• 文献检索
  • 文档翻译
  • 深度研究
  • 学术资讯
  • Suppr Zotero 插件Zotero 插件
  • 邀请有礼
  • 套餐&价格
  • 历史记录
应用&插件
Suppr Zotero 插件Zotero 插件浏览器插件Mac 客户端Windows 客户端微信小程序
定价
高级版会员购买积分包购买API积分包
服务
文献检索文档翻译深度研究API 文档MCP 服务
关于我们
关于 Suppr公司介绍联系我们用户协议隐私条款
关注我们

Suppr 超能文献

核心技术专利:CN118964589B侵权必究
粤ICP备2023148730 号-1Suppr @ 2026

文献检索

告别复杂PubMed语法,用中文像聊天一样搜索,搜遍4000万医学文献。AI智能推荐,让科研检索更轻松。

立即免费搜索

文件翻译

保留排版,准确专业,支持PDF/Word/PPT等文件格式,支持 12+语言互译。

免费翻译文档

深度研究

AI帮你快速写综述,25分钟生成高质量综述,智能提取关键信息,辅助科研写作。

立即免费体验

相似文献

1
Gottron's papules exhibit dermal accumulation of CD44 variant 7 (CD44v7) and its binding partner osteopontin: a unique molecular signature.Gottron 丘疹表现为 CD44 变体 7(CD44v7)及其结合伴侣骨桥蛋白在真皮中的蓄积:一种独特的分子特征。
J Invest Dermatol. 2012 Jul;132(7):1825-32. doi: 10.1038/jid.2012.54. Epub 2012 Mar 29.
2
Identification of specific chondroitin sulfate species in cutaneous autoimmune disease.鉴定皮肤自身免疫性疾病中的特定硫酸软骨素种类。
J Histochem Cytochem. 2011 Aug;59(8):780-90. doi: 10.1369/0022155411411304.
3
Down-regulation of miR-223 contributes to the formation of Gottron's papules in dermatomyositis via the induction of PKCɛ.miR-223 的下调通过诱导 PKCɛ 导致皮肌炎中 Gottron 丘疹的形成。
Eur J Dermatol. 2013 Apr 1;23(2):160-7. doi: 10.1684/ejd.2013.1959.
4
Histopathology of Gottron's papules--utility in diagnosing dermatomyositis.Gottron丘疹的组织病理学——在诊断皮肌炎中的作用
J Cutan Pathol. 2007 Oct;34(10):793-6. doi: 10.1111/j.1600-0560.2006.00706.x.
5
A Case of Juvenile Dermatomyositis Presenting with Inverse Gottron's Papules: A Case Report.以反向Gottron丘疹为表现的青少年皮肌炎1例:病例报告
Case Rep Dermatol. 2025 Mar 11;17(1):80-85. doi: 10.1159/000544816. eCollection 2025 Jan-Dec.
6
Histopathology of Gottron's papules.
J Cutan Pathol. 1985 Oct;12(5):389-94. doi: 10.1111/j.1600-0560.1985.tb00434.x.
7
Absence of specific alternatively spliced exon of CD44 in macrophages prevents colitis.巨噬细胞中 CD44 特定剪接外显子的缺失可预防结肠炎。
Mucosal Immunol. 2018 May;11(3):846-860. doi: 10.1038/mi.2017.98. Epub 2017 Nov 29.
8
Dilated lymphatics in Gottron's papules.
Acta Dermatovenerol Croat. 2010;18(2):99-103.
9
Dermoscopy of Gottron's papules and other inflammatory dermatoses involving the dorsa of the hands.Gottron 丘疹及其他累及手背的炎症性皮肤病的皮肤镜检查。
J Eur Acad Dermatol Venereol. 2022 Jul;36(7):1080-1087. doi: 10.1111/jdv.18052. Epub 2022 Mar 19.
10
Inverse Gottron's papules: an unusual cutaneous manifestation of juvenile dermatomyositis.反向Gottron丘疹:幼年皮肌炎一种不寻常的皮肤表现。
Pediatr Dermatol. 2012 Sep-Oct;29(5):641-4. doi: 10.1111/j.1525-1470.2011.01585.x. Epub 2011 Dec 30.

