Suppr超能文献

MASA综合征:新的临床特征及使用DNA探针的连锁分析

MASA syndrome: new clinical features and linkage analysis using DNA probes.

作者信息

Schrander-Stumpel C, Legius E, Fryns J P, Cassiman J J

机构信息

Department of Genetics and Cell Biology, State University of Limburg, The Netherlands.

出版信息

J Med Genet. 1990 Nov;27(11):688-92. doi: 10.1136/jmg.27.11.688.

Abstract

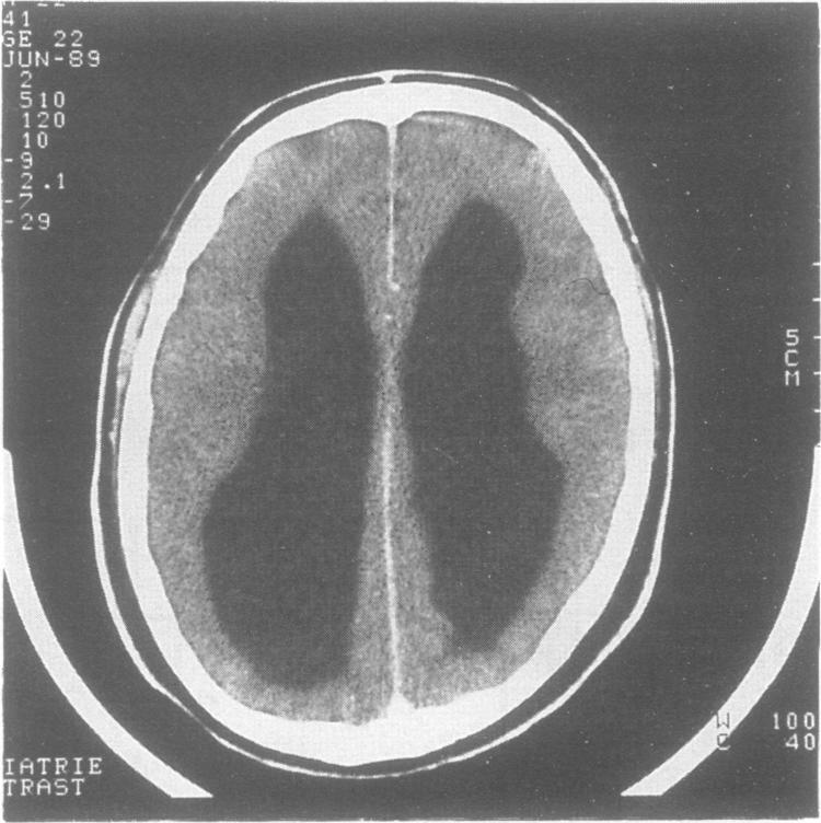
We describe a two generation family in which two males have the X linked recessive MASA syndrome (mental retardation, aphasia, shuffling gait, and adducted thumbs). A third male in this family died at the age of 15 years from congenital hydrocephalus. In the present family cerebral abnormalities are reported for the first time. Linkage analysis confirms the chromosome localisation at Xq28. A crossover between the coagulation factor VIII locus (F8C) and MASA syndrome, but not with DXS52 and DXS305, locates the gene on the same side of F8C as DXS52 and DXS305. The possible relationship between MASA syndrome and X linked hydrocephalus is discussed.

摘要

我们描述了一个两代家族,其中两名男性患有X连锁隐性MASA综合征(智力迟钝、失语、拖曳步态和拇指内收)。该家族中的第三名男性在15岁时死于先天性脑积水。在这个家族中首次报告了脑部异常。连锁分析证实了该基因定位于Xq28。凝血因子VIII基因座(F8C)与MASA综合征之间发生了一次交换,但与DXS52和DXS305没有交换,这将该基因定位在与DXS52和DXS305相同的F8C一侧。讨论了MASA综合征与X连锁脑积水之间可能的关系。

https://cdn.ncbi.nlm.nih.gov/pmc/blobs/d517/1017259/5a309a65abf7/jmedgene00049-0026-a.jpg

文献检索

告别复杂PubMed语法,用中文像聊天一样搜索,搜遍4000万医学文献。AI智能推荐,让科研检索更轻松。

立即免费搜索

文件翻译

保留排版,准确专业,支持PDF/Word/PPT等文件格式,支持 12+语言互译。

免费翻译文档

深度研究

AI帮你快速写综述,25分钟生成高质量综述,智能提取关键信息,辅助科研写作。

立即免费体验