• 文献检索
  • 文档翻译
  • 深度研究
  • 学术资讯
  • Suppr Zotero 插件Zotero 插件
  • 邀请有礼
  • 套餐&价格
  • 历史记录
应用&插件
Suppr Zotero 插件Zotero 插件浏览器插件Mac 客户端Windows 客户端微信小程序
定价
高级版会员购买积分包购买API积分包
服务
文献检索文档翻译深度研究API 文档MCP 服务
关于我们
关于 Suppr公司介绍联系我们用户协议隐私条款
关注我们

Suppr 超能文献

核心技术专利:CN118964589B侵权必究
粤ICP备2023148730 号-1Suppr @ 2026

文献检索

告别复杂PubMed语法,用中文像聊天一样搜索,搜遍4000万医学文献。AI智能推荐,让科研检索更轻松。

立即免费搜索

文件翻译

保留排版,准确专业,支持PDF/Word/PPT等文件格式,支持 12+语言互译。

免费翻译文档

深度研究

AI帮你快速写综述,25分钟生成高质量综述,智能提取关键信息,辅助科研写作。

立即免费体验

高衰减肺部异常的CT表现

CT findings of high-attenuation pulmonary abnormalities.

作者信息

Ceylan Naim, Bayraktaroglu Selen, Savaş Recep, Alper Hudaver

机构信息

Department of Radiology, Ege University School of Medicine, Bornova, Izmir, 35100 Turkey.

出版信息

Insights Imaging. 2010 Sep;1(4):287-292. doi: 10.1007/s13244-010-0039-2. Epub 2010 Sep 4.

DOI:10.1007/s13244-010-0039-2
PMID:22347923
原文链接:https://pmc.ncbi.nlm.nih.gov/articles/PMC3259307/
Abstract

OBJECTIVES

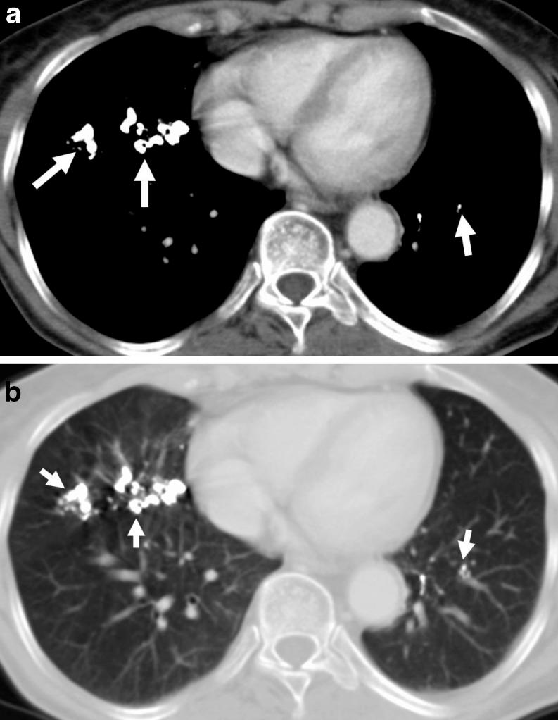
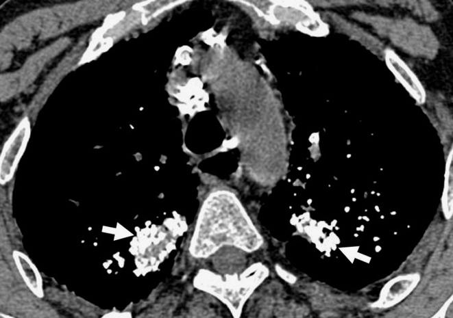
To review the computed tomography (CT) findings of common and uncommon high-attenuation pulmonary lesions and to present a classification scheme of the various entities that can result in high-attenuation pulmonary abnormalities based on the pattern and distribution of findings on CT. BACKGROUND: High-attenuation pulmonary abnormalities can result from the deposition of calcium or, less commonly, other high-attenuation material such as talc, amiodarone, iron, tin, mercury and barium sulphate. CT is highly sensitive in the detection of areas of abnormally high attenuation in the lung parenchyma, airways, mediastinum and pleura. The cause of the calcifications and other high-attenuation conditions may be determined based on the location and pattern of the abnormalities within the lung parenchyma and knowledge of the associated clinical features. RESULTS: We have presented a diagnostic approach based on the presence and distribution of five main patterns of high-attenuation conditions on CT: (1) small hyperdense nodules, (2) large calcified nodules or masses, (3) high-attenuation linear or reticular pattern, (4) high-attenuation consolidation and (5) high attenuation extraparenchymal lesions. CONCLUSIONS: Some high-attenuation pulmonary abnormalities have characteristic CT findings suggesting the correct diagnosis. In other diseases, a combination of clinical features and radiological findings can significantly improve diagnostic accuracy.

