Suppr超能文献

枕动脉血栓形成性创伤性动脉瘤:一例报告并文献复习

Thrombosed traumatic aneurysm of the occipital artery: a case report and review of the literature.

作者信息

Rao Vikas Y, Hwang Steven W, Adesina Adekunle M, Jea Andrew

机构信息

Division of Pediatric Neurosurgery, Texas Children's Hospital, Department of Neurosurgery, Baylor College of Medicine, Houston, TX, USA.

出版信息

J Med Case Rep. 2012 Jul 17;6:203. doi: 10.1186/1752-1947-6-203.

Abstract

INTRODUCTION

Occipital artery aneurysms are very rare vascular lesions. Most cases reported in the literature have been post-traumatic pseudoaneurysms of the occipital artery.

CASE PRESENTATION

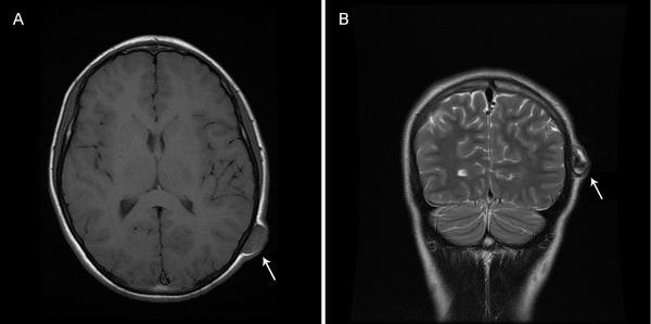
We report the case of a 14-year-old Caucasian boy presented with a painless non-pulsatile scalp mass that developed rapidly after minor blunt head trauma. The scalp mass was excised six months after the trauma. A pathologic diagnosis of a thrombosed true aneurysm was made. Our patient has had no recurrence of the mass at 15 months follow-up.

CONCLUSIONS

We present a case of a true aneurysm of the occipital artery following minor head trauma. We review the literature for similar cases and discuss the difficulty of establishing a diagnosis prior to surgical intervention.

摘要

引言

枕动脉动脉瘤是非常罕见的血管病变。文献中报道的大多数病例为枕动脉创伤后假性动脉瘤。

病例报告

我们报告一例14岁白种男孩,因轻微钝性头部外伤后迅速出现无痛性非搏动性头皮肿块。外伤6个月后切除头皮肿块。病理诊断为血栓形成的真性动脉瘤。在15个月的随访中,我们的患者肿块未复发。

结论

我们报告一例轻微头部外伤后枕动脉真性动脉瘤病例。我们回顾了类似病例的文献,并讨论了手术干预前确诊的困难。

https://cdn.ncbi.nlm.nih.gov/pmc/blobs/e3c4/3464781/e0fadbe1ee27/1752-1947-6-203-1.jpg

文献检索

告别复杂PubMed语法,用中文像聊天一样搜索,搜遍4000万医学文献。AI智能推荐,让科研检索更轻松。

立即免费搜索

文件翻译

保留排版,准确专业,支持PDF/Word/PPT等文件格式,支持 12+语言互译。

免费翻译文档

深度研究

AI帮你快速写综述,25分钟生成高质量综述,智能提取关键信息,辅助科研写作。

立即免费体验