Suppr超能文献

一名曾接受乳腺癌和肾细胞癌治疗的女性发生放射性诱导的食管腺癌。

Radiation induced esophageal adenocarcinoma in a woman previously treated for breast cancer and renal cell carcinoma.

作者信息

Raissouni Soundouss, Raissouni Ferdaous, Rais Ghizlane, Aitelhaj Meryem, Lkhoyaali Siham, Latib Rachida, Mohtaram Amina, Rais Fadoua, Mrabti Hind, Kabbaj Nawal, Amrani Naima, Errihani Hassan

机构信息

Medical Oncology Department, National Institute of Oncology, Rabat, Morocco.

出版信息

BMC Res Notes. 2012 Aug 9;5:426. doi: 10.1186/1756-0500-5-426.

Abstract

BACKGROUND

Secondary radiation-induced cancers are rare but well-documented as long-term side effects of radiation in large populations of breast cancer survivors. Multiple neoplasms are rare. We report a case of esophageal adenocarcinoma in a patient treated previously for breast cancer and clear cell carcinoma of the kidney.

CASE PRESENTATION

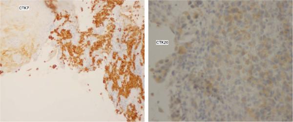
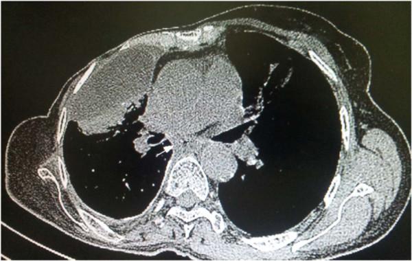
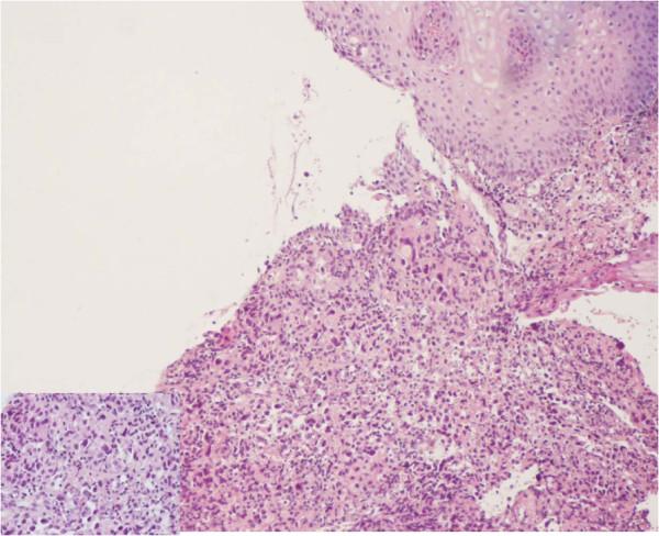
A 56 year-old non smoking woman, with no alcohol intake and no familial history of cancer; followed in the National Institute of Oncology of Rabat Morocco since 1999 for breast carcinoma, presented on consultation on January 2011 with dysphagia. Breast cancer was treated with modified radical mastectomy, 6 courses of chemotherapy based on CMF regimen and radiotherapy to breast, inner mammary chain and to pelvis as castration. Less than a year later, a renal right mass was discovered incidentally. Enlarged nephrectomy realized and showed renal cell carcinoma. A local and metastatic breast cancer recurrence occurred in 2007. Patient had 2 lines of chemotherapy and 2 lines of hormonotherapy with Letrozole and Tamoxifen assuring a stable disease. On January 2011, the patient presented dysphagia. Oesogastric endoscopy showed middle esophagus stenosing mass. Biopsy revealed adenocarcinoma. No evidence of metastasis was noticed on computed tomography and breast disease was controlled. Palliative brachytherapy to esophagus was delivered. Patient presented dysphagia due to progressive disease 4 months later. Jejunostomy was proposed but the patient refused any treatment. She died on July 2011.

CONCLUSION

We present here a multiple neoplasm in a patient with no known family history of cancers. Esophageal carcinoma is most likely induced by radiation. However the presence of a third malignancy suggests the presence of genetic disorders.

摘要

背景

继发性辐射诱发的癌症较为罕见,但在大量乳腺癌幸存者中作为辐射的长期副作用已有充分记录。多发性肿瘤很罕见。我们报告一例曾接受乳腺癌和肾透明细胞癌治疗的患者发生食管腺癌的病例。

病例介绍

一名56岁不吸烟女性,无饮酒史且无癌症家族史;自1999年起在摩洛哥拉巴特国家肿瘤研究所因乳腺癌接受随访,2011年1月因吞咽困难前来就诊。乳腺癌采用改良根治性乳房切除术、基于CMF方案的6个疗程化疗以及对乳房、内乳链和盆腔进行放疗作为去势治疗。不到一年后,偶然发现右肾肿物。实施扩大肾切除术,结果显示为肾细胞癌。2007年发生局部和转移性乳腺癌复发。患者接受了2线化疗和2线激素治疗,使用来曲唑和他莫昔芬,病情稳定。2011年1月,患者出现吞咽困难。食管胃内镜检查显示食管中段有狭窄肿物。活检显示为腺癌。计算机断层扫描未发现转移迹象,乳腺疾病得到控制。对食管进行了姑息性近距离放疗。4个月后,患者因病情进展出现吞咽困难。建议行空肠造口术,但患者拒绝任何治疗。她于2011年7月去世。

结论

我们在此报告一例无已知癌症家族史患者发生的多发性肿瘤。食管癌很可能是由辐射诱发的。然而,第三种恶性肿瘤的存在提示存在遗传紊乱。

https://cdn.ncbi.nlm.nih.gov/pmc/blobs/d12d/3480838/09b91d1fad36/1756-0500-5-426-1.jpg

文献检索

告别复杂PubMed语法,用中文像聊天一样搜索,搜遍4000万医学文献。AI智能推荐,让科研检索更轻松。

立即免费搜索

文件翻译

保留排版,准确专业,支持PDF/Word/PPT等文件格式,支持 12+语言互译。

免费翻译文档

深度研究

AI帮你快速写综述,25分钟生成高质量综述,智能提取关键信息,辅助科研写作。

立即免费体验