• 文献检索
  • 文档翻译
  • 深度研究
  • 学术资讯
  • Suppr Zotero 插件Zotero 插件
  • 邀请有礼
  • 套餐&价格
  • 历史记录
应用&插件
Suppr Zotero 插件Zotero 插件浏览器插件Mac 客户端Windows 客户端微信小程序
定价
高级版会员购买积分包购买API积分包
服务
文献检索文档翻译深度研究API 文档MCP 服务
关于我们
关于 Suppr公司介绍联系我们用户协议隐私条款
关注我们

Suppr 超能文献

核心技术专利:CN118964589B侵权必究
粤ICP备2023148730 号-1Suppr @ 2026

文献检索

告别复杂PubMed语法,用中文像聊天一样搜索,搜遍4000万医学文献。AI智能推荐,让科研检索更轻松。

立即免费搜索

文件翻译

保留排版,准确专业,支持PDF/Word/PPT等文件格式,支持 12+语言互译。

免费翻译文档

深度研究

AI帮你快速写综述,25分钟生成高质量综述,智能提取关键信息,辅助科研写作。

立即免费体验

一种轻度的 SLC29A3 紊乱:移码缺失导致原本无编码功能的 mRNA 剪接变异体发生反常翻译。

A mild form of SLC29A3 disorder: a frameshift deletion leads to the paradoxical translation of an otherwise noncoding mRNA splice variant.

机构信息

St. Giles Laboratory of Human Genetics of Infectious Diseases, Rockefeller Branch, The Rockefeller University, New York, New York, United States of America.

出版信息

PLoS One. 2012;7(1):e29708. doi: 10.1371/journal.pone.0029708. Epub 2012 Jan 4.

DOI:10.1371/journal.pone.0029708
PMID:22238637
原文链接:https://pmc.ncbi.nlm.nih.gov/articles/PMC3251605/
Abstract

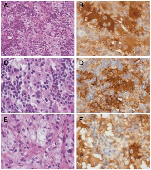
We investigated two siblings with granulomatous histiocytosis prominent in the nasal area, mimicking rhinoscleroma and Rosai-Dorfman syndrome. Genome-wide linkage analysis and whole-exome sequencing identified a homozygous frameshift deletion in SLC29A3, which encodes human equilibrative nucleoside transporter-3 (hENT3). Germline mutations in SLC29A3 have been reported in rare patients with a wide range of overlapping clinical features and inherited disorders including H syndrome, pigmented hypertrichosis with insulin-dependent diabetes, and Faisalabad histiocytosis. With the exception of insulin-dependent diabetes and mild finger and toe contractures in one sibling, the two patients with nasal granulomatous histiocytosis studied here displayed none of the many SLC29A3-associated phenotypes. This mild clinical phenotype probably results from a remarkable genetic mechanism. The SLC29A3 frameshift deletion prevents the expression of the normally coding transcripts. It instead leads to the translation, expression, and function of an otherwise noncoding, out-of-frame mRNA splice variant lacking exon 3 that is eliminated by nonsense-mediated mRNA decay (NMD) in healthy individuals. The mutated isoform differs from the wild-type hENT3 by the modification of 20 residues in exon 2 and the removal of another 28 amino acids in exon 3, which include the second transmembrane domain. As a result, this new isoform displays some functional activity. This mechanism probably accounts for the narrow and mild clinical phenotype of the patients. This study highlights the 'rescue' role played by a normally noncoding mRNA splice variant of SLC29A3, uncovering a new mechanism by which frameshift mutations can be hypomorphic.

摘要

我们研究了两名在鼻腔区域表现突出的肉芽肿性组织细胞增多症的兄弟姐妹,其表现类似于类肉瘤和罗萨达-多夫曼综合征。全基因组连锁分析和全外显子组测序鉴定出 SLC29A3 的纯合移码缺失,该基因编码人类平衡核苷转运蛋白 3(hENT3)。SLC29A3 的种系突变已在罕见的具有广泛重叠临床表现和遗传疾病的患者中报道,包括 H 综合征、伴胰岛素依赖性糖尿病的色素性多毛症和费萨拉巴德组织细胞增多症。除了一名兄弟姐妹存在胰岛素依赖性糖尿病和轻微的手指和脚趾挛缩外,这里研究的两名鼻腔肉芽肿性组织细胞增多症患者没有表现出 SLC29A3 相关表型的任何一种。这种轻度临床表型可能是由于一种显著的遗传机制。SLC29A3 的移码缺失阻止了正常编码转录物的表达。相反,它导致外显子 3 缺失的无意义 mRNA 降解(NMD)在健康个体中缺失的非编码、移码 mRNA 剪接变体的翻译、表达和功能。突变型同工型与野生型 hENT3 的不同之处在于外显子 2 中的 20 个残基的修饰和外显子 3 中另 28 个氨基酸的缺失,其中包括第二个跨膜域。因此,这种新的同工型具有一些功能活性。这种机制可能解释了患者的狭窄和轻度临床表型。本研究强调了 SLC29A3 的正常非编码 mRNA 剪接变体的“拯救”作用,揭示了一种新的机制,通过该机制,移码突变可以表现为低功能。