摘要

目的

回顾常见及不常见的高衰减肺病变的计算机断层扫描(CT)表现,并基于CT表现的模式和分布,提出可导致高衰减肺异常的各种实体的分类方案。背景:肺高衰减异常可由钙沉积引起,或较少见的由其他高衰减物质如滑石粉、胺碘酮、铁、锡、汞和硫酸钡沉积引起。CT对检测肺实质、气道、纵隔和胸膜内异常高衰减区域高度敏感。钙化及其他高衰减情况的病因可根据肺实质内异常的位置和模式以及相关临床特征来确定。结果:我们提出了一种基于CT上高衰减情况的五种主要模式的存在和分布的诊断方法:(1)小的高密度结节,(2)大的钙化结节或肿块,(3)高衰减线性或网状模式,(4)高衰减实变,(5)高衰减肺外病变。结论:一些肺高衰减异常具有特征性的CT表现,提示正确诊断。在其他疾病中,临床特征和影像学表现相结合可显著提高诊断准确性。

https://cdn.ncbi.nlm.nih.gov/pmc/blobs/b48f/3288859/f8c2aac96177/13244_2010_39_Fig15_HTML.jpg
https://cdn.ncbi.nlm.nih.gov/pmc/blobs/b48f/3288859/5a7c5596f6dd/13244_2010_39_Fig1_HTML.jpg
https://cdn.ncbi.nlm.nih.gov/pmc/blobs/b48f/3288859/f2ca04c4cc4f/13244_2010_39_Fig2_HTML.jpg
https://cdn.ncbi.nlm.nih.gov/pmc/blobs/b48f/3288859/d89ec621e714/13244_2010_39_Fig3_HTML.jpg
https://cdn.ncbi.nlm.nih.gov/pmc/blobs/b48f/3288859/cfeba54038f7/13244_2010_39_Fig4_HTML.jpg
https://cdn.ncbi.nlm.nih.gov/pmc/blobs/b48f/3288859/365cde201fa0/13244_2010_39_Fig5_HTML.jpg
https://cdn.ncbi.nlm.nih.gov/pmc/blobs/b48f/3288859/e97f2dc2d6ff/13244_2010_39_Fig6_HTML.jpg
https://cdn.ncbi.nlm.nih.gov/pmc/blobs/b48f/3288859/9b9b1b527733/13244_2010_39_Fig7_HTML.jpg
https://cdn.ncbi.nlm.nih.gov/pmc/blobs/b48f/3288859/fd0502a7c10b/13244_2010_39_Fig8_HTML.jpg
https://cdn.ncbi.nlm.nih.gov/pmc/blobs/b48f/3288859/250f1f6c6ea6/13244_2010_39_Fig9_HTML.jpg
https://cdn.ncbi.nlm.nih.gov/pmc/blobs/b48f/3288859/e7a9795e77ad/13244_2010_39_Fig10_HTML.jpg
https://cdn.ncbi.nlm.nih.gov/pmc/blobs/b48f/3288859/d6f92bfd971e/13244_2010_39_Fig11_HTML.jpg
https://cdn.ncbi.nlm.nih.gov/pmc/blobs/b48f/3288859/fb103920095c/13244_2010_39_Fig12_HTML.jpg
https://cdn.ncbi.nlm.nih.gov/pmc/blobs/b48f/3288859/58ed4ceefd9c/13244_2010_39_Fig13_HTML.jpg
https://cdn.ncbi.nlm.nih.gov/pmc/blobs/b48f/3288859/7794e9b2ade5/13244_2010_39_Fig14_HTML.jpg
https://cdn.ncbi.nlm.nih.gov/pmc/blobs/b48f/3288859/f8c2aac96177/13244_2010_39_Fig15_HTML.jpg
https://cdn.ncbi.nlm.nih.gov/pmc/blobs/b48f/3288859/5a7c5596f6dd/13244_2010_39_Fig1_HTML.jpg
https://cdn.ncbi.nlm.nih.gov/pmc/blobs/b48f/3288859/f2ca04c4cc4f/13244_2010_39_Fig2_HTML.jpg
https://cdn.ncbi.nlm.nih.gov/pmc/blobs/b48f/3288859/d89ec621e714/13244_2010_39_Fig3_HTML.jpg
https://cdn.ncbi.nlm.nih.gov/pmc/blobs/b48f/3288859/cfeba54038f7/13244_2010_39_Fig4_HTML.jpg
https://cdn.ncbi.nlm.nih.gov/pmc/blobs/b48f/3288859/365cde201fa0/13244_2010_39_Fig5_HTML.jpg
https://cdn.ncbi.nlm.nih.gov/pmc/blobs/b48f/3288859/e97f2dc2d6ff/13244_2010_39_Fig6_HTML.jpg
https://cdn.ncbi.nlm.nih.gov/pmc/blobs/b48f/3288859/9b9b1b527733/13244_2010_39_Fig7_HTML.jpg
https://cdn.ncbi.nlm.nih.gov/pmc/blobs/b48f/3288859/fd0502a7c10b/13244_2010_39_Fig8_HTML.jpg
https://cdn.ncbi.nlm.nih.gov/pmc/blobs/b48f/3288859/250f1f6c6ea6/13244_2010_39_Fig9_HTML.jpg
https://cdn.ncbi.nlm.nih.gov/pmc/blobs/b48f/3288859/e7a9795e77ad/13244_2010_39_Fig10_HTML.jpg
https://cdn.ncbi.nlm.nih.gov/pmc/blobs/b48f/3288859/d6f92bfd971e/13244_2010_39_Fig11_HTML.jpg
https://cdn.ncbi.nlm.nih.gov/pmc/blobs/b48f/3288859/fb103920095c/13244_2010_39_Fig12_HTML.jpg
https://cdn.ncbi.nlm.nih.gov/pmc/blobs/b48f/3288859/58ed4ceefd9c/13244_2010_39_Fig13_HTML.jpg
https://cdn.ncbi.nlm.nih.gov/pmc/blobs/b48f/3288859/7794e9b2ade5/13244_2010_39_Fig14_HTML.jpg
https://cdn.ncbi.nlm.nih.gov/pmc/blobs/b48f/3288859/f8c2aac96177/13244_2010_39_Fig15_HTML.jpg

