Suppr超能文献

鉴定和描述七鳃鳗高迁移率族蛋白 B1 基因。

Identification and characterization of the lamprey high-mobility group box 1 gene.

机构信息

Institute of Marine Genomics and Proteomics, Liaoning Normal University, Dalian, China.

出版信息

PLoS One. 2012;7(4):e35755. doi: 10.1371/journal.pone.0035755. Epub 2012 Apr 26.

Abstract

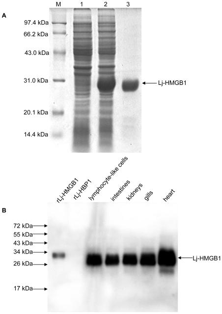
High-mobility group box 1 (HMGB1), a highly conserved DNA-binding protein, plays an important role in maintaining nucleosome structures, transcription, and inflammation. We identified a homolog of HMGB1 in the Japanese lamprey (Lampetra japonica). The Lampetra japonica HMGB1 gene (Lj-HMGB1) has over 70% sequence identity with its homologs in jawed vertebrates. Despite the reasonably high sequence identity with other HMGB1 proteins, Lj-HMGB1 did not group together with these proteins in a phylogenetic analysis. We examined Lj-HMGB1 expression in lymphocyte-like cells, and the kidneys, heart, gills, and intestines of lampreys before and after the animals were challenged with lipopolysaccharide (LPS) and concanavalin A (ConA). Lj-HMGB1 was initially expressed at a higher level in the heart, but after treatment with LPS and ConA only the gills demonstrated a significant up-regulation of expression. The recombinant Lj-HMGB1 (rLj-HMGB1) protein bound double-stranded DNA and induced the proliferation of human adenocarcinoma cells to a similar extent as human HMGB1. We further revealed that Lj-HMGB1 was able to induce the production of tumor necrosis factor-α (TNF-α), a pro-inflammatory mediator, in activated human acute monocytic leukemia cells. These results suggest that lampreys use HMGB1 to activate their innate immunity for the purpose of pathogen defense.

摘要

高迁移率族蛋白 B1(HMGB1)是一种高度保守的 DNA 结合蛋白,在维持核小体结构、转录和炎症中发挥重要作用。我们在日本七鳃鳗(Lampetra japonica)中鉴定出 HMGB1 的同源物。日本七鳃鳗 HMGB1 基因(Lj-HMGB1)与有颌脊椎动物的同源物有超过 70%的序列同一性。尽管与其他 HMGB1 蛋白具有相当高的序列同一性,但 Lj-HMGB1 在系统发育分析中并未与这些蛋白聚为一类。我们检测了 Lj-HMGB1 在淋巴细胞样细胞以及七鳃鳗的肾脏、心脏、鳃和肠中的表达,然后用脂多糖(LPS)和刀豆蛋白 A(ConA)对动物进行处理前后。Lj-HMGB1 最初在心脏中表达水平较高,但在用 LPS 和 ConA 处理后,只有鳃显示出表达的显著上调。重组 Lj-HMGB1(rLj-HMGB1)蛋白与双链 DNA 结合,并以与人类 HMGB1 相似的程度诱导人腺癌细胞的增殖。我们进一步揭示,Lj-HMGB1 能够诱导激活的人急性单核细胞白血病细胞产生肿瘤坏死因子-α(TNF-α),一种促炎介质。这些结果表明,七鳃鳗利用 HMGB1 激活其先天免疫以抵御病原体。

https://cdn.ncbi.nlm.nih.gov/pmc/blobs/c73c/3338530/4c21d5af23ae/pone.0035755.g001.jpg

文献检索

告别复杂PubMed语法,用中文像聊天一样搜索,搜遍4000万医学文献。AI智能推荐,让科研检索更轻松。

立即免费搜索

文件翻译

保留排版,准确专业,支持PDF/Word/PPT等文件格式,支持 12+语言互译。

免费翻译文档

深度研究

AI帮你快速写综述,25分钟生成高质量综述,智能提取关键信息,辅助科研写作。

立即免费体验