• 文献检索
  • 文档翻译
  • 深度研究
  • 学术资讯
  • Suppr Zotero 插件Zotero 插件
  • 邀请有礼
  • 套餐&价格
  • 历史记录
应用&插件
Suppr Zotero 插件Zotero 插件浏览器插件Mac 客户端Windows 客户端微信小程序
定价
高级版会员购买积分包购买API积分包
服务
文献检索文档翻译深度研究API 文档MCP 服务
关于我们
关于 Suppr公司介绍联系我们用户协议隐私条款
关注我们

Suppr 超能文献

核心技术专利:CN118964589B侵权必究
粤ICP备2023148730 号-1Suppr @ 2026

文献检索

告别复杂PubMed语法,用中文像聊天一样搜索,搜遍4000万医学文献。AI智能推荐,让科研检索更轻松。

立即免费搜索

文件翻译

保留排版,准确专业,支持PDF/Word/PPT等文件格式,支持 12+语言互译。

免费翻译文档

深度研究

AI帮你快速写综述,25分钟生成高质量综述,智能提取关键信息,辅助科研写作。

立即免费体验

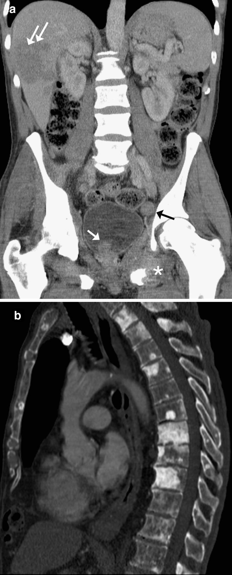
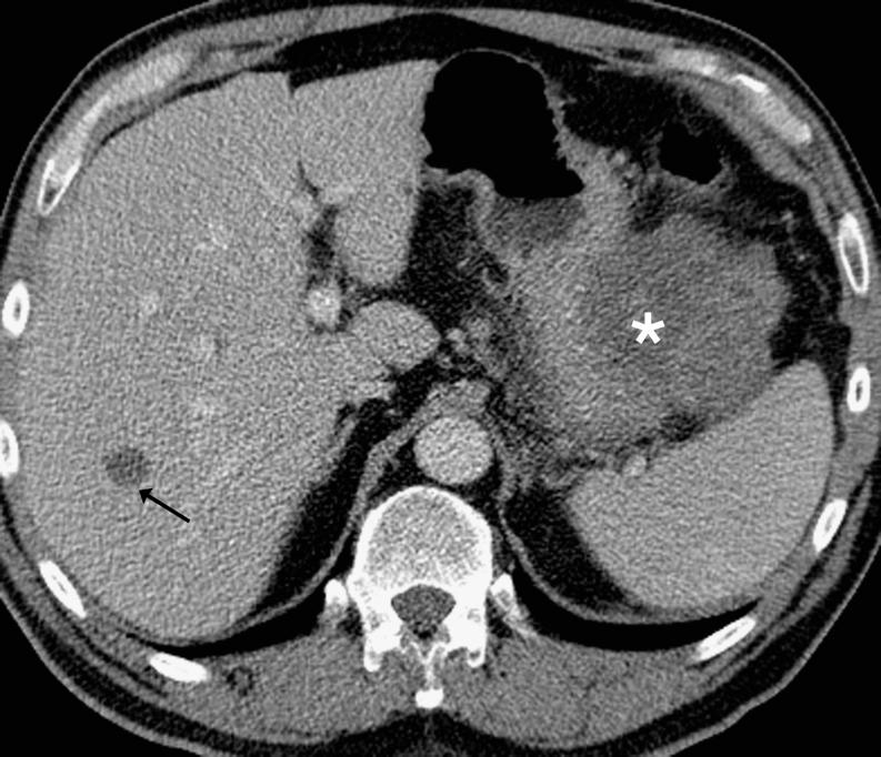
腹部和骨盆常见原发性肿瘤及其在多排螺旋计算机断层扫描上显示的肿瘤扩散模式。

Common primary tumours of the abdomen and pelvis and their patterns of tumour spread as seen on multi-detector computed tomography.

作者信息

Griffin Nyree, Burke Christopher, Grant Lee Alexander

出版信息

Insights Imaging. 2011 Jun;2(3):205-214. doi: 10.1007/s13244-011-0089-0. Epub 2011 Apr 14.