相似文献

1
CT findings of high-attenuation pulmonary abnormalities.高衰减肺部异常的CT表现
Insights Imaging. 2010 Sep;1(4):287-292. doi: 10.1007/s13244-010-0039-2. Epub 2010 Sep 4.
2
Stepwise diagnostic algorithm for high-attenuation pulmonary abnormalities on CT.CT上高衰减肺部异常的逐步诊断算法
Insights Imaging. 2023 Oct 20;14(1):177. doi: 10.1186/s13244-023-01501-x.
3
Pulmonary cryptococcosis: CT findings in immunocompetent patients.肺隐球菌病:免疫功能正常患者的CT表现
Radiology. 2005 Jul;236(1):326-31. doi: 10.1148/radiol.2361040460.
4
Pulmonary high-resolution ultrashort TE MR imaging: Comparison with thin-section standard- and low-dose computed tomography for the assessment of pulmonary parenchyma diseases.肺部高分辨率超短回波时间磁共振成像:与薄层标准剂量和低剂量计算机断层扫描在评估肺实质疾病中的比较。
J Magn Reson Imaging. 2016 Feb;43(2):512-32. doi: 10.1002/jmri.25008. Epub 2015 Jul 30.
5
Serial high-resolution computed tomography imaging in patients with Wegener granulomatosis: differentiation between active inflammatory and chronic fibrotic lesions.
Acta Radiol. 2005 Aug;46(5):484-91. doi: 10.1080/02841850510021733.
6
CT findings of granulomatous pneumonitis secondary to Mycobacterium avium-intracellulare inhalation: "hot tub lung".吸入鸟分枝杆菌-胞内分枝杆菌继发肉芽肿性肺炎的CT表现:“热水浴缸肺”
AJR Am J Roentgenol. 2007 Apr;188(4):1050-3. doi: 10.2214/AJR.06.0546.
7
Pulmonary alveolar microlithiasis: CT and pathologic findings in 10 patients.肺泡微结石症:10例患者的CT及病理表现
Monaldi Arch Chest Dis. 2005 Mar;63(1):59-64. doi: 10.4081/monaldi.2005.659.
8
CT of the lung: patterns of calcification and other high-attenuation abnormalities.
AJR Am J Roentgenol. 1994 May;162(5):1063-6. doi: 10.2214/ajr.162.5.8165982.
9
Pulmonary cryptococcosis: comparison of CT findings in immunocompetent and immunocompromised patients.肺隐球菌病:免疫功能正常和免疫功能低下患者的CT表现比较
Acta Radiol. 2015 Apr;56(4):447-53. doi: 10.1177/0284185114529105. Epub 2014 Apr 22.
10
Pulmonary complications after bone marrow transplantation: high-resolution CT and pathologic findings.骨髓移植后的肺部并发症:高分辨率CT及病理表现
Radiographics. 1997 Nov-Dec;17(6):1359-71. doi: 10.1148/radiographics.17.6.9397451.

