• 文献检索
  • 文档翻译
  • 深度研究
  • 学术资讯
  • Suppr Zotero 插件Zotero 插件
  • 邀请有礼
  • 套餐&价格
  • 历史记录
应用&插件
Suppr Zotero 插件Zotero 插件浏览器插件Mac 客户端Windows 客户端微信小程序
定价
高级版会员购买积分包购买API积分包
服务
文献检索文档翻译深度研究API 文档MCP 服务
关于我们
关于 Suppr公司介绍联系我们用户协议隐私条款
关注我们

Suppr 超能文献

核心技术专利:CN118964589B侵权必究
粤ICP备2023148730 号-1Suppr @ 2026

文献检索

告别复杂PubMed语法,用中文像聊天一样搜索,搜遍4000万医学文献。AI智能推荐,让科研检索更轻松。

立即免费搜索

文件翻译

保留排版,准确专业,支持PDF/Word/PPT等文件格式,支持 12+语言互译。

免费翻译文档

深度研究

AI帮你快速写综述,25分钟生成高质量综述,智能提取关键信息,辅助科研写作。

立即免费体验

CD47 在人类和小鼠自身免疫性脑炎症中的类 Janus 相反作用。

Janus-like opposing roles of CD47 in autoimmune brain inflammation in humans and mice.

机构信息

Department of Neurology and Neurological Sciences, Stanford University School of Medicine, Stanford, CA 94305, USA.

出版信息

J Exp Med. 2012 Jul 2;209(7):1325-34. doi: 10.1084/jem.20101974. Epub 2012 Jun 25.

DOI:10.1084/jem.20101974
PMID:22734047
原文链接:https://pmc.ncbi.nlm.nih.gov/articles/PMC3405500/
Abstract

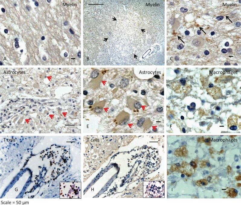
Comparison of transcriptomic and proteomic data from pathologically similar multiple sclerosis (MS) lesions reveals down-regulation of CD47 at the messenger RNA level and low abundance at the protein level. Immunohistochemical studies demonstrate that CD47 is expressed in normal myelin and in foamy macrophages and reactive astrocytes within active MS lesions. We demonstrate that CD47(-/-) mice are refractory to experimental autoimmune encephalomyelitis (EAE), primarily as the result of failure of immune cell activation after immunization with myelin antigen. In contrast, blocking with a monoclonal antibody against CD47 in mice at the peak of paralysis worsens EAE severity and enhances immune activation in the peripheral immune system. In vitro assays demonstrate that blocking CD47 also promotes phagocytosis of myelin and that this effect is dependent on signal regulatory protein α (SIRP-α). Immune regulation and phagocytosis are mechanisms for CD47 signaling in autoimmune neuroinflammation. Depending on the cell type, location, and disease stage, CD47 has Janus-like roles, with opposing effects on EAE pathogenesis.

摘要

比较组织病理学相似的多发性硬化症(MS)病变的转录组学和蛋白质组学数据,揭示信使 RNA 水平的 CD47 下调和蛋白质水平的低丰度。免疫组织化学研究表明,CD47 在正常髓鞘和活跃 MS 病变中的泡沫状巨噬细胞和反应性星形胶质细胞中表达。我们证明 CD47(-/-) 小鼠对实验性自身免疫性脑脊髓炎(EAE)具有抗性,主要是由于在用髓鞘抗原免疫后免疫细胞激活失败。相比之下,在瘫痪高峰期用针对 CD47 的单克隆抗体阻断小鼠中的 CD47 会加重 EAE 的严重程度并增强外周免疫系统中的免疫激活。体外检测表明,阻断 CD47 还可促进髓鞘的吞噬作用,并且该作用依赖于信号调节蛋白α(SIRP-α)。免疫调节和吞噬作用是自身免疫性神经炎症中 CD47 信号传导的机制。根据细胞类型、位置和疾病阶段,CD47 具有类似两面神的作用,对 EAE 发病机制有相反的影响。

