
Reversible occlusion of donor vessel caused by mouth opening after superficial temporal artery-middle cerebral artery anastomosis in adult moyamoya patients.成人烟雾病患者颞浅动脉-大脑中动脉吻合术后因张口导致供体血管可逆性闭塞。
J Neurosurg. 2015 Sep;123(3):670-5. doi: 10.3171/2014.10.JNS141805. Epub 2015 Apr 24.
3
Improvement in cerebral hemodynamic parameters and outcomes after superficial temporal artery-middle cerebral artery bypass in patients with severe stenoocclusive disease of the intracranial internal carotid or middle cerebral arteries.颅内颈内动脉或大脑中动脉严重狭窄闭塞性疾病患者行颞浅动脉-大脑中动脉搭桥术后脑血流动力学参数及预后的改善
J Neurosurg. 2015 Sep;123(3):662-9. doi: 10.3171/2014.11.JNS141553. Epub 2015 May 29.
4
Temporary Steno-occlusive Change in the Donor Artery During Mouth Opening (Big Bite Ischemic Phenomenon) After Superficial Temporal Artery to Middle Cerebral Artery Bypass in Adult Patients with Moyamoya Disease and Atherosclerosis.烟雾病和动脉粥样硬化成年患者颞浅动脉至大脑中动脉搭桥术后张口时(大口咬合缺血现象)供体动脉的暂时性狭窄闭塞性改变
Acta Neurochir Suppl. 2016;123:123-8. doi: 10.1007/978-3-319-29887-0_17.
5
Factors associated with delayed intracerebral hemorrhage after superficial temporal artery-middle cerebral artery bypass in steno-occlusive cerebrovascular diseases.狭窄闭塞性脑血管疾病行颞浅动脉-大脑中动脉搭桥术后迟发性脑出血的相关因素
Chin Med J (Engl). 2014;127(4):633-7.
6
Early superficial temporal artery to middle cerebral artery bypass in acute ischemic stroke.急性缺血性卒中早期颞浅动脉至大脑中动脉搭桥术
Clin Neurol Neurosurg. 2013 Aug;115(8):1238-44. doi: 10.1016/j.clineuro.2012.11.022. Epub 2012 Dec 23.
7
Cardiac calcification in adult hemodialysis patients. A link between end-stage renal disease and cardiovascular disease?成年血液透析患者的心脏钙化。终末期肾病与心血管疾病之间的联系?
J Am Coll Cardiol. 2002 Feb 20;39(4):695-701. doi: 10.1016/s0735-1097(01)01781-8.
8
Intraoperative middle cerebral artery pressure measurements during superficial temporal artery to middle cerebral artery bypass procedures in patients with cerebral atherosclerotic disease.在大脑粥样硬化性疾病患者的颞浅动脉-大脑中动脉旁路手术中进行术中大脑中动脉压力测量。
J Neurosurg. 2016 Dec;125(6):1367-1373. doi: 10.3171/2015.10.JNS151305. Epub 2016 Mar 4.
9
Regional cerebral perfusion and ischemic status after standard superficial temporal artery-middle cerebral artery (STA-MCA) bypass surgery in ischemic cerebrovascular disease.缺血性脑血管病患者行标准颞浅动脉-大脑中动脉(STA-MCA)搭桥手术后的局部脑灌注及缺血状态
Childs Nerv Syst. 2012 Apr;28(4):579-86. doi: 10.1007/s00381-011-1658-8. Epub 2012 Jan 4.
10
Computed tomography evaluation of intracranial vascular calcification in major ischemic stroke patients (vascular territory)--its distribution and association with vascular risk factors: a retrospective trial.主要缺血性脑卒中患者颅内血管钙化的计算机断层扫描评估(血管区域)——其分布及与血管危险因素的关联:一项回顾性试验
J Med Assoc Thai. 2015 Apr;98(4):414-22.

引用本文的文献

1
A retrospective diagnostic study of prevalence of orofacial calcifications using panoramic radiograph: To insinuate the unseen.一项使用全景X线片对口腔颌面部钙化患病率的回顾性诊断研究:洞察隐匿之处。
J Clin Exp Dent. 2023 Apr 1;15(4):e289-e297. doi: 10.4317/jced.60224. eCollection 2023 Apr.
2
Temporal superficial arteritis as differential diagnosis in patients with atherosclerotic changes due to advanced chronic renal disease: case report and review of the literature.颞浅动脉炎作为晚期慢性肾病所致动脉粥样硬化改变患者的鉴别诊断:病例报告及文献复习
Radiol Case Rep. 2022 Jun 28;17(9):3191-3195. doi: 10.1016/j.radcr.2022.06.015. eCollection 2022 Sep.

本文引用的文献

1
Arterial stiffness in dialysis patients: where are we now?透析患者的动脉僵硬度:我们现在处于什么位置?
Int Urol Nephrol. 2010 Sep;42(3):741-52. doi: 10.1007/s11255-009-9675-1. Epub 2009 Nov 19.
2
Vascular calcification: the killer of patients with chronic kidney disease.血管钙化:慢性肾脏病患者的“杀手”
J Am Soc Nephrol. 2009 Jul;20(7):1453-64. doi: 10.1681/ASN.2008070692. Epub 2009 May 28.
3
Vascular calcifications as a marker of increased cardiovascular risk: a meta-analysis.血管钙化作为心血管风险增加的标志物:一项荟萃分析。
Vasc Health Risk Manag. 2009;5(1):185-97. doi: 10.2147/vhrm.s4822. Epub 2009 Apr 8.
4
High prevalence of intracranial artery calcification in stroke patients with CKD: a retrospective study.慢性肾脏病中风患者颅内动脉钙化的高患病率:一项回顾性研究
Clin J Am Soc Nephrol. 2009 Feb;4(2):284-90. doi: 10.2215/CJN.02140508. Epub 2009 Jan 21.
5
Vascular calcification in chronic kidney disease: pathogenesis and clinical implications.慢性肾脏病中的血管钙化:发病机制与临床意义
J Ren Nutr. 2009 Jan;19(1):78-81. doi: 10.1053/j.jrn.2008.10.015.
6
Intracranial internal carotid artery calcifications: association with vascular risk factors and ischemic cerebrovascular disease.颅内颈内动脉钙化:与血管危险因素及缺血性脑血管病的关联
AJNR Am J Neuroradiol. 2009 Jan;30(1):177-84. doi: 10.3174/ajnr.A1301. Epub 2008 Oct 8.
7
Risk factors for ischaemic stroke.缺血性中风的危险因素。
Int J Stroke. 2008 May;3(2):105-16. doi: 10.1111/j.1747-4949.2008.00187.x.
8
Intracranial artery calcification: a newly identified risk factor of ischemic stroke.颅内动脉钙化:缺血性卒中新发现的危险因素。
J Neuroimaging. 2007 Oct;17(4):300-3. doi: 10.1111/j.1552-6569.2007.00158.x.
9
Carotid artery calcification on multislice detector-row computed tomography.多层螺旋CT检测颈动脉钙化
Cerebrovasc Dis. 2007;24(1):20-6. doi: 10.1159/000103112. Epub 2007 May 22.
10
Novel insights into vascular calcification.血管钙化的新见解。
Kidney Int Suppl. 2006 Dec(105):S5-9. doi: 10.1038/sj.ki.5001996.