• 文献检索
  • 文档翻译
  • 深度研究
  • 学术资讯
  • Suppr Zotero 插件Zotero 插件
  • 邀请有礼
  • 套餐&价格
  • 历史记录
应用&插件
Suppr Zotero 插件Zotero 插件浏览器插件Mac 客户端Windows 客户端微信小程序
定价
高级版会员购买积分包购买API积分包
服务
文献检索文档翻译深度研究API 文档MCP 服务
关于我们
关于 Suppr公司介绍联系我们用户协议隐私条款
关注我们

Suppr 超能文献

核心技术专利:CN118964589B侵权必究
粤ICP备2023148730 号-1Suppr @ 2026

文献检索

告别复杂PubMed语法,用中文像聊天一样搜索,搜遍4000万医学文献。AI智能推荐,让科研检索更轻松。

立即免费搜索

文件翻译

保留排版,准确专业,支持PDF/Word/PPT等文件格式,支持 12+语言互译。

免费翻译文档

深度研究

AI帮你快速写综述,25分钟生成高质量综述,智能提取关键信息,辅助科研写作。

立即免费体验

具有潜在的赭曲霉毒素病因的存档肾和上尿路肿瘤的核不稳定性的初步研究。

A pilot study of nuclear instability in archived renal and upper urinary tract tumours with putative ochratoxin aetiology.

机构信息

Centre for Environmental Policy, Imperial College London, London SW7 2AZ, UK.

出版信息

Toxins (Basel). 2010 Mar;2(3):326-40. doi: 10.3390/toxins2030326. Epub 2010 Mar 9.

DOI:10.3390/toxins2030326
PMID:22069587
原文链接:https://pmc.ncbi.nlm.nih.gov/articles/PMC3153191/
Abstract

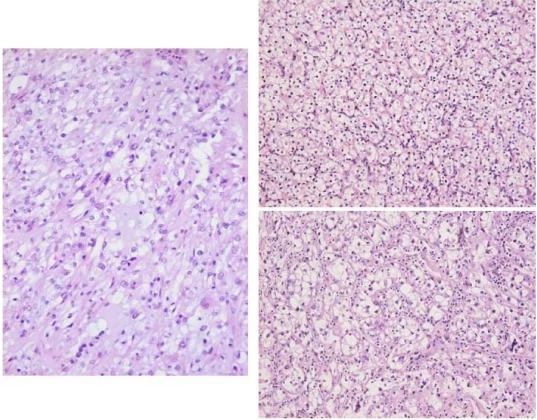
DNA ploidy measurement has been applied uniquely to wax-embedded tissue of primary renal cell and metastatic tumours of a key experimental researcher on porcine ochratoxicosis, a control, and four transitional cell carcinomas from cases of Balkan endemic nephropathy. Primary renal tumour was diploid, and hyperdiploid metastasis was within the lower ploidy range for typical renal cell carcinoma. Three Balkan primary tumours showed extensive aneuploidy indicating marked nuclear instability, similar to model rat renal carcinoma caused by ochratoxin A. In contrast, much less nuclear instability in the putative occupational ochratoxicosis case fitted poorly with the ochratoxin A model.

摘要

DNA 倍性测量仅应用于原发性肾细胞癌和关键实验研究员猪赭曲霉毒素病转移瘤的蜡包埋组织,一个对照,以及巴尔干地方性肾病的四个移行细胞癌。原发性肾肿瘤是二倍体,而超二倍体转移瘤处于典型肾细胞癌的较低倍性范围内。三个巴尔干原发性肿瘤表现出广泛的非整倍性,表明明显的核不稳定性,类似于由赭曲霉毒素 A 引起的大鼠肾肿瘤模型。相比之下,假定的职业性赭曲霉毒素病病例的核不稳定性要小得多,与赭曲霉毒素 A 模型不太吻合。