DOI:10.1007/s13244-011-0089-0
PMID:22347948
原文链接:https://pmc.ncbi.nlm.nih.gov/articles/PMC3259344/
Abstract

BACKGROUND

Multidetector computed tomography (MDCT) has become the main investigation of choice for staging of many cancers. AIM: The purpose of this pictorial review is to discuss the imaging appearances on CT of some of the more common cancers arising within the abdomen and pelvis and to describe their typical sites of local, nodal and haematogenous tumour spread. METHODS: Cancers arising from the stomach, pancreas, colon, kidney, ovary and prostate will be reviewed. RESULTS: Awareness of the characteristic sites of tumour spread is important to allow accurate identification of all sites of disease. CONCLUSION: This will clearly have an impact on both patient management and prognosis.

摘要

背景

多排螺旋计算机断层扫描(MDCT)已成为许多癌症分期的主要首选检查方法。目的:本影像综述的目的是讨论腹部和盆腔内一些较常见癌症的CT影像表现,并描述其局部、淋巴结及血行肿瘤转移的典型部位。方法:将对源自胃、胰腺、结肠、肾、卵巢和前列腺的癌症进行综述。结果:了解肿瘤转移的特征部位对于准确识别所有疾病部位很重要。结论:这显然会对患者的治疗和预后产生影响。

https://cdn.ncbi.nlm.nih.gov/pmc/blobs/6b01/3288990/a227b5b5b41d/13244_2011_89_Fig9_HTML.jpg
https://cdn.ncbi.nlm.nih.gov/pmc/blobs/6b01/3288990/6b442cbd4e18/13244_2011_89_Fig1_HTML.jpg
https://cdn.ncbi.nlm.nih.gov/pmc/blobs/6b01/3288990/4b6eb3dec9f4/13244_2011_89_Fig2_HTML.jpg
https://cdn.ncbi.nlm.nih.gov/pmc/blobs/6b01/3288990/ef6ed26d8ae7/13244_2011_89_Fig3_HTML.jpg
https://cdn.ncbi.nlm.nih.gov/pmc/blobs/6b01/3288990/9acf7219783b/13244_2011_89_Fig4_HTML.jpg
https://cdn.ncbi.nlm.nih.gov/pmc/blobs/6b01/3288990/f1771d2259d3/13244_2011_89_Fig5_HTML.jpg
https://cdn.ncbi.nlm.nih.gov/pmc/blobs/6b01/3288990/4077d630aa7b/13244_2011_89_Fig6_HTML.jpg
https://cdn.ncbi.nlm.nih.gov/pmc/blobs/6b01/3288990/3d1c4c1d97da/13244_2011_89_Fig7_HTML.jpg
https://cdn.ncbi.nlm.nih.gov/pmc/blobs/6b01/3288990/faab7c520bd2/13244_2011_89_Fig8_HTML.jpg
https://cdn.ncbi.nlm.nih.gov/pmc/blobs/6b01/3288990/a227b5b5b41d/13244_2011_89_Fig9_HTML.jpg
https://cdn.ncbi.nlm.nih.gov/pmc/blobs/6b01/3288990/6b442cbd4e18/13244_2011_89_Fig1_HTML.jpg
https://cdn.ncbi.nlm.nih.gov/pmc/blobs/6b01/3288990/4b6eb3dec9f4/13244_2011_89_Fig2_HTML.jpg
https://cdn.ncbi.nlm.nih.gov/pmc/blobs/6b01/3288990/ef6ed26d8ae7/13244_2011_89_Fig3_HTML.jpg
https://cdn.ncbi.nlm.nih.gov/pmc/blobs/6b01/3288990/9acf7219783b/13244_2011_89_Fig4_HTML.jpg
https://cdn.ncbi.nlm.nih.gov/pmc/blobs/6b01/3288990/f1771d2259d3/13244_2011_89_Fig5_HTML.jpg
https://cdn.ncbi.nlm.nih.gov/pmc/blobs/6b01/3288990/4077d630aa7b/13244_2011_89_Fig6_HTML.jpg
https://cdn.ncbi.nlm.nih.gov/pmc/blobs/6b01/3288990/3d1c4c1d97da/13244_2011_89_Fig7_HTML.jpg
https://cdn.ncbi.nlm.nih.gov/pmc/blobs/6b01/3288990/faab7c520bd2/13244_2011_89_Fig8_HTML.jpg
https://cdn.ncbi.nlm.nih.gov/pmc/blobs/6b01/3288990/a227b5b5b41d/13244_2011_89_Fig9_HTML.jpg

