Suppr超能文献

右冠状动脉支架植入术后窦性停搏

Sinus arrest following right coronary artery stent implantation.

作者信息

Deeprasertkul Peerawut, Thakur Ranjan K

机构信息

Division of Cardiology, Michigan State University, Lansing, MI, USA.

出版信息

Int Arch Med. 2012 Mar 20;5(1):11. doi: 10.1186/1755-7682-5-11.

Abstract

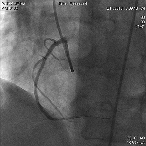
Sinus arrest rarely occurs during acute myocardial infarction involving the right coronary artery (RCA) and sinus node (SN) artery. We report a rare case of sinus arrest caused by SN artery occlusion following RCA stenting. A 56-year-old woman with a significant history of RCA stenosis with prior bare metal stenting, presented to the emergency department with anginal chest pain. Initial work up showed significant elevation of cardiac troponin T with T-wave inversion in the inferior leads on electrocardiogram (ECG). Coronary angiography revealed a 90% stenosis of midportion of the RCA, mild occlusion in the left anterior descending coronary and left circumflex coronary arteries. Stenting was performed on the RCA lesion. Immediately after undergoing those interventions, thrombosis developed and occluded SN artery. Electrocardiogram showed junctional escape rhythm without P waves at a heart rate of 30 beats per minute, suggesting sinus arrest. The clot in the SN artery was identified and thrombectomy was performed. Neither symptoms nor hypotension were identified during this arrhythmia. Six days later, normal sinus rhythm began to appear on EKG with improving heart rate, and patient still remained completely hemodynamically stable. Pre-discharge exercise stress test had shown 50% predicted heart rate without ST segment change. Sinus node dysfunction is commonly related to degenerative processes, and rarely caused by thrombosis in the SN artery. In our case, we emphasize the potential complication of sinus arrest after RCA stent implantation.

摘要

窦性停搏在累及右冠状动脉(RCA)和窦房结(SN)动脉的急性心肌梗死期间很少发生。我们报告一例RCA支架置入术后因SN动脉闭塞导致窦性停搏的罕见病例。一名56岁女性,有RCA狭窄及既往裸金属支架置入史,因心绞痛胸痛就诊于急诊科。初始检查显示心肌肌钙蛋白T显著升高,心电图(ECG)下壁导联T波倒置。冠状动脉造影显示RCA中段90%狭窄,左前降支冠状动脉和左旋支冠状动脉轻度闭塞。对RCA病变进行了支架置入。在进行这些干预后立即发生血栓形成并闭塞了SN动脉。心电图显示交界性逸搏心律,无P波,心率为每分钟30次,提示窦性停搏。识别出SN动脉内的血栓并进行了血栓切除术。在这种心律失常期间未发现症状或低血压。6天后,心电图开始出现正常窦性心律,心率改善,患者血流动力学仍完全稳定。出院前运动负荷试验显示心率为预测值的50%,无ST段改变。窦房结功能障碍通常与退行性病变有关,很少由SN动脉血栓形成引起。在我们的病例中,我们强调了RCA支架植入术后窦性停搏的潜在并发症。

https://cdn.ncbi.nlm.nih.gov/pmc/blobs/7244/3317869/f84fbf091e14/1755-7682-5-11-1.jpg

文献AI研究员

20分钟写一篇综述,助力文献阅读效率提升50倍。

立即体验

用中文搜PubMed

大模型驱动的PubMed中文搜索引擎

马上搜索

文档翻译

学术文献翻译模型,支持多种主流文档格式。

立即体验