• 文献检索
  • 文档翻译
  • 深度研究
  • 学术资讯
  • Suppr Zotero 插件Zotero 插件
  • 邀请有礼
  • 套餐&价格
  • 历史记录
应用&插件
Suppr Zotero 插件Zotero 插件浏览器插件Mac 客户端Windows 客户端微信小程序
定价
高级版会员购买积分包购买API积分包
服务
文献检索文档翻译深度研究API 文档MCP 服务
关于我们
关于 Suppr公司介绍联系我们用户协议隐私条款
关注我们

Suppr 超能文献

核心技术专利:CN118964589B侵权必究
粤ICP备2023148730 号-1Suppr @ 2026

文献检索

告别复杂PubMed语法,用中文像聊天一样搜索,搜遍4000万医学文献。AI智能推荐,让科研检索更轻松。

立即免费搜索

文件翻译

保留排版,准确专业,支持PDF/Word/PPT等文件格式,支持 12+语言互译。

免费翻译文档

深度研究

AI帮你快速写综述,25分钟生成高质量综述,智能提取关键信息,辅助科研写作。

立即免费体验

翻译终止效率通过调节 5'短开放阅读框(ORFs)中的 ATF4 mRNA 翻译来调节 ATF4 反应。

Translation termination efficiency modulates ATF4 response by regulating ATF4 mRNA translation at 5' short ORFs.

机构信息

UPMC Univ Paris 06, CNRS-FRE 3402, Biologie de l'ARN, 9 quai Saint Bernard, 75005 Paris, France.

出版信息

Nucleic Acids Res. 2012 Oct;40(19):9557-70. doi: 10.1093/nar/gks762. Epub 2012 Aug 16.

DOI:10.1093/nar/gks762
PMID:22904092
原文链接:https://pmc.ncbi.nlm.nih.gov/articles/PMC3479206/
Abstract

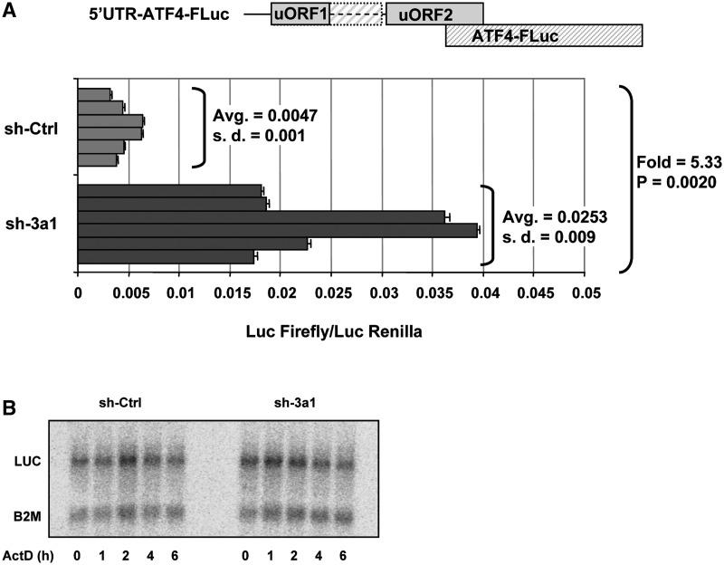
The activating transcription factor 4 (ATF4) promotes transcriptional upregulation of specific target genes in response to cellular stress. ATF4 expression is regulated at the translational level by two short open reading frames (uORFs) in its 5'-untranslated region (5'-UTR). Here, we describe a mechanism regulating ATF4 expression in translation termination-deficient human cells. Using microarray analysis of total RNA and polysome-associated mRNAs, we show that depletion of the eucaryotic release factor 3a (eRF3a) induces upregulation of ATF4 and of ATF4 target genes. We show that eRF3a depletion modifies ATF4 translational control at regulatory uORFs increasing ATF4 ORF translation. Finally, we show that the increase of REDD1 expression, one of the upregulated targets of ATF4, is responsible for the mTOR pathway inhibition in eRF3a-depleted cells. Our results shed light on the molecular mechanisms connecting eRF3a depletion to mammalian target of rapamycin (mTOR) pathway inhibition and give an example of ATF4 activation that bypasses the signal transduction cascade leading to the phosphorylation of eIF2α. We propose that in mammals, in which the 5'-UTR regulatory elements of ATF4 mRNA are strictly conserved, variations in translation termination efficiency allow the modulation of the ATF4 response.

