• 文献检索
  • 文档翻译
  • 深度研究
  • 学术资讯
  • Suppr Zotero 插件Zotero 插件
  • 邀请有礼
  • 套餐&价格
  • 历史记录
应用&插件
Suppr Zotero 插件Zotero 插件浏览器插件Mac 客户端Windows 客户端微信小程序
定价
高级版会员购买积分包购买API积分包
服务
文献检索文档翻译深度研究API 文档MCP 服务
关于我们
关于 Suppr公司介绍联系我们用户协议隐私条款
关注我们

Suppr 超能文献

核心技术专利:CN118964589B侵权必究
粤ICP备2023148730 号-1Suppr @ 2026

文献检索

告别复杂PubMed语法,用中文像聊天一样搜索,搜遍4000万医学文献。AI智能推荐,让科研检索更轻松。

立即免费搜索

文件翻译

保留排版,准确专业,支持PDF/Word/PPT等文件格式,支持 12+语言互译。

免费翻译文档

深度研究

AI帮你快速写综述,25分钟生成高质量综述,智能提取关键信息,辅助科研写作。

立即免费体验

以动脉瘤性蛛网膜下腔出血为表现的法尔病

Fahr's Disease Presenting with Aneurysmal Subarachnoid Hemorrhage.

作者信息

Al-Jehani Hosam, Ajlan Abdulrazag, Sinclair David

机构信息

Department of Neurology and Neurosurgery, Montreal Neurological Institute and Hospital, McGill University, Montreal, Quebec, Canada.

出版信息

J Clin Imaging Sci. 2012;2:27. doi: 10.4103/2156-7514.96542. Epub 2012 May 23.

DOI:10.4103/2156-7514.96542
PMID:22754741
原文链接:https://pmc.ncbi.nlm.nih.gov/articles/PMC3385502/
Abstract

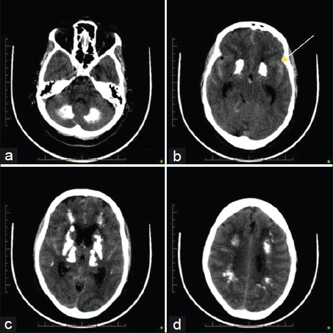
Fahr's disease is a rare disorder of slowly progressive cognitive, psychiatric, and motor decline associated with idiopathic basal ganglia calcification (IBGC) and widespread calcification in the brain and cerebellum. Acute presentation of IBGC is most often as a seizure disorder; however, we present a case of an acute IBCG presentation in which the cause of the deterioration was an aneurysmal subarachnoid hemorrhage.

摘要

法尔氏病是一种罕见的疾病,其特征为认知、精神和运动功能缓慢进行性衰退,与特发性基底节钙化(IBGC)以及大脑和小脑的广泛钙化有关。IBGC的急性表现最常见的是癫痫发作;然而,我们报告了一例急性IBCG表现的病例,其病情恶化的原因是动脉瘤性蛛网膜下腔出血。

https://cdn.ncbi.nlm.nih.gov/pmc/blobs/9a51/3385502/10d9c4ffb84e/JCIS-2-27-g003.jpg
https://cdn.ncbi.nlm.nih.gov/pmc/blobs/9a51/3385502/206801bcc3b7/JCIS-2-27-g002.jpg
https://cdn.ncbi.nlm.nih.gov/pmc/blobs/9a51/3385502/10d9c4ffb84e/JCIS-2-27-g003.jpg
https://cdn.ncbi.nlm.nih.gov/pmc/blobs/9a51/3385502/206801bcc3b7/JCIS-2-27-g002.jpg
https://cdn.ncbi.nlm.nih.gov/pmc/blobs/9a51/3385502/10d9c4ffb84e/JCIS-2-27-g003.jpg

