Suppr超能文献

超声微泡介导靶向 MDR1 的 siRNAs 转染降低卵黄囊癌细胞 L2 的耐药性。

Ultrasound microbubble-mediated delivery of the siRNAs targeting MDR1 reduces drug resistance of yolk sac carcinoma L2 cells.

机构信息

Department of Urology, The Children's Hospital of Chongqing Medical University, Chongqing, People's Republic of China.

出版信息

J Exp Clin Cancer Res. 2011 Oct 28;30(1):104. doi: 10.1186/1756-9966-30-104.

Abstract

BACKGROUND

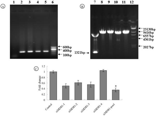
MDR1 gene encoding P-glycoprotein is an ATP-dependent drug efflux transporter and related to drug resistance of yolk sac carcinoma. Ultrasound microbubble-mediated delivery has been used as a novel and effective gene delivery method. We hypothesize that small interfering RNA (siRNA) targeting MDR1 gene (siMDR1) delivery with microbubble and ultrasound can down-regulate MDR1 expression and improve responsiveness to chemotherapeutic drugs for yolk sac carcinoma in vitro.

METHODS

Retroviral knockdown vector pSEB-siMDR1s containing specific siRNA sites targeting rat MDR1 coding region were constructed and sequence verified. The resultant pSEB-siMDR1 plasmids DNA were encapsulated with lipid microbubble and the DNA release were triggered by ultrasound when added to culture cells. GFP positive cells were counted by flow cytometry to determine transfection efficiency. Quantitative real-time PCR and western blot were performed to determine the mRNA and protein expression of MDR1. P-glycoprotein function and drug sensitivity were analyzed by Daunorubicin accumulation and MTT assays.

RESULTS

Transfection efficiency of pSEB-siMDR1 DNA was significantly increased by ultrasound microbubble-mediated delivery in rat yolk sac carcinoma L2 (L2-RYC) cells. Ultrasound microbubble-mediated siMDR1s delivery effectively inhibited MDR1 expression at both mRNA and protein levels and decreased P-glycoprotein function. Silencing MDR1 led to decreased cell viability and IC50 of Vincristine and Dactinomycin.

CONCLUSIONS

Our results demonstrated that ultrasound microbubble-mediated delivery of MDR1 siRNA was safe and effective in L2-RYC cells. MDR1 silencing led to decreased P-glycoprotein activity and drug resistance of L2-RYC cells, which may be explored as a novel approach of combined gene and chemotherapy for yolk sac carcinoma.

摘要

背景

多药耐药基因编码 P-糖蛋白是一种 ATP 依赖性药物外排转运体,与卵黄囊癌的耐药性有关。超声微泡介导的传递已被用作一种新的有效的基因传递方法。我们假设针对 MDR1 基因的小干扰 RNA(siRNA)(siMDR1)与微泡和超声联合传递可以下调 MDR1 表达,提高卵黄囊癌细胞对化疗药物的反应性。

方法

构建了含有针对大鼠 MDR1 编码区的特异性 siRNA 靶点的逆转录病毒敲低载体 pSEB-siMDR1s,并对其序列进行了验证。所得的 pSEB-siMDR1 质粒 DNA 用脂质微泡包裹,当添加到培养细胞中时,超声会触发 DNA 释放。通过流式细胞术计数 GFP 阳性细胞来确定转染效率。通过定量实时 PCR 和 Western blot 确定 MDR1 的 mRNA 和蛋白表达。通过柔红霉素积累和 MTT 测定分析 P-糖蛋白功能和药物敏感性。

结果

超声微泡介导的传递显著增加了大鼠卵黄囊癌 L2(L2-RYC)细胞中 pSEB-siMDR1 DNA 的转染效率。超声微泡介导的 siMDR1s 传递有效地抑制了 MDR1 在 mRNA 和蛋白水平上的表达,并降低了 P-糖蛋白的功能。沉默 MDR1 导致 L2-RYC 细胞的细胞活力和长春新碱和放线菌素 D 的 IC50 降低。

结论

我们的结果表明,超声微泡介导的 MDR1 siRNA 传递在 L2-RYC 细胞中是安全有效的。MDR1 沉默导致 L2-RYC 细胞的 P-糖蛋白活性和耐药性降低,这可能作为卵黄囊癌联合基因和化疗的新方法进行探索。

https://cdn.ncbi.nlm.nih.gov/pmc/blobs/b67f/3213040/e62f03a26f10/1756-9966-30-104-1.jpg

文献AI研究员

20分钟写一篇综述,助力文献阅读效率提升50倍。

立即体验

用中文搜PubMed

大模型驱动的PubMed中文搜索引擎

马上搜索

文档翻译

学术文献翻译模型,支持多种主流文档格式。

立即体验