Suppr超能文献

调查与南美的沙蝇属(Lutzomyia)雌蝇相关的细菌群落。

Investigation of the bacterial communities associated with females of Lutzomyia sand fly species from South America.

机构信息

Biomedical and Life Sciences, School of Health and Medicine, Lancaster University, Lancaster, United Kingdom.

出版信息

PLoS One. 2012;7(8):e42531. doi: 10.1371/journal.pone.0042531. Epub 2012 Aug 3.

Abstract

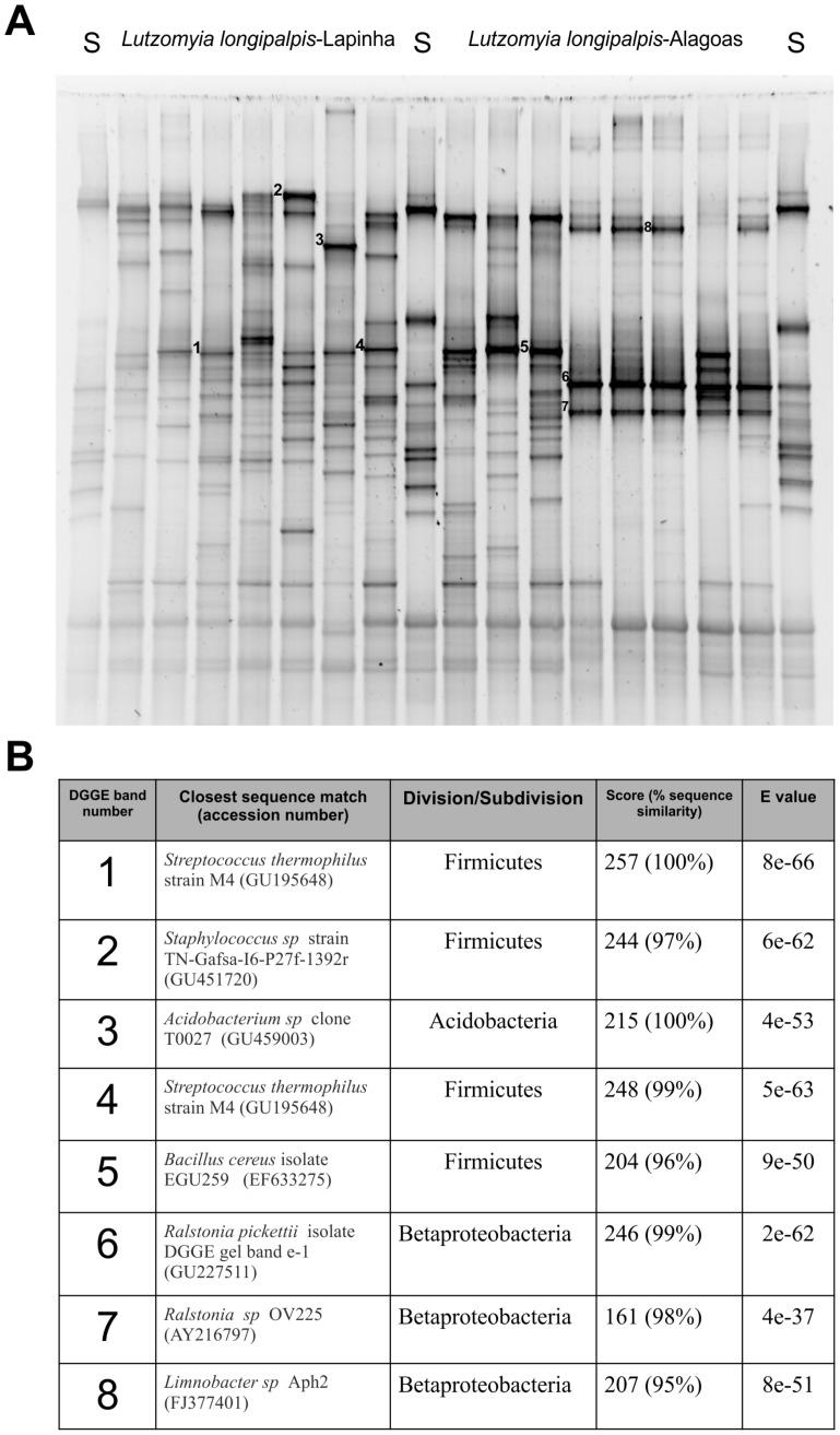
Phlebotomine sand flies are vectors of Leishmania that are acquired by the female sand fly during blood feeding on an infected mammal. Leishmania parasites develop exclusively in the gut lumen during their residence in the insect before transmission to a suitable host during the next blood feed. Female phlebotomine sand flies are blood feeding insects but their life style of visiting plants as well as animals, and the propensity for larvae to feed on detritus including animal faeces means that the insect host and parasite are exposed to a range of microorganisms. Thus, the sand fly microbiota may interact with the developing Leishmania population in the gut. The aim of the study was to investigate and identify the bacterial diversity associated with wild adult female Lutzomyia sand flies from different geographical locations in the New World. The bacterial phylotypes recovered from 16S rRNA gene clone libraries obtained from wild caught adult female Lutzomyia sand flies were estimated from direct band sequencing after denaturing gradient gel electrophoresis of bacterial 16 rRNA gene fragments. These results confirm that the Lutzomyia sand flies contain a limited array of bacterial phylotypes across several divisions. Several potential plant-related bacterial sequences were detected including Erwinia sp. and putative Ralstonia sp. from two sand fly species sampled from 3 geographically separated regions in Brazil. Identification of putative human pathogens also demonstrated the potential for sand flies to act as vectors of bacterial pathogens of medical importance in addition to their role in Leishmania transmission.

摘要

白蛉是利什曼原虫的传播媒介,雌性白蛉在吸食受感染哺乳动物的血液时获得利什曼原虫。利什曼原虫寄生虫在昆虫体内的肠道腔中发育,然后在下一次吸血时传播给合适的宿主。雌性白蛉是吸血昆虫,但它们的生活方式是访问植物和动物,幼虫有吃包括动物粪便在内的碎屑的倾向,这意味着昆虫宿主和寄生虫会暴露于一系列微生物中。因此,白蛉的微生物群可能与肠道中发育中的利什曼原虫种群相互作用。本研究的目的是调查和鉴定来自新世界不同地理位置的野生成年雌性卢氏按蚊中与细菌多样性相关的细菌。从野外捕获的成年雌性卢氏按蚊中获得的细菌 16S rRNA 基因克隆文库中的细菌系统发育类型,是通过细菌 16 rRNA 基因片段变性梯度凝胶电泳后的直接条带测序来估计的。这些结果证实,卢氏按蚊含有多种细菌系统发育类型,分布在多个分类单元中。从巴西三个地理位置不同的地区采集的两种按蚊样本中检测到了几种潜在的与植物相关的细菌序列,包括欧文氏菌属和推定的罗尔斯顿氏菌属。鉴定出的潜在人类病原体也证明了白蛉除了在传播利什曼原虫方面发挥作用外,还有可能成为具有医学重要性的细菌病原体的传播媒介。

https://cdn.ncbi.nlm.nih.gov/pmc/blobs/ecdb/3411800/83d38ed2477e/pone.0042531.g001.jpg

文献AI研究员

20分钟写一篇综述,助力文献阅读效率提升50倍。

立即体验

用中文搜PubMed

大模型驱动的PubMed中文搜索引擎

马上搜索

文档翻译

学术文献翻译模型,支持多种主流文档格式。

立即体验