Suppr超能文献

人工晶状体植入术后6年的假晶状体患者发生外伤性无虹膜。

Traumatic aniridia in a pseudophakic patient 6 years following surgery.

作者信息

Mikhail Mikel, Koushan Keyvan, Sharda Rajeshvar K, Isaza Gloria, Mann Keith D

机构信息

Michael G DeGroote School of Medicine, McMaster University, Hamilton, ON, Canada.

出版信息

Clin Ophthalmol. 2012;6:237-41. doi: 10.2147/OPTH.S25396. Epub 2012 Feb 10.

Abstract

PURPOSE

To report a case of aniridia in a pseudophakic patient following blunt trauma to the eye.

CASE REPORT

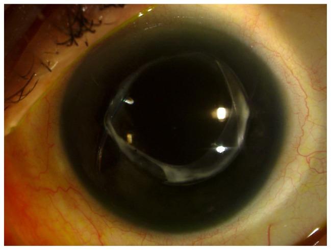
The traumatized eye had cataract surgery through a 3.0 mm clear corneal incision 6 years prior to the incident. While there have been previous cases of traumatic aniridia in pseudophakic eyes, previous reports have all occurred closer to the time of the cataract surgery. We believe that the most likely mechanism of loss of iris tissue is through wound dehiscence, which would suggest the relative instability of clear corneal incisions several years postoperatively. The patient's visual acuity returned to 20/20 4 weeks post-trauma, with symptoms of glare which were managed by the use of a colored contact lens.

CONCLUSION

The possibility of wound dehiscence should be recognized as an important clinical entity in the immediate postoperative period, but also several years following cataract surgery.

摘要

目的

报告一例人工晶状体眼钝挫伤后发生无虹膜的病例。

病例报告

该受伤眼在此次事件发生6年前通过3.0毫米透明角膜切口进行了白内障手术。虽然之前有过人工晶状体眼外伤性无虹膜的病例,但之前的报告均发生在更接近白内障手术的时间。我们认为虹膜组织缺失最可能的机制是伤口裂开,这表明透明角膜切口在术后数年相对不稳定。患者伤后4周视力恢复到20/20,有眩光症状,通过佩戴有色隐形眼镜得以缓解。

结论

伤口裂开的可能性应被视为术后即刻以及白内障手术后数年的一个重要临床问题。

https://cdn.ncbi.nlm.nih.gov/pmc/blobs/cba3/3280105/1b6693c61477/opth-6-237f1a.jpg

文献检索

告别复杂PubMed语法,用中文像聊天一样搜索,搜遍4000万医学文献。AI智能推荐,让科研检索更轻松。

立即免费搜索

文件翻译

保留排版,准确专业,支持PDF/Word/PPT等文件格式,支持 12+语言互译。

免费翻译文档

深度研究

AI帮你快速写综述,25分钟生成高质量综述,智能提取关键信息,辅助科研写作。

立即免费体验