Mamlouk Mark Daniel, Vansonnenberg Eric, Shankar Sridhar, Silverman Stuart G
Insights Imaging. 2011 Aug;2(4):399-408. doi: 10.1007/s13244-011-0105-4. Epub 2011 May 22.
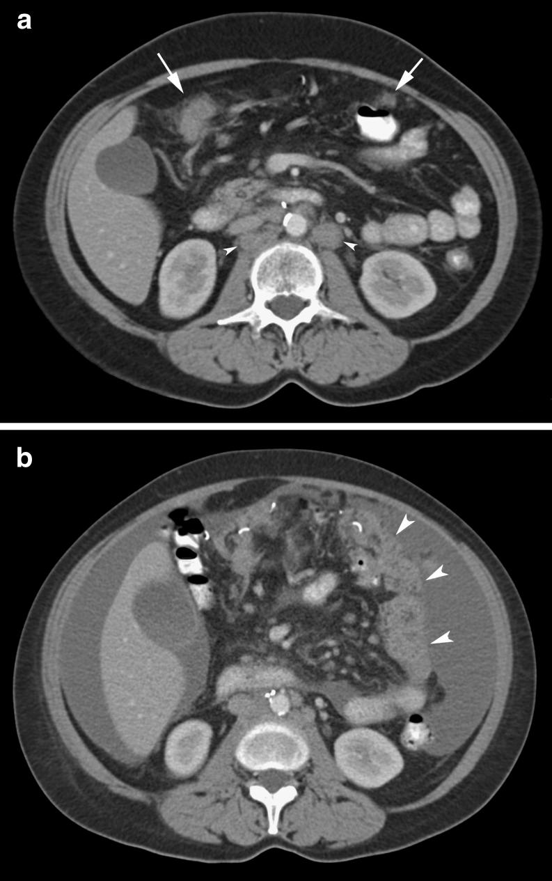
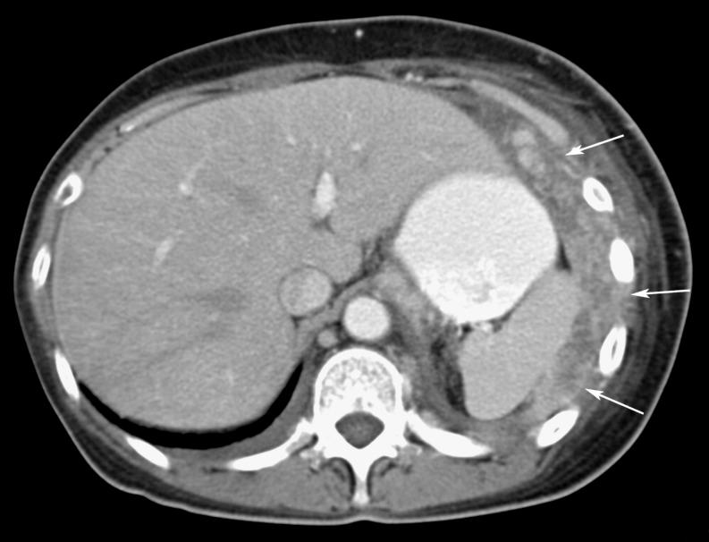
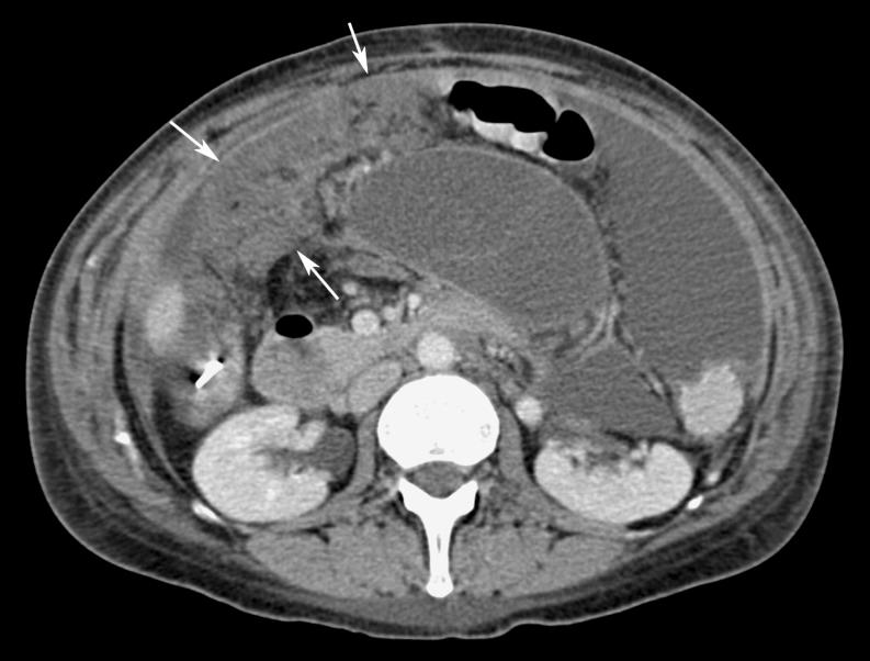
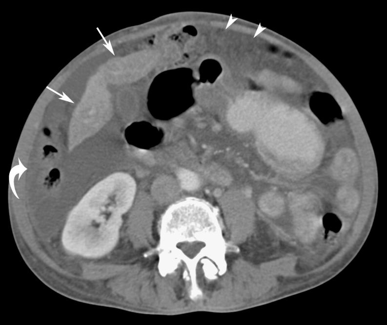
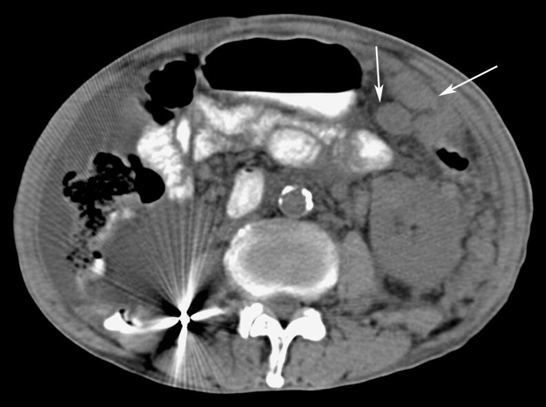
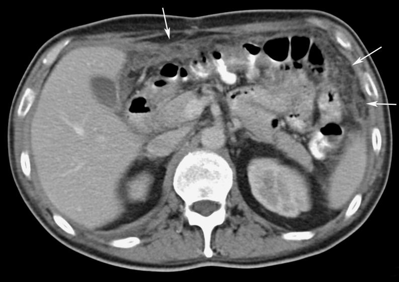
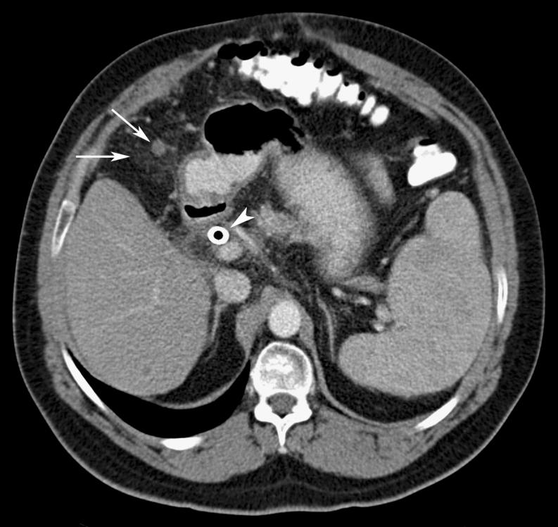
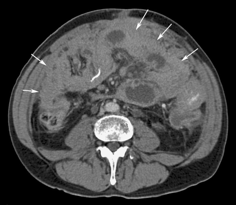
