• 文献检索
  • 文档翻译
  • 深度研究
  • 学术资讯
  • Suppr Zotero 插件Zotero 插件
  • 邀请有礼
  • 套餐&价格
  • 历史记录
应用&插件
Suppr Zotero 插件Zotero 插件浏览器插件Mac 客户端Windows 客户端微信小程序
定价
高级版会员购买积分包购买API积分包
服务
文献检索文档翻译深度研究API 文档MCP 服务
关于我们
关于 Suppr公司介绍联系我们用户协议隐私条款
关注我们

Suppr 超能文献

核心技术专利:CN118964589B侵权必究
粤ICP备2023148730 号-1Suppr @ 2026

文献检索

告别复杂PubMed语法,用中文像聊天一样搜索,搜遍4000万医学文献。AI智能推荐,让科研检索更轻松。

立即免费搜索

文件翻译

保留排版,准确专业,支持PDF/Word/PPT等文件格式,支持 12+语言互译。

免费翻译文档

深度研究

AI帮你快速写综述,25分钟生成高质量综述,智能提取关键信息,辅助科研写作。

立即免费体验

下颌髁突骨折治疗的当前概念 第二部分:切开复位与闭合复位

Current Concepts in the Mandibular Condyle Fracture Management Part II: Open Reduction Versus Closed Reduction.

作者信息

Choi Kang-Young, Yang Jung-Dug, Chung Ho-Yun, Cho Byung-Chae

机构信息

Department of Plastic and Reconstructive Surgery, Kyungpook National University School of Medicine, Daegu, Korea.

出版信息

Arch Plast Surg. 2012 Jul;39(4):301-8. doi: 10.5999/aps.2012.39.4.301. Epub 2012 Jul 13.

DOI:10.5999/aps.2012.39.4.301
PMID:22872831
原文链接:https://pmc.ncbi.nlm.nih.gov/articles/PMC3408273/
Abstract

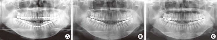
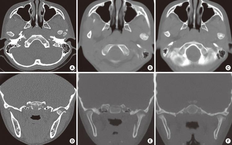
In the treatment of mandibular condyle fracture, conservative treatment using closed reduction or surgical treatment using open reduction can be used. Management of mandibular condylar fractures remains a source of ongoing controversy in oral and maxillofacial trauma. For each type of condylar fracture,the treatment method must be chosen taking into consideration the presence of teeth, fracture height, patient'sadaptation, patient's masticatory system, disturbance of occlusal function, and deviation of the mandible. In the past, closed reduction with concomitant active physical therapy conducted after intermaxillary fixation during the recovery period had been mainly used, but in recent years, open treatment of condylar fractures with rigid internal fixation has become more common. The objective of this review was to evaluate the main variables that determine the choice of an open or closed method for treatment of condylar fractures, identifying their indications, advantages, and disadvantages, and to appraise the current evidence regarding the effectiveness of interventions that are used in the management of fractures of the mandibular condyle.

摘要

在治疗下颌髁突骨折时,可采用闭合复位的保守治疗或切开复位的手术治疗。下颌髁突骨折的处理在口腔颌面创伤领域仍是一个持续存在争议的问题。对于每种类型的髁突骨折,必须考虑牙齿的存在情况、骨折高度、患者适应性、患者咀嚼系统、咬合功能紊乱以及下颌偏斜等因素来选择治疗方法。过去,主要采用在恢复期行颌间固定后进行闭合复位并辅以积极物理治疗的方法,但近年来,采用坚固内固定的髁突骨折切开治疗更为常见。本综述的目的是评估决定髁突骨折开放或闭合治疗方法选择的主要变量,确定其适应证、优点和缺点,并评价目前关于下颌髁突骨折治疗中所用干预措施有效性的证据。

https://cdn.ncbi.nlm.nih.gov/pmc/blobs/e210/3408273/c2342bf177f6/aps-39-301-g005.jpg
https://cdn.ncbi.nlm.nih.gov/pmc/blobs/e210/3408273/3bc0e154388e/aps-39-301-g001.jpg
https://cdn.ncbi.nlm.nih.gov/pmc/blobs/e210/3408273/c5821917e035/aps-39-301-g002.jpg
https://cdn.ncbi.nlm.nih.gov/pmc/blobs/e210/3408273/9e2f10448b68/aps-39-301-g003.jpg
https://cdn.ncbi.nlm.nih.gov/pmc/blobs/e210/3408273/222cfb2bea69/aps-39-301-g004.jpg
https://cdn.ncbi.nlm.nih.gov/pmc/blobs/e210/3408273/c2342bf177f6/aps-39-301-g005.jpg
https://cdn.ncbi.nlm.nih.gov/pmc/blobs/e210/3408273/3bc0e154388e/aps-39-301-g001.jpg
https://cdn.ncbi.nlm.nih.gov/pmc/blobs/e210/3408273/c5821917e035/aps-39-301-g002.jpg
https://cdn.ncbi.nlm.nih.gov/pmc/blobs/e210/3408273/9e2f10448b68/aps-39-301-g003.jpg
https://cdn.ncbi.nlm.nih.gov/pmc/blobs/e210/3408273/222cfb2bea69/aps-39-301-g004.jpg
https://cdn.ncbi.nlm.nih.gov/pmc/blobs/e210/3408273/c2342bf177f6/aps-39-301-g005.jpg