https://cdn.ncbi.nlm.nih.gov/pmc/blobs/63a9/3405500/417f32751d1a/JEM_20101974_Fig6.jpg
https://cdn.ncbi.nlm.nih.gov/pmc/blobs/63a9/3405500/d3f52e8a5a8a/JEM_20101974_Fig1.jpg
https://cdn.ncbi.nlm.nih.gov/pmc/blobs/63a9/3405500/70a0c298b40a/JEM_20101974_Fig2.jpg
https://cdn.ncbi.nlm.nih.gov/pmc/blobs/63a9/3405500/de7da2cb0519/JEM_20101974_Fig3.jpg
https://cdn.ncbi.nlm.nih.gov/pmc/blobs/63a9/3405500/5fa83049c406/JEM_20101974_Fig4.jpg
https://cdn.ncbi.nlm.nih.gov/pmc/blobs/63a9/3405500/8f545b1c2f30/JEM_20101974_Fig5.jpg
https://cdn.ncbi.nlm.nih.gov/pmc/blobs/63a9/3405500/417f32751d1a/JEM_20101974_Fig6.jpg
https://cdn.ncbi.nlm.nih.gov/pmc/blobs/63a9/3405500/d3f52e8a5a8a/JEM_20101974_Fig1.jpg
https://cdn.ncbi.nlm.nih.gov/pmc/blobs/63a9/3405500/70a0c298b40a/JEM_20101974_Fig2.jpg
https://cdn.ncbi.nlm.nih.gov/pmc/blobs/63a9/3405500/de7da2cb0519/JEM_20101974_Fig3.jpg
https://cdn.ncbi.nlm.nih.gov/pmc/blobs/63a9/3405500/5fa83049c406/JEM_20101974_Fig4.jpg
https://cdn.ncbi.nlm.nih.gov/pmc/blobs/63a9/3405500/8f545b1c2f30/JEM_20101974_Fig5.jpg
https://cdn.ncbi.nlm.nih.gov/pmc/blobs/63a9/3405500/417f32751d1a/JEM_20101974_Fig6.jpg

相似文献

1
Janus-like opposing roles of CD47 in autoimmune brain inflammation in humans and mice.CD47 在人类和小鼠自身免疫性脑炎症中的类 Janus 相反作用。
J Exp Med. 2012 Jul 2;209(7):1325-34. doi: 10.1084/jem.20101974. Epub 2012 Jun 25.
2
Immunoenrichment microwave and magnetic proteomics for quantifying CD47 in the experimental autoimmune encephalomyelitis model of multiple sclerosis.免疫富集微波和磁蛋白质组学用于定量多发性硬化症实验性自身免疫性脑脊髓炎模型中的 CD47。
Electrophoresis. 2012 Dec;33(24):3820-9. doi: 10.1002/elps.201200515.
3
CD47 antibody blockade suppresses microglia-dependent phagocytosis and monocyte transition to macrophages, impairing recovery in EAE.CD47 抗体阻断抑制小胶质细胞依赖性吞噬作用和单核细胞向巨噬细胞的转化,从而损害 EAE 的恢复。
JCI Insight. 2021 Nov 8;6(21):e148719. doi: 10.1172/jci.insight.148719.
4
Myelin down-regulates myelin phagocytosis by microglia and macrophages through interactions between CD47 on myelin and SIRPα (signal regulatory protein-α) on phagocytes.髓鞘通过髓鞘上的 CD47 与吞噬细胞上的 SIRPα(信号调节蛋白-α)之间的相互作用,下调小胶质细胞和巨噬细胞对髓鞘的吞噬作用。
J Neuroinflammation. 2011 Mar 15;8:24. doi: 10.1186/1742-2094-8-24.
5
Defects in CD4+ T cell LFA-1 integrin-dependent adhesion and proliferation protect Cd47-/- mice from EAE.CD4+ T细胞中淋巴细胞功能相关抗原-1(LFA-1)整合素依赖性黏附和增殖的缺陷可保护Cd47-/-小鼠免受实验性自身免疫性脑脊髓炎(EAE)的侵害。
J Leukoc Biol. 2017 Feb;101(2):493-505. doi: 10.1189/jlb.3A1215-546RR. Epub 2016 Dec 13.
6
Aire is not essential for regulating neuroinflammatory disease in mice transgenic for human autoimmune-diseases associated MHC class II genes HLA-DR2b and HLA-DR4.Aire 对于调控携带与人类自身免疫性疾病相关 MHC Ⅱ类基因 HLA-DR2b 和 HLA-DR4 的转基因小鼠的神经炎症性疾病并非必需。
Cell Immunol. 2018 Sep;331:38-48. doi: 10.1016/j.cellimm.2018.05.003. Epub 2018 May 14.
7
Blockade of CD47 ameliorates autoimmune inflammation in CNS by suppressing IL-1-triggered infiltration of pathogenic Th17 cells.阻断 CD47 可通过抑制 IL-1 触发的致病性 Th17 细胞浸润来改善中枢神经系统自身免疫炎症。
J Autoimmun. 2016 May;69:74-85. doi: 10.1016/j.jaut.2016.03.002. Epub 2016 Mar 16.
8
Deletion of CD47 from Schwann cells and macrophages hastens myelin disruption/dismantling and scavenging in Schwann cells and augments myelin debris phagocytosis in macrophages.施万细胞和巨噬细胞中 CD47 的缺失加速了施万细胞中髓鞘的破坏/解体和清除,并增强了巨噬细胞对髓鞘碎片的吞噬作用。
J Neuroinflammation. 2023 Oct 23;20(1):243. doi: 10.1186/s12974-023-02929-0.
9
A Tolerogenic Artificial APC Durably Ameliorates Experimental Autoimmune Encephalomyelitis by Directly and Selectively Modulating Myelin Peptide-Autoreactive CD4 and CD8 T Cells.一种耐受原性人工 APC 通过直接和选择性调节髓鞘肽自身反应性 CD4 和 CD8 T 细胞,持久改善实验性自身免疫性脑脊髓炎。
J Immunol. 2018 Aug 15;201(4):1194-1210. doi: 10.4049/jimmunol.1800108. Epub 2018 Jul 9.
10
Transcript analysis of laser capture microdissected white matter astrocytes and higher phenol sulfotransferase 1A1 expression during autoimmune neuroinflammation.激光捕获显微切割的白质星形胶质细胞的转录分析以及自身免疫性神经炎症期间较高的酚磺基转移酶1A1表达。
J Neuroinflammation. 2015 Jul 4;12:130. doi: 10.1186/s12974-015-0348-y.

