• 文献检索
  • 文档翻译
  • 深度研究
  • 学术资讯
  • Suppr Zotero 插件Zotero 插件
  • 邀请有礼
  • 套餐&价格
  • 历史记录
应用&插件
Suppr Zotero 插件Zotero 插件浏览器插件Mac 客户端Windows 客户端微信小程序
定价
高级版会员购买积分包购买API积分包
服务
文献检索文档翻译深度研究API 文档MCP 服务
关于我们
关于 Suppr公司介绍联系我们用户协议隐私条款
关注我们

Suppr 超能文献

核心技术专利:CN118964589B侵权必究
粤ICP备2023148730 号-1Suppr @ 2026

文献检索

告别复杂PubMed语法,用中文像聊天一样搜索,搜遍4000万医学文献。AI智能推荐,让科研检索更轻松。

立即免费搜索

文件翻译

保留排版,准确专业,支持PDF/Word/PPT等文件格式,支持 12+语言互译。

免费翻译文档

深度研究

AI帮你快速写综述,25分钟生成高质量综述,智能提取关键信息,辅助科研写作。

立即免费体验

心脏病患者的经皮治疗:选择、指导与随访。综述。

Percutaneous treatment of patients with heart diseases: selection, guidance and follow-up. A review.

作者信息

Contaldi Carla, Losi Maria-Angela, Rapacciuolo Antonio, Prastaro Maria, Lombardi Raffaella, Parisi Valentina, Parrella Lucia S, Di Nardo Carlo, Giamundo Alessandra, Puglia Roberto, Esposito Giovanni, Piscione Federico, Betocchi Sandro

机构信息

Department of Clinical Medicine, Cardiovascular and Immunological Sciences, University Federico II, Naples, Italy.

出版信息

Cardiovasc Ultrasound. 2012 Mar 27;10:16. doi: 10.1186/1476-7120-10-16.

DOI:10.1186/1476-7120-10-16
PMID:22452829
原文链接:https://pmc.ncbi.nlm.nih.gov/articles/PMC3364155/
Abstract

