Suppr超能文献

一组病例系列,重点介绍内脏利什曼病骨髓检查中常见、不常见和非典型/不寻常血液学发现的相对频率。

A case series highlighting the relative frequencies of the common, uncommon and atypical/unusual hematological findings on bone marrow examination in cases of visceral leishmaniasis.

机构信息

Department of Hematology.

出版信息

Mediterr J Hematol Infect Dis. 2011;3(1):e2011035. doi: 10.4084/MJHID.2011.035. Epub 2011 Sep 8.

Abstract

INTRODUCTION

Bone marrow aspiration and biopsy still remains as one of the vital tests for confirmation of diagnosis of visceral Leishmaniasis. The aim of the present study is to assess the relative frequency of common, uncommon and atypical hematological findings in cases of Visceral Leishmaniasis. MATERIALS #ENTITYSTARTX00026;

METHODS

A total of 16 cases of Leishmaniasis diagnosed on Bone marrow examination over a period of two years (2008-2010), were retrieved from the archives and the peripheral blood smear, bone marrow aspiration smears and trephine biopsies were examined for the common, uncommon and atypical features as described in the literature.

RESULTS

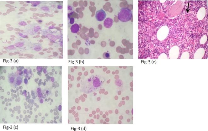
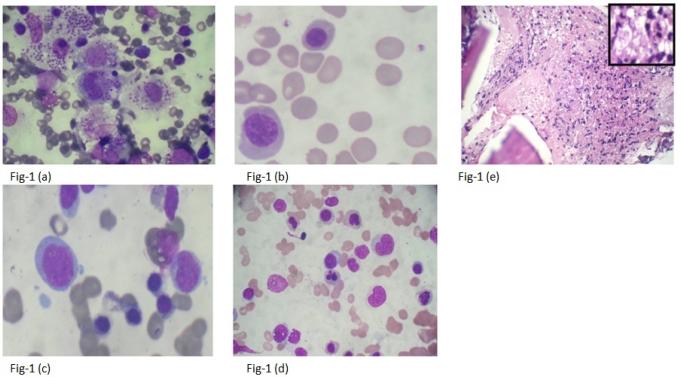
Out of the total of 16 cases, 10 were pediatric and 6 adult cases. The common findings like pancytopenia, peripheral blood monocytosis, increased histiocytes on aspirate smears and granulomas on biopsies were noted in 12/16 (75%), 9/16 (56.25%), 13/16 (81.2%) and 11/16 (69%) cases respectively. Amongst the uncommon findings, hemophagocytosis was noted in 12/16 (75%) cases, plasma cells with inclusions in 6/16 (37.5%) and LD bodies in cells other than histiocytes in 4/16 (25%) cases. The atypical findings included organism aggregates noted in 9/16 (56%) cases, Pelger-Heut cells seen in 4/16 (25%) cases and increased focal vascularity on biopsies in 10/16 (62.5%) cases. The average parasite density (APD) on smears was 3+ and the range of positivity was 1+ to 5+.

CONCLUSION

The knowledge of these morphological clues can assist us in searching for LD bodies and correctly diagnosing the condition without excessive dependence on unnecessary and sophisticated tests.

摘要

简介

骨髓穿刺和活检仍然是内脏利什曼病诊断的重要检测手段之一。本研究旨在评估内脏利什曼病病例中常见、不常见和非典型血液学表现的相对频率。

材料和方法

从档案中检索出在两年(2008-2010 年)期间经骨髓检查诊断为利什曼病的 16 例病例,检查外周血涂片、骨髓抽吸涂片和环钻活检,以发现文献中描述的常见、不常见和非典型特征。

结果

在总共 16 例病例中,有 10 例为儿科病例,6 例为成人病例。在 12/16(75%)、9/16(56.25%)、13/16(81.2%)和 11/16(69%)病例中分别观察到常见表现,如全血细胞减少、外周血单核细胞增多、抽吸涂片上组织细胞增多和活检上出现肉芽肿。在不常见表现中,有 12/16(75%)病例观察到噬血细胞现象,6/16(37.5%)病例观察到浆细胞内包涵体,4/16(25%)病例观察到 LD 体在组织细胞以外的细胞中。非典型表现包括在 9/16(56%)病例中观察到的病原体聚集,在 4/16(25%)病例中观察到 Pelger-Heut 细胞,在 10/16(62.5%)病例中观察到活检上的血管增多。涂片上的平均寄生虫密度(APD)为 3+,阳性范围为 1+至 5+。

结论

这些形态学线索的知识可以帮助我们寻找 LD 体并在不过度依赖不必要和复杂的检测的情况下正确诊断病情。

https://cdn.ncbi.nlm.nih.gov/pmc/blobs/4e0b/3212968/f542ff8909ed/mjhid-3-1-e2011035f1.jpg

文献AI研究员

20分钟写一篇综述,助力文献阅读效率提升50倍。

立即体验

用中文搜PubMed

大模型驱动的PubMed中文搜索引擎

马上搜索

文档翻译

学术文献翻译模型,支持多种主流文档格式。

立即体验