Suppr超能文献

经蛋白质印迹分析确诊的伴有视网膜下条索的输入性眼内颚口线虫病。

Imported intraocular gnathostomiasis with subretinal tracks confirmed by western blot assay.

作者信息

Yang Ji Ho, Kim Moosang, Kim Eung Suk, Na Byoung-Kuk, Yu Seung-Young, Kwak Hyung-Woo

机构信息

Department of Ophthalmology, Kyung Hee University Hospital, Seoul 130-872, Korea.

出版信息

Korean J Parasitol. 2012 Mar;50(1):73-8. doi: 10.3347/kjp.2012.50.1.73. Epub 2012 Mar 6.

Abstract

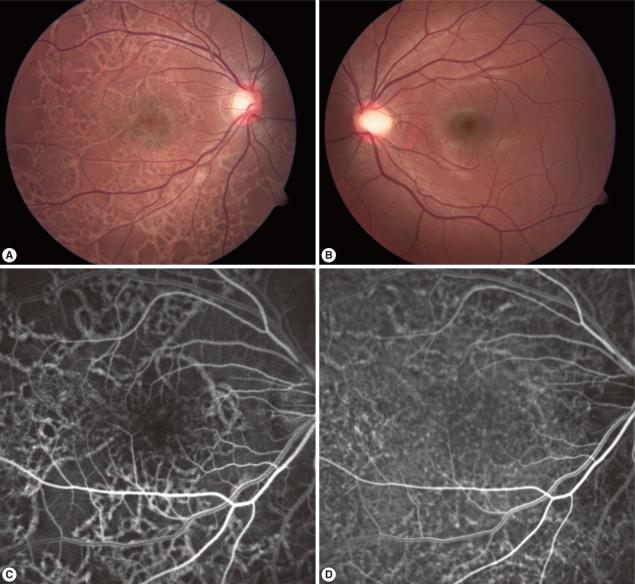
We report a case of intraocular gnathostomiasis diagnosed by western blot assay in a patient with subretinal tracks. A 15-year-old male patient complained of blurred vision in the right eye, lasting for 2 weeks. Eight months earlier, he had traveled to Vietnam for 1 week and ate raw wild boar meat and lobster. His best-corrected visual acuity was 20/20 in both eyes and anterior chamber examination revealed no abnormalities. Fundus examination showed subretinal tracks in the right eye. Fluorescein angiography and indocyanine green angiography showed linear hyperfluorescence of the subretinal lesion observed on fundus in the right eye. Ultrasound examination revealed no abnormalities. Blood tests indicated mild eosinophilia (7.5%), and there was no abnormality found by systemic examinations. Two years later, the patient visited our department again for ophthalmologic evaluation. Visual acuity remained 20/20 in both eyes and the subretinal tracks in the right eye had not changed since the previous examination. Serologic examination was performed to provide a more accurate diagnosis, and the patient's serum reacted strongly to the Gnathostoma nipponicum antigen by western blot assay, which led to a diagnosis of intraocular gnathostomiasis. This is the first reported case of intraocular gnathostomiasis with subretinal tracks confirmed serologically using western blot in Korea.

摘要

我们报告了一例通过蛋白质印迹法诊断的眼内颚口线虫病病例,该患者有视网膜下条索。一名15岁男性患者主诉右眼视力模糊,持续2周。8个月前,他前往越南旅行1周,食用了生的野猪肉和龙虾。他双眼的最佳矫正视力均为20/20,前房检查未发现异常。眼底检查发现右眼有视网膜下条索。荧光素血管造影和吲哚菁绿血管造影显示右眼眼底观察到的视网膜下病变呈线性高荧光。超声检查未发现异常。血液检查显示轻度嗜酸性粒细胞增多(7.5%),全身检查未发现异常。两年后,患者再次到我们科室进行眼科评估。双眼视力仍为20/20,右眼视网膜下条索与上次检查后相比没有变化。进行了血清学检查以提供更准确的诊断,通过蛋白质印迹法检测,患者血清对日本颚口线虫抗原反应强烈,从而诊断为眼内颚口线虫病。这是韩国首例通过蛋白质印迹法血清学确诊的伴有视网膜下条索的眼内颚口线虫病病例。

https://cdn.ncbi.nlm.nih.gov/pmc/blobs/bed7/3309056/62348de8c5d2/kjp-50-73-g001.jpg

文献检索

告别复杂PubMed语法,用中文像聊天一样搜索,搜遍4000万医学文献。AI智能推荐,让科研检索更轻松。

立即免费搜索

文件翻译

保留排版,准确专业,支持PDF/Word/PPT等文件格式,支持 12+语言互译。

免费翻译文档

深度研究

AI帮你快速写综述,25分钟生成高质量综述,智能提取关键信息,辅助科研写作。

立即免费体验