Suppr超能文献

整合素连接激酶表达增加可改善扩张型心肌病大鼠心功能,降低死亡率。

Increased expression of integrin-linked kinase improves cardiac function and decreases mortality in dilated cardiomyopathy model of rats.

机构信息

Department of Cardiology, Drum Tower Hospital, Nanjing University Medical School, Nanjing, China.

出版信息

PLoS One. 2012;7(2):e31279. doi: 10.1371/journal.pone.0031279. Epub 2012 Feb 13.

Abstract

AIMS

Integrin-linked kinase (ILK) is a multifunctional kinase linking the extracellular matrix to intracellular signaling pathways, whose activation in the heart gives rise to a number of functional consequences. The aim of this study is to demonstrate the therapeutic and survival benefit of cardiac ILK overexpression in a rat model of dilated cardiomyopathy.

METHODS AND RESULTS

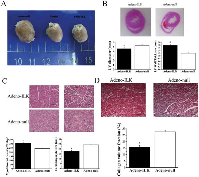
The dilated cardiomyopathy model was generated in rats by intraperitoneal administration of six equal doses of doxorubicin over a 2 week period. Five weeks after the first injection, echocardiographic analysis demonstrated impaired cardiac function and, at that point, recombinant adenoviral vector harboring ILK cDNA or vehicle was injected into the myocardium, and the rats re-studied 4 weeks later. Compared with vehicle injection, ILK treatment ameliorated inflammatory cell infiltration and cardiomyocyte degeneration, as well as left ventricular dilation and dysfunction. ILK treatment was also associated with a reduction in apoptosis and an increase in proliferation of cardiomyocytes, as well as decreased oxidative stress and autophagic vacuole accumulation. Importantly, mortality was lower in rats following ILK treatment than in those following vehicle injection. In cultured neonatal rat cardiomyocytes, we also found that ILK overexpression protected against doxorubicin-induced apoptosis, giving rise to an increase in their proliferation.

CONCLUSIONS

These data demonstrate for the first time that ILK gene therapy improves cardiac function and survival in a model of dilated cardiomyopathy, and this may be mediated through suppression of inflammation, prevention of ventricular remodeling, inhibition of cardiomyocyte apoptosis and autophagy, and stimulation of cardiomyocyte proliferation.

摘要

目的

整合素连接激酶(ILK)是一种将细胞外基质与细胞内信号通路连接起来的多功能激酶,其在心脏中的激活会产生许多功能后果。本研究旨在证明在扩张型心肌病大鼠模型中,心脏 ILK 过表达的治疗和生存益处。

方法和结果

通过腹腔内给予六等份多柔比星,在 2 周内生成扩张型心肌病模型。在第一次注射后 5 周,超声心动图分析显示心脏功能受损,此时将携带 ILK cDNA 的重组腺病毒载体或载体注入心肌,并在 4 周后重新研究大鼠。与载体注射相比,ILK 治疗改善了炎症细胞浸润和心肌细胞变性,以及左心室扩张和功能障碍。ILK 治疗还与心肌细胞凋亡减少和增殖增加、氧化应激和自噬小体积累减少有关。重要的是,ILK 治疗后的大鼠死亡率低于载体注射后的大鼠。在培养的新生大鼠心肌细胞中,我们还发现 ILK 过表达可防止多柔比星诱导的细胞凋亡,从而增加其增殖。

结论

这些数据首次证明,ILK 基因治疗可改善扩张型心肌病模型中的心脏功能和生存,这可能是通过抑制炎症、防止心室重构、抑制心肌细胞凋亡和自噬以及刺激心肌细胞增殖来介导的。

https://cdn.ncbi.nlm.nih.gov/pmc/blobs/a92b/3278438/e08586b4f0d1/pone.0031279.g001.jpg

文献检索

告别复杂PubMed语法,用中文像聊天一样搜索,搜遍4000万医学文献。AI智能推荐,让科研检索更轻松。

立即免费搜索

文件翻译

保留排版,准确专业,支持PDF/Word/PPT等文件格式,支持 12+语言互译。

免费翻译文档

深度研究

AI帮你快速写综述,25分钟生成高质量综述,智能提取关键信息,辅助科研写作。

立即免费体验