相似文献

1
Common primary tumours of the abdomen and pelvis and their patterns of tumour spread as seen on multi-detector computed tomography.腹部和骨盆常见原发性肿瘤及其在多排螺旋计算机断层扫描上显示的肿瘤扩散模式。
Insights Imaging. 2011 Jun;2(3):205-214. doi: 10.1007/s13244-011-0089-0. Epub 2011 Apr 14.
2
Tumour volume comparison between 16-row multi-detector computed tomography and 320-row area-detector computed tomography in patients with small lung tumours treated with stereotactic body radiotherapy: Effect of respiratory motion.在接受立体定向体部放疗的小肺癌患者中,16 排多探测器 CT 与 320 排容积 CT 肿瘤体积比较:呼吸运动的影响。
Eur J Radiol. 2019 Aug;117:120-125. doi: 10.1016/j.ejrad.2019.06.002. Epub 2019 Jun 8.
3
Prospective comparison between magnetic resonance imaging and computed tomography in colorectal cancer staging.磁共振成像与计算机断层扫描在结直肠癌分期中的前瞻性比较。
ANZ J Surg. 2018 Jun;88(6):E498-E502. doi: 10.1111/ans.14138. Epub 2017 Aug 13.
4
Ultrasound scanning of the pelvis and abdomen for staging of gynecological tumors: a review.盆腔和腹部超声扫描在妇科肿瘤分期中的应用:综述。
Ultrasound Obstet Gynecol. 2011 Sep;38(3):246-66. doi: 10.1002/uog.10054.
5
Cross-sectional imaging of nodal metastases in the abdomen and pelvis.腹部和盆腔淋巴结转移的横断面成像。
Abdom Imaging. 2006 Nov-Dec;31(6):632-43. doi: 10.1007/s00261-006-9022-2.
6
Preoperative Staging of Gastric Cancer Using Computed Tomography and Its Correlation with Histopathology with Emphasis on Multi-planar Reformations and Virtual Gastroscopy.胃癌术前 CT 分期及其与组织病理学的相关性研究,重点在于多平面重建和虚拟胃镜。
J Gastrointest Cancer. 2021 Jun;52(2):606-615. doi: 10.1007/s12029-020-00436-6.
7
Multi-detector computed tomography angiography for coronary artery disease: an evidence-based analysis.用于冠心病的多探测器计算机断层扫描血管造影:一项基于证据的分析。
Ont Health Technol Assess Ser. 2005;5(5):1-57. Epub 2005 Apr 1.
8
Pre-operative evaluation of peritoneal deposits using multidetector computed tomography in ovarian cancer.多排螺旋 CT 对卵巢癌腹膜种植病灶的术前评估
Br J Radiol. 2011 Jan;84(997):38-43. doi: 10.1259/bjr/87415692. Epub 2010 Sep 21.
9
Oral cavity squamous cell carcinoma: role of pretreatment imaging and its influence on management.口腔鳞状细胞癌:术前影像学的作用及其对治疗的影响。
Clin Radiol. 2014 Sep;69(9):916-30. doi: 10.1016/j.crad.2014.04.013. Epub 2014 Jun 5.
10
Abdomen/pelvis computed tomography in staging of pediatric Hodgkin Lymphoma: is it always necessary?腹部/盆腔计算机断层扫描在儿童霍奇金淋巴瘤分期中的应用:是否总是必要?
Cancer Med. 2016 Sep;5(9):2359-67. doi: 10.1002/cam4.829. Epub 2016 Aug 3.

引用本文的文献

1
Clinical characteristics and prognostic factors of low metastatic burden prostate cancer with non-regional lymph node metastases: role of cytoreductive radiotherapy?低转移负荷前列腺癌伴非区域淋巴结转移的临床特征及预后因素:减瘤放疗的作用?
Transl Androl Urol. 2025 Feb 28;14(2):228-239. doi: 10.21037/tau-24-489. Epub 2025 Feb 25.
2
Mediastinal Lymphadenopathy Diagnosed as Prostate Cancer via Endobronchial Ultrasound-Guided Transbronchial Needle Aspiration (EBUS-TBNA) in a Patient With a History of Renal Cell Carcinoma: A Case Report.经支气管超声引导下经支气管针吸活检(EBUS-TBNA)诊断为前列腺癌的纵隔淋巴结肿大:1例有肾细胞癌病史患者的病例报告
Cureus. 2025 Feb 22;17(2):e79446. doi: 10.7759/cureus.79446. eCollection 2025 Feb.
3

