• 文献检索
  • 文档翻译
  • 深度研究
  • 学术资讯
  • Suppr Zotero 插件Zotero 插件
  • 邀请有礼
  • 套餐&价格
  • 历史记录
应用&插件
Suppr Zotero 插件Zotero 插件浏览器插件Mac 客户端Windows 客户端微信小程序
定价
高级版会员购买积分包购买API积分包
服务
文献检索文档翻译深度研究API 文档MCP 服务
关于我们
关于 Suppr公司介绍联系我们用户协议隐私条款
关注我们

Suppr 超能文献

核心技术专利:CN118964589B侵权必究
粤ICP备2023148730 号-1Suppr @ 2026

文献检索

告别复杂PubMed语法,用中文像聊天一样搜索,搜遍4000万医学文献。AI智能推荐,让科研检索更轻松。

立即免费搜索

文件翻译

保留排版,准确专业,支持PDF/Word/PPT等文件格式,支持 12+语言互译。

免费翻译文档

深度研究

AI帮你快速写综述,25分钟生成高质量综述,智能提取关键信息,辅助科研写作。

立即免费体验

1例体外受精/卵胞浆内单精子注射术后未破裂的存活继发性卵巢妊娠经保守性腹腔镜手术治疗的罕见病例。

A rare case of unruptured viable secondary ovarian pregnancy after IVF/ICSI treated by conservative laparoscopic surgery.

作者信息

Dhorepatil Bharti, Rapol Aarti

机构信息

Pune Fertility Center, Shivaji Nagar, Pune, India.

出版信息

J Hum Reprod Sci. 2012 Jan;5(1):61-3. doi: 10.4103/0974-1208.97808.

DOI:10.4103/0974-1208.97808
PMID:22870018
原文链接:https://pmc.ncbi.nlm.nih.gov/articles/PMC3409923/
Abstract

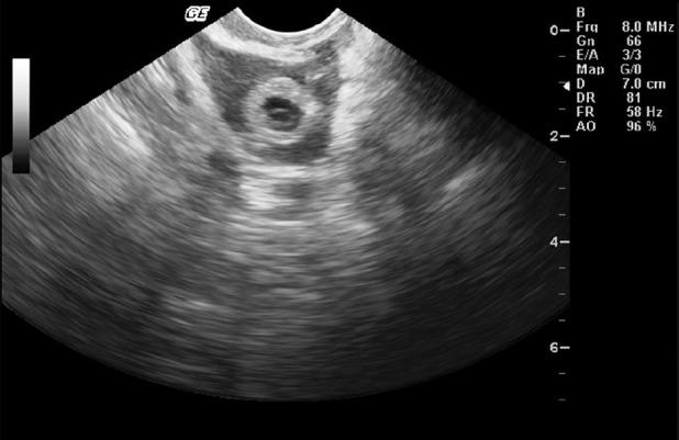
Although the incidence of ectopic pregnancy is on the rise, ovarian pregnancy after in vitro fertilization and embryo transfer is a rare entity. Here, we report a case of unruptured ovarian pregnancy following in-vitro fertilization/intracytoplasmic sperm injection, which was treated by conservative laparoscopic surgery.

摘要

尽管异位妊娠的发生率呈上升趋势,但体外受精和胚胎移植后的卵巢妊娠是一种罕见情况。在此,我们报告一例体外受精/卵胞浆内单精子注射后未破裂的卵巢妊娠病例,该病例通过保守性腹腔镜手术进行了治疗。

https://cdn.ncbi.nlm.nih.gov/pmc/blobs/eea1/3409923/17d917eb7648/JHRS-5-61-g003.jpg
https://cdn.ncbi.nlm.nih.gov/pmc/blobs/eea1/3409923/a2078d17f11a/JHRS-5-61-g001.jpg
https://cdn.ncbi.nlm.nih.gov/pmc/blobs/eea1/3409923/eaeb5d6af2ef/JHRS-5-61-g002.jpg
https://cdn.ncbi.nlm.nih.gov/pmc/blobs/eea1/3409923/17d917eb7648/JHRS-5-61-g003.jpg
https://cdn.ncbi.nlm.nih.gov/pmc/blobs/eea1/3409923/a2078d17f11a/JHRS-5-61-g001.jpg
https://cdn.ncbi.nlm.nih.gov/pmc/blobs/eea1/3409923/eaeb5d6af2ef/JHRS-5-61-g002.jpg
https://cdn.ncbi.nlm.nih.gov/pmc/blobs/eea1/3409923/17d917eb7648/JHRS-5-61-g003.jpg