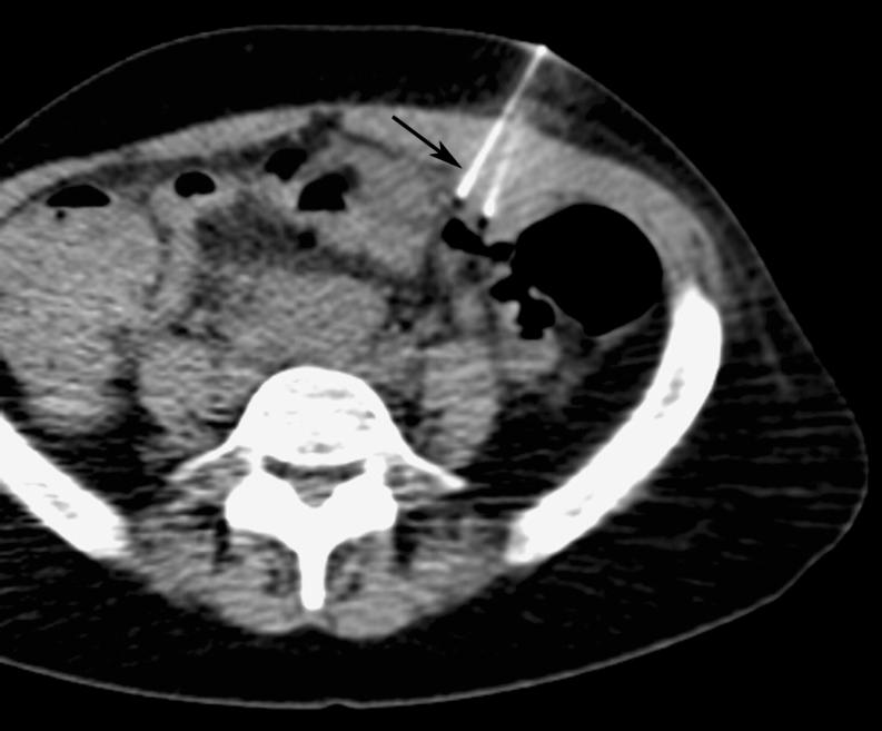
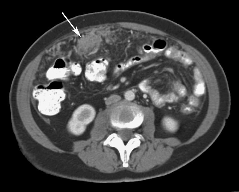
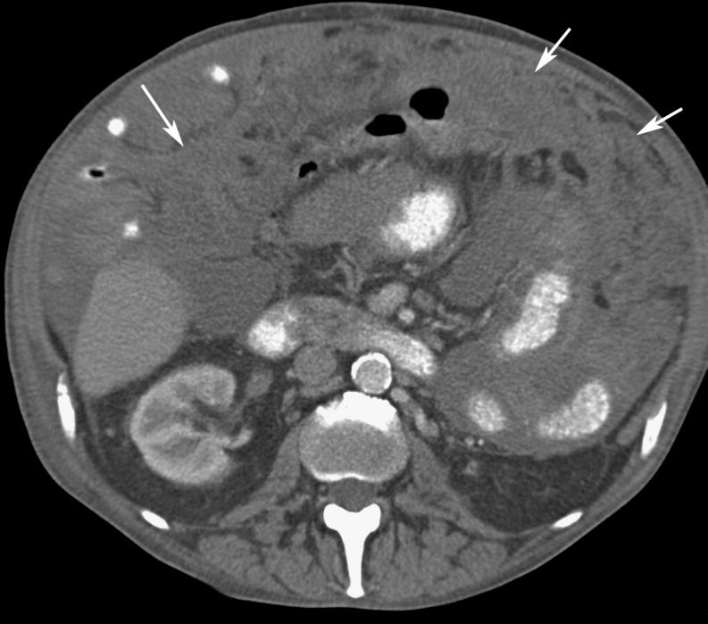
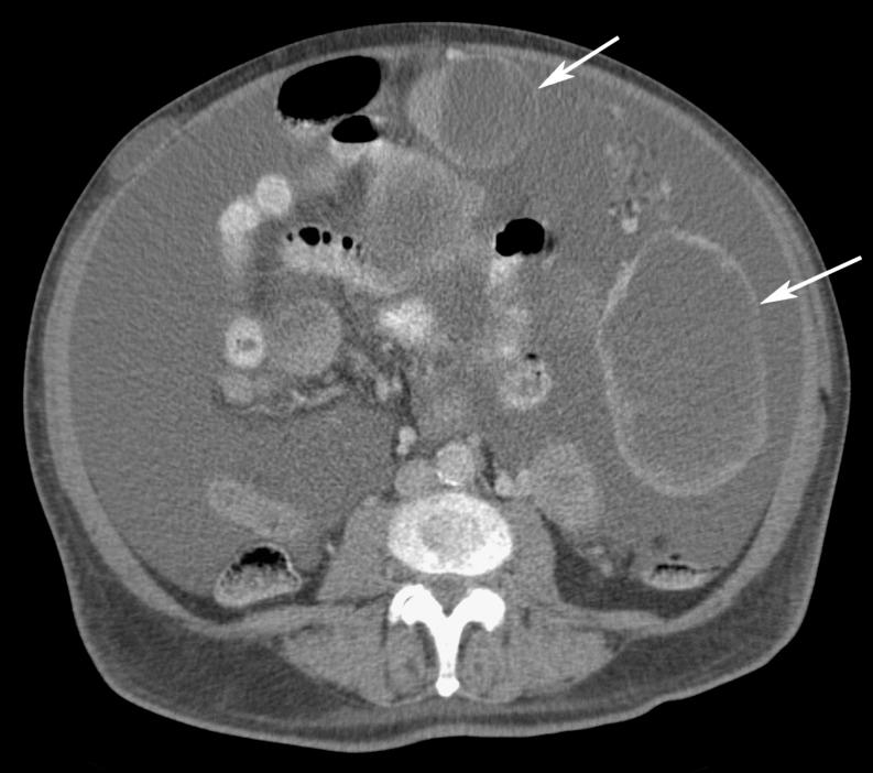
Omental cakes typically are associated with ovarian carcinoma, as this is the most common malignant aetiology. Nonetheless, numerous other neoplasms, as well as infectious and benign processes, can produce omental cakes. METHODS: A broader knowledge of the various causes of omental cakes is valuable diagnostically and to direct appropriate clinical management. RESULTS: We present a spectrum of both common and unusual aetiologies that demonstrate the variable computed tomographic appearances of omental cakes. CONCLUSION: The anatomy and embryology are discussed, as well as the importance of biopsy when the aetiology of omental cakes is uncertain.
网膜饼通常与卵巢癌相关,因为这是最常见的恶性病因。然而,许多其他肿瘤以及感染性和良性病变也可产生网膜饼。方法:更广泛地了解网膜饼的各种病因,对诊断及指导恰当的临床管理很有价值。结果:我们展示了一系列常见和不常见的病因,这些病因显示了网膜饼在计算机断层扫描上的多样表现。结论:讨论了解剖学和胚胎学,以及当网膜饼病因不明时活检的重要性。