摘要

激活转录因子 4(ATF4)通过其 5'非翻译区(5'-UTR)中的两个短开放阅读框(uORFs)在翻译水平上调节其表达。在这里,我们描述了一种在翻译终止缺陷的人类细胞中调节 ATF4 表达的机制。通过对总 RNA 和多核糖体相关 mRNA 的微阵列分析,我们表明,真核释放因子 3a(eRF3a)的耗竭诱导 ATF4 和 ATF4 靶基因的上调。我们表明,eRF3a 的耗竭改变了 ATF4 翻译的调节 uORFs,增加了 ATF4 ORF 的翻译。最后,我们表明 REDD1 表达的增加,ATF4 的上调靶基因之一,是 eRF3a 耗竭细胞中 mTOR 途径抑制的原因。我们的研究结果阐明了连接 eRF3a 耗竭与哺乳动物雷帕霉素靶蛋白(mTOR)途径抑制的分子机制,并提供了一个绕过导致 eIF2α 磷酸化的信号转导级联激活 ATF4 的例子。我们提出,在哺乳动物中,ATF4 mRNA 的 5'-UTR 调节元件严格保守,翻译终止效率的变化允许 ATF4 反应的调节。

https://cdn.ncbi.nlm.nih.gov/pmc/blobs/76cd/3479206/d4b4c19f691d/gks762f4p.jpg
https://cdn.ncbi.nlm.nih.gov/pmc/blobs/76cd/3479206/f977716b488a/gks762f1p.jpg
https://cdn.ncbi.nlm.nih.gov/pmc/blobs/76cd/3479206/3176ba83b9bd/gks762f2p.jpg
https://cdn.ncbi.nlm.nih.gov/pmc/blobs/76cd/3479206/d53f045390e4/gks762f3p.jpg
https://cdn.ncbi.nlm.nih.gov/pmc/blobs/76cd/3479206/d4b4c19f691d/gks762f4p.jpg
https://cdn.ncbi.nlm.nih.gov/pmc/blobs/76cd/3479206/f977716b488a/gks762f1p.jpg
https://cdn.ncbi.nlm.nih.gov/pmc/blobs/76cd/3479206/3176ba83b9bd/gks762f2p.jpg
https://cdn.ncbi.nlm.nih.gov/pmc/blobs/76cd/3479206/d53f045390e4/gks762f3p.jpg
https://cdn.ncbi.nlm.nih.gov/pmc/blobs/76cd/3479206/d4b4c19f691d/gks762f4p.jpg