https://cdn.ncbi.nlm.nih.gov/pmc/blobs/a6ed/3251605/48a0b26d7ca1/pone.0029708.g004.jpg
https://cdn.ncbi.nlm.nih.gov/pmc/blobs/a6ed/3251605/3e94f5f37d13/pone.0029708.g001.jpg
https://cdn.ncbi.nlm.nih.gov/pmc/blobs/a6ed/3251605/8f6be083dd50/pone.0029708.g002.jpg
https://cdn.ncbi.nlm.nih.gov/pmc/blobs/a6ed/3251605/c1ec83c384e9/pone.0029708.g003.jpg
https://cdn.ncbi.nlm.nih.gov/pmc/blobs/a6ed/3251605/48a0b26d7ca1/pone.0029708.g004.jpg
https://cdn.ncbi.nlm.nih.gov/pmc/blobs/a6ed/3251605/3e94f5f37d13/pone.0029708.g001.jpg
https://cdn.ncbi.nlm.nih.gov/pmc/blobs/a6ed/3251605/8f6be083dd50/pone.0029708.g002.jpg
https://cdn.ncbi.nlm.nih.gov/pmc/blobs/a6ed/3251605/c1ec83c384e9/pone.0029708.g003.jpg
https://cdn.ncbi.nlm.nih.gov/pmc/blobs/a6ed/3251605/48a0b26d7ca1/pone.0029708.g004.jpg

相似文献

1
A mild form of SLC29A3 disorder: a frameshift deletion leads to the paradoxical translation of an otherwise noncoding mRNA splice variant.一种轻度的 SLC29A3 紊乱:移码缺失导致原本无编码功能的 mRNA 剪接变异体发生反常翻译。
PLoS One. 2012;7(1):e29708. doi: 10.1371/journal.pone.0029708. Epub 2012 Jan 4.
2
Phenotypic intrafamilial variability including H syndrome and Rosai-Dorfman disease associated with the same c.1088G > A mutation in the SLC29A3 gene.表型家系内变异性,包括 H 综合征和 Rosai-Dorfman 病,与 SLC29A3 基因中的相同 c.1088G > A 突变相关。
Hum Genomics. 2021 Oct 17;15(1):63. doi: 10.1186/s40246-021-00362-z.
3
A novel homozygous frame-shift mutation in the SLC29A3 gene: a new case report and review of literature.SLC29A3 基因中一个新的纯合移码突变:一个新的病例报告及文献复习。
BMC Med Genet. 2019 Aug 29;20(1):147. doi: 10.1186/s12881-019-0879-7.
4
Mutations in SLC29A3, encoding an equilibrative nucleoside transporter ENT3, cause a familial histiocytosis syndrome (Faisalabad histiocytosis) and familial Rosai-Dorfman disease.SLC29A3 基因突变导致家族性组织细胞增多症(费萨拉巴德组织细胞增多症)和家族性 Rosai-Dorfman 病,该基因编码一种平衡核苷转运蛋白 ENT3。
PLoS Genet. 2010 Feb 5;6(2):e1000833. doi: 10.1371/journal.pgen.1000833.
5
Identification of two novel mutations in SLC29A3 encoding an equilibrative nucleoside transporter (hENT3) in two distinct Syrian families with H syndrome: expression studies of SLC29A3 (hENT3) in human skin.在两个具有 H 综合征的不同叙利亚家族中,鉴定出编码协同核苷转运蛋白(hENT3)的 SLC29A3 中的两个新突变:人皮肤中 SLC29A3(hENT3)的表达研究。
Dermatology. 2012;224(3):277-84. doi: 10.1159/000338886. Epub 2012 May 31.
6
Functional outcome of a novel SLC29A3 mutation identified in a patient with H syndrome.新型 SLC29A3 突变在 H 综合征患者中的功能结果。
Biochem Biophys Res Commun. 2012 Nov 30;428(4):532-7. doi: 10.1016/j.bbrc.2012.09.143. Epub 2012 Oct 8.
7
An Egyptian family with H syndrome due to a novel mutation in SLC29A3 illustrating overlapping features with pigmented hypertrichotic dermatosis with insulin-dependent diabetes and Faisalabad histiocytosis.一个埃及人家族患有 H 综合征,其病因是 SLC29A3 中的一个新突变,该病症与色素性多毛性皮肤异色症伴胰岛素依赖型糖尿病和 Faisalabad 组织细胞增多症具有重叠特征。
Pediatr Diabetes. 2013 Sep;14(6):466-72. doi: 10.1111/j.1399-5448.2012.00925.x. Epub 2012 Sep 18.
8
SLC29A3 mutation in a patient with syndromic diabetes with features of pigmented hypertrichotic dermatosis with insulin-dependent diabetes, H syndrome and Faisalabad histiocytosis.患者存在 SLC29A3 基因突变,表现为伴有胰岛素依赖型糖尿病、H 综合征和费萨拉巴德组织细胞增生症特征的综合征性糖尿病,伴有色素性多毛性角化过度皮肤病。
Diabetes Metab. 2013 May;39(3):281-5. doi: 10.1016/j.diabet.2013.03.007. Epub 2013 Apr 23.
9
A novel start-loss mutation of the SLC29A3 gene in a consanguineous family with H syndrome: clinical characteristics, in silico analysis and literature review.一个 SLC29A3 基因新型起始缺失突变的同型合子家系与 H 综合征:临床特征、计算机分析和文献复习。
BMC Med Genomics. 2024 Jul 4;17(1):178. doi: 10.1186/s12920-024-01949-w.
10
A novel 3' untranslated region mutation in the SLC29A3 gene associated with pigmentary hypertrichosis and non-autoimmune insulin-dependent diabetes mellitus syndrome.一个新的 SLC29A3 基因 3'非翻译区突变与色素性多毛症和非自身免疫性胰岛素依赖型糖尿病综合征相关。
Pediatr Diabetes. 2019 Jun;20(4):474-481. doi: 10.1111/pedi.12839. Epub 2019 Apr 2.

