• 文献检索
  • 文档翻译
  • 深度研究
  • 学术资讯
  • Suppr Zotero 插件Zotero 插件
  • 邀请有礼
  • 套餐&价格
  • 历史记录
应用&插件
Suppr Zotero 插件Zotero 插件浏览器插件Mac 客户端Windows 客户端微信小程序
定价
高级版会员购买积分包购买API积分包
服务
文献检索文档翻译深度研究API 文档MCP 服务
关于我们
关于 Suppr公司介绍联系我们用户协议隐私条款
关注我们

Suppr 超能文献

核心技术专利:CN118964589B侵权必究
粤ICP备2023148730 号-1Suppr @ 2026

文献检索

告别复杂PubMed语法,用中文像聊天一样搜索,搜遍4000万医学文献。AI智能推荐,让科研检索更轻松。

立即免费搜索

文件翻译

保留排版,准确专业,支持PDF/Word/PPT等文件格式,支持 12+语言互译。

免费翻译文档

深度研究

AI帮你快速写综述,25分钟生成高质量综述,智能提取关键信息,辅助科研写作。

立即免费体验

鸟类真咽扁桃体的证据:新几内亚热带鸵鸟和鸵鸟(古颚总目)中的一种新型淋巴器官。

Evidence of a true pharyngeal tonsil in birds: a novel lymphoid organ in Dromaius novaehollandiae and Struthio camelus (Palaeognathae).

机构信息

Department of Anatomy and Physiology, Faculty of Veterinary Science, University of Pretoria, Private Bag X04, Onderstepoort, 0110, South Africa.

出版信息

Front Zool. 2012 Aug 21;9(1):21. doi: 10.1186/1742-9994-9-21.

DOI:10.1186/1742-9994-9-21
PMID:22909013
原文链接:https://pmc.ncbi.nlm.nih.gov/articles/PMC3502113/
Abstract

BACKGROUND

Tonsils are secondary lymphoid organs located in the naso- and oropharynx of most mammalian species. Most tonsils are characterised by crypts surrounded by dense lymphoid tissue. However, tonsils without crypts have also been recognised. Gut-associated lymphoid tissue (GALT), although not well-organised and lacking tonsillar crypts, is abundant in the avian oropharynx and has been referred to as the "pharyngeal tonsil". In this context the pharyngeal folds present in the oropharynx of ratites have erroneously been named the pharyngeal tonsils. This study distinguishes between the different types and arrangements of lymphoid tissue in the pharyngeal region of D. novaehollandiae and S. camelus and demonstrates that both species possess a true pharyngeal tonsil which fits the classical definition of tonsils in mammals.

RESULTS

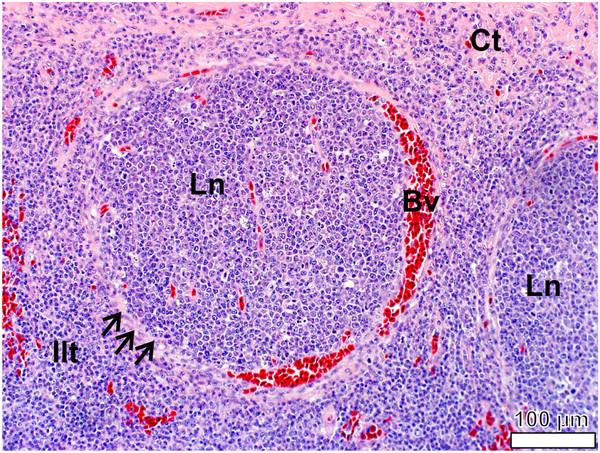
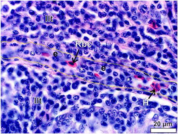
The pharyngeal tonsil (Tonsilla pharyngea) of D. novaehollandiae was located on the dorsal free surface of the pharyngeal folds and covered by a small caudo-lateral extension of the folds whereas in S. camelus the tonsil was similarly located on the dorsal surface of the pharyngeal folds but was positioned retropharyngeally and encapsulated by loose connective tissue. The pharyngeal tonsil in both species was composed of lymph nodules, inter-nodular lymphoid tissue, mucus glands, crypts and intervening connective tissue septa. In S. camelus a shallow tonsillar sinus was present. Aggregated lymph nodules and inter-nodular lymphoid tissue was associated with the mucus glands on the ventral surface of the pharyngeal folds in both species and represented the Lymphonoduli pharyngeales. Similar lymphoid tissue, but more densely packed and situated directly below the epithelium, was present on the dorsal, free surface of the pharyngeal folds and represented a small, non-follicular tonsil.

