Krieg A M, Steinberg A D
Cellular Immunology Section, National Institute of Arthritis and Musculoskeletal and Skin Diseases, National Institutes of Health, Bethesda, Maryland 20892.
J Clin Invest. 1990 Sep;86(3):809-16. doi: 10.1172/JCI114778.
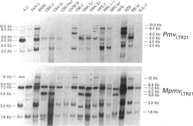
Inbred mouse genomes contain two subclasses of proviruses related to mink cell focus-forming (MCF) retroviruses: polytropic (Pmv), and modified polytropic (Mpmv). To determine whether one of these subclasses is associated with murine lupus, oligonucleotide probes specific for Pmv or Mpmv sequences were used in Northern analyses. Thymus 8.4 kb Mpmv RNA was expressed in five of five lupus-prone strains and crosses and this expression was not affected by genes that retard or accelerate development of lupus. Two of four leukemia-prone strains expressed low levels of such thymic transcripts, but none of 11 control strains did. 8.4 kb Mpmv RNA expression was not induced in thymuses of control mice by the lpr/lpr or gld/gld genotypes (which cause polyclonal immune activation) nor by treatment with mitogens. In contrast to Mpmv, thymic 8.4 kb Pmv expression was poorly associated with autoimmunity: it was easily detected in nearly all strains, and was increased by polyclonal activation in control mice. These studies indicate that the organ-specific thymic 8.4 kb Mpmv expression (a) is characteristic of several genetic backgrounds which predispose to murine lupus, (b) precedes and does not correlate with disease development, (c) is not due to polyclonal activation, and (d) is regulated independently of 8.4 kb Pmv expression.
近交系小鼠基因组包含与水貂细胞集落形成(MCF)逆转录病毒相关的两类前病毒:多嗜性(Pmv)和修饰多嗜性(Mpmv)。为了确定这两类中的一类是否与小鼠狼疮相关,在Northern分析中使用了对Pmv或Mpmv序列特异的寡核苷酸探针。胸腺8.4 kb Mpmv RNA在五个狼疮易感品系及其杂交后代中均有表达,且这种表达不受延缓或加速狼疮发展的基因影响。四个白血病易感品系中的两个表达低水平的此类胸腺转录本,但11个对照品系均未表达。对照小鼠的胸腺中,lpr/lpr或gld/gld基因型(可引起多克隆免疫激活)以及丝裂原处理均未诱导8.4 kb Mpmv RNA表达。与Mpmv相反,胸腺8.4 kb Pmv表达与自身免疫的相关性较差:几乎在所有品系中都能轻易检测到,并且在对照小鼠中多克隆激活可使其增加。这些研究表明,器官特异性的胸腺8.4 kb Mpmv表达:(a)是几种易患小鼠狼疮的遗传背景的特征;(b)先于疾病发展且与之无关;(c)不是由多克隆激活引起的;(d)其调节独立于8.4 kb Pmv表达。