引用本文的文献

1
Aluminosis pneumoconiosis presenting as hyperdense lung nodules.以肺部高密度结节为表现的铝尘肺
Radiol Case Rep. 2024 Mar 22;19(6):2347-2350. doi: 10.1016/j.radcr.2024.02.107. eCollection 2024 Jun.
2
Unusual focal opacities in the lungs.肺部出现异常局灶性混浊。
Saudi Med J. 2019 Dec;40(12):1299-1302. doi: 10.15537/smj.2019.12.24689.
3
Thoracic calcifications on magnetic resonance imaging: correlations with computed tomography.磁共振成像上的胸钙化:与 CT 的相关性。

本文引用的文献

1
Consolidation with diffuse or focal high attenuation: computed tomography findings.伴有弥漫性或局灶性高衰减的实变:计算机断层扫描表现
J Thorac Imaging. 2008 Nov;23(4):298-304. doi: 10.1097/RTI.0b013e3181788d39.
2
Unusual manifestations of metastatic pulmonary calcification: high-resolution CT and pathological findings.转移性肺钙化的不寻常表现:高分辨率CT及病理结果
J Thorac Imaging. 2005 May;20(2):66-70. doi: 10.1097/01.rti.0000141353.39373.01.
3
Diffuse high-attenuation pulmonary abnormalities: a pattern-oriented diagnostic approach on high-resolution CT.
J Bras Pneumol. 2019 Jul 29;45(4):e20180168. doi: 10.1590/1806-3713/e20180168.
4
Association between Image Characteristics on Chest CT and Severe Pleural Adhesion during Lung Cancer Surgery.胸部CT图像特征与肺癌手术中严重胸膜粘连的相关性
PLoS One. 2016 May 12;11(5):e0154694. doi: 10.1371/journal.pone.0154694. eCollection 2016.
5
Severe Endobronchial Inflammation Induced by Aspiration of a Ferrous Sulfate Tablet.硫酸亚铁片误吸导致的严重支气管内炎症
Tuberc Respir Dis (Seoul). 2016 Jan;79(1):37-41. doi: 10.4046/trd.2016.79.1.37. Epub 2015 Dec 31.
AJR Am J Roentgenol. 2005 Jan;184(1):273-82. doi: 10.2214/ajr.184.1.01840273.
4
Diffuse pulmonary ossification.弥漫性肺骨化
J Thorac Imaging. 2004 Apr;19(2):98-102. doi: 10.1097/00005382-200404000-00007.
5
Imaging of occupational lung disease.职业性肺病的影像学检查
Radiographics. 2001 Nov-Dec;21(6):1371-91. doi: 10.1148/radiographics.21.6.g01nv011371.
6
Silicoproteinosis: high-resolution CT and histologic findings.
J Thorac Imaging. 2001 Apr;16(2):127-9. doi: 10.1097/00005382-200104000-00012.
7
Pulmonary calcifications: a review.肺钙化:综述
Respir Med. 2000 Mar;94(3):190-3. doi: 10.1053/rmed.1999.0716.
8
CT of the lung: patterns of calcification and other high-attenuation abnormalities.
AJR Am J Roentgenol. 1994 May;162(5):1063-6. doi: 10.2214/ajr.162.5.8165982.
9
Intrathoracic calcifications: radiographic features and differential diagnoses.胸内钙化:影像学特征及鉴别诊断
Radiographics. 1994 Nov;14(6):1247-61. doi: 10.1148/radiographics.14.6.7855339.
10
CT findings in transdiaphragmatic empyema necessitatis due to tuberculosis.
J Comput Assist Tomogr. 1987 Jul-Aug;11(4):704-6. doi: 10.1097/00004728-198707000-00029.