• 文献检索
  • 文档翻译
  • 深度研究
  • 学术资讯
  • Suppr Zotero 插件Zotero 插件
  • 邀请有礼
  • 套餐&价格
  • 历史记录
应用&插件
Suppr Zotero 插件Zotero 插件浏览器插件Mac 客户端Windows 客户端微信小程序
定价
高级版会员购买积分包购买API积分包
服务
文献检索文档翻译深度研究API 文档MCP 服务
关于我们
关于 Suppr公司介绍联系我们用户协议隐私条款
关注我们

Suppr 超能文献

核心技术专利:CN118964589B侵权必究
粤ICP备2023148730 号-1Suppr @ 2026

文献检索

告别复杂PubMed语法,用中文像聊天一样搜索,搜遍4000万医学文献。AI智能推荐,让科研检索更轻松。

立即免费搜索

文件翻译

保留排版,准确专业,支持PDF/Word/PPT等文件格式,支持 12+语言互译。

免费翻译文档

深度研究

AI帮你快速写综述,25分钟生成高质量综述,智能提取关键信息,辅助科研写作。

立即免费体验

伪装成胆管癌的Mirizzi综合征:一例报告

Mirizzi's syndrome masquerading as cholangiocarcinoma: a case report.

作者信息

Khan Muhammad Rizwan, Ur Rehman Sameer

机构信息

Department of Surgery, Aga Khan University & Hospital, Stadium Road, Karachi, 74800, Pakistan.

出版信息

J Med Case Rep. 2012 Jun 15;6:157. doi: 10.1186/1752-1947-6-157.

DOI:10.1186/1752-1947-6-157
PMID:22703944
原文链接:https://pmc.ncbi.nlm.nih.gov/articles/PMC3423052/
Abstract

INTRODUCTION

Mirizzi's syndrome is a rarely observed disorder that presents with obstructive jaundice. The condition is caused by a stone impacted in the gall bladder neck or cystic duct that impinges on the common hepatic duct, with or without a cholecystocholedochal fistula. The condition is often confused with other serious conditions such as hilar cholangiocarcinoma, which present with similar clinical and imaging findings, and a pre-operative diagnosis may be a serious challenge.

CASE PRESENTATION

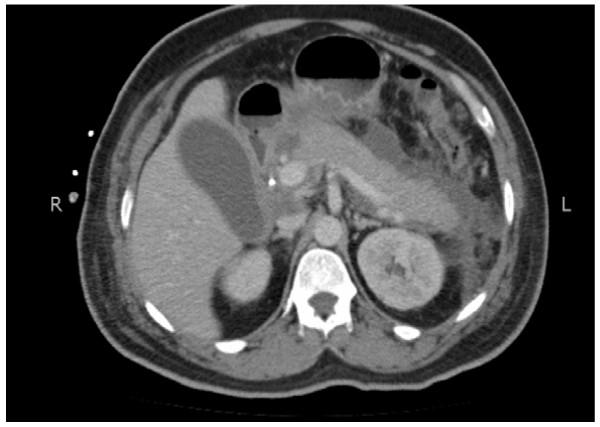
We present the case of a 44-year-old Asian man with Mirizzi's syndrome who was initially diagnosed as having cholangiocarcinoma based on his clinical presentation, raised cancer antigen 19-9 levels and radiological findings. Our patient was diagnosed as having Mirizzi's syndrome intra-operatively and subsequently a cholecystectomy was performed with restoration of biliary drainage. Careful clinical assessment during surgery with the help of intra-operative frozen section helped in establishing the definitive diagnosis and altered the surgical procedure for our patient.

CONCLUSIONS

Pre-operative diagnosis of Mirizzi's syndrome could be challenging as the clinical, biochemical and radiological presentation is similar to other conditions causing obstructive jaundice such as choledocholithiasis, bile duct stricture or cholangiocarcinoma. A high index of suspicion and careful surgical assessment may help in establishing a diagnosis and alter the clinical course for our patient.

