Suppr超能文献

Goldenhar 综合征:继发免疫缺陷的原因?

Goldenhar syndrome: a cause of secondary immunodeficiency?

机构信息

Section of Immunology, Allergy and Rheumatology, Department of Medicine, Baylor College of Medicine, Houston, TX, USA.

出版信息

Allergy Asthma Clin Immunol. 2012 Jul 2;8(1):10. doi: 10.1186/1710-1492-8-10.

Abstract

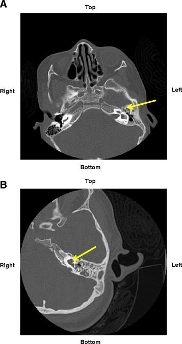
Goldenhar syndrome (GS) results from an aberrant development of the 1st and 2nd branchial arches. There is a wide range of clinical manifestations, the most common being microtia, hemifacial microsomia, epibulbar dermoids and vertebral malformations. We present two cases of GS and secondary immunodeficiency due to anatomical defects characteristic of this disorder. Case 1 (3-year-old female) averaged 6 episodes of sinusitis and otitis media per year. Case 2 (7-year-old female) also had recurrent otitis media, an episode of bacterial pneumonia, and 2 episodes of bacterial meningitis. Their immune evaluation included a complete blood count with differential, serum immunoglobulin levels and specific antibody concentrations, lymphocyte phenotyping, and mitogen and antigen responses, the results of which were all within normal ranges. Both children demonstrated major structural abnormalities of the inner and middle ear structures, retention of fluid in mastoid air cells, and chronic sinusitis by computed tomography. These two cases illustrate how a genetically-associated deviation of the middle ear cleft can cause recurrent infections and chronic inflammation of the middle ear and adjacent sinuses, even meninges, leading to a greatly reduced quality of life for the child and parents.

摘要

Goldenhar 综合征(GS)是由第一和第二鳃弓的异常发育引起的。其临床表现广泛,最常见的是小耳畸形、颜面半侧短小畸形、眼外皮肤肿块和椎体畸形。我们报告了两例 GS 病例,由于该疾病的解剖缺陷导致继发免疫缺陷。病例 1(3 岁女性)平均每年有 6 次鼻窦炎和中耳炎发作。病例 2(7 岁女性)也有反复发作的中耳炎、细菌性肺炎和 2 次细菌性脑膜炎。她们的免疫评估包括全血细胞计数和分类、血清免疫球蛋白水平和特异性抗体浓度、淋巴细胞表型、有丝分裂原和抗原反应,结果均在正常范围内。这两个孩子都表现出中耳结构的主要结构异常、乳突气房积液和慢性鼻窦炎,通过计算机断层扫描显示。这两个病例说明了中耳裂隙的遗传相关偏离如何导致中耳和相邻鼻窦,甚至脑膜的反复感染和慢性炎症,从而导致儿童及其父母的生活质量大大降低。

https://cdn.ncbi.nlm.nih.gov/pmc/blobs/ecaa/3441207/53db75632513/1710-1492-8-10-1.jpg

文献AI研究员

20分钟写一篇综述,助力文献阅读效率提升50倍。

立即体验

用中文搜PubMed

大模型驱动的PubMed中文搜索引擎

马上搜索

文档翻译

学术文献翻译模型,支持多种主流文档格式。

立即体验