Renal Division, Beth Israel Deaconess Medical Center, Boston, MA 02215, USA.
Lab Invest. 2012 May;92(5):662-75. doi: 10.1038/labinvest.2011.198. Epub 2012 Jan 16.
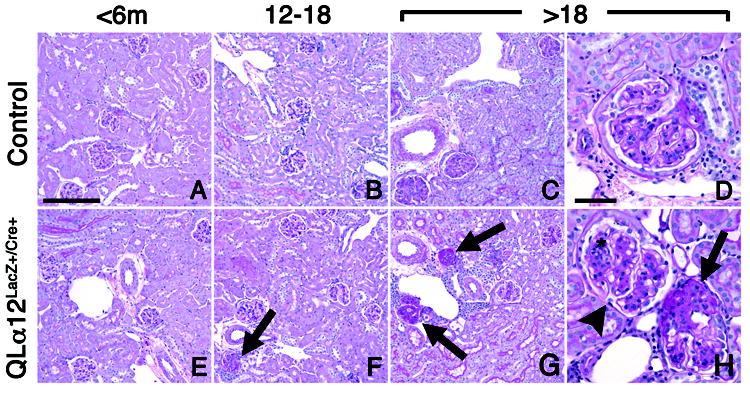
Glomerulosclerosis is a common pathological finding that often progresses to renal failure. The mechanisms of chronic kidney disease progression are not well defined, but may include activation of numerous vasoactive and inflammatory pathways. We hypothesized that podocytes are susceptible to filtered plasma components, including hormones and growth factors that stimulate signaling pathways leading to glomerulosclerosis. Gα12 couples to numerous G-protein-coupled receptors (GPCRs) and regulates multiple epithelial responses, including proliferation, apoptosis, permeability and the actin cytoskeleton. Herein, we report that genetic activation of Gα12 in podocytes leads to time-dependent increases in proteinuria and glomerulosclerosis. To mimic activation of Gα12 pathways, constitutively active Gα12 (QL) was conditionally expressed in podocytes using Nphs2-Cre and LacZ/floxed QLα12 transgenic mice. Some QLα12(LacZ+/Cre+) mice developed proteinuria at 4-6 months, and most were proteinuric by 12 months. Proteinuria increased with age, and by 12-14 months, many demonstrated glomerulosclerosis with ultrastructural changes, including foot process fusion and both mesangial and subendothelial deposits. QLα12(LacZ+/Cre+) mice showed no changes in podocyte number, apoptosis, proliferation or Rho/Src activation. Real-time PCR revealed no significant changes in Nphs1, Nphs2, Cd2ap or Trpc6 expression, but Col4a2 message was increased in younger and older mice, while Col4a5 was decreased in older mice. Confocal microscopy revealed disordered collagen IVα1/2 staining in older mice and loss of α5 without changes in other collagen IV subunits. Taken together, these studies suggest that Gα12 activation promotes glomerular injury without podocyte depletion through a novel mechanism regulating collagen (α)IV expression, and supports the notion that glomerular damage may accrue through persistent GPCR activation in podocytes.
肾小球硬化是一种常见的病理发现,常导致肾衰竭。慢性肾脏病进展的机制尚未完全明确,但可能包括许多血管活性和炎症途径的激活。我们假设足细胞易受滤过的血浆成分的影响,包括刺激导致肾小球硬化的信号通路的激素和生长因子。Gα12 与许多 G 蛋白偶联受体 (GPCR) 偶联,并调节多种上皮细胞反应,包括增殖、凋亡、通透性和肌动蛋白细胞骨架。在此,我们报告在足细胞中遗传激活 Gα12 会导致蛋白尿和肾小球硬化的时间依赖性增加。为了模拟 Gα12 途径的激活,使用 Nphs2-Cre 和 LacZ/floxed QLα12 转基因小鼠在足细胞中条件表达组成型激活的 Gα12 (QL)。一些 QLα12(LacZ+/Cre+) 小鼠在 4-6 个月时出现蛋白尿,大多数在 12 个月时出现蛋白尿。蛋白尿随年龄增长而增加,到 12-14 个月时,许多小鼠出现肾小球硬化伴超微结构改变,包括足突融合以及系膜和内皮下沉积物。QLα12(LacZ+/Cre+) 小鼠的足细胞数量、凋亡、增殖或 Rho/Src 激活没有变化。实时 PCR 显示 Nphs1、Nphs2、Cd2ap 或 Trpc6 的表达没有显著变化,但 Col4a2 基因在年轻和年老的小鼠中增加,而 Col4a5 在年老的小鼠中减少。共聚焦显微镜显示,年老小鼠的胶原 IVα1/2 染色紊乱,α5 丢失而其他胶原 IV 亚基无变化。综上所述,这些研究表明,Gα12 激活通过调节胶原 (α)IV 表达的新机制促进肾小球损伤而不导致足细胞耗竭,并支持肾小球损伤可能通过足细胞中持续的 GPCR 激活而累积的观点。