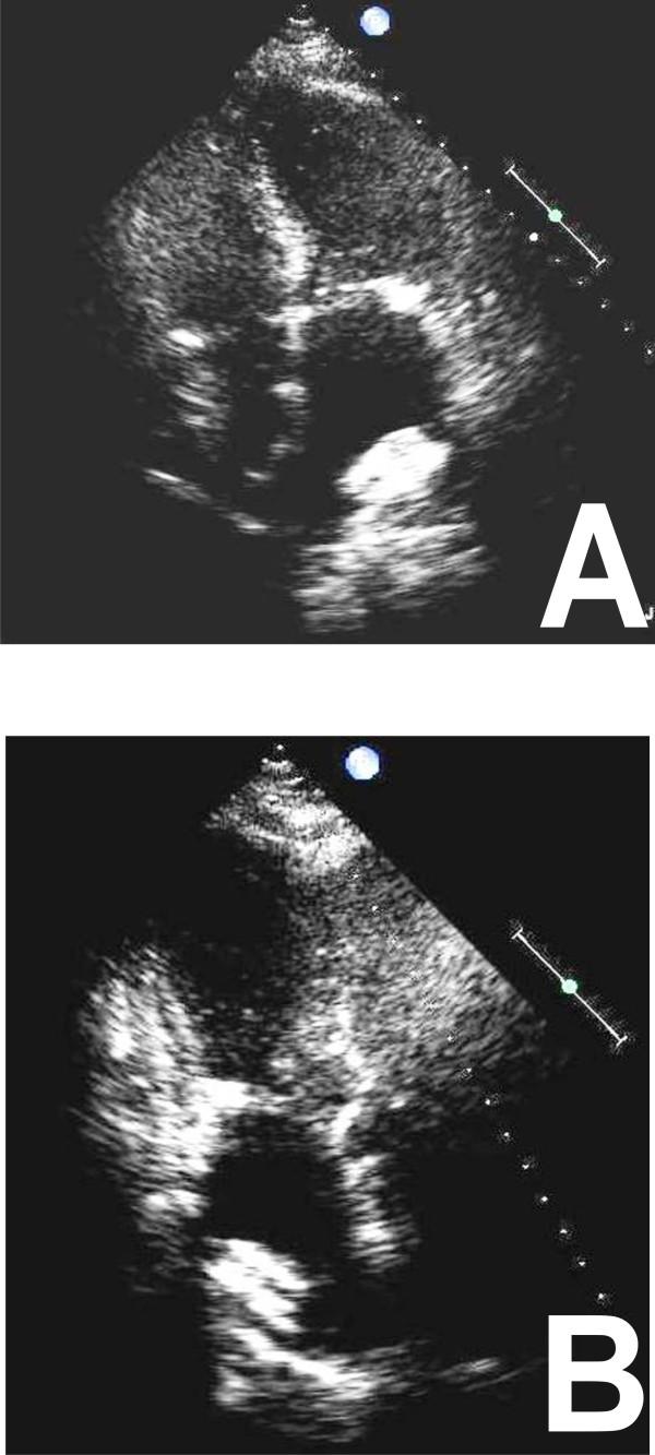
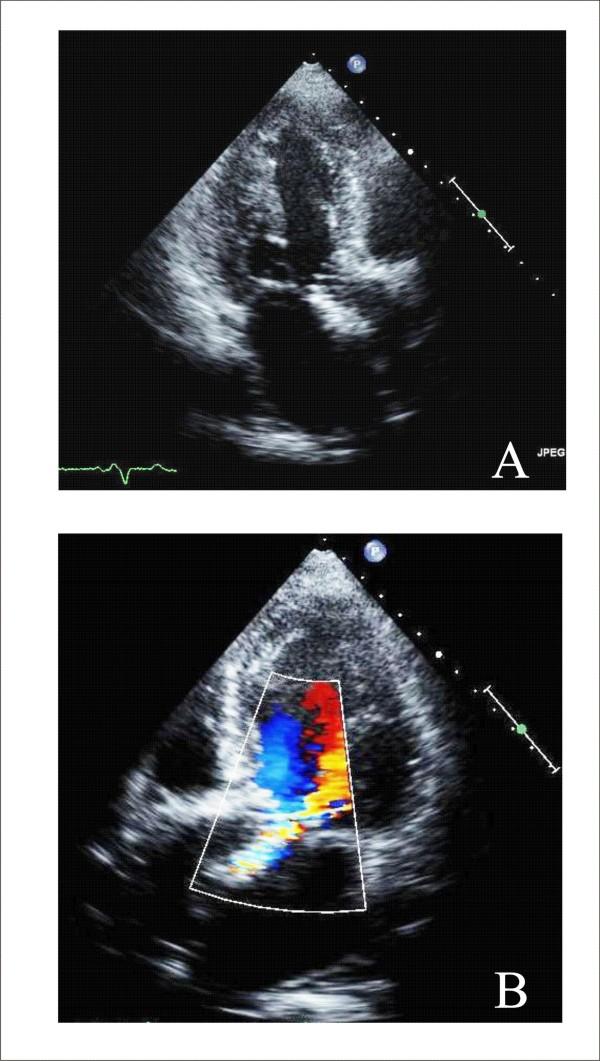
Aortic stenosis and mitral regurgitation, patent foramen ovale, interatrial septal defect, atrial fibrillation and perivalvular leak, are now amenable to percutaneous treatment. These percutaneous procedures require the use of Transthoracic (TTE), Transesophageal (TEE) and/or Intracardiac echocardiography (ICE). This paper provides an overview of the different percutaneous interventions, trying to provide a systematic and comprehensive approach for selection, guidance and follow-up of patients undergoing these procedures, illustrating the key role of 2D echocardiography.