引用本文的文献

1
Rheumatological manifestations of H syndrome.H综合征的风湿性表现。
Reumatologia. 2024;62(4):294-303. doi: 10.5114/reum/191751. Epub 2024 Sep 16.
2
A novel start-loss mutation of the SLC29A3 gene in a consanguineous family with H syndrome: clinical characteristics, in silico analysis and literature review.一个 SLC29A3 基因新型起始缺失突变的同型合子家系与 H 综合征:临床特征、计算机分析和文献复习。
BMC Med Genomics. 2024 Jul 4;17(1):178. doi: 10.1186/s12920-024-01949-w.
3
Current phenotypic and genetic spectrum of syndromic deafness in Tunisia: paving the way for precision auditory health.

本文引用的文献

1
Progressive hearing loss associated with a unique cervical node due to a homozygous SLC29A3 mutation: a very mild phenotype.由于纯合SLC29A3突变导致的进行性听力损失与一个独特的颈部淋巴结相关:一种非常轻微的表型。
Eur J Med Genet. 2012 Jan;55(1):56-8. doi: 10.1016/j.ejmg.2011.06.009. Epub 2011 Aug 23.
2
Gain-of-function human STAT1 mutations impair IL-17 immunity and underlie chronic mucocutaneous candidiasis.功能获得性人类 STAT1 突变会损害 IL-17 免疫,并导致慢性黏膜皮肤念珠菌病。
J Exp Med. 2011 Aug 1;208(8):1635-48. doi: 10.1084/jem.20110958. Epub 2011 Jul 4.
3
IL-12Rβ1 deficiency in two of fifty children with severe tuberculosis from Iran, Morocco, and Turkey.
突尼斯综合征性耳聋的当前表型和基因谱:为精准听觉健康铺平道路。
Front Genet. 2024 Apr 22;15:1384094. doi: 10.3389/fgene.2024.1384094. eCollection 2024.
4
The SLC29A3 variant, neutrophilic dermatosis, and hyperferritinemia imitate systemic juvenile idiopathic arthritis in a Saudi child: a case report.沙特一名儿童中SLC29A3变异、嗜中性皮肤病和高铁蛋白血症酷似全身型幼年特发性关节炎:病例报告
J Rheum Dis. 2023 Apr 1;30(2):133-137. doi: 10.4078/jrd.22.0054. Epub 2023 Mar 17.
5
OCT2 expression in histiocytoses.组织细胞增多症中的OCT2表达。
Virchows Arch. 2023 Jul;483(1):81-86. doi: 10.1007/s00428-023-03508-7. Epub 2023 Feb 9.
6
IFN-stimulated metabolite transporter ENT3 facilitates viral genome release.IFN 刺激的代谢物转运蛋白 ENT3 促进病毒基因组释放。
EMBO Rep. 2023 Mar 6;24(3):e55286. doi: 10.15252/embr.202255286. Epub 2023 Jan 18.
7
Rosai-Dorfman Disease between Proliferation and Neoplasia.增殖与肿瘤形成之间的罗萨伊-多夫曼病
Cancers (Basel). 2022 Oct 27;14(21):5271. doi: 10.3390/cancers14215271.
8
Inborn Errors of Nucleoside Transporter (NT)-Encoding Genes ( and ).先天性核苷转运体(NT)编码基因( 和 )缺陷。
