Suppr超能文献

对比超声心动图在重症监护及急诊室中的应用。

Use of contrast echocardiography in intensive care and at the emergency room.

作者信息

Cosyns Bernard, Roossens Bram, Hernot Sophie, El Haddad Philippe, Lignian Herve, Pierard Luc, Lancellotti Patrizio

机构信息

UZ Brussel, Cardiology, Free University of Brussels, Belgium.

出版信息

Curr Cardiol Rev. 2011 Aug;7(3):157-62. doi: 10.2174/157340311798220467.

Abstract

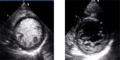
Bedside echocardiography in emergency room (ER) or in intensive care unit (ICU) is an important tool for managing critically ill patients, to obtain a timely accurate diagnosis and to immediately stratify the risk to the patient's life. It may also render invasive monitoring unnecessary. In these patients, contrast echocardiography may improve quality of imaging and also may provide additional information, especially regarding myocardial perfusion in those with suspected coronary artery disease. This article focuses on the principle of contrast echocardiography and the clinical information that can be obtained according to the most frequent presentations in ER and ICU.

摘要

急诊室(ER)或重症监护病房(ICU)中的床旁超声心动图是管理危重症患者的重要工具,有助于及时准确地做出诊断,并立即对患者的生命风险进行分层。它还可能使侵入性监测变得不必要。对于这些患者,超声造影可提高成像质量,还可能提供额外信息,尤其是对于疑似冠心病患者的心肌灌注情况。本文重点介绍超声造影的原理以及根据急诊室和重症监护病房中最常见的表现所能获得的临床信息。

https://cdn.ncbi.nlm.nih.gov/pmc/blobs/7a49/3263480/e77a6ec1855b/CCR-7-157_F1.jpg

相似文献

1
Use of contrast echocardiography in intensive care and at the emergency room.
Curr Cardiol Rev. 2011 Aug;7(3):157-62. doi: 10.2174/157340311798220467.
2
[A Chinese consensus statement on the clinical application of transesophageal echocardiography for critical care (2019)].
Zhonghua Nei Ke Za Zhi. 2019 Dec 1;58(12):869-882. doi: 10.3760/cma.j.issn.0578-1426.2019.12.002.
3
Point-of-Care Echocardiography and Hemodynamic Monitoring in Cirrhosis and Acute-on-Chronic Liver Failure in the COVID-19 Era.
J Intensive Care Med. 2021 May;36(5):511-523. doi: 10.1177/0885066620988281. Epub 2021 Jan 13.
4
Bedside contrast-enhanced sonography of critically ill patients.
J Ultrasound Med. 2014 Sep;33(9):1685-93. doi: 10.7863/ultra.33.9.1685.
5
Use of ultrasound in the ICU.
Best Pract Res Clin Anaesthesiol. 2009 Sep;23(3):249-61. doi: 10.1016/j.bpa.2009.02.010.
6
Bedside echocardiography in critically ill patients.
Einstein (Sao Paulo). 2015 Oct-Dec;13(4):644-6. doi: 10.1590/S1679-45082015MD3271.
7
Ultrasound and Other Advanced Hemodynamic Monitoring Techniques in the Intensive Care Unit.
Surg Clin North Am. 2022 Feb;102(1):37-52. doi: 10.1016/j.suc.2021.09.010.
10
Velocity-Time Integral: A Bedside Echocardiography Technique Finding a Place in the Emergency Department.
J Emerg Med. 2022 Sep;63(3):382-388. doi: 10.1016/j.jemermed.2022.04.012. Epub 2022 Oct 9.

引用本文的文献

1
Ultrasound-guided transfection of claudin-5 improves lung endothelial barrier function in lung injury without impairing innate immunity.
Am J Physiol Lung Cell Mol Physiol. 2023 Aug 1;325(2):L135-L142. doi: 10.1152/ajplung.00107.2023. Epub 2023 Jun 13.
2
Recent technological advancements in cardiac ultrasound imaging.
Ultrasonics. 2018 Mar;84:329-340. doi: 10.1016/j.ultras.2017.11.013. Epub 2017 Nov 23.

本文引用的文献

2
Takotsubo cardiomyopathy: a unique cardiomyopathy with variable ventricular morphology.
JACC Cardiovasc Imaging. 2010 Jun;3(6):641-9. doi: 10.1016/j.jcmg.2010.01.009.
4
5
Reversible coronary microvascular dysfunction: a common pathogenetic mechanism in Apical Ballooning or Tako-Tsubo Syndrome.
Eur Heart J. 2010 Jun;31(11):1319-27. doi: 10.1093/eurheartj/ehq039. Epub 2010 Mar 9.
7
The safety of deFinity and Optison for ultrasound image enhancement: a retrospective analysis of 78,383 administered contrast doses.
J Am Soc Echocardiogr. 2008 Nov;21(11):1202-6. doi: 10.1016/j.echo.2008.07.019. Epub 2008 Oct 10.
8
Safety of contrast-enhanced echocardiography within 24 h after acute myocardial infarction.
Eur J Echocardiogr. 2008 Nov;9(6):816-8. doi: 10.1093/ejechocard/jen167. Epub 2008 Jul 16.
10
Thinking outside the "box"-the ultrasound contrast controversy.
J Am Coll Cardiol. 2007 Dec 18;50(25):2434-7. doi: 10.1016/j.jacc.2007.11.006. Epub 2007 Dec 3.

文献AI研究员

20分钟写一篇综述,助力文献阅读效率提升50倍。

立即体验

用中文搜PubMed

大模型驱动的PubMed中文搜索引擎

马上搜索

文档翻译

学术文献翻译模型,支持多种主流文档格式。

立即体验