• 文献检索
  • 文档翻译
  • 深度研究
  • 学术资讯
  • Suppr Zotero 插件Zotero 插件
  • 邀请有礼
  • 套餐&价格
  • 历史记录
应用&插件
Suppr Zotero 插件Zotero 插件浏览器插件Mac 客户端Windows 客户端微信小程序
定价
高级版会员购买积分包购买API积分包
服务
文献检索文档翻译深度研究API 文档MCP 服务
关于我们
关于 Suppr公司介绍联系我们用户协议隐私条款
关注我们

Suppr 超能文献

核心技术专利:CN118964589B侵权必究
粤ICP备2023148730 号-1Suppr @ 2026

文献检索

告别复杂PubMed语法,用中文像聊天一样搜索,搜遍4000万医学文献。AI智能推荐,让科研检索更轻松。

立即免费搜索

文件翻译

保留排版,准确专业,支持PDF/Word/PPT等文件格式,支持 12+语言互译。

免费翻译文档

深度研究

AI帮你快速写综述,25分钟生成高质量综述,智能提取关键信息,辅助科研写作。

立即免费体验

两肾一夹型大鼠肺中降钙素基因相关肽样细胞的动态变化。

Dynamics of calcitonin gene-related peptide-like cells changes in the lungs of two-kidney, one-clip rats.

机构信息

Department of Histology and Cytophysiology, Medical University, Kilinski 1 str., 15-089 Bialystok, Poland.

出版信息

Eur J Histochem. 2012 Mar 8;56(1):e10. doi: 10.4081/ejh.2012.e10.

DOI:10.4081/ejh.2012.e10
PMID:22472888
原文链接:https://pmc.ncbi.nlm.nih.gov/articles/PMC3352129/
Abstract

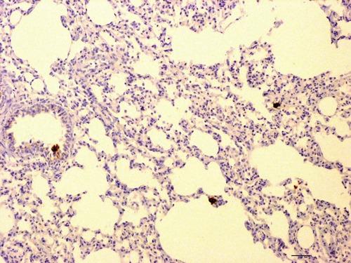
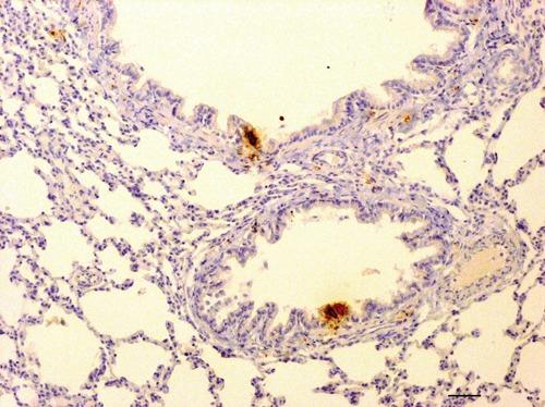
Taking into consideration renal hypertension-induced homeostatic disorders and the key role of calcitonin gene-related peptide (CGRP) in many, systemic functions regulating systems, a question arises as to what an extent arterial hypertension affects the morphology and dynamics of pulmonary CGRP-immunopositive cell changes. The aim of the present study was to examine the distribution, morphology and dynamics of changes of CGRP-containing cells in the lungs of rats in the two-kidney, one-clip (2K1C) renovascular hypertension model. The studies were carried out on the lungs of rats after 3, 14, 28, 42, and 91 days long period from the renal artery clipping procedure. In order to identify neuroendocrine cells, immunohistochemical reaction was performed with the use of a specific antibody against CGRP. It was revealed that renovascular hypertension caused changes in the neuroendocrine, CGRP-containing cells in the lungs of rats. The changes, observed in the neuroendocrine cells, depended on time periods from experimentally induced hypertension. The highest intensity of changes in the neuroendocrine cells was observed in the lungs of rats after 14 days from the surgery.