相似文献

1
Current Concepts in the Mandibular Condyle Fracture Management Part II: Open Reduction Versus Closed Reduction.下颌髁突骨折治疗的当前概念 第二部分:切开复位与闭合复位
Arch Plast Surg. 2012 Jul;39(4):301-8. doi: 10.5999/aps.2012.39.4.301. Epub 2012 Jul 13.
2
The treatment of condylar fractures: to open or not to open? A critical review of this controversy.髁突骨折的治疗:切开还是不切开?对这一争议的批判性综述。
Int J Med Sci. 2008;5(6):313-8. doi: 10.7150/ijms.5.313. Epub 2008 Oct 23.
3
Functional Outcomes Of Open Versus Closed Treatment Of Unilateral Mandibular Condylar Fractures.单侧下颌髁突骨折开放治疗与闭合治疗的功能预后
J Ayub Med Coll Abbottabad. 2019 Jan-Mar;31(1):67-71.
4
Inter Maxillary Fixation Versus Open Reduction for the Treatment of Mandibular Condyle Fractures: A Comparative Evaluation.颌间固定与切开复位治疗下颌髁突骨折的比较评估
J Pharm Bioallied Sci. 2021 Jun;13(Suppl 1):S268-S271. doi: 10.4103/jpbs.JPBS_729_20. Epub 2021 Jun 5.
5
Open vs Closed Management of Condylar Fracture Our Experience of 100 Cases in a Suburban Tertiary Care Hospital.髁突骨折的开放与闭合治疗:我们在一家郊区三级护理医院的100例经验
Craniomaxillofac Trauma Reconstr. 2024 Mar;17(1):4-12. doi: 10.1177/19433875221143852. Epub 2022 Dec 13.
6
Endoscope-assisted transoral reduction and internal fixation versus closed treatment of mandibular condylar process fractures--a prospective double-center study.内窥镜辅助经口复位内固定术与下颌髁突骨折闭合治疗的前瞻性双中心研究
J Oral Maxillofac Surg. 2012 Feb;70(2):384-95. doi: 10.1016/j.joms.2011.02.035. Epub 2011 Jun 12.
7
Mandibular motion after closed and open treatment of unilateral mandibular condylar process fractures.单侧下颌髁突骨折闭合与开放治疗后的下颌运动
J Oral Maxillofac Surg. 1999 Jul;57(7):764-75; discussion 775-6. doi: 10.1016/s0278-2391(99)90810-8.
8
Fractures of the mandibular condyle--Open versus closed--A treatment dilemma.下颌髁突骨折——切开复位与闭合复位——治疗难题
J Craniomaxillofac Surg. 2015 May;43(4):448-51. doi: 10.1016/j.jcms.2015.01.012. Epub 2015 Jan 29.
9
Open versus closed treatment for extracapsular fracture of the mandibular condyle.下颌髁突囊外骨折的开放治疗与闭合治疗
J Korean Assoc Oral Maxillofac Surg. 2022 Oct 31;48(5):303-308. doi: 10.5125/jkaoms.2022.48.5.303.
10
Current concepts in the mandibular condyle fracture management part I: overview of condylar fracture.下颌髁突骨折治疗的当前概念 第一部分:髁突骨折概述
Arch Plast Surg. 2012 Jul;39(4):291-300. doi: 10.5999/aps.2012.39.4.291. Epub 2012 Jul 13.

引用本文的文献

1
A "Window" to Protect the Facial Nerve: A Descriptive Cadaveric Study.保护面神经的“窗口”:一项描述性尸体研究
J Maxillofac Oral Surg. 2024 Oct;23(5):1296-1303. doi: 10.1007/s12663-023-02012-4. Epub 2023 Sep 8.
2
Open vs Closed Management of Condylar Fracture Our Experience of 100 Cases in a Suburban Tertiary Care Hospital.髁突骨折的开放与闭合治疗:我们在一家郊区三级护理医院的100例经验
Craniomaxillofac Trauma Reconstr. 2024 Mar;17(1):4-12. doi: 10.1177/19433875221143852. Epub 2022 Dec 13.
3
Treatment Outcome Comparison Between two 3-Dimensional Plates (Y-Shaped Plate Versus Trapezoidal Condylar Plate) in Management of Mandible Condylar Fracture: A Randomized Control Trial.

