Suppr超能文献

经导管动脉栓塞术治疗肝素治疗引起的危及生命的腹膜后出血。

Transcatheter arterial embolization as treatment for a life-threatening retroperitoneal hemorrhage complicating heparin therapy.

机构信息

Department of Internal Medicine, Soonchunghyang University Cheonan Hospital, Cheonan, Korea.

出版信息

Korean J Intern Med. 2011 Sep;26(3):352-5. doi: 10.3904/kjim.2011.26.3.352. Epub 2011 Sep 13.

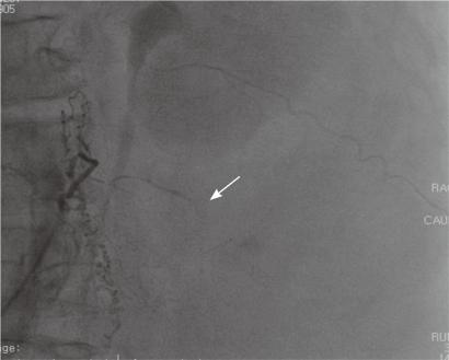
Abstract

Spontaneous retroperitoneal hemorrhage is a distinct clinical entity that can present in the absence of specific underlying pathology or trauma and is typically associated with anticoagulation therapy. We report a case of a 74-year-old female patient with a cerebral infarction related to atrial fibrillation who developed a spontaneous lumbar arterial hemorrhage complicating heparin therapy. The diagnosis was suggested by a computed tomography scan and confirmed by angiography. She was treated successfully with transcatheter embolization.

摘要

自发性腹膜后出血是一种明显的临床实体,可在无特定潜在病理或创伤的情况下出现,通常与抗凝治疗有关。我们报告了一例 74 岁女性患者,因心房颤动相关脑梗死,在接受肝素治疗时发生自发性腰动脉出血。计算机断层扫描提示诊断,血管造影证实。她成功接受了经导管栓塞治疗。

https://cdn.ncbi.nlm.nih.gov/pmc/blobs/ff00/3192209/32a9f2eb0aba/kjim-26-352-g001.jpg

文献检索

告别复杂PubMed语法,用中文像聊天一样搜索,搜遍4000万医学文献。AI智能推荐,让科研检索更轻松。

立即免费搜索

文件翻译

保留排版,准确专业,支持PDF/Word/PPT等文件格式,支持 12+语言互译。

免费翻译文档

深度研究

AI帮你快速写综述,25分钟生成高质量综述,智能提取关键信息,辅助科研写作。

立即免费体验