引用本文的文献

1
Case report: "Fur stole and turtleneck" and "halter-back" signs: an expanded wardrobe for dermatomyositis.病例报告:“皮草披肩和高领衫”及“吊带背心”征:皮肌炎的扩展衣橱。
Front Immunol. 2024 Jun 5;15:1400575. doi: 10.3389/fimmu.2024.1400575. eCollection 2024.
2
Osteopontin: A Novel Therapeutic Target for Respiratory Diseases.骨桥蛋白:呼吸系统疾病的治疗新靶点
Lung. 2024 Feb;202(1):25-39. doi: 10.1007/s00408-023-00665-z. Epub 2023 Dec 7.
3
Molecular signaling from microglia impacts macroglia autophagy and neurons survival in glaucoma.

本文引用的文献

1
Identification of specific chondroitin sulfate species in cutaneous autoimmune disease.鉴定皮肤自身免疫性疾病中的特定硫酸软骨素种类。
J Histochem Cytochem. 2011 Aug;59(8):780-90. doi: 10.1369/0022155411411304.
2
Identification and molecular analysis of glycosaminoglycans in cutaneous lupus erythematosus and dermatomyositis.鉴定和分析皮肤红斑狼疮和皮肌炎中的糖胺聚糖。
J Histochem Cytochem. 2011 Mar;59(3):336-45. doi: 10.1369/0022155410398000. Epub 2011 Jan 12.
3
Gene-gene-sex interaction in cytokine gene polymorphisms revealed by serum interferon alpha phenotype in juvenile dermatomyositis.
小胶质细胞的分子信号传导影响青光眼患者的大胶质细胞自噬和神经元存活。
iScience. 2023 May 9;26(6):106839. doi: 10.1016/j.isci.2023.106839. eCollection 2023 Jun 16.
4
Clinical and Molecular Implications of Osteopontin in Heart Failure.骨桥蛋白在心力衰竭中的临床及分子学意义
Curr Issues Mol Biol. 2022 Aug 11;44(8):3573-3597. doi: 10.3390/cimb44080245.
5
Identification of Biomarkers Associated With CD4 T-Cell Infiltration With Gene Coexpression Network in Dermatomyositis.鉴定与皮肌炎中 CD4+T 细胞浸润相关的生物标志物的基因共表达网络分析。
Front Immunol. 2022 May 30;13:854848. doi: 10.3389/fimmu.2022.854848. eCollection 2022.
6
Inverse Gottron's papules and mechanic's hands after a tug of war: triggered by friction and pressure?拔河比赛后出现的反向Gottron丘疹和技工手:由摩擦和压力引发?
Rheumatol Adv Pract. 2021 Dec 15;6(1):rkab103. doi: 10.1093/rap/rkab103. eCollection 2022.
7
Cannabinoid Reduces Inflammatory Cytokines, Tumor Necrosis Factor-α, and Type I Interferons in Dermatomyositis In Vitro.大麻素在体外可降低皮肌炎中的炎性细胞因子、肿瘤坏死因子-α和I型干扰素水平。
J Invest Dermatol. 2017 Nov;137(11):2445-2447. doi: 10.1016/j.jid.2017.05.035. Epub 2017 Jun 23.
8
Human osteopontin: Potential clinical applications in cancer (Review).人骨桥蛋白:在癌症中的潜在临床应用(综述)
Int J Mol Med. 2017 Jun;39(6):1327-1337. doi: 10.3892/ijmm.2017.2964. Epub 2017 Apr 21.
9
Differential RNA Expression Profile of Skeletal Muscle Induced by Experimental Autoimmune Myasthenia Gravis in Rats.实验性自身免疫性重症肌无力诱导大鼠骨骼肌的差异RNA表达谱
Front Physiol. 2016 Nov 10;7:524. doi: 10.3389/fphys.2016.00524. eCollection 2016.
10
Innate immune-response mechanisms in dermatomyositis: an update on pathogenesis, diagnosis and treatment.特发性炎症性肌病的固有免疫反应机制:发病机制、诊断和治疗的最新进展。
Drugs. 2014 Jun;74(9):981-98. doi: 10.1007/s40265-014-0240-6.
细胞因子基因多态性中基因-基因-性别相互作用通过青少年皮肌炎血清干扰素 alpha 表型揭示。
J Pediatr. 2010 Oct;157(4):653-7. doi: 10.1016/j.jpeds.2010.04.034.
4
Role of the metastasis-promoting protein osteopontin in the tumour microenvironment.转移促进蛋白骨桥蛋白在肿瘤微环境中的作用。
J Cell Mol Med. 2010 Aug;14(8):2037-44. doi: 10.1111/j.1582-4934.2010.01115.x. Epub 2010 Jul 1.
5
Cutaneous manifestations of dermatomyositis and their management.皮肌炎的皮肤表现及其处理。
Curr Rheumatol Rep. 2010 Jun;12(3):192-7. doi: 10.1007/s11926-010-0100-7.
6
Age- and gender-specific modulation of serum osteopontin and interferon-alpha by osteopontin genotype in systemic lupus erythematosus.系统性红斑狼疮中骨桥蛋白基因型对血清骨桥蛋白和α干扰素的年龄及性别特异性调节
Genes Immun. 2009 Jul;10(5):487-94. doi: 10.1038/gene.2009.15. Epub 2009 Apr 2.
7
Osteopontin and systemic lupus erythematosus association: a probable gene-gender interaction.骨桥蛋白与系统性红斑狼疮的关联:一种可能的基因-性别相互作用。
PLoS One. 2008 Mar 12;3(3):e0001757. doi: 10.1371/journal.pone.0001757.
8
Chondroitin sulfate extracted from the Styela clava tunic suppresses TNF-alpha-induced expression of inflammatory factors, VCAM-1 and iNOS by blocking Akt/NF-kappaB signal in JB6 cells.从柄海鞘被囊中提取的硫酸软骨素通过阻断JB6细胞中的Akt/NF-κB信号来抑制TNF-α诱导的炎症因子、VCAM-1和iNOS的表达。
Cancer Lett. 2008 Jun 8;264(1):93-100. doi: 10.1016/j.canlet.2008.01.022. Epub 2008 Mar 4.
9
Osteopontin expression in normal skin and non-melanoma skin tumors.骨桥蛋白在正常皮肤和非黑色素瘤皮肤肿瘤中的表达。
J Histochem Cytochem. 2008 Jan;56(1):57-66. doi: 10.1369/jhc.7A7325.2007. Epub 2007 Oct 15.
10
ImageJ for microscopy.用于显微镜检查的ImageJ软件。
Biotechniques. 2007 Jul;43(1 Suppl):25-30. doi: 10.2144/000112517.