CONCLUSIONS

The follicular pharyngeal tonsils in D. novaehollandiae and S. camelus are distinct from the pharyngeal folds in these species and perfectly fit the classical mammalian definition of pharyngeal tonsils. The presence of a true pharyngeal tonsil differentiates these two ratite species from other known avian species where similar structures have not been described. The pharyngeal tonsils in these ratites may pose a suitable and easily accessible site for immune response surveillance as indicated by swelling and inflammation of the tonsillar tissue and pharyngeal folds. This would be facilitated by the fact that the heads of these commercially slaughtered ratites are discarded, thus sampling at these sites would not result in financial losses.

摘要

背景

扁桃体是位于大多数哺乳动物的鼻腔和口咽的次级淋巴器官。大多数扁桃体的特征是被致密的淋巴组织包围的隐窝。然而,也有被识别出没有隐窝的扁桃体。肠道相关淋巴组织(GALT),虽然组织不发达且缺乏扁桃体隐窝,但在禽类的口咽中非常丰富,并被称为“咽扁桃体”。在这种情况下,在平胸鸟类的口咽中出现的咽皱襞错误地被命名为咽扁桃体。本研究区分了 D. novaehollandiae 和 S. camelus 咽区的不同类型和排列的淋巴组织,并证明这两个物种都具有真正的咽扁桃体,符合哺乳动物扁桃体的经典定义。

结果

D. novaehollandiae 的咽扁桃体(Tonsilla pharyngea)位于咽皱襞的背侧游离表面,并被皱襞的小尾侧向延伸所覆盖,而在 S. camelus 中,扁桃体同样位于咽皱襞的背侧表面,但位于咽后,并被疏松的结缔组织包裹。这两个物种的咽扁桃体由淋巴小结、小结间淋巴组织、粘液腺、隐窝和中间的结缔组织隔组成。在 S. camelus 中存在一个浅的扁桃体窦。在两个物种的咽皱襞腹侧表面,聚集的淋巴小结和小结间淋巴组织与粘液腺相关,代表咽淋巴小结(Lymphonoduli pharyngeales)。在咽皱襞的背侧游离表面也存在类似的淋巴组织,但更密集地排列并直接位于上皮下方,代表一个小的、无滤泡的扁桃体。

结论

D. novaehollandiae 和 S. camelus 的滤泡性咽扁桃体与这些物种的咽皱襞明显不同,完全符合经典的哺乳动物咽扁桃体的定义。真正的咽扁桃体的存在使这两个平胸鸟类物种与其他已知的禽类物种区分开来,后者没有描述类似的结构。这些平胸鸟类的咽扁桃体可能是一个合适且易于接近的免疫反应监测部位,因为扁桃体组织和咽皱襞的肿胀和炎症表明了这一点。事实上,这些商业屠宰的平胸鸟类的头部被丢弃,因此在这些部位采样不会导致经济损失,这使得这种情况更加便利。