相似文献

1
Translation termination efficiency modulates ATF4 response by regulating ATF4 mRNA translation at 5' short ORFs.翻译终止效率通过调节 5'短开放阅读框(ORFs)中的 ATF4 mRNA 翻译来调节 ATF4 反应。
Nucleic Acids Res. 2012 Oct;40(19):9557-70. doi: 10.1093/nar/gks762. Epub 2012 Aug 16.
2
mTORC1 Balances Cellular Amino Acid Supply with Demand for Protein Synthesis through Post-transcriptional Control of ATF4.mTORC1通过对ATF4的转录后调控平衡细胞氨基酸供应与蛋白质合成需求。
Cell Rep. 2017 May 9;19(6):1083-1090. doi: 10.1016/j.celrep.2017.04.042.
3
The RNA Demethylases ALKBH5 and FTO Regulate the Translation of ATF4 mRNA in Sorafenib-Treated Hepatocarcinoma Cells.ALKBH5 和 FTO 等 RNA 去甲基化酶调控索拉非尼处理肝癌细胞中 ATF4 mRNA 的翻译。
Biomolecules. 2024 Aug 1;14(8):932. doi: 10.3390/biom14080932.
4
Divergent effects of translation termination factor eRF3A and nonsense-mediated mRNA decay factor UPF1 on the expression of uORF carrying mRNAs and ribosome protein genes.翻译终止因子 eRF3A 和无义介导的 mRNA 降解因子 UPF1 对携带 uORF 的 mRNA 和核糖体蛋白基因表达的不同影响。
RNA Biol. 2020 Feb;17(2):227-239. doi: 10.1080/15476286.2019.1674595. Epub 2019 Oct 17.
5
Eukaryotic Initiation Factor 5B (eIF5B) Cooperates with eIF1A and eIF5 to Facilitate uORF2-Mediated Repression of ATF4 Translation.真核起始因子 5B (eIF5B) 与 eIF1A 和 eIF5 合作促进 uORF2 介导的 ATF4 翻译抑制。
Int J Mol Sci. 2018 Dec 13;19(12):4032. doi: 10.3390/ijms19124032.
6
Activating transcription factor 4 and CCAAT/enhancer-binding protein-beta negatively regulate the mammalian target of rapamycin via Redd1 expression in response to oxidative and endoplasmic reticulum stress.激活转录因子4和CCAAT/增强子结合蛋白β通过响应氧化应激和内质网应激时Redd1的表达,对雷帕霉素哺乳动物靶标起负调控作用。
Free Radic Biol Med. 2009 Apr 15;46(8):1158-67. doi: 10.1016/j.freeradbiomed.2009.01.015. Epub 2009 Jan 27.
7
Involvement of human release factors eRF3a and eRF3b in translation termination and regulation of the termination complex formation.人类释放因子eRF3a和eRF3b参与翻译终止及终止复合物形成的调控。
Mol Cell Biol. 2005 Jul;25(14):5801-11. doi: 10.1128/MCB.25.14.5801-5811.2005.
8
A Drosophila Reporter for the Translational Activation of ATF4 Marks Stressed Cells during Development.一种用于ATF4翻译激活的果蝇报告基因在发育过程中标记应激细胞。
PLoS One. 2015 May 15;10(5):e0126795. doi: 10.1371/journal.pone.0126795. eCollection 2015.
9
Human eukaryotic release factor 3a depletion causes cell cycle arrest at G1 phase through inhibition of the mTOR pathway.人真核释放因子3a的缺失通过抑制mTOR信号通路导致细胞周期在G1期停滞。
Mol Cell Biol. 2007 Aug;27(16):5619-29. doi: 10.1128/MCB.00035-07. Epub 2007 Jun 11.
10
DENR promotes translation reinitiation via ribosome recycling to drive expression of oncogenes including ATF4.环境与自然资源部通过核糖体循环促进翻译重新起始,以驱动包括激活转录因子4(ATF4)在内的癌基因的表达。
Nat Commun. 2020 Sep 16;11(1):4676. doi: 10.1038/s41467-020-18452-2.

引用本文的文献

1
Recent Advances in Engineering the Unfolded Protein Response in Recombinant Chinese Hamster Ovary Cell Lines.重组中国仓鼠卵巢细胞系中未折叠蛋白反应工程的最新进展
Int J Mol Sci. 2025 Jul 25;26(15):7189. doi: 10.3390/ijms26157189.
2
On the identification of differentially-active transcription factors from ATAC-seq data.从 ATAC-seq 数据中识别差异激活转录因子。
PLoS Comput Biol. 2024 Oct 23;20(10):e1011971. doi: 10.1371/journal.pcbi.1011971. eCollection 2024 Oct.
3
On the identification of differentially-active transcription factors from ATAC-seq data.