相似文献

1
Fahr's Disease Presenting with Aneurysmal Subarachnoid Hemorrhage.以动脉瘤性蛛网膜下腔出血为表现的法尔病
J Clin Imaging Sci. 2012;2:27. doi: 10.4103/2156-7514.96542. Epub 2012 May 23.
2
Fahr's Disease With Late Onset: A Case Report.迟发性法尔病:一例报告
Cureus. 2022 Mar 19;14(3):e23316. doi: 10.7759/cureus.23316. eCollection 2022 Mar.
3
Fahr's Syndrome Presenting As Pre-senile Dementia With Behavioral Abnormalities: A Rare Case Report.Fahr综合征表现为伴有行为异常的早老性痴呆:1例罕见病例报告
Cureus. 2021 Dec 25;13(12):e20680. doi: 10.7759/cureus.20680. eCollection 2021 Dec.
4
Ischemic stroke in a young patient with Fahr's disease: a case report.法尔氏病年轻患者的缺血性中风:一例报告。
BMC Neurol. 2016 Mar 8;16:33. doi: 10.1186/s12883-016-0557-8.
5
[Idiopathic bilateral basal ganglia calcification (Fahr's disease) presenting with psychotic depression and criminal violence: a case report with forensic aspect].[以精神病性抑郁和犯罪暴力行为为表现的特发性双侧基底节钙化(法尔病):一例具有法医层面意义的病例报告]
Turk Psikiyatri Derg. 2014 Summer;25(2):140-4.
6
Anterior communicating artery aneurysm in a young patient with Fahr's disease: case presentation.年轻 Fahr 病患者的前交通动脉动脉瘤:病例报告。
Br J Neurosurg. 2023 Aug;37(4):878-880. doi: 10.1080/02688697.2019.1690128. Epub 2019 Nov 13.
7
Case Report: An Incidental Finding of Fahr's Disease in a Patient with Hypochondria.病例报告:一名疑病症患者偶然发现患有法尔病。
Cureus. 2018 Dec 1;10(12):e3668. doi: 10.7759/cureus.3668.
8
Aneurysmal subarachnoid hemorrhage with PFBC and beta thalassemia: a case report.伴有 PFBC 和β地中海贫血的颅内动脉瘤性蛛网膜下腔出血:病例报告。
BMC Neurol. 2023 Jan 23;23(1):33. doi: 10.1186/s12883-023-03072-2.
9
Concomitant Fahr's syndrome and thoracic ossification of the posterior longitudinal ligament caused by idiopathic hypoparathyroidism - case report.特发性甲状旁腺功能减退症引起的并发 Fahr 综合征和胸段后纵韧带骨化 - 病例报告。
BMC Musculoskelet Disord. 2019 Aug 7;20(1):362. doi: 10.1186/s12891-019-2747-1.
10
A Rare Case of Fahr's Syndrome in a Patient with Secondary Hypoparathyroidism and Neuropsychiatric Symptoms.一例继发甲状旁腺功能减退并伴有神经精神症状患者的法尔综合征罕见病例。
Innov Clin Neurosci. 2021 Apr-Jun;18(4-6):11-14.

引用本文的文献

1
XPR1 mutation related Fahr's disease presenting with a hemorrhagic stroke: a case report.与XPR1突变相关的法尔病伴出血性卒中:一例报告
Neurol Sci. 2024 Nov;45(11):5531-5533. doi: 10.1007/s10072-024-07677-4. Epub 2024 Jul 2.
2
Primary familial brain calcification in a patient with a novel compound heterozygous mutation in presenting with an acute ischemic stroke: a case report.一名患有新型复合杂合突变的原发性家族性脑钙化患者,以急性缺血性中风为表现:病例报告。
Ann Transl Med. 2022 Apr;10(7):423. doi: 10.21037/atm-21-4883.
3
Fahr's Disease With Intracerebral Hemorrhage at the Uncommon Location: A Case Report.

本文引用的文献

1
Fahr's disease detected on a head CT scan in patient with "epileptic syncope" in the Emergency Department.在急诊科一名患有“癫痫性晕厥”的患者头部CT扫描中发现 Fahr 病。
Intern Emerg Med. 2010 Jun;5(3):263-5. doi: 10.1007/s11739-009-0341-5. Epub 2010 Jan 30.
2
Fahr's disease: a very rare cause of epilepsy.法尔病:一种非常罕见的癫痫病因。
Mymensingh Med J. 2010 Jan;19(1):127-9.
3
[An unusual case of transient loss of consciousness: the Fahr's syndrome].[一例罕见的短暂性意识丧失病例:法尔综合征]
罕见部位脑出血的法尔氏病:一例报告
Ann Rehabil Med. 2019 Apr;43(2):230-233. doi: 10.5535/arm.2019.43.2.230. Epub 2019 Apr 30.
4
Chronic Subdural Hematoma Associated with Fahr Syndrome: A Clinical Association or Just a Simple Coincidence?与法尔综合征相关的慢性硬膜下血肿:一种临床关联还是仅仅是简单的巧合?
Asian J Neurosurg. 2018 Jan-Mar;13(1):90-92. doi: 10.4103/1793-5482.224831.
5
SCL20A2 mutation presenting with acute ischemic stroke: a case report.SCL20A2 突变导致急性缺血性卒中:一例病例报告。
BMC Neurol. 2018 Jan 19;18(1):11. doi: 10.1186/s12883-018-1012-9.
6
Ischemic stroke in a young patient with Fahr's disease: a case report.法尔氏病年轻患者的缺血性中风:一例报告。
BMC Neurol. 2016 Mar 8;16:33. doi: 10.1186/s12883-016-0557-8.
Recenti Prog Med. 2008 Feb;99(2):93-6.
4
Autosomal dominant dystonia-plus with cerebral calcifications.伴有脑钙化的常染色体显性肌张力障碍叠加综合征
Neurology. 2006 Aug 22;67(4):620-5. doi: 10.1212/01.wnl.0000230141.40784.09.
5
What is and what is not 'Fahr's disease'.何为“法尔病”以及何为非“法尔病”。
Parkinsonism Relat Disord. 2005 Mar;11(2):73-80. doi: 10.1016/j.parkreldis.2004.12.001.
6
Histopathology of cerebral aneurysms.脑动脉瘤的组织病理学
Arch Neurol. 1963 Mar;8:272-85. doi: 10.1001/archneur.1963.00460030056005.
7
Case-fatality rates and functional outcome after subarachnoid hemorrhage: a systematic review.蛛网膜下腔出血后的病死率和功能转归:一项系统评价
Stroke. 1997 Mar;28(3):660-4. doi: 10.1161/01.str.28.3.660.