Department of Medical Biophysics, Ontario Cancer Institute, University of Toronto, Toronto, Ontario, Canada.
PLoS One. 2011;6(10):e26718. doi: 10.1371/journal.pone.0026718. Epub 2011 Oct 28.
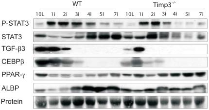
Post-lactation mammary involution is a homeostatic process requiring epithelial apoptosis and clearance. Given that the deficiency of the extracellular metalloproteinase inhibitor TIMP3 impacts epithelial apoptosis and heightens inflammatory response, we investigated whether TIMP3 regulates these distinct processes during the phases of mammary gland involution in the mouse. Here we show that TIMP3 deficiency leads to TNF dysregulation, earlier caspase activation and onset of mitochondrial apoptosis. This accelerated first phase of involution includes faster loss of initiating signals (STAT3 activation; TGFβ3) concurrent with immediate luminal deconstruction through E-cadherin fragmentation. Epithelial apoptosis is followed by accelerated adipogenesis and a greater macrophage and T-cell infiltration in Timp3(-/-) involuting glands. Crossing in Tnf deficiency abrogates caspase 3 activation, but heightens macrophage and T-cell influx into Timp3(-/-) glands. The data indicate that TIMP3 differentially impacts apoptosis and inflammatory cell influx, based on involvement of TNF, during the process of mammary involution. An understanding of the molecular factors and wound healing microenvironment of the postpartum mammary gland may have implications for understanding pregnancy-associated breast cancer risk.
哺乳期后乳腺退化是一个需要上皮细胞凋亡和清除的自稳过程。鉴于细胞外基质金属蛋白酶抑制剂 TIMP3 的缺乏会影响上皮细胞凋亡并加剧炎症反应,我们研究了 TIMP3 是否在小鼠乳腺退化的不同阶段调节这些不同的过程。在这里,我们发现 TIMP3 缺乏会导致 TNF 失调,更早地激活半胱天冬酶和线粒体凋亡的发生。这种加速的乳腺退化的第一阶段包括通过 E-钙黏蛋白片段化更快地失去起始信号(STAT3 激活;TGFβ3),同时立即破坏管腔。上皮细胞凋亡后,脂肪生成加速,Timp3(-/-)退化腺中巨噬细胞和 T 细胞的浸润增加。在 Tnf 缺陷型中交叉消除了半胱天冬酶 3 的激活,但增加了巨噬细胞和 T 细胞向 Timp3(-/-)腺的流入。数据表明,TIMP3 在乳腺退化过程中基于 TNF 的参与,对细胞凋亡和炎症细胞浸润有不同的影响。对产后乳腺的分子因素和伤口愈合微环境的理解可能对理解与妊娠相关的乳腺癌风险具有重要意义。