摘要

主动脉瓣狭窄、二尖瓣反流、卵圆孔未闭、房间隔缺损、心房颤动及瓣周漏,目前均适合经皮治疗。这些经皮手术需要使用经胸超声心动图(TTE)、经食管超声心动图(TEE)和/或心内超声心动图(ICE)。本文概述了不同的经皮介入治疗,试图为接受这些手术的患者提供一种系统、全面的选择、指导及随访方法,并阐述二维超声心动图的关键作用。

https://cdn.ncbi.nlm.nih.gov/pmc/blobs/4244/3364155/d4a51177aaeb/1476-7120-10-16-16.jpg
https://cdn.ncbi.nlm.nih.gov/pmc/blobs/4244/3364155/a92fd938c28c/1476-7120-10-16-1.jpg
https://cdn.ncbi.nlm.nih.gov/pmc/blobs/4244/3364155/e6797e0e3aa4/1476-7120-10-16-2.jpg
https://cdn.ncbi.nlm.nih.gov/pmc/blobs/4244/3364155/de0e101f8722/1476-7120-10-16-3.jpg
https://cdn.ncbi.nlm.nih.gov/pmc/blobs/4244/3364155/4dc9f90cd525/1476-7120-10-16-4.jpg
https://cdn.ncbi.nlm.nih.gov/pmc/blobs/4244/3364155/b7607bc36c69/1476-7120-10-16-5.jpg
https://cdn.ncbi.nlm.nih.gov/pmc/blobs/4244/3364155/eaeed6298a12/1476-7120-10-16-7.jpg
https://cdn.ncbi.nlm.nih.gov/pmc/blobs/4244/3364155/43ea4afad9a4/1476-7120-10-16-8.jpg
https://cdn.ncbi.nlm.nih.gov/pmc/blobs/4244/3364155/92615277185a/1476-7120-10-16-9.jpg
https://cdn.ncbi.nlm.nih.gov/pmc/blobs/4244/3364155/5623a558031c/1476-7120-10-16-10.jpg
https://cdn.ncbi.nlm.nih.gov/pmc/blobs/4244/3364155/f4995f875435/1476-7120-10-16-14.jpg
https://cdn.ncbi.nlm.nih.gov/pmc/blobs/4244/3364155/ed1028f5e3c2/1476-7120-10-16-15.jpg
https://cdn.ncbi.nlm.nih.gov/pmc/blobs/4244/3364155/d4a51177aaeb/1476-7120-10-16-16.jpg
https://cdn.ncbi.nlm.nih.gov/pmc/blobs/4244/3364155/a92fd938c28c/1476-7120-10-16-1.jpg
https://cdn.ncbi.nlm.nih.gov/pmc/blobs/4244/3364155/e6797e0e3aa4/1476-7120-10-16-2.jpg
https://cdn.ncbi.nlm.nih.gov/pmc/blobs/4244/3364155/de0e101f8722/1476-7120-10-16-3.jpg
https://cdn.ncbi.nlm.nih.gov/pmc/blobs/4244/3364155/4dc9f90cd525/1476-7120-10-16-4.jpg
https://cdn.ncbi.nlm.nih.gov/pmc/blobs/4244/3364155/b7607bc36c69/1476-7120-10-16-5.jpg
https://cdn.ncbi.nlm.nih.gov/pmc/blobs/4244/3364155/eaeed6298a12/1476-7120-10-16-7.jpg
https://cdn.ncbi.nlm.nih.gov/pmc/blobs/4244/3364155/43ea4afad9a4/1476-7120-10-16-8.jpg
https://cdn.ncbi.nlm.nih.gov/pmc/blobs/4244/3364155/92615277185a/1476-7120-10-16-9.jpg
https://cdn.ncbi.nlm.nih.gov/pmc/blobs/4244/3364155/5623a558031c/1476-7120-10-16-10.jpg
https://cdn.ncbi.nlm.nih.gov/pmc/blobs/4244/3364155/f4995f875435/1476-7120-10-16-14.jpg
https://cdn.ncbi.nlm.nih.gov/pmc/blobs/4244/3364155/ed1028f5e3c2/1476-7120-10-16-15.jpg
https://cdn.ncbi.nlm.nih.gov/pmc/blobs/4244/3364155/d4a51177aaeb/1476-7120-10-16-16.jpg