本文引用的文献

1
Comparative analysis of 2 techniques of double-gloving protection during arch bar placement for intermaxillary fixation.颌间固定时牙弓夹板放置过程中两种双层手套防护技术的对比分析
J Oral Maxillofac Surg. 2007 Oct;65(10):1922-5. doi: 10.1016/j.joms.2006.06.311.
2
Application of intermaxillary fixation screws in maxillofacial trauma.颌间固定螺钉在颌面创伤中的应用。
J Oral Maxillofac Surg. 2007 Sep;65(9):1746-50. doi: 10.1016/j.joms.2007.04.022.
3
Remodelling following condylar fractures in children.儿童髁突骨折后的重塑
两种三维钢板(Y形钢板与髁突梯形钢板)治疗下颌骨髁突骨折的疗效比较:一项随机对照试验
J Maxillofac Oral Surg. 2023 Mar;22(1):25-32. doi: 10.1007/s12663-021-01662-6. Epub 2021 Nov 3.
4
Oral functioning after open versus closed treatment of unilateral condylar neck or base fractures: A two-centre controlled clinical trial.单侧髁颈或髁突基底部骨折切开复位与闭合复位治疗后口腔功能的比较:一项双中心对照临床试验。
J Oral Rehabil. 2023 Mar;50(3):194-202. doi: 10.1111/joor.13403. Epub 2023 Jan 2.
5
Pre-auricular Transparotid Approach for the Management of Mandibular Condylar Fracture: An Experience of 82 Cases.耳前经腮腺入路治疗下颌髁突骨折:82例经验
J Maxillofac Oral Surg. 2022 Sep;21(3):916-922. doi: 10.1007/s12663-021-01565-6. Epub 2021 Apr 24.
6
Long-term Complications of Isolated and Combined Condylar Fractures: A Retrospective Study.孤立性和复合型髁突骨折的长期并发症:一项回顾性研究
Craniomaxillofac Trauma Reconstr. 2022 Sep;15(3):246-252. doi: 10.1177/19433875211026759. Epub 2021 Jun 23.
7
Radiological investigation of acute mandibular injury.急性下颌骨损伤的放射学检查
Natl J Maxillofac Surg. 2022 May-Aug;13(2):165-171. doi: 10.4103/njms.NJMS_27_19. Epub 2022 Jul 15.
8
Mini - Retromandibular access to sub condylar mandibular fractures - Our experience.经下颌后小切口治疗髁突下颌骨骨折——我们的经验
Natl J Maxillofac Surg. 2022 Jan-Apr;13(1):117-120. doi: 10.4103/njms.NJMS_224_20. Epub 2022 Apr 20.
9
Let Bilateral Condylar Fracture Fixation Be the Norm and Not a Choice.让双侧髁突骨折固定成为常规而非一种选择。
Cureus. 2022 May 30;14(5):e25492. doi: 10.7759/cureus.25492. eCollection 2022 May.
10
Comparison of intermaxillary fixation techniques for mandibular fractures with focus on patient experience.以患者体验为重点的下颌骨骨折颌间固定技术比较
Arch Craniofac Surg. 2022 Feb;23(1):23-28. doi: 10.7181/acfs.2021.00549. Epub 2022 Feb 20.
J Craniomaxillofac Surg. 2001 Aug;29(4):232-7. doi: 10.1054/jcms.2001.0228.
4
Clinical evaluation of 3 types of plate osteosynthesis for fixation of condylar neck fractures.三种钢板接骨术用于髁突颈部骨折固定的临床评估
J Oral Maxillofac Surg. 2001 Jul;59(7):734-7; discussion 738. doi: 10.1053/joms.2001.24283.
5
Outcomes of open versus closed treatment of mandibular subcondylar fractures.下颌髁突骨折切开复位与闭合治疗的疗效比较
J Oral Maxillofac Surg. 2001 Apr;59(4):370-5; discussion 375-6. doi: 10.1053/joms.2001.21868.
6
Surgical complications with open treatment of mandibular condylar process fractures.下颌髁突骨折切开治疗的手术并发症
J Oral Maxillofac Surg. 2000 Sep;58(9):950-8. doi: 10.1053/joms.2000.8734.
7
Open reduction of condylar neck fractures with exposure of the facial nerve.
Oral Surg Oral Med Oral Pathol Oral Radiol Endod. 1999 Sep;88(3):292-6. doi: 10.1016/s1079-2104(99)70030-2.
8
Evaluation of condylar neck fracture plating techniques.
J Craniomaxillofac Surg. 1999 Apr;27(2):109-12. doi: 10.1016/s1010-5182(99)80023-7.
9
Open reduction of subcondylar fractures. A study of functional rehabilitation.
Int J Oral Maxillofac Surg. 1996 Apr;25(2):107-11. doi: 10.1016/s0901-5027(96)80052-x.
10
Temporomandibular joint morphology in children after treatment of condylar fractures with functional appliance therapy: a follow-up study us computed tomography.功能性矫治器治疗髁突骨折后儿童颞下颌关节形态:一项使用计算机断层扫描的随访研究
Dentomaxillofac Radiol. 1995 Feb;24(1):37-45. doi: 10.1259/dmfr.24.1.8593906.