Suppr超能文献

母性行为的变化会改变皮质酮和 17β-雌二醇的水平、动情周期和卵泡发生,并刺激 UCh 大鼠卵巢中雌激素受体 α 和 β 的表达。

Variations in maternal care alter corticosterone and 17beta-estradiol levels, estrous cycle and folliculogenesis and stimulate the expression of estrogen receptors alpha and beta in the ovaries of UCh rats.

机构信息

Department of Structural and Cellular Biology, Institute of Biology, Universidade Estadual de Campinas-UNICAMP, Campinas-SP 13083-863, Brazil.

出版信息

Reprod Biol Endocrinol. 2011 Dec 22;9:160. doi: 10.1186/1477-7827-9-160.

Abstract

BACKGROUND

Variations in maternal care are associated with neonatal stress, hormonal disturbances and reproductive injuries during adulthood. However, the effects of these variations on sex hormones and steroid receptors during ovary development remain undetermined. This study aimed to investigate whether variations in maternal care are able to influence the hormonal profile, follicular dynamics and expression of AR, ER-alpha and ER-beta in the ovaries of UCh rat offspring.

METHODS

Twenty-four adult UCh rats, aged 120 days, were randomly divided into two groups (UChA and UChB) and mated. Maternal care was assessed from birth (day 0) to the 10th postnatal day (PND). In adulthood, twenty adult female rats (UChA and UChB offspring; n = 10/group), aged 120 days, were euthanized by decapitation during the morning estrus.

RESULTS

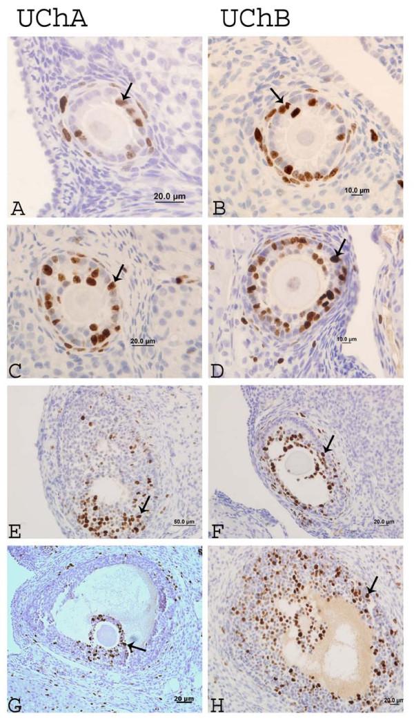
UChA females (providing high maternal care) more frequently displayed the behaviors of carrying pups, as well as licking/grooming and arched back nursing cares. Also, mothers providing high care had elevated corticosterone levels. Additionally, offspring receiving low maternal care showed the highest estrous cycle duration, increased corticosterone and 17beta-estradiol levels, overexpression of receptors ER-alpha and ER-beta, increased numbers of primordial, antral and mature follicles and accentuated granulosa cell proliferation.

CONCLUSIONS

Our study suggests that low maternal care alters corticosterone and 17beta-estradiol levels, disrupting the estrous cycle and folliculogenesis and differentially regulating the expression of ER-alpha and ER-beta in the ovaries of adult rats.

摘要

背景

母体照顾的变化与新生儿应激、激素紊乱和成年期生殖损伤有关。然而,这些变化对卵巢发育过程中性激素和类固醇受体的影响仍不确定。本研究旨在探讨母体照顾的变化是否能够影响 UCh 大鼠后代卵巢中的激素谱、卵泡动态和 AR、ER-α和 ER-β的表达。

方法

24 只 120 天大的成年 UCh 大鼠随机分为两组(UChA 和 UChB)并交配。从出生(第 0 天)到第 10 天产后(PND)评估母体照顾。成年后,20 只成年雌性大鼠(UChA 和 UChB 后代;每组 n = 10),120 天大,在发情期上午断头处死。

结果

UChA 雌性(提供高母体照顾)更频繁地表现出携带幼崽、舔/梳理和拱形背部哺乳行为。此外,提供高照顾的母亲皮质酮水平升高。此外,接受低母体照顾的后代表现出最长的动情周期、皮质酮和 17β-雌二醇水平升高、受体 ER-α和 ER-β表达过度、原始卵泡、窦卵泡和成熟卵泡数量增加以及颗粒细胞增殖加剧。

结论

我们的研究表明,低母体照顾会改变皮质酮和 17β-雌二醇水平,扰乱动情周期和卵泡发生,并在成年大鼠卵巢中差异调节 ER-α和 ER-β的表达。

https://cdn.ncbi.nlm.nih.gov/pmc/blobs/dde7/3265448/a2db235ea43f/1477-7827-9-160-1.jpg

文献AI研究员

20分钟写一篇综述,助力文献阅读效率提升50倍。

立即体验

用中文搜PubMed

大模型驱动的PubMed中文搜索引擎

马上搜索

文档翻译

学术文献翻译模型,支持多种主流文档格式。

立即体验