Suppr超能文献

miR-196b 直接靶向 HOXA9/MEIS1 癌基因和 FAS 肿瘤抑制基因在 MLL 重排白血病中。

miR-196b directly targets both HOXA9/MEIS1 oncogenes and FAS tumour suppressor in MLL-rearranged leukaemia.

机构信息

Department of Medicine, University of Chicago, Chicago, 60637, Illinois, USA.

Department of Pharmacology, China Medical University, Shenyang, 110001, Liaoning, China.

出版信息

Nat Commun. 2012 Feb 21;3:688. doi: 10.1038/ncomms1681.

Abstract

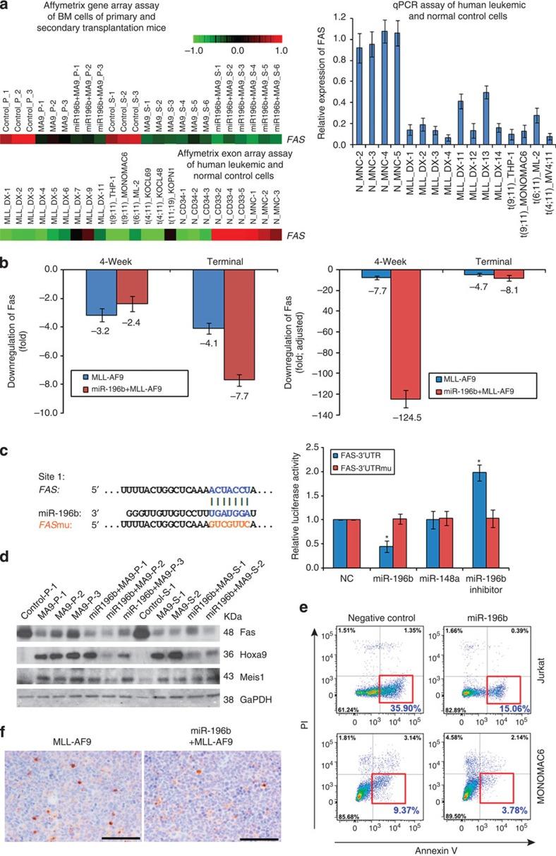
HOXA9 and MEIS1 have essential oncogenic roles in mixed lineage leukaemia (MLL)-rearranged leukaemia. Here we show that they are direct targets of miRNA-196b, a microRNA (miRNA) located adjacent to and co-expressed with HOXA9, in MLL-rearranged leukaemic cells. Forced expression of miR-196b significantly delays MLL-fusion-mediated leukemogenesis in primary bone marrow transplantation through suppressing Hoxa9/Meis1 expression. However, ectopic expression of miR-196b results in more aggressive leukaemic phenotypes and causes much faster leukemogenesis in secondary transplantation than MLL fusion alone, likely through the further repression of Fas expression, a proapoptotic gene downregulated in MLL-rearranged leukaemia. Overexpression of FAS significantly inhibits leukemogenesis and reverses miR-196b-mediated phenotypes. Targeting Hoxa9/Meis1 and Fas by miR-196b is probably also important for normal haematopoiesis. Thus, our results uncover a previously unappreciated miRNA-regulation mechanism by which a single miRNA may target both oncogenes and tumour suppressors, simultaneously, or, sequentially, in tumourigenesis and normal development per cell differentiation, indicating that miRNA regulation is much more complex than previously thought.

摘要

HOXA9 和 MEIS1 在混合谱系白血病(MLL)重排白血病中具有重要的致癌作用。在这里,我们表明它们是 miRNA-196b 的直接靶标,miRNA-196b 位于 HOXA9 附近并与其共表达,在 MLL 重排白血病细胞中。强制表达 miR-196b 通过抑制 Hoxa9/Meis1 表达,显着延迟了 MLL 融合介导的原发性骨髓移植中的白血病发生。然而,miR-196b 的异位表达导致更具侵袭性的白血病表型,并导致二次移植中的白血病发生比 MLL 融合本身更快,这可能是通过进一步抑制 Fas 表达(MLL 重排白血病中下调的促凋亡基因)。FAS 的过表达显着抑制白血病发生并逆转 miR-196b 介导的表型。miR-196b 对 Hoxa9/Meis1 和 Fas 的靶向作用可能对正常造血也很重要。因此,我们的研究结果揭示了一种以前未被认识的 miRNA 调节机制,即单个 miRNA 可能同时或顺序靶向致癌基因和肿瘤抑制基因,以促进肿瘤发生和正常细胞分化中的正常发育,表明 miRNA 调节比以前认为的要复杂得多。

https://cdn.ncbi.nlm.nih.gov/pmc/blobs/4f74/5900350/fc09ef5dcbe5/ncomms1681-f1.jpg

文献AI研究员

20分钟写一篇综述,助力文献阅读效率提升50倍。

立即体验

用中文搜PubMed

大模型驱动的PubMed中文搜索引擎

马上搜索

文档翻译

学术文献翻译模型,支持多种主流文档格式。

立即体验