相似文献

1
A rare case of unruptured viable secondary ovarian pregnancy after IVF/ICSI treated by conservative laparoscopic surgery.1例体外受精/卵胞浆内单精子注射术后未破裂的存活继发性卵巢妊娠经保守性腹腔镜手术治疗的罕见病例。
J Hum Reprod Sci. 2012 Jan;5(1):61-3. doi: 10.4103/0974-1208.97808.
2
Analysis of IVF/ICSI-FET Outcomes in Women With Advanced Endometriosis: Influence on Ovarian Response and Oocyte Competence.分析患有中重度子宫内膜异位症的妇女行 IVF/ICSI-FET 的结局:对卵巢反应和卵母细胞质量的影响。
Front Endocrinol (Lausanne). 2020 Jul 17;11:427. doi: 10.3389/fendo.2020.00427. eCollection 2020.
3
[Study on clinical effect on infertility women with polycystic ovary syndrome treated by in vitro maturation and in vitro fertilization-embryo transfer].[体外成熟与体外受精-胚胎移植治疗多囊卵巢综合征不孕女性的临床效果研究]
Zhonghua Fu Chan Ke Za Zhi. 2012 Apr;47(4):250-4.
4
Effect of treatment of a previous ectopic pregnancy on in vitro fertilization-intracytoplasmic sperm injection outcomes: a retrospective cohort study.既往异位妊娠治疗对体外受精-卵胞浆内单精子注射结局的影响:一项回顾性队列研究
Fertil Steril. 2015 Dec;104(6):1446-51.e1-3. doi: 10.1016/j.fertnstert.2015.08.034. Epub 2015 Sep 25.
5
Side of ovarian endometrioma does not affect the outcome of in vitro fertilization/intracytoplasmic sperm injection in infertile women after laparoscopic cystectomy.腹腔镜囊肿切除术后,卵巢子宫内膜异位囊肿的位置并不影响不孕女性体外受精/卵胞浆内单精子注射的结局。
J Obstet Gynaecol Res. 2015 May;41(5):717-21. doi: 10.1111/jog.12633. Epub 2014 Dec 16.
6
IVF versus ICSI for the fertilization of in-vitro matured human oocytes.体外成熟卵母细胞的 IVF 与 ICSI 受精比较。
Reprod Biomed Online. 2012 Dec;25(6):603-7. doi: 10.1016/j.rbmo.2012.08.001. Epub 2012 Aug 31.
7
[Association of fertilization strategy and embryo transfer time with the incidence of ectopic pregnancy].受精策略及胚胎移植时间与异位妊娠发生率的关联
Zhonghua Nan Ke Xue. 2015 Oct;21(10):913-6.
8
Efficacy and safety of Ding-Kun-Dan for female infertility patients with predicted poor ovarian response undergoing in vitro fertilization/intracytoplasmic sperm injection: study protocol for a randomized controlled trial.定坤丹用于体外受精/卵胞浆内单精子注射治疗中预测卵巢反应不良的女性不孕症患者的疗效与安全性:一项随机对照试验的研究方案
Trials. 2018 Feb 20;19(1):124. doi: 10.1186/s13063-018-2511-0.
9
Bilaterality of ovarian endometriomas does not affect the outcome of in vitro fertilization/intracytoplasmic sperm injection in infertile women after laparoscopic cystectomy.腹腔镜卵巢囊肿剔除术后双侧卵巢子宫内膜异位囊肿并不影响不孕妇女体外受精/卵胞浆内单精子注射的结局。
Biomed J. 2017 Oct;40(5):295-299. doi: 10.1016/j.bj.2017.06.009. Epub 2017 Nov 9.
10
Successful laparoscopic management of a rare complication after embryo transfer: ovarian pregnancy. A case report and up-to-date literature review.成功运用腹腔镜处理胚胎移植后的罕见并发症:卵巢妊娠。病例报告及最新文献综述
Wideochir Inne Tech Maloinwazyjne. 2016 Jan;10(4):574-9. doi: 10.5114/wiitm.2015.55893. Epub 2015 Nov 27.

引用本文的文献

1
Ovarian Pregnancy: 2 Case Reports and a Systematic Review.卵巢妊娠:2例病例报告及系统评价
J Clin Med. 2023 Feb 1;12(3):1138. doi: 10.3390/jcm12031138.
2
An abdominal ectopic pregnancy following a frozen-thawed ART cycle: a case report and review of the literature.冻融胚胎移植周期后发生的腹腔异位妊娠:一例病例报告及文献复习
BMC Pregnancy Childbirth. 2017 Apr 7;17(1):108. doi: 10.1186/s12884-017-1294-8.
3
Ruptured ovarian pregnancy in a primigravida.初孕妇的卵巢妊娠破裂。

本文引用的文献

1
Unruptured ovarian pregnancy following in-vitro fertilization: Missed diagnosis followed by successful laparoscopic management.体外受精后未破裂的卵巢妊娠:漏诊后腹腔镜手术成功治疗
J Hum Reprod Sci. 2008 Jan;1(1):39-41. doi: 10.4103/0974-1208.39596.
2
Failed medical management in ovarian pregnancy despite favorable prognostic factors--a case report.尽管存在有利的预后因素,但卵巢妊娠的药物治疗仍失败——一例病例报告。
MedGenMed. 2006 May 9;8(2):35.
3
Ovarian pregnancy.卵巢妊娠
Int J Appl Basic Med Res. 2015 May-Aug;5(2):151-3. doi: 10.4103/2229-516X.157175.
Am J Obstet Gynecol. 1951 Oct;62(4):920-9. doi: 10.1016/0002-9378(51)90179-2.
4
Analysis of the incidence and risk factors associated with ectopic pregnancy following in-vitro fertilization and embryo transfer.体外受精与胚胎移植后异位妊娠的发生率及相关危险因素分析。
Hum Reprod. 1995 Jan;10(1):199-203. doi: 10.1093/humrep/10.1.199.
5
Reimplantation of a human embryo with subsequent ovarian pregnancy.人类胚胎再植入及随后的卵巢妊娠。
Am J Obstet Gynecol. 1986 Aug;155(2):282-3. doi: 10.1016/0002-9378(86)90809-4.
6
Ovarian pregnancy: a report of twenty cases in one institution.
Am J Obstet Gynecol. 1990 Oct;163(4 Pt 1):1182-5. doi: 10.1016/0002-9378(90)90685-z.