https://cdn.ncbi.nlm.nih.gov/pmc/blobs/0837/3502113/62f9e0e6f019/1742-9994-9-21-14.jpg
https://cdn.ncbi.nlm.nih.gov/pmc/blobs/0837/3502113/1f37aef7ed49/1742-9994-9-21-1.jpg
https://cdn.ncbi.nlm.nih.gov/pmc/blobs/0837/3502113/51944b9c3f0e/1742-9994-9-21-2.jpg
https://cdn.ncbi.nlm.nih.gov/pmc/blobs/0837/3502113/eb621d43b530/1742-9994-9-21-3.jpg
https://cdn.ncbi.nlm.nih.gov/pmc/blobs/0837/3502113/e9aafe171ec3/1742-9994-9-21-4.jpg
https://cdn.ncbi.nlm.nih.gov/pmc/blobs/0837/3502113/cf1b48733949/1742-9994-9-21-5.jpg
https://cdn.ncbi.nlm.nih.gov/pmc/blobs/0837/3502113/36487c200eda/1742-9994-9-21-6.jpg
https://cdn.ncbi.nlm.nih.gov/pmc/blobs/0837/3502113/bed1d0408026/1742-9994-9-21-7.jpg
https://cdn.ncbi.nlm.nih.gov/pmc/blobs/0837/3502113/ca22fa9acf0f/1742-9994-9-21-8.jpg
https://cdn.ncbi.nlm.nih.gov/pmc/blobs/0837/3502113/a23dd7ae66f3/1742-9994-9-21-9.jpg
https://cdn.ncbi.nlm.nih.gov/pmc/blobs/0837/3502113/fece2c8bdf5b/1742-9994-9-21-10.jpg
https://cdn.ncbi.nlm.nih.gov/pmc/blobs/0837/3502113/ddd9861c588b/1742-9994-9-21-11.jpg
https://cdn.ncbi.nlm.nih.gov/pmc/blobs/0837/3502113/e13ba341f845/1742-9994-9-21-12.jpg
https://cdn.ncbi.nlm.nih.gov/pmc/blobs/0837/3502113/62fdf8632daf/1742-9994-9-21-13.jpg
https://cdn.ncbi.nlm.nih.gov/pmc/blobs/0837/3502113/62f9e0e6f019/1742-9994-9-21-14.jpg
https://cdn.ncbi.nlm.nih.gov/pmc/blobs/0837/3502113/1f37aef7ed49/1742-9994-9-21-1.jpg
https://cdn.ncbi.nlm.nih.gov/pmc/blobs/0837/3502113/51944b9c3f0e/1742-9994-9-21-2.jpg
https://cdn.ncbi.nlm.nih.gov/pmc/blobs/0837/3502113/eb621d43b530/1742-9994-9-21-3.jpg
https://cdn.ncbi.nlm.nih.gov/pmc/blobs/0837/3502113/e9aafe171ec3/1742-9994-9-21-4.jpg
https://cdn.ncbi.nlm.nih.gov/pmc/blobs/0837/3502113/cf1b48733949/1742-9994-9-21-5.jpg
https://cdn.ncbi.nlm.nih.gov/pmc/blobs/0837/3502113/36487c200eda/1742-9994-9-21-6.jpg
https://cdn.ncbi.nlm.nih.gov/pmc/blobs/0837/3502113/bed1d0408026/1742-9994-9-21-7.jpg
https://cdn.ncbi.nlm.nih.gov/pmc/blobs/0837/3502113/ca22fa9acf0f/1742-9994-9-21-8.jpg
https://cdn.ncbi.nlm.nih.gov/pmc/blobs/0837/3502113/a23dd7ae66f3/1742-9994-9-21-9.jpg
https://cdn.ncbi.nlm.nih.gov/pmc/blobs/0837/3502113/fece2c8bdf5b/1742-9994-9-21-10.jpg
https://cdn.ncbi.nlm.nih.gov/pmc/blobs/0837/3502113/ddd9861c588b/1742-9994-9-21-11.jpg
https://cdn.ncbi.nlm.nih.gov/pmc/blobs/0837/3502113/e13ba341f845/1742-9994-9-21-12.jpg
https://cdn.ncbi.nlm.nih.gov/pmc/blobs/0837/3502113/62fdf8632daf/1742-9994-9-21-13.jpg
https://cdn.ncbi.nlm.nih.gov/pmc/blobs/0837/3502113/62f9e0e6f019/1742-9994-9-21-14.jpg

相似文献

1
Evidence of a true pharyngeal tonsil in birds: a novel lymphoid organ in Dromaius novaehollandiae and Struthio camelus (Palaeognathae).鸟类真咽扁桃体的证据:新几内亚热带鸵鸟和鸵鸟(古颚总目)中的一种新型淋巴器官。
Front Zool. 2012 Aug 21;9(1):21. doi: 10.1186/1742-9994-9-21.
2
Ultrastructure of the palatine tonsils of the donkey (Equus asinus): New insights by light, scanning, and transmission electron microscopy.驴(Equus asinus)腭扁桃体的超微结构:通过光镜、扫描和透射电子显微镜获得的新见解。
Microsc Res Tech. 2022 Dec;85(12):3793-3803. doi: 10.1002/jemt.24245. Epub 2022 Oct 19.
3
Histological characteristics and stereological volume assessment of the ovine tonsils.绵羊扁桃体的组织学特征及体视学体积评估
Vet Immunol Immunopathol. 2007 Dec 15;120(3-4):124-35. doi: 10.1016/j.vetimm.2007.07.010. Epub 2007 Jul 25.
4
What prevents Struthio camelus and Dromaius novaehollandiae (Palaeognathae) from choking? A novel anatomical mechanism in ratites, the linguo-laryngeal apparatus.鸵鸟和鸸鹋(平胸类)是如何防止窒息的?平胸类鸟类的一种新的解剖学机制——舌-喉装置。
Front Zool. 2012 May 31;9(1):11. doi: 10.1186/1742-9994-9-11.
5
Histological and ultrastructural examinations of porcine tonsils.猪扁桃体的组织学和超微结构检查。
Anat Rec (Hoboken). 2012 Apr;295(4):686-90. doi: 10.1002/ar.21534. Epub 2011 Dec 20.
6
Comparative distribution and arrangement of Herbst corpuscles in the oropharynx of the ostrich (Struthio camelus) and emu (Dromaius novaehollandiae).鸵鸟(Struthio camelus)和鸸鹋(Dromaius novaehollandiae)口咽中赫伯斯特小体的比较分布与排列
Anat Rec (Hoboken). 2014 Jul;297(7):1338-48. doi: 10.1002/ar.22933. Epub 2014 Apr 30.
7
The microanatomy of the palatine tonsils of the one-humped camel (Camelus dromedarius).单峰骆驼(骆驼属单峰驼)腭扁桃体的显微解剖结构。
Anat Rec (Hoboken). 2009 Aug;292(8):1192-7. doi: 10.1002/ar.20948.
8
Histology and scanning electron microscopy of the tubal tonsil of goats.山羊输卵管扁桃体的组织学和扫描电子显微镜观察
Vet World. 2015 Aug;8(8):1011-4. doi: 10.14202/vetworld.2015.1011-1014. Epub 2015 Aug 25.
9
Morphology of the soft palate and palatine tonsil of the goat (Capra hyricus).山羊(Capra hyrcus)软腭和腭扁桃体的形态。
Microsc Res Tech. 2023 Sep;86(9):1091-1098. doi: 10.1002/jemt.24346. Epub 2023 May 16.
10
Stereological assessment of the epithelial surface area of the ovine palatine and pharyngeal tonsils.绵羊腭扁桃体和咽扁桃体上皮表面积的体视学评估。
Anat Histol Embryol. 2008 Oct;37(5):366-8. doi: 10.1111/j.1439-0264.2008.00858.x. Epub 2008 Apr 9.

