Suppr超能文献

皮质性耳聋中听觉 P300 样电位的保存。

Preservation of auditory P300-like potentials in cortical deafness.

机构信息

San Camillo Foundation, Institute of Care and Research, Venice, Italy.

出版信息

PLoS One. 2012;7(1):e29909. doi: 10.1371/journal.pone.0029909. Epub 2012 Jan 17.

Abstract

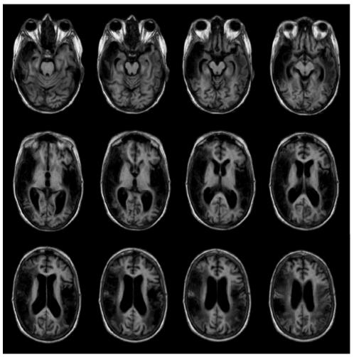
The phenomenon of blindsight has been largely studied and refers to residual abilities of blind patients without an acknowledged visual awareness. Similarly, "deaf hearing" might represent a further example of dissociation between detection and perception of sounds. Here we report the rare case of a patient with a persistent and complete cortical deafness caused by damage to the bilateral temporo-parietal lobes who occasionally showed unexpected reactions to environmental sounds despite she denied hearing. We applied for the first time electrophysiological techniques to better understand auditory processing and perceptual awareness of the patient. While auditory brainstem responses were within normal limits, no middle- and long-latency waveforms could be identified. However, event-related potentials showed conflicting results. While the Mismatch Negativity could not be evoked, robust P3-like waveforms were surprisingly found in the latency range of 600-700 ms. The generation of P3-like potentials, despite extensive destruction of the auditory cortex, might imply the integrity of independent circuits necessary to process auditory stimuli even in the absence of consciousness of sound. Our results support the reverse hierarchy theory that asserts that the higher levels of the hierarchy are immediately available for perception, while low-level information requires more specific conditions. The accurate characterization in terms of anatomy and neurophysiology of the auditory lesions might facilitate understanding of the neural substrates involved in deaf-hearing.

摘要

盲视现象已得到广泛研究,指的是失明患者在没有明显视觉意识的情况下残留的能力。同样,“聋听”可能代表了声音检测和感知之间分离的另一个例子。在这里,我们报告了一例罕见的双侧颞顶叶损伤导致的持续且完全的皮质性耳聋患者的病例,尽管她否认自己能听到声音,但她偶尔会对环境声音做出意想不到的反应。我们首次应用电生理技术来更好地理解患者的听觉处理和知觉意识。尽管听觉脑干反应在正常范围内,但无法识别中潜伏期和长潜伏期的波形。然而,事件相关电位的结果却相互矛盾。虽然无法诱发失匹配负波,但令人惊讶的是,在 600-700 毫秒的潜伏期范围内发现了类似 P3 的强波。尽管听觉皮层广泛受损,但类似 P3 的电位的产生可能意味着即使没有声音的意识,也需要有独立的电路来处理听觉刺激,这些电路是完整的。我们的结果支持了反向层次理论,该理论认为,层次结构的较高层次可以立即用于感知,而低层次信息则需要更具体的条件。从解剖学和神经生理学方面对听觉损伤进行准确描述,可能有助于理解参与聋听的神经基质。

https://cdn.ncbi.nlm.nih.gov/pmc/blobs/39c0/3260175/326baaf0e88e/pone.0029909.g001.jpg

文献检索

告别复杂PubMed语法,用中文像聊天一样搜索,搜遍4000万医学文献。AI智能推荐,让科研检索更轻松。

立即免费搜索

文件翻译

保留排版,准确专业,支持PDF/Word/PPT等文件格式,支持 12+语言互译。

免费翻译文档

深度研究

AI帮你快速写综述,25分钟生成高质量综述,智能提取关键信息,辅助科研写作。

立即免费体验