摘要

引言

Mirizzi综合征是一种罕见的疾病,表现为梗阻性黄疸。该病由胆囊颈部或胆囊管内的结石压迫肝总管引起,可伴有或不伴有胆囊胆总管瘘。该疾病常与其他严重疾病混淆,如肝门部胆管癌,它们具有相似的临床和影像学表现,术前诊断可能是一项严峻挑战。

病例报告

我们报告一例44岁亚洲男性Mirizzi综合征病例,该患者最初根据临床表现、癌胚抗原19-9水平升高及影像学检查结果被诊断为胆管癌。我们的患者在术中被诊断为Mirizzi综合征,随后进行了胆囊切除术并恢复了胆汁引流。术中借助冰冻切片进行仔细的临床评估有助于明确诊断,并改变了我们患者的手术方式。

结论

Mirizzi综合征的术前诊断具有挑战性,因为其临床、生化及影像学表现与其他导致梗阻性黄疸的疾病(如胆总管结石、胆管狭窄或胆管癌)相似。高度的怀疑指数和仔细的手术评估可能有助于确诊并改变患者的临床病程。

https://cdn.ncbi.nlm.nih.gov/pmc/blobs/7f6f/3423052/dc8c82c8e82e/1752-1947-6-157-4.jpg
https://cdn.ncbi.nlm.nih.gov/pmc/blobs/7f6f/3423052/527060609a73/1752-1947-6-157-1.jpg
https://cdn.ncbi.nlm.nih.gov/pmc/blobs/7f6f/3423052/5c2522fb7785/1752-1947-6-157-2.jpg
https://cdn.ncbi.nlm.nih.gov/pmc/blobs/7f6f/3423052/ae0204073575/1752-1947-6-157-3.jpg
https://cdn.ncbi.nlm.nih.gov/pmc/blobs/7f6f/3423052/dc8c82c8e82e/1752-1947-6-157-4.jpg
https://cdn.ncbi.nlm.nih.gov/pmc/blobs/7f6f/3423052/527060609a73/1752-1947-6-157-1.jpg
https://cdn.ncbi.nlm.nih.gov/pmc/blobs/7f6f/3423052/5c2522fb7785/1752-1947-6-157-2.jpg
https://cdn.ncbi.nlm.nih.gov/pmc/blobs/7f6f/3423052/ae0204073575/1752-1947-6-157-3.jpg
https://cdn.ncbi.nlm.nih.gov/pmc/blobs/7f6f/3423052/dc8c82c8e82e/1752-1947-6-157-4.jpg

相似文献

1
Mirizzi's syndrome masquerading as cholangiocarcinoma: a case report.伪装成胆管癌的Mirizzi综合征:一例报告
J Med Case Rep. 2012 Jun 15;6:157. doi: 10.1186/1752-1947-6-157.
2
Mirizzi's syndrome: an interesting on table finding.米里齐综合征:术中一项有趣的发现。
J Ayub Med Coll Abbottabad. 2014 Oct-Dec;26(4):621-4.
3
Mirizzi's syndrome: experience from a multi-institutional review.Mirizzi综合征:一项多机构回顾研究的经验
Am Surg. 2001 Jan;67(1):11-4.
4
An extrahepatic bile duct metastasis from a gallbladder cancer mimicking Mirizzi's syndrome.一例酷似Mirizzi综合征的胆囊癌肝外胆管转移
Am J Gastroenterol. 1999 Feb;94(2):508-10. doi: 10.1111/j.1572-0241.1999.885_n.x.
5
Mirizzi's syndrome: a contraindication to coelioscopic cholecystectomy.米里齐综合征:腹腔镜胆囊切除术的禁忌证。
J Laparoendosc Surg. 1991 Jun;1(3):133-7. doi: 10.1089/lps.1991.1.133.
6
[Minimally invasive surgery in the management of Mirizzi syndrome].[微创外科手术治疗Mirizzi综合征]
Orv Hetil. 1998 Jan 25;139(4):177-80.
7
[A patient with a possible Mirizzi's syndrome].[一名疑似患有Mirizzi综合征的患者]
Ned Tijdschr Geneeskd. 2011;155(18):A3528.
8
Post-cholecystectomy Mirizzi's syndrome: magnetic resonance cholangiopancreatography demonstration.胆囊切除术后 Mirizzi 综合征:磁共振胰胆管成像显示。
Saudi J Gastroenterol. 2010 Oct-Dec;16(4):295-8. doi: 10.4103/1319-3767.70620.
9
Mirizzi's syndrome: identification and management strategy.Mirizzi综合征:识别与管理策略
Aust N Z J Surg. 1993 Oct;63(10):802-6. doi: 10.1111/j.1445-2197.1993.tb00344.x.
10
[Mirizzi's syndrome. Evaluation of 3 cases].[Mirizzi综合征。3例病例分析]
Ann Ital Chir. 2004 May-Jun;75(3):357-61.