引用本文的文献

1
Newly described anatomical opening on forelimb tendon in the artiodactyls and its relation to knee clicks.有蹄类前肢肌腱上新描述的解剖学开口及其与膝关节弹响的关系。
Sci Rep. 2022 Mar 14;12(1):4362. doi: 10.1038/s41598-022-08303-z.
2
Molecular Drivers of Lymphocyte Organization in Vertebrate Mucosal Surfaces: Revisiting the TNF Superfamily Hypothesis.脊椎动物黏膜表面淋巴细胞组织的分子驱动因素:重新审视 TNF 超家族假说。
J Immunol. 2020 May 15;204(10):2697-2711. doi: 10.4049/jimmunol.1901059. Epub 2020 Apr 1.
3
Pharyngeal Immunity in Early Vertebrates Provides Functional and Evolutionary Insight into Mucosal Homeostasis.

本文引用的文献

1
Terminology of the tonsils.扁桃体的术语。
Anat Histol Embryol. 2011 Jun;40(3):204-9. doi: 10.1111/j.1439-0264.2010.01060.x. Epub 2011 Feb 25.
2
Locations of gut-associated lymphoid tissue in the 3-month-old chicken: a review.3 月龄鸡肠相关淋巴组织的分布:综述。
Avian Pathol. 2010 Jun;39(3):143-50. doi: 10.1080/03079451003786105.
3
Gross morphology of the intra-oral rhamphotheca, oropharynx and proximal oesophagus of the emu (Dromaius novaehollandiae).鸸鹋(新荷兰鸸鹋)口腔角质鞘、口咽和近端食管的大体形态。
早期脊椎动物的咽免疫为黏膜稳态提供了功能和进化方面的见解。
J Immunol. 2019 Dec 1;203(11):3054-3067. doi: 10.4049/jimmunol.1900863. Epub 2019 Oct 23.
Anat Histol Embryol. 2010 Jun;39(3):207-18. doi: 10.1111/j.1439-0264.2010.00998.x. Epub 2010 Mar 25.
4
Pyloric tonsil as a novel gut-associated lymphoepithelial organ of the chicken.幽门扁桃体作为鸡的一种新型肠道相关淋巴上皮器官。
J Anat. 2007 Sep;211(3):407-11. doi: 10.1111/j.1469-7580.2007.00766.x. Epub 2007 Jun 25.
5
Normal structure, function, and histology of mucosa-associated lymphoid tissue.黏膜相关淋巴组织的正常结构、功能及组织学
Toxicol Pathol. 2006;34(5):599-608. doi: 10.1080/01926230600865531.
6
MALT structure and function in farm animals.农场动物的黏膜相关淋巴组织结构与功能。
Vet Res. 2006 May-Jun;37(3):257-80. doi: 10.1051/vetres:2006001. Epub 2006 Feb 23.
7
The kinematics of feeding and drinking in palaeognathous birds in relation to cranial morphology.古颚类鸟类取食和饮水的运动学与颅骨形态的关系。
J Exp Biol. 2005 Sep;208(Pt 17):3395-407. doi: 10.1242/jeb.01769.
8
Let's go mucosal: communication on slippery ground.让我们深入黏膜层面:在棘手的领域进行交流。
Trends Immunol. 2004 Nov;25(11):570-7. doi: 10.1016/j.it.2004.09.005.
9
Esophageal tonsil: a novel gut-associated lymphoid organ.食管扁桃体:一种新型的肠道相关淋巴器官。
Poult Sci. 2003 May;82(5):767-70. doi: 10.1093/ps/82.5.767.
10
The apical caecal diverticulum of the chicken identified as a lymphoid organ.鸡的盲肠尖憩室被鉴定为一个淋巴器官。
J Anat. 1996 Dec;189 ( Pt 3)(Pt 3):667-72.