Suppr超能文献

Early imaging of a macular hole following vitrectomy with primary silicone oil tamponade.

作者信息

Saha Niladri, Lake Stewart, Wang Bob Z

机构信息

Department of Ophthalmology, Flinders Medical Centre and Flinders University, Bedford Park, South Australia, Australia.

出版信息

Clin Ophthalmol. 2011;5:1637-8. doi: 10.2147/OPTH.S25178. Epub 2011 Nov 15.

Abstract

BACKGROUND

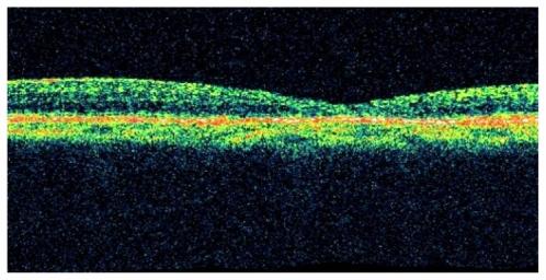
To describe the morphology of a macular hole in the early postoperative period following vitrectomy with primary silicone oil tamponade.

METHODS

A case report with optical coherence tomography (OCT) scans prior to surgery, at 20 minutes postoperatively and then at 17 hours postoperatively.

RESULTS

OCT images of a 73-year-old woman with a stage 3 macular hole were obtained. At 20 minutes postoperatively, there was a reduction in intraretinal cysts and a reduction in macular hole size with elevated-open configuration. At 17 hours postoperatively, complete macular hole closure was noted.

CONCLUSION

OCT Images of a macular hole in the early postoperative period have been successfully obtained. Macular holes can close within 24 hours postoperatively and show morphological changes that may be predictive of closure within 20 minutes postoperatively.

摘要
https://cdn.ncbi.nlm.nih.gov/pmc/blobs/a13b/3225461/ecf54a548092/opth-5-1637f1.jpg

相似文献

1
Early imaging of a macular hole following vitrectomy with primary silicone oil tamponade.
Clin Ophthalmol. 2011;5:1637-8. doi: 10.2147/OPTH.S25178. Epub 2011 Nov 15.
5
Treatment of idiopathic macular hole with silicone oil tamponade.
Clin Ophthalmol. 2012;6:1449-54. doi: 10.2147/OPTH.S33902. Epub 2012 Aug 6.
8
Retreatment of full-thickness macular hole: predictive value of optical coherence tomography.
Br J Ophthalmol. 2007 Nov;91(11):1445-9. doi: 10.1136/bjo.2007.115642. Epub 2007 May 2.
10
Pars plana vitrectomy with silicone oil tamponade for primary and secondary macular hole closure: Is it still a useful procedure?
Eur J Ophthalmol. 2018 Sep;28(5):503-514. doi: 10.1177/1120672117752423. Epub 2018 Mar 19.

引用本文的文献

1
Minification of fundus optical coherence tomographic images in gas-filled eye.
BMC Ophthalmol. 2016 Jul 26;16:124. doi: 10.1186/s12886-016-0306-1.

本文引用的文献

文献AI研究员

20分钟写一篇综述,助力文献阅读效率提升50倍。

立即体验

用中文搜PubMed

大模型驱动的PubMed中文搜索引擎

马上搜索

文档翻译

学术文献翻译模型,支持多种主流文档格式。

立即体验