本文引用的文献

1
Gastrointestinal stromal tumors: a pictorial review.胃肠道间质瘤:影像学综述。
J Gastrointestin Liver Dis. 2009 Sep;18(3):379-83.
2
Pancreas: peritoneal reflections, ligamentous connections, and pathways of disease spread.胰腺:腹膜反折、韧带连接及疾病传播途径。
Radiographics. 2009 Mar-Apr;29(2):e34. doi: 10.1148/rg.e34. Epub 2009 Jan 23.
3
CT/MRI in staging renal cell carcinoma.CT/MRI 用于肾细胞癌分期。
A Comprehensive Review of Current Trends in the Diagnosis and Treatment of Ovarian Germ Cell Tumors.卵巢生殖细胞肿瘤诊断与治疗的当前趋势综合综述
Cureus. 2024 Jan 21;16(1):e52650. doi: 10.7759/cureus.52650. eCollection 2024 Jan.
4
Retroperitoneal anatomy with the aid of pathologic fluid: An imaging pictorial review.借助病理性液体的腹膜后解剖:影像学图谱综述
J Clin Imaging Sci. 2023 Dec 13;13:36. doi: 10.25259/JCIS_79_2023. eCollection 2023.
5
Under-stage and Overlook of Peritoneal Spread from Bladder Urothelial Carcinoma.膀胱尿路上皮癌腹膜播散的分期及观察
In Vivo. 2018 Jul-Aug;32(4):905-910. doi: 10.21873/invivo.11327.
6
Isolated Metachronous Splenic Metastasis from Colon Cancer: Possible Explanations for This Rare Entity.结肠癌孤立性异时性脾转移:对这种罕见情况的可能解释
J Gastrointest Cancer. 2019 Mar;50(1):143-146. doi: 10.1007/s12029-017-9992-z.
7
Computed tomography of the spleen: how to interpret the hypodense lesion.脾脏计算机断层扫描:如何解读低信号病灶。
Insights Imaging. 2013 Feb;4(1):65-76. doi: 10.1007/s13244-012-0202-z. Epub 2012 Dec 4.
Cancer Imaging. 2004 Feb 14;4 Spec No A(Spec No A):S25-32. doi: 10.1102/1470-7330.2004.0012.
4
New concepts in staging and treatment of locally advanced pancreatic head cancer.局部晚期胰头癌分期与治疗的新概念
AJR Am J Roentgenol. 2007 Nov;189(5):1044-50. doi: 10.2214/AJR.07.2131.
5
Radiological staging of ovarian cancer: imaging findings and contribution of CT and MRI.卵巢癌的放射学分期:影像学表现及CT与MRI的作用
Eur Radiol. 2007 Dec;17(12):3223-35. doi: 10.1007/s00330-007-0736-5. Epub 2007 Aug 14.
6
Imaging in metastatic renal cell carcinoma.转移性肾细胞癌的影像学检查
AJR Am J Roentgenol. 2007 Aug;189(2):360-70. doi: 10.2214/AJR.07.2077.
7
Gastrointestinal stromal tumor: role of CT in diagnosis and in response evaluation and surveillance after treatment with imatinib.胃肠道间质瘤:CT在诊断、伊马替尼治疗后疗效评估及监测中的作用
Radiographics. 2006 Mar-Apr;26(2):481-95. doi: 10.1148/rg.262055097.
8
Epidemiology of gastric cancer.胃癌流行病学
World J Gastroenterol. 2006 Jan 21;12(3):354-62. doi: 10.3748/wjg.v12.i3.354.
9
Diagnosis of gastric cancer with MDCT using the water-filling method and multiplanar reconstruction: CT-histologic correlation.使用水充盈法和多平面重建的MDCT对胃癌的诊断:CT与组织学的相关性
AJR Am J Roentgenol. 2005 Nov;185(5):1152-8. doi: 10.2214/AJR.04.0651.
10
Adenocarcinoma of the stomach: a review.胃癌:综述
Proc (Bayl Univ Med Cent). 2004 Oct;17(4):391-9. doi: 10.1080/08998280.2004.11928001.