引用本文的文献

1
An Unusual Case of Intrahepatic Stone Masquerading as Cholangiocarcinoma.一例伪装成胆管癌的肝内结石罕见病例。
ACG Case Rep J. 2025 Feb 6;12(2):e01607. doi: 10.14309/crj.0000000000001607. eCollection 2025 Feb.
2
Gallbladder Mysteries: A Diagnostic Dilemma in Mirizzi Syndrome With Acalculous Presentation.胆囊之谜:无结石表现的Mirizzi综合征中的诊断难题
Cureus. 2023 Oct 13;15(10):e46997. doi: 10.7759/cureus.46997. eCollection 2023 Oct.
3
Ticking Bomb: Asymptomatic Mirizzi Syndrome.定时炸弹:无症状性Mirizzi综合征。

本文引用的文献

1
Mirizzi syndrome type Va: A rare coexistence of double cholecysto-biliary and cholecysto-enteric fistulae.Ⅴ型Mirizzi综合征:一种罕见的胆囊双胆道瘘与胆囊肠瘘并存情况。
World J Radiol. 2010 Oct 28;2(10):410-3. doi: 10.4329/wjr.v2.i10.410.
2
The Mirizzi syndrome: multidisciplinary management promotes optimal outcomes.Mirizzi综合征:多学科管理可促进最佳治疗效果。
J Gastrointest Surg. 2008 Jun;12(6):1022-8. doi: 10.1007/s11605-007-0305-x. Epub 2007 Sep 14.
3
Preoperative diagnosis and efficacy of laparoscopic procedures in the treatment of Mirizzi syndrome.
Cureus. 2017 Nov 16;9(11):e1854. doi: 10.7759/cureus.1854.
4
Elevated serum level of carbohydrate antigen 19-9 in benign biliary stricture diseases can reduce its value as a tumor marker.良性胆管狭窄疾病中血清糖类抗原19-9水平升高会降低其作为肿瘤标志物的价值。
Int J Clin Exp Med. 2014 Mar 15;7(3):744-50. eCollection 2014.
腹腔镜手术治疗Mirizzi综合征的术前诊断及疗效
J Am Coll Surg. 2007 Mar;204(3):409-15. doi: 10.1016/j.jamcollsurg.2006.12.005. Epub 2007 Jan 25.
4
Mirizzi syndrome with cholecysto-choledocal fistula with a high CA19-9 level mimicking biliary malignancies: a case report.伴有胆囊胆总管瘘且 CA19-9 水平升高、酷似胆道恶性肿瘤的 Mirizzi 综合征:一例报告
Hepatogastroenterology. 2003 Sep-Oct;50(53):1259-62.
5
Mirizzi's syndrome with a high CA19-9 level mimicking cholangiocarcinoma.伴有高CA19-9水平的Mirizzi综合征酷似胆管癌。
Am J Gastroenterol. 1997 Dec;92(12):2309-10.
6
The Mirizzi syndrome.米里齐综合征
Postgrad Med J. 1997 Aug;73(862):487-90. doi: 10.1136/pgmj.73.862.487.
7
High coincidence of Mirizzi syndrome and gallbladder carcinoma.Mirizzi综合征与胆囊癌的高重合率。
Surgery. 1997 Jan;121(1):58-63. doi: 10.1016/s0039-6060(97)90183-5.
8
Preoperative diagnosis of the Mirizzi syndrome: limitations of sonography and computed tomography.Mirizzi综合征的术前诊断:超声和计算机断层扫描的局限性
AJR Am J Roentgenol. 1984 Sep;143(3):591-6. doi: 10.2214/ajr.143.3.591.
9
Mirizzi syndrome and cholecystobiliary fistula: a unifying classification.Mirizzi综合征与胆囊胆管瘘:一种统一的分类法
Br J Surg. 1989 Nov;76(11):1139-43. doi: 10.1002/bjs.1800761110.
10
Management of the Mirizzi syndrome and the surgical implications of cholecystcholedochal fistula.Mirizzi综合征的管理及胆囊胆总管瘘的手术意义
Br J Surg. 1990 Jul;77(7):743-5. doi: 10.1002/bjs.1800770708.