摘要

考虑到肾性高血压引起的体内平衡紊乱,以及降钙素基因相关肽(CGRP)在许多系统功能调节系统中的关键作用,人们不禁要问,动脉高血压在多大程度上影响肺 CGRP 免疫阳性细胞变化的形态和动态。本研究的目的是研究在 2K1C 血管性高血压模型中,大鼠肺部含 CGRP 细胞的分布、形态和动态变化。研究是在肾动脉夹闭后 3、14、28、42 和 91 天的时间点进行的。为了鉴定神经内分泌细胞,使用针对 CGRP 的特异性抗体进行了免疫组织化学反应。结果表明,肾血管性高血压引起了大鼠肺部神经内分泌、含 CGRP 细胞的变化。在神经内分泌细胞中观察到的变化取决于实验性高血压后的时间间隔。在手术后 14 天,大鼠肺部的神经内分泌细胞变化最为明显。

https://cdn.ncbi.nlm.nih.gov/pmc/blobs/7bcd/3352129/779f889e7e74/ejh-2012-1-e10-g005.jpg
https://cdn.ncbi.nlm.nih.gov/pmc/blobs/7bcd/3352129/439e8ad07a98/ejh-2012-1-e10-g001.jpg
https://cdn.ncbi.nlm.nih.gov/pmc/blobs/7bcd/3352129/bc0dd66c942b/ejh-2012-1-e10-g002.jpg
https://cdn.ncbi.nlm.nih.gov/pmc/blobs/7bcd/3352129/b868c6a3135d/ejh-2012-1-e10-g003.jpg
https://cdn.ncbi.nlm.nih.gov/pmc/blobs/7bcd/3352129/44dab11947d6/ejh-2012-1-e10-g004.jpg
https://cdn.ncbi.nlm.nih.gov/pmc/blobs/7bcd/3352129/779f889e7e74/ejh-2012-1-e10-g005.jpg
https://cdn.ncbi.nlm.nih.gov/pmc/blobs/7bcd/3352129/439e8ad07a98/ejh-2012-1-e10-g001.jpg
https://cdn.ncbi.nlm.nih.gov/pmc/blobs/7bcd/3352129/bc0dd66c942b/ejh-2012-1-e10-g002.jpg
https://cdn.ncbi.nlm.nih.gov/pmc/blobs/7bcd/3352129/b868c6a3135d/ejh-2012-1-e10-g003.jpg
https://cdn.ncbi.nlm.nih.gov/pmc/blobs/7bcd/3352129/44dab11947d6/ejh-2012-1-e10-g004.jpg
https://cdn.ncbi.nlm.nih.gov/pmc/blobs/7bcd/3352129/779f889e7e74/ejh-2012-1-e10-g005.jpg

相似文献

1
Dynamics of calcitonin gene-related peptide-like cells changes in the lungs of two-kidney, one-clip rats.两肾一夹型大鼠肺中降钙素基因相关肽样细胞的动态变化。
Eur J Histochem. 2012 Mar 8;56(1):e10. doi: 10.4081/ejh.2012.e10.
2
Quantitative distribution and localization of calcitonin gene-related peptide-like cells in the stomach of two kidney, one clip rats.两肾一夹大鼠胃中降钙素基因相关肽样细胞的定量分布与定位
J Physiol Pharmacol. 2009 Jun;60(2):35-9.
3
Dynamics of cocaine- and amphetamine-regulated transcript containing cell changes in the adrenal glands of two kidney, one clip rats.两肾一夹高血压大鼠肾上腺可卡因和苯丙胺调节转录物阳性细胞的变化动态。
Exp Biol Med (Maywood). 2014 Oct;239(10):1292-9. doi: 10.1177/1535370214538593. Epub 2014 Jun 17.
4
An increase in the synthesis and release of calcitonin gene-related peptide in two-kidney, one-clip hypertensive rats.两肾一夹型高血压大鼠降钙素基因相关肽合成与释放增加。
Regul Pept. 2003 Jul 15;114(2-3):175-82. doi: 10.1016/s0167-0115(03)00124-1.
5
Calcitonin gene-related peptide expression is altered in pulmonary neuroendocrine cells in developing lungs of rats with congenital diaphragmatic hernia.在患有先天性膈疝的大鼠发育中的肺脏中,降钙素基因相关肽的表达在肺神经内分泌细胞中发生改变。
Am J Respir Cell Mol Biol. 1998 Aug;19(2):278-85. doi: 10.1165/ajrcmb.19.2.2853.
6
Calcitonin gene-related peptide expression altered in pulmonary neuroendocrine cells in an experimental model of uraemia.尿毒症实验模型中肺神经内分泌细胞降钙素基因相关肽表达改变。
Eur J Histochem. 2006 Apr-Jun;50(2):89-98.
7
Long-term induction of beta-CGRP mRNA in rat lungs by allergic inflammation.变应性炎症对大鼠肺组织β-降钙素基因相关肽mRNA的长期诱导作用
Life Sci. 2004 Nov 26;76(2):163-77. doi: 10.1016/j.lfs.2004.05.038.
8
Role of anandamide transporter in regulating calcitonin gene-related peptide production and blood pressure in hypertension.花生四烯酸乙醇胺转运体在高血压中调节降钙素基因相关肽生成及血压的作用
J Hypertens. 2009 Jun;27(6):1224-32. doi: 10.1097/hjh.0b013e328329bbd7.
9
Acute alveolar hypoxia increases endothelin-1 release but decreases release of calcitonin gene-related peptide in isolated perfused rat lungs.急性肺泡缺氧会增加内皮素-1的释放,但会减少离体灌注大鼠肺中降钙素基因相关肽的释放。
Scand J Clin Lab Invest. 1995 Aug;55(5):369-76. doi: 10.3109/00365519509104975.
10
Antihypertensive and vascular remodelling effects of the imperatorin derivative OW1 in renovascular hypertension rats.欧前胡素衍生物OW1对肾血管性高血压大鼠的降压及血管重塑作用
Clin Exp Pharmacol Physiol. 2014 Aug;41(8):571-8. doi: 10.1111/1440-1681.12248.