https://cdn.ncbi.nlm.nih.gov/pmc/blobs/66eb/3153191/409544ce3039/toxins-02-00326-g006.jpg
https://cdn.ncbi.nlm.nih.gov/pmc/blobs/66eb/3153191/82252a65723b/toxins-02-00326-g001.jpg
https://cdn.ncbi.nlm.nih.gov/pmc/blobs/66eb/3153191/50ba9e151c3d/toxins-02-00326-g002.jpg
https://cdn.ncbi.nlm.nih.gov/pmc/blobs/66eb/3153191/75ddb780e364/toxins-02-00326-g003.jpg
https://cdn.ncbi.nlm.nih.gov/pmc/blobs/66eb/3153191/10f8cb8dcc71/toxins-02-00326-g004.jpg
https://cdn.ncbi.nlm.nih.gov/pmc/blobs/66eb/3153191/744f409d1192/toxins-02-00326-g005.jpg
https://cdn.ncbi.nlm.nih.gov/pmc/blobs/66eb/3153191/409544ce3039/toxins-02-00326-g006.jpg
https://cdn.ncbi.nlm.nih.gov/pmc/blobs/66eb/3153191/82252a65723b/toxins-02-00326-g001.jpg
https://cdn.ncbi.nlm.nih.gov/pmc/blobs/66eb/3153191/50ba9e151c3d/toxins-02-00326-g002.jpg
https://cdn.ncbi.nlm.nih.gov/pmc/blobs/66eb/3153191/75ddb780e364/toxins-02-00326-g003.jpg
https://cdn.ncbi.nlm.nih.gov/pmc/blobs/66eb/3153191/10f8cb8dcc71/toxins-02-00326-g004.jpg
https://cdn.ncbi.nlm.nih.gov/pmc/blobs/66eb/3153191/744f409d1192/toxins-02-00326-g005.jpg
https://cdn.ncbi.nlm.nih.gov/pmc/blobs/66eb/3153191/409544ce3039/toxins-02-00326-g006.jpg

相似文献

1
A pilot study of nuclear instability in archived renal and upper urinary tract tumours with putative ochratoxin aetiology.具有潜在的赭曲霉毒素病因的存档肾和上尿路肿瘤的核不稳定性的初步研究。
Toxins (Basel). 2010 Mar;2(3):326-40. doi: 10.3390/toxins2030326. Epub 2010 Mar 9.
2
Relevance of a rat model of papillary necrosis and upper urothelial carcinoma in understanding the role of ochratoxin A in Balkan endemic nephropathy and its associated carcinoma.乳头坏死和上尿路上皮癌大鼠模型在理解赭曲霉毒素A在巴尔干地方性肾病及其相关癌症中的作用方面的相关性。
Food Chem Toxicol. 1992 Mar;30(3):205-11. doi: 10.1016/0278-6915(92)90035-j.
3
Balkan endemic nephropathy and transitional cell carcinoma: two fatal chronic diseases and the environment.巴尔干地方性肾病与移行细胞癌:两种致命的慢性疾病与环境
J Environ Pathol Toxicol Oncol. 1990 Nov-Dec;10(6):317-20.
4
DNA ploidy distribution in renal tumours induced in male rats by dietary ochratoxin A.膳食中赭曲霉毒素A诱导雄性大鼠肾肿瘤中的DNA倍体分布。
Exp Toxicol Pathol. 2007 Oct;59(2):85-95. doi: 10.1016/j.etp.2007.05.001. Epub 2007 Jul 16.
5
Ochratoxin A in human blood in relation to Balkan endemic nephropathy and urinary system tumours in Bulgaria.保加利亚人体血液中的赭曲霉毒素A与巴尔干地方性肾病及泌尿系统肿瘤的关系
Food Addit Contam. 1988 Jul-Sep;5(3):299-301. doi: 10.1080/02652038809373707.
6
Ochratoxin A in human kidney diseases.人肾脏疾病中的赭曲霉毒素A
Food Addit Contam. 2005;22 Suppl 1:53-7. doi: 10.1080/02652030500309368.
7
Carcinogenicity of ochratoxin A in experimental animals.赭曲霉毒素A在实验动物中的致癌性。
IARC Sci Publ. 1991(115):229-44.
8
[Balkan nephropathy and transitional cell carcinoma. Pathogenetic problems and the early phase of cancerogenesis].[巴尔干肾病与移行细胞癌。发病机制问题及癌发生的早期阶段]
J Urol (Paris). 1985;91(4):215-20.
9
[Comparison of upper urinary tract tumors in the region of Balkan nephropathy with those of other regions of Yugoslavia].[巴尔干肾病地区上尿路肿瘤与南斯拉夫其他地区上尿路肿瘤的比较]
Prog Urol. 1999 Feb;9(1):61-8.
10
Ochratoxin A in human blood in relation to Balkan endemic nephropathy and urinary tract tumours in Bulgaria.保加利亚人体血液中的赭曲霉毒素A与巴尔干地方性肾病及泌尿系统肿瘤的关系
IARC Sci Publ. 1991(115):135-7.