Gottron 丘疹表现为 CD44 变体 7(CD44v7)及其结合伴侣骨桥蛋白在真皮中的蓄积:一种独特的分子特征。

Gottron's papules exhibit dermal accumulation of CD44 variant 7 (CD44v7) and its binding partner osteopontin: a unique molecular signature.

机构信息

New York University School of Medicine, New York, New York, USA.

出版信息

J Invest Dermatol. 2012 Jul;132(7):1825-32. doi: 10.1038/jid.2012.54. Epub 2012 Mar 29.

DOI:10.1038/jid.2012.54
PMID:22456539
原文链接:https://pmc.ncbi.nlm.nih.gov/articles/PMC3375388/
Abstract

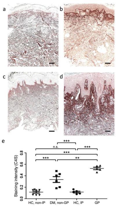
The accumulated mucin in non-Gottron's dermatomyositis (DM) lesions is primarily chondroitin-4-sulfate (C4S), which is immunomodulatory in vitro. Gottron's papules are a particularly resistant manifestation of DM that often persist after other lesions have resolved with therapy. We examined non-Gottron's DM lesions and Gottron's papule skin biopsies for C4S, CD44 variant 7 (CD44v7), a chondroitin sulfate-binding isoform causally implicated in autoimmunity, and osteopontin (OPN), a CD44v7 ligand implicated in chronic inflammation. Gottron's papule dermis contained more C4S and CD44v7 than non-Gottron's lesions. Normal skin showed less CD44v7 over joints relative to Gottron's lesions. All DM dermis had increased OPN compared with healthy skin. Mechanically stretching cultured fibroblasts for 6 hours induced CD44v7 mRNA and protein, whereas IFN-γ treatment induced OPN mRNA and protein. OPN alone did not induce CD44v7, but stretching dermal fibroblasts in the presence of OPN increased human acute monocytic leukemia cell line (THP-1) monocyte binding, which is blunted by anti-CD44v7 blocking antibody. C4S, CD44v7, and OPN are three molecules uniquely present in Gottron's papules that contribute to inflammation individually and in association with one another. We propose that stretch-induced CD44v7 over joints, in concert with dysregulated OPN levels in the skin of DM patients, increases local inflammatory cell recruitment and contributes to the pathogenesis and resistance of Gottron's papules.