相似文献

1
Percutaneous treatment of patients with heart diseases: selection, guidance and follow-up. A review.心脏病患者的经皮治疗:选择、指导与随访。综述。
Cardiovasc Ultrasound. 2012 Mar 27;10:16. doi: 10.1186/1476-7120-10-16.
2
Intracardiac echocardiography: evolving use in interventional cardiology.心腔内超声心动图:在介入心脏病学中的应用进展
J Ultrasound Med. 2014 Mar;33(3):387-95. doi: 10.7863/ultra.33.3.387.
3
Intracardiac echocardiography during atrial septal defect and patent foramen ovale device closure in pediatric and adolescent patients.小儿及青少年患者房间隔缺损和卵圆孔未闭封堵术中的心腔内超声心动图检查。
J Am Soc Echocardiogr. 2014 Sep;27(9):984-90. doi: 10.1016/j.echo.2014.05.017. Epub 2014 Jul 4.
4
Imaging Assessment of the Interatrial Septum for Transcatheter Atrial Septal Defect and Patent Foramen Ovale Closure.经导管房间隔缺损及卵圆孔未闭封堵术中房间隔的影像学评估
Interv Cardiol Clin. 2017 Oct;6(4):505-524. doi: 10.1016/j.iccl.2017.05.004.
5
Intracardiac Echocardiography for Structural Heart and Electrophysiological Interventions.用于结构性心脏病和电生理介入治疗的心脏内超声心动图
Curr Cardiol Rep. 2017 Sep 6;19(10):102. doi: 10.1007/s11886-017-0902-6.
6
Intracardiac versus transesophageal echocardiography to guide transcatheter closure of interatrial communications: Nationwide trend and comparative analysis.心内超声心动图与经食管超声心动图引导经导管封堵房间隔交通:全国趋势及对比分析
J Interv Cardiol. 2017 Jun;30(3):234-241. doi: 10.1111/joic.12382. Epub 2017 Apr 25.
7
Aortic intracardiac echocardiography-guided septal puncture during mitral valvuloplasty.经胸主动脉内心超引导二尖瓣成形术中的房间隔穿刺。
Eur Heart J Cardiovasc Imaging. 2014 Jan;15(1):70-6. doi: 10.1093/ehjci/jet128. Epub 2013 Jul 14.
8
A prospective comparison of cardiac imaging using intracardiac echocardiography with transesophageal echocardiography in patients with atrial fibrillation: the intracardiac echocardiography guided cardioversion helps interventional procedures study.经胸超声心动图与经食管超声心动图在心房颤动患者心脏成像中的前瞻性比较:心内超声心动图引导的心脏转复有助于介入治疗研究。
Circ Arrhythm Electrophysiol. 2010 Dec;3(6):571-7. doi: 10.1161/CIRCEP.110.936161. Epub 2010 Sep 18.
9
Prospective randomized trial of transthoracic echocardiography versus transesophageal echocardiography for assessment and guidance of transcatheter closure of atrial septal defects in children using the Amplatzer septal occluder.经胸超声心动图与经食管超声心动图在应用 Amplatzer 房间隔封堵器经导管闭合儿童房间隔缺损中的前瞻性随机对照试验
JACC Cardiovasc Interv. 2013 Sep;6(9):974-80. doi: 10.1016/j.jcin.2013.05.007.
10
Patent foramen ovale closure by using transesophageal echocardiography for cryptogenic stroke: single center experience in 132 consecutive patients.经食管超声心动图引导下卵圆孔未闭封堵术治疗隐匿性卒中:132例连续患者的单中心经验
J Cardiothorac Surg. 2020 Jan 9;15(1):11. doi: 10.1186/s13019-020-1042-4.