引用本文的文献

1
GSDME-mediated pyroptosis in microglia exacerbates demyelination and neuroinflammation in multiple sclerosis: insights from humans and cuprizone-induced demyelination model mice.小胶质细胞中GSDME介导的细胞焦亡加剧多发性硬化症中的脱髓鞘和神经炎症:来自人类和铜螯合剂诱导的脱髓鞘模型小鼠的见解
Cell Death Differ. 2025 Jun 25. doi: 10.1038/s41418-025-01537-0.
2
Beyond cancer: The potential application of CD47-based therapy in non-cancer diseases.超越癌症:基于CD47的疗法在非癌症疾病中的潜在应用。
Acta Pharm Sin B. 2025 Feb;15(2):757-791. doi: 10.1016/j.apsb.2024.11.018. Epub 2024 Nov 28.
3
Transcriptomic profiling identifies ferroptosis and NF-κB signaling involved in α-dimorphecolic acid regulation of microglial inflammation.

本文引用的文献

1
Inhibitory role for GABA in autoimmune inflammation.GABA 在自身免疫性炎症中的抑制作用。
Proc Natl Acad Sci U S A. 2010 Feb 9;107(6):2580-5. doi: 10.1073/pnas.0915139107. Epub 2010 Feb 1.
2
MicroRNA profiling of multiple sclerosis lesions identifies modulators of the regulatory protein CD47.多发性硬化症病变的 microRNA 分析鉴定了调节蛋白 CD47 的调节剂。
Brain. 2009 Dec;132(Pt 12):3342-52. doi: 10.1093/brain/awp300.
3
MHC class I: an unexpected role in neuronal plasticity.主要组织相容性复合体I类分子:在神经元可塑性中的意外作用。
转录组分析确定铁死亡和NF-κB信号传导参与α-二甲基苯并二氢吡喃酸对小胶质细胞炎症的调节。
J Transl Med. 2025 Mar 4;23(1):260. doi: 10.1186/s12967-025-06296-7.
4
SOX10-Mediated Regulation of Enteric Glial Phenotype in vitro and its Relevance for Neuroinflammatory Disorders.SOX10介导的肠神经胶质细胞表型的体外调控及其与神经炎症性疾病的相关性
J Mol Neurosci. 2025 Feb 21;75(1):26. doi: 10.1007/s12031-025-02321-y.
5
SLC39A10 is a key zinc transporter in T cells and its loss mitigates autoimmune disease.溶质载体家族39成员10(SLC39A10)是T细胞中的一种关键锌转运蛋白,其缺失可减轻自身免疫性疾病。
Sci China Life Sci. 2025 Jul;68(7):1855-1870. doi: 10.1007/s11427-024-2817-y. Epub 2025 Jan 22.
6
Extracellular vesicles epitopes as potential biomarker candidates in patients with traumatic spinal cord injury.细胞外囊泡表位作为创伤性脊髓损伤患者潜在的生物标志物候选物。
Front Immunol. 2024 Nov 27;15:1478786. doi: 10.3389/fimmu.2024.1478786. eCollection 2024.
7
Dysregulated C1q and CD47 in the aging monkey brain: association with myelin damage, microglia reactivity, and cognitive decline.衰老猴脑中失调的 C1q 和 CD47:与髓鞘损伤、小胶质细胞反应和认知能力下降的关联。
Front Immunol. 2024 Sep 27;15:1426975. doi: 10.3389/fimmu.2024.1426975. eCollection 2024.
8