摘要

非戈特罗的皮肌炎(DM)病变中积累的粘蛋白主要是软骨素-4-硫酸盐(C4S),它在体外具有免疫调节作用。戈特罗的丘疹是 DM 的一种特别具有抵抗力的表现,在其他病变通过治疗得到解决后,它常常仍然存在。我们检查了非戈特罗的 DM 病变和戈特罗丘疹的皮肤活检,以检测 C4S、CD44 变体 7(CD44v7),一种与自身免疫有关的软骨素硫酸盐结合同工型,以及骨桥蛋白(OPN),一种与慢性炎症有关的 CD44v7 配体。戈特罗丘疹的真皮比非戈特罗病变含有更多的 C4S 和 CD44v7。正常皮肤相对于戈特罗丘疹的关节处 CD44v7 较少。所有 DM 皮肤与健康皮肤相比,OPN 都增加了。将培养的成纤维细胞机械拉伸 6 小时可诱导 CD44v7 mRNA 和蛋白,而 IFN-γ 处理可诱导 OPN mRNA 和蛋白。OPN 本身不会诱导 CD44v7,但在存在 OPN 的情况下拉伸真皮成纤维细胞可增加人急性单核细胞白血病细胞系(THP-1)单核细胞结合,而抗 CD44v7 阻断抗体可减弱这种结合。C4S、CD44v7 和 OPN 是戈特罗丘疹中特有的三种分子,它们各自独立地、相互关联地参与炎症。我们提出,关节处拉伸诱导的 CD44v7,以及 DM 患者皮肤中失调的 OPN 水平,增加了局部炎症细胞的募集,并导致戈特罗丘疹的发病机制和抵抗力。

https://cdn.ncbi.nlm.nih.gov/pmc/blobs/6d1d/3375388/4a7728226ed8/nihms-355587-f0006.jpg
https://cdn.ncbi.nlm.nih.gov/pmc/blobs/6d1d/3375388/262661a7686a/nihms-355587-f0001.jpg
https://cdn.ncbi.nlm.nih.gov/pmc/blobs/6d1d/3375388/1d7cd8ff44dd/nihms-355587-f0002.jpg
https://cdn.ncbi.nlm.nih.gov/pmc/blobs/6d1d/3375388/0fc070cfb946/nihms-355587-f0003.jpg
https://cdn.ncbi.nlm.nih.gov/pmc/blobs/6d1d/3375388/f7f6a1b2e2bd/nihms-355587-f0004.jpg
https://cdn.ncbi.nlm.nih.gov/pmc/blobs/6d1d/3375388/9ec0a5b11e41/nihms-355587-f0005.jpg
https://cdn.ncbi.nlm.nih.gov/pmc/blobs/6d1d/3375388/4a7728226ed8/nihms-355587-f0006.jpg
https://cdn.ncbi.nlm.nih.gov/pmc/blobs/6d1d/3375388/262661a7686a/nihms-355587-f0001.jpg
https://cdn.ncbi.nlm.nih.gov/pmc/blobs/6d1d/3375388/1d7cd8ff44dd/nihms-355587-f0002.jpg
https://cdn.ncbi.nlm.nih.gov/pmc/blobs/6d1d/3375388/0fc070cfb946/nihms-355587-f0003.jpg
https://cdn.ncbi.nlm.nih.gov/pmc/blobs/6d1d/3375388/f7f6a1b2e2bd/nihms-355587-f0004.jpg
https://cdn.ncbi.nlm.nih.gov/pmc/blobs/6d1d/3375388/9ec0a5b11e41/nihms-355587-f0005.jpg
https://cdn.ncbi.nlm.nih.gov/pmc/blobs/6d1d/3375388/4a7728226ed8/nihms-355587-f0006.jpg