引用本文的文献

1
Immunohistochemical Analysis of Rat Renal Tumours Caused by Ochratoxin A.用赭曲霉毒素 A 诱发大鼠肾肿瘤的免疫组织化学分析。
Toxins (Basel). 2017 Nov 28;9(12):384. doi: 10.3390/toxins9120384.
2
Comments on "Mycobiota and Mycotoxins in Traditional Medicinal Seeds from China. Toxins 2015, 7, 3858-3875"- in Attributing Ochratoxin A Biosynthesis Within the Genus Penicillium Occurring on Natural Agricultural Produce.关于“中国传统药用种子中的真菌区系和真菌毒素。毒素 2015, 7, 3858-3875”-在归因于天然农产品中出现的青霉属中赭曲霉毒素 A 生物合成。
Toxins (Basel). 2016 May 31;8(6):166. doi: 10.3390/toxins8060166.
3
Comparative immunohistochemical analysis of ochratoxin A tumourigenesis in rats and urinary tract carcinoma in humans; mechanistic significance of p-S6 ribosomal protein expression.

本文引用的文献

1
Mycotoxins and the kidney: modes of action for renal tumor formation by ochratoxin A in rodents.霉菌毒素与肾脏:赭曲霉毒素A在啮齿动物中导致肾肿瘤形成的作用模式
Mol Nutr Food Res. 2009 Apr;53(4):467-78. doi: 10.1002/mnfr.200800149.
2
New molecular and field evidences for the implication of mycotoxins but not aristolochic acid in human nephropathy and urinary tract tumor.关于人类肾病和尿路肿瘤中霉菌毒素而非马兜铃酸所起作用的新分子证据和现场证据。
Mol Nutr Food Res. 2007 Sep;51(9):1131-46. doi: 10.1002/mnfr.200700045.
3
DNA ploidy distribution in renal tumours induced in male rats by dietary ochratoxin A.
对比黄曲霉毒素 A 在大鼠肿瘤形成和人类泌尿道癌中的免疫组织化学分析;p-S6 核糖体蛋白表达的机制意义。
Toxins (Basel). 2012 Sep;4(9):643-62. doi: 10.3390/toxins4090643. Epub 2012 Sep 11.
4
Comparative (1)H NMR metabolomic urinalysis of people diagnosed with Balkan endemic nephropathy, and healthy subjects, in Romania and Bulgaria: a pilot study.在罗马尼亚和保加利亚,对被诊断患有巴尔干地方性肾病的人和健康受试者进行比较(1)H NMR 代谢组学尿分析:一项初步研究。
Toxins (Basel). 2011 Jul;3(7):815-33. doi: 10.3390/toxins3070815. Epub 2011 Jul 4.
膳食中赭曲霉毒素A诱导雄性大鼠肾肿瘤中的DNA倍体分布。
Exp Toxicol Pathol. 2007 Oct;59(2):85-95. doi: 10.1016/j.etp.2007.05.001. Epub 2007 Jul 16.
4
Reduction in antioxidant defenses may contribute to ochratoxin A toxicity and carcinogenicity.抗氧化防御能力的降低可能会导致赭曲霉毒素A的毒性和致癌性。
Toxicol Sci. 2007 Mar;96(1):30-9. doi: 10.1093/toxsci/kfl169. Epub 2006 Nov 16.
5
Prognostic biomarkers in renal cell carcinoma: relevance of DNA ploidy in predicting disease-related survival.肾细胞癌的预后生物标志物:DNA倍体在预测疾病相关生存中的相关性。
Int J Biol Markers. 2005 Oct-Dec;20(4):249-56. doi: 10.1177/172460080502000408.
6
Biomarkers of human exposure to ochratoxin A.人类接触赭曲霉毒素A的生物标志物。
Food Addit Contam. 2005;22 Suppl 1:99-107. doi: 10.1080/02652030500410315.
7
Renal tumourigenesis in male rats in response to chronic dietary ochratoxin A.雄性大鼠对慢性膳食赭曲霉毒素A的肾肿瘤发生情况
Food Addit Contam. 2005;22 Suppl 1:58-64. doi: 10.1080/02652030500358431.
8
A toxicogenomics approach to identify new plausible epigenetic mechanisms of ochratoxin a carcinogenicity in rat.一种采用毒理基因组学方法鉴定赭曲霉毒素A在大鼠中致癌性新的潜在表观遗传机制的研究。
Toxicol Sci. 2006 Jan;89(1):120-34. doi: 10.1093/toxsci/kfj017. Epub 2005 Oct 26.
9
Ochratoxin a causes DNA damage and cytogenetic effects but no DNA adducts in rats.赭曲霉毒素A可导致大鼠DNA损伤和细胞遗传学效应,但不会形成DNA加合物。
Chem Res Toxicol. 2005 Aug;18(8):1253-61. doi: 10.1021/tx049650x.
10
Heterogeneity, histological features and DNA ploidy in oral carcinoma by image-based analysis.
Oral Oncol. 2005 Apr;41(4):416-22. doi: 10.1016/j.oraloncology.2004.10.009.