DOR activation in mature oligodendrocytes regulates α-ketoglutarate metabolism leading to enhanced remyelination in aged mice.成熟少突胶质细胞中 DOR 的激活调节 α-酮戊二酸代谢,从而增强老年小鼠的髓鞘再生。
Nat Neurosci. 2024 Nov;27(11):2073-2085. doi: 10.1038/s41593-024-01754-9. Epub 2024 Sep 12.
9
Cortical CD200-CD200R and CD47-SIRPα expression is associated with multiple sclerosis pathology.皮质CD200-CD200R和CD47-SIRPα表达与多发性硬化症病理学相关。
Brain Commun. 2024 Aug 7;6(4):fcae264. doi: 10.1093/braincomms/fcae264. eCollection 2024.
10
Neuroimmune pathways involvement in neurodegeneration of R6/2 mouse model of Huntington's disease.神经免疫途径参与亨廷顿舞蹈病R6/2小鼠模型的神经退行性变。
Front Cell Neurosci. 2024 Feb 20;18:1360066. doi: 10.3389/fncel.2024.1360066. eCollection 2024.
Neuron. 2009 Oct 15;64(1):40-5. doi: 10.1016/j.neuron.2009.09.044.
4
Human myelin proteome and comparative analysis with mouse myelin.人类髓磷脂蛋白质组及其与小鼠髓磷脂的比较分析。
Proc Natl Acad Sci U S A. 2009 Aug 25;106(34):14605-10. doi: 10.1073/pnas.0905936106. Epub 2009 Aug 13.
5
CD47 is an adverse prognostic factor and therapeutic antibody target on human acute myeloid leukemia stem cells.CD47是人类急性髓系白血病干细胞的不良预后因素和治疗性抗体靶点。
Cell. 2009 Jul 23;138(2):286-99. doi: 10.1016/j.cell.2009.05.045.
6
CD47 is upregulated on circulating hematopoietic stem cells and leukemia cells to avoid phagocytosis.CD47在循环造血干细胞和白血病细胞上上调,以避免被吞噬。
Cell. 2009 Jul 23;138(2):271-85. doi: 10.1016/j.cell.2009.05.046.
7
The multiple roles of the innate immune system in the regulation of apoptosis and inflammation in the brain.先天性免疫系统在大脑细胞凋亡和炎症调节中的多重作用。
J Neuropathol Exp Neurol. 2009 Mar;68(3):217-26. doi: 10.1097/NEN.0b013e3181996688.
8
The mystery and magic of glia: a perspective on their roles in health and disease.神经胶质细胞的奥秘与魔力:关于它们在健康与疾病中作用的观点
Neuron. 2008 Nov 6;60(3):430-40. doi: 10.1016/j.neuron.2008.10.013.
9
Proteomic analysis of active multiple sclerosis lesions reveals therapeutic targets.对活动性多发性硬化症病灶的蛋白质组学分析揭示了治疗靶点。
Nature. 2008 Feb 28;451(7182):1076-81. doi: 10.1038/nature06559. Epub 2008 Feb 17.
10
A transcriptome database for astrocytes, neurons, and oligodendrocytes: a new resource for understanding brain development and function.一个针对星形胶质细胞、神经元和少突胶质细胞的转录组数据库:理解大脑发育和功能的新资源。
J Neurosci. 2008 Jan 2;28(1):264-78. doi: 10.1523/JNEUROSCI.4178-07.2008.