Int J Mol Sci. 2022 Aug 7;23(15):8770. doi: 10.3390/ijms23158770.
9
Solute Carrier Nucleoside Transporters in Hematopoiesis and Hematological Drug Toxicities: A Perspective.造血作用和血液学药物毒性中的溶质载体核苷转运体:一种观点
Cancers (Basel). 2022 Jun 25;14(13):3113. doi: 10.3390/cancers14133113.
10
Atypical comorbidities in a child considered to have type 1 diabetes led to the diagnosis of SLC29A3 spectrum disorder.一种被认为患有 1 型糖尿病的儿童出现的非典型共病现象导致了 SLC29A3 谱系障碍的诊断。
Hormones (Athens). 2022 Sep;21(3):501-506. doi: 10.1007/s42000-022-00352-3. Epub 2022 Mar 14.
伊朗、摩洛哥和土耳其 50 例严重结核病儿童中有 2 例存在 IL-12Rβ1 缺陷。
PLoS One. 2011 Apr 13;6(4):e18524. doi: 10.1371/journal.pone.0018524.
4
Chronic mucocutaneous candidiasis in humans with inborn errors of interleukin-17 immunity.人类白细胞介素-17 免疫先天缺陷导致的慢性黏膜皮肤念珠菌病。
Science. 2011 Apr 1;332(6025):65-8. doi: 10.1126/science.1200439. Epub 2011 Feb 24.
5
CNS involvement and treatment with interferon-α are independent prognostic factors in Erdheim-Chester disease: a multicenter survival analysis of 53 patients.中枢神经系统受累和干扰素-α治疗是 Erdheim-Chester 病的独立预后因素:53 例患者的多中心生存分析。
Blood. 2011 Mar 10;117(10):2778-82. doi: 10.1182/blood-2010-06-294108. Epub 2011 Jan 14.
6
A case of H syndrome showing immunophenotye similarities to Rosai-Dorfman disease.一例表现出与罗萨伊-多夫曼病免疫表型相似性的H综合征病例。
Am J Dermatopathol. 2011 Feb;33(1):47-51. doi: 10.1097/DAD.0b013e3181ee547c.
7
Whole-exome-sequencing-based discovery of human FADD deficiency.基于全外显子测序的人类 FADD 缺陷的发现。
Am J Hum Genet. 2010 Dec 10;87(6):873-81. doi: 10.1016/j.ajhg.2010.10.028. Epub 2010 Nov 25.
8
Life-threatening infectious diseases of childhood: single-gene inborn errors of immunity?儿童危及生命的传染病:单基因先天性免疫缺陷?
Ann N Y Acad Sci. 2010 Dec;1214:18-33. doi: 10.1111/j.1749-6632.2010.05834.x. Epub 2010 Nov 22.
9
A map of human genome variation from population-scale sequencing.人类基因组变异的图谱来自于基于人群的测序。
Nature. 2010 Oct 28;467(7319):1061-73. doi: 10.1038/nature09534.
10
Whole-exome sequencing-based discovery of STIM1 deficiency in a child with fatal classic Kaposi sarcoma.基于全外显子组测序在患有致命性经典型卡波西肉瘤的儿童中发现 STIM1 缺陷。
J Exp Med. 2010 Oct 25;207(11):2307-12. doi: 10.1084/jem.20101597. Epub 2010 Sep 27.