Suppr超能文献

Spontaneous histiocytic sarcoma of the popliteal lymph node in a young sprague-dawley rat.

作者信息

Kemmochi Yusuke, Takahashi Akemi, Miyajima Katsuhiro, Yasui Yuzo, Tanoue Gimpei, Shoda Toshiyuki, Kakimoto Kochi

机构信息

Toxicology Research Laboratories, Central Pharmaceutical Research Institute, Japan Tobacco Inc., 23 Naganuki, Hadano, Kanagawa 257-0024, Japan.

出版信息

J Toxicol Pathol. 2010 Sep;23(3):161-4. doi: 10.1293/tox.23.161. Epub 2010 Oct 5.

Abstract

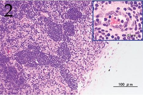
The present report describes a rare case of spontaneous primary histiocytic sarcoma of the popliteal lymph node in a 19-week-old female Sprague-Dawley (SD) rat. At necropsy, a 10 mm-diameter whitish nodule was found at the site of the femoral muscle in the right hindlimb. Histopathologically, the nodule comprised large pleomorphic histiocyte-like cells with abundant eosinophilic or foamy cytoplasm. Multinucleated giant cells, necrotic foci surrounded by palisading arrays of epithelioid histiocyte-like cells and phagocytosis of cell debris or erythrocytes by the neoplastic cells were occasionally observed. Invasion of the tumor cells into the surrounding adipose tissue was found focally, but there were no distal metastases. Immunohistochemically, the neoplastic cells were positive for vimentin, CD68 (ED1) and lysozyme. We concluded that this tumor occurred in the popliteal lymph node, considering the anatomical location of the lesion and the presence of the remnants of lymphoid tissue involved in the tumor.

摘要
https://cdn.ncbi.nlm.nih.gov/pmc/blobs/5130/3234611/0773c4f3789e/tox-23-161-g001.jpg

相似文献

1
Spontaneous histiocytic sarcoma of the popliteal lymph node in a young sprague-dawley rat.
J Toxicol Pathol. 2010 Sep;23(3):161-4. doi: 10.1293/tox.23.161. Epub 2010 Oct 5.
2
Spontaneous histiocytic sarcoma originating from the epididymis in a CD-1 mouse.
J Toxicol Pathol. 2024 Jul;37(3):133-137. doi: 10.1293/tox.2024-0022. Epub 2024 May 8.
3
Histiocytic sarcoma in the tarsus of a cat.
Vet Pathol. 2006 Nov;43(6):1014-7. doi: 10.1354/vp.43-6-1014.
6
Histiocytic sarcoma arising from a lymph node: a diagnostic conundrum.
Int Cancer Conf J. 2021 May 21;10(3):244-247. doi: 10.1007/s13691-021-00489-9. eCollection 2021 Jul.
8
Extranodal histiocytic sarcoma: clinicopathologic analysis of 14 cases of a rare epithelioid malignancy.
Am J Surg Pathol. 2004 Sep;28(9):1133-44. doi: 10.1097/01.pas.0000131541.95394.23.
9
[Histiocytic sarcoma: a clinicopathologic study of 6 cases].
Zhonghua Bing Li Xue Za Zhi. 2010 Feb;39(2):79-83.
10
Pathological features of intrathoracic histiocytic sarcoma in an Amami spiny rat (Tokudaia osimensis).
J Vet Med Sci. 2024 Oct 1;86(10):1076-1080. doi: 10.1292/jvms.24-0185. Epub 2024 Aug 9.

引用本文的文献

本文引用的文献

1
Structure and function of rat lymph nodes.
Arch Histol Cytol. 2008 Sep;71(2):69-76. doi: 10.1679/aohc.71.69.
3
Early occurrence of spontaneous tumors in CD-1 mice and Sprague-Dawley rats.
Toxicol Pathol. 2004 Jul-Aug;32(4):371-4. doi: 10.1080/01926230490440871.
4
Macrophage-like cell line (HS-P) from a rat histiocytic sarcoma.
J Comp Pathol. 2001 Feb-Apr;124(2-3):183-91. doi: 10.1053/jcpa.2000.0452.
6
The morphology, immunohistochemistry, and incidence of hematopoietic neoplasms in mice and rats.
Toxicol Pathol. 1993;21(2):206-18. doi: 10.1177/019262339302100213.

文献AI研究员

20分钟写一篇综述,助力文献阅读效率提升50倍。

立即体验

用中文搜PubMed

大模型驱动的PubMed中文搜索引擎

马上搜索

文档翻译

学术文献翻译模型,支持多种主流文档格式。

立即体验