Suppr超能文献

一名 10 岁男孩难治性癫痫、舞蹈手足徐动症和学习障碍与 HSD17B10 基因突变有关。

A novel mutation in the HSD17B10 gene of a 10-year-old boy with refractory epilepsy, choreoathetosis and learning disability.

机构信息

Hawai'i Community Genetics, Kapi'olani Medical Specialists, Honolulu, Hawaii, United States of America.

出版信息

PLoS One. 2011;6(11):e27348. doi: 10.1371/journal.pone.0027348. Epub 2011 Nov 22.

Abstract

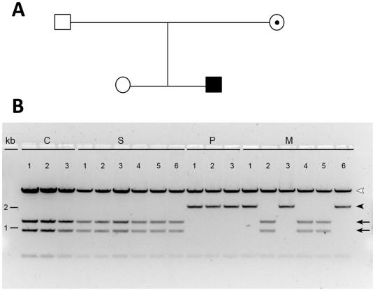
Hydroxysteroid (17beta) dehydrogenase 10 (HSD10) is a mitochondrial multifunctional enzyme encoded by the HSD17B10 gene. Missense mutations in this gene result in HSD10 deficiency, whereas a silent mutation results in mental retardation, X-linked, syndromic 10 (MRXS10). Here we report a novel missense mutation found in the HSD17B10 gene, namely c.194T>C transition (rs104886492), brought about by the loss of two forked methyl groups of valine 65 in the HSD10 active site. The affected boy, who possesses mutant HSD10 (p.V65A), has a neurological syndrome with metabolic derangements, choreoathetosis, refractory epilepsy and learning disability. He has no history of acute decompensation or metabolic acidosis whereas his urine organic acid profile, showing elevated levels of 2-methyl-3-hydroxybutyrate and tiglylglycine, is characteristic of HSD10 deficiency. His HSD10 activity was much lower than the normal control level, with normal β-ketothiolase activity. The c.194T>C mutation in HSD17B10 can be identified by the restriction fragment polymorphism analysis, thereby facilitating the screening of this novel mutation in individuals with intellectual disability of unknown etiology and their family members much easier. The patient's mother is an asymptomatic carrier, and has a mixed ancestry (Hawaiian, Japanese and Chinese). This demonstrates that HSD10 deficiency patients are not confined to a particular ethnicity although previously reported cases were either Spanish or German descendants.

摘要

羟甾体 17β 脱氢酶 10(HSD10)是一种线粒体多功能酶,由 HSD17B10 基因编码。该基因的错义突变导致 HSD10 缺乏,而无义突变导致智力障碍,X 连锁,综合征 10(MRXS10)。在这里,我们报告了 HSD17B10 基因中发现的一种新的错义突变,即 c.194T>C 转换(rs104886492),导致 HSD10 活性位点中缬氨酸 65 的两个叉甲基丢失。受影响的男孩携带突变的 HSD10(p.V65A),具有神经综合征,伴有代谢紊乱、舞蹈手足徐动症、难治性癫痫和学习障碍。他没有急性失代偿或代谢性酸中毒的病史,而他的尿液有机酸谱显示 2-甲基-3-羟基丁酸和 tiglylglycine 水平升高,这是 HSD10 缺乏的特征。他的 HSD10 活性远低于正常对照水平,β-酮硫解酶活性正常。HSD17B10 中的 c.194T>C 突变可以通过限制性片段多态性分析来识别,从而更容易在病因不明的智力障碍个体及其家庭成员中筛选这种新突变。患者的母亲是无症状携带者,具有混合血统(夏威夷、日本和中国)。这表明 HSD10 缺乏症患者不仅局限于特定的种族,尽管以前报道的病例都是西班牙或德国后裔。

https://cdn.ncbi.nlm.nih.gov/pmc/blobs/d8ed/3222643/df9193e545fc/pone.0027348.g001.jpg

文献AI研究员

20分钟写一篇综述,助力文献阅读效率提升50倍。

立即体验

用中文搜PubMed

大模型驱动的PubMed中文搜索引擎

马上搜索

文档翻译

学术文献翻译模型,支持多种主流文档格式。

立即体验