引用本文的文献

1
Ankle/brachial index to everyone.给每个人测量踝臂指数。
BMC Surg. 2012;12 Suppl 1(Suppl 1):S18. doi: 10.1186/1471-2482-12-S1-S18. Epub 2012 Nov 15.
2
Abdominal aortic aneurysm in patients affected by intermittent claudication: prevalence and clinical predictors.间歇性跛行患者的腹主动脉瘤:患病率及临床预测因素
BMC Surg. 2012;12 Suppl 1(Suppl 1):S17. doi: 10.1186/1471-2482-12-S1-S17. Epub 2012 Nov 15.

本文引用的文献

1
Long-term outcomes after transcatheter aortic valve implantation in high-risk patients with severe aortic stenosis: the U.K. TAVI (United Kingdom Transcatheter Aortic Valve Implantation) Registry.高危重度主动脉瓣狭窄患者经导管主动脉瓣植入术后的长期结局:英国 TAVI(英国经导管主动脉瓣植入术)注册研究。
J Am Coll Cardiol. 2011 Nov 8;58(20):2130-8. doi: 10.1016/j.jacc.2011.08.050. Epub 2011 Oct 20.
2
EAE/ASE recommendations for the use of echocardiography in new transcatheter interventions for valvular heart disease.EAE/ASE 建议在心脏瓣膜病的新型经导管介入治疗中使用超声心动图。
Eur Heart J. 2011 Sep;32(17):2189-214. doi: 10.1093/eurheartj/ehr259.
3
Transcatheter aortic valve implantation: current principles of patient and technique selection and future perspectives.
经导管主动脉瓣植入术:患者及技术选择的当前原则与未来展望
Circ Cardiovasc Interv. 2011 Aug;4(4):387-95. doi: 10.1161/CIRCINTERVENTIONS.111.961128.
4
Transcatheter versus surgical aortic-valve replacement in high-risk patients.经导管主动脉瓣置换术与外科主动脉瓣置换术在高危患者中的比较。
N Engl J Med. 2011 Jun 9;364(23):2187-98. doi: 10.1056/NEJMoa1103510. Epub 2011 Jun 5.
5
Percutaneous transcatheter closure of interatrial septal defect in adults: procedural outcome and long-term results.经皮导管介入封堵成人房间隔缺损:手术结果和长期疗效。
Catheter Cardiovasc Interv. 2012 Feb 1;79(2):322-30. doi: 10.1002/ccd.23119. Epub 2011 May 25.
6
Percutaneous repair or surgery for mitral regurgitation.经皮修复或手术治疗二尖瓣反流。
N Engl J Med. 2011 Apr 14;364(15):1395-406. doi: 10.1056/NEJMoa1009355. Epub 2011 Apr 4.
7
The valve-in-valve technique for treatment of aortic bioprosthesis malposition an analysis of incidence and 1-year clinical outcomes from the italian CoreValve registry.经导管主动脉瓣置换术中瓣中瓣技术治疗主动脉生物瓣位置不良:意大利 CoreValve 注册研究的发生率和 1 年临床结果分析。
J Am Coll Cardiol. 2011 Mar 1;57(9):1062-8. doi: 10.1016/j.jacc.2010.11.019.
8
Incidence and predictors of early and late mortality after transcatheter aortic valve implantation in 663 patients with severe aortic stenosis.663 例重度主动脉瓣狭窄患者行经导管主动脉瓣植入术后早期和晚期死亡率的发生率和预测因素。
Circulation. 2011 Jan 25;123(3):299-308. doi: 10.1161/CIRCULATIONAHA.110.946533. Epub 2011 Jan 10.
9
Transcatheter aortic valve implantation in aortic stenosis: the role of echocardiography.经导管主动脉瓣植入术治疗主动脉瓣狭窄:超声心动图的作用。
J Am Soc Echocardiogr. 2011 Jan;24(1):15-27. doi: 10.1016/j.echo.2010.11.002. Epub 2010 Dec 3.
10
The role of echocardiography in diagnosis, monitoring closure and post-procedural assessment of patent foramen ovale.超声心动图在卵圆孔未闭的诊断、监测封堵及术后评估中的作用。
Eur J Echocardiogr. 2010 Dec;11(10):i27-34. doi: 10.1093/ejechocard/jeq120.