本文引用的文献

1
Identification of GCN2 as new redox regulator for oxidative stress prevention in vivo.鉴定 GCN2 为体内氧化应激预防的新的氧化还原调节剂。
Biochem Biophys Res Commun. 2011 Nov 11;415(1):120-4. doi: 10.1016/j.bbrc.2011.10.027. Epub 2011 Oct 12.
2
Phosphorylation of eIF2 facilitates ribosomal bypass of an inhibitory upstream ORF to enhance CHOP translation.磷酸化 eIF2 促进核糖体绕过抑制性上游 ORF,以增强 CHOP 翻译。
J Biol Chem. 2011 Apr 1;286(13):10939-49. doi: 10.1074/jbc.M110.216093. Epub 2011 Feb 1.
3
Amino acid availability controls TRB3 transcription in liver through the GCN2/eIF2α/ATF4 pathway.
基于ATAC-seq数据鉴定差异激活的转录因子
bioRxiv. 2024 Aug 20:2024.03.06.583825. doi: 10.1101/2024.03.06.583825.
4
Cell death or survival: Insights into the role of mRNA translational control.细胞死亡或存活:mRNA 翻译控制作用的新见解。
Semin Cell Dev Biol. 2024 Feb 15;154(Pt B):138-154. doi: 10.1016/j.semcdb.2023.06.006. Epub 2023 Jun 23.
5
Relocalization of Translation Termination and Ribosome Recycling Factors to Stress Granules Coincides with Elevated Stop-Codon Readthrough and Reinitiation Rates upon Oxidative Stress.在氧化应激时,翻译终止和核糖体回收因子向应激颗粒的重新定位与终止密码子通读和重起始率的升高一致。
Cells. 2023 Jan 8;12(2):259. doi: 10.3390/cells12020259.
6
Activating transcription factor 4 regulates hypoxia inducible factor 1α in chronic hypoxia in pancreatic cancer cells.激活转录因子 4 调节胰腺癌细胞慢性缺氧中的缺氧诱导因子 1α。
Oncol Rep. 2023 Jan;49(1). doi: 10.3892/or.2022.8451. Epub 2022 Nov 23.
7
UVB-induced eIF2α phosphorylation in keratinocytes depends on decreased ATF4, GADD34 and CReP expression levels.UVB 诱导角质细胞中 eIF2α 的磷酸化依赖于 ATF4、GADD34 和 CReP 表达水平的降低。
Life Sci. 2021 Dec 1;286:120044. doi: 10.1016/j.lfs.2021.120044. Epub 2021 Oct 9.
8
Divergent effects of translation termination factor eRF3A and nonsense-mediated mRNA decay factor UPF1 on the expression of uORF carrying mRNAs and ribosome protein genes.翻译终止因子 eRF3A 和无义介导的 mRNA 降解因子 UPF1 对携带 uORF 的 mRNA 和核糖体蛋白基因表达的不同影响。
RNA Biol. 2020 Feb;17(2):227-239. doi: 10.1080/15476286.2019.1674595. Epub 2019 Oct 17.
9
Oxidative Stress Triggers Selective tRNA Retrograde Transport in Human Cells during the Integrated Stress Response.氧化应激在人细胞的综合应激反应中触发选择性 tRNA 逆行运输。
Cell Rep. 2019 Mar 19;26(12):3416-3428.e5. doi: 10.1016/j.celrep.2019.02.077.
10
Identification of five genes in endoplasmic reticulum (ER) stress-apoptosis pathways in yellow catfish Pelteobagrus fulvidraco and their transcriptional responses to dietary lipid levels.黄颡鱼内质网(ER)应激-凋亡途径中五个基因的鉴定及其对饲料脂质水平的转录反应
Fish Physiol Biochem. 2019 Jun;45(3):1117-1127. doi: 10.1007/s10695-019-00627-4. Epub 2019 Mar 7.
氨基酸可用性通过 GCN2/eIF2α/ATF4 通路控制肝脏中 TRB3 的转录。
PLoS One. 2010 Dec 21;5(12):e15716. doi: 10.1371/journal.pone.0015716.
4
Transcriptional and post-transcriptional regulation of proangiogenic factors by the unfolded protein response.未折叠蛋白反应对促血管生成因子的转录后调控。
PLoS One. 2010 Sep 2;5(9):e12521. doi: 10.1371/journal.pone.0012521.
5
Both transcriptional regulation and translational control of ATF4 are central to the integrated stress response.转录调控和翻译控制 ATF4 是整合应激反应的核心。
J Biol Chem. 2010 Oct 22;285(43):33165-33174. doi: 10.1074/jbc.M110.167213. Epub 2010 Aug 23.
6
Regulation of basal cellular physiology by the homeostatic unfolded protein response.通过细胞内未折叠蛋白反应的稳态调节来控制基础细胞生理机能。
J Cell Biol. 2010 May 31;189(5):783-94. doi: 10.1083/jcb.201003138.
7
Activation transcription factor-4 and the acute vascular response to injury.激活转录因子 4 与急性血管损伤反应。
J Mol Med (Berl). 2010 Jun;88(6):545-52. doi: 10.1007/s00109-010-0615-4. Epub 2010 Mar 21.
8
Molecular mechanisms involved in the adaptation to amino acid limitation in mammals.哺乳动物适应氨基酸限制的分子机制。
Biochimie. 2010 Jul;92(7):736-45. doi: 10.1016/j.biochi.2010.02.020. Epub 2010 Feb 23.
9
Stress-sensitive regulation of IFRD1 mRNA decay is mediated by an upstream open reading frame.应激敏感调节 IFRD1 mRNA 降解是由一个上游开放阅读框介导的。
J Biol Chem. 2010 Mar 19;285(12):8552-62. doi: 10.1074/jbc.M109.070920. Epub 2010 Jan 15.
10
ATF4-dependent transcription mediates signaling of amino acid limitation.ATF4 依赖性转录介导氨基酸限制的信号转导。
Trends Endocrinol Metab. 2009 Nov;20(9):436-43. doi: 10.1016/j.tem.2009.05.008. Epub 2009 Sep 30.