引用本文的文献

1
Quantitative evaluation of CART-containing cells in urinary bladder of rats with renovascular hypertension.肾血管性高血压大鼠膀胱中含CART细胞的定量评估。
Eur J Histochem. 2015 Apr 13;59(2):2446. doi: 10.4081/ejh.2015.2446.
2
Influence of renovascular hypertension on the distribution of vasoactive intestinal peptide in the stomach and heart of rats.肾血管性高血压对大鼠胃和心脏中血管活性肠肽分布的影响。
Exp Biol Med (Maywood). 2015 Nov;240(11):1402-7. doi: 10.1177/1535370215587533. Epub 2015 May 19.

本文引用的文献

1
Accelerated senescence of endothelial progenitor cells in hypertension is related to the reduction of calcitonin gene-related peptide.高血压患者内皮祖细胞的加速衰老与降钙素基因相关肽的减少有关。
J Hypertens. 2010 May;28(5):931-9. doi: 10.1097/HJH.0b013e3283399326.
2
Quantitative distribution and localization of calcitonin gene-related peptide-like cells in the stomach of two kidney, one clip rats.两肾一夹大鼠胃中降钙素基因相关肽样细胞的定量分布与定位
J Physiol Pharmacol. 2009 Jun;60(2):35-9.
3
Association of CALCA genetic polymorphism with essential hypertension.
CALCA基因多态性与原发性高血压的关联。
Chin Med J (Engl). 2008 Aug 5;121(15):1407-10.
4
Renal artery stenosis in patients with coronary artery disease.冠状动脉疾病患者的肾动脉狭窄
Kardiol Pol. 2008 Aug;66(8):856-62; discussion 863-4.
5
Bronchopulmonary neuroendocrine tumors.支气管肺神经内分泌肿瘤
Cancer. 2008 Jul 1;113(1):5-21. doi: 10.1002/cncr.23542.
6
Can doxazosin inhibit the hypertension-induced changes of endocrine cells in the stomach of spontaneously hypertensive rats?多沙唑嗪能否抑制自发性高血压大鼠胃内分泌细胞因高血压引起的变化?
J Physiol Pharmacol. 2008 Mar;59(1):189-201.
7
Deletion of the mouse alpha-calcitonin gene-related peptide gene increases the vulnerability of the heart to ischemia-reperfusion injury.删除小鼠α-降钙素基因相关肽基因会增加心脏对缺血-再灌注损伤的易感性。
Am J Physiol Heart Circ Physiol. 2008 Mar;294(3):H1291-7. doi: 10.1152/ajpheart.00749.2007. Epub 2008 Jan 11.
8
An immunohistochemical study of endocrine cells in the stomach of hypertensive rats.高血压大鼠胃内分泌细胞的免疫组织化学研究
J Physiol Pharmacol. 2007 Sep;58(3):469-78.
9
Characterization of slowly inactivating KV{alpha} current in rabbit pulmonary neuroepithelial bodies: effects of hypoxia and nicotine.兔肺神经上皮小体中缓慢失活的KVα电流的特性:缺氧和尼古丁的影响。
Am J Physiol Lung Cell Mol Physiol. 2007 Oct;293(4):L892-902. doi: 10.1152/ajplung.00098.2007. Epub 2007 Jul 20.
10
Renal artery stenosis.肾动脉狭窄
Curr Treat Options Cardiovasc Med. 2007 Apr;9(2):90-8. doi: 10.1007/s11936-007-0002-9.