Suppr超能文献

共聚焦激光显微内镜在体内诊断和脑肿瘤组织形态成像中的应用。

Confocal laser endomicroscopy for diagnosis and histomorphologic imaging of brain tumors in vivo.

机构信息

Medical Clinic I, University Medical Center, Mainz, Germany.

出版信息

PLoS One. 2012;7(7):e41760. doi: 10.1371/journal.pone.0041760. Epub 2012 Jul 24.

Abstract

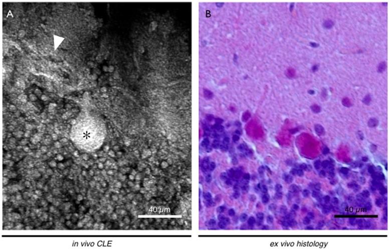
Early detection and evaluation of brain tumors during surgery is crucial for accurate resection. Currently cryosections during surgery are regularly performed. Confocal laser endomicroscopy (CLE) is a novel technique permitting in vivo histologic imaging with miniaturized endoscopic probes at excellent resolution. Aim of the current study was to evaluate CLE for in vivo diagnosis in different types and models of intracranial neoplasia. In vivo histomorphology of healthy brains and two different C6 glioma cell line allografts was evaluated in rats. One cell line expressed EYFP, the other cell line was used for staining with fluorescent dyes (fluorescein, acriflavine, FITC-dextran and Indocyanine green). To evaluate future application in patients, fresh surgical resection specimen of human intracranial tumors (n = 15) were examined (glioblastoma multiforme, meningioma, craniopharyngioma, acoustic neurinoma, brain metastasis, medulloblastoma, epidermoid tumor). Healthy brain tissue adjacent to the samples served as control. CLE yielded high-quality histomorphology of normal brain tissue and tumors. Different fluorescent agents revealed distinct aspects of tissue and cell structure (nuclear pattern, axonal pathways, hemorrhages). CLE discrimination of neoplastic from healthy brain tissue was easy to perform based on tissue and cellular architecture and resemblance with histopathology was excellent. Confocal laser endomicroscopy allows immediate in vivo imaging of normal and neoplastic brain tissue at high resolution. The technology might be transferred to scientific and clinical application in neurosurgery and neuropathology. It may become helpful to screen for tumor free margins and to improve the surgical resection of malignant brain tumors, and opens the door to in vivo molecular imaging of tumors and other neurologic disorders.

摘要

早期发现和评估手术中的脑瘤对于准确切除至关重要。目前,手术中经常进行冷冻切片。共聚焦激光内窥镜检查(CLE)是一种新的技术,允许使用微型内窥镜探头进行体内组织学成像,具有出色的分辨率。本研究的目的是评估 CLE 在不同类型和模型的颅内肿瘤中的体内诊断价值。在大鼠中评估了健康大脑和两种不同 C6 神经胶质瘤细胞系同种异体移植物的体内组织形态学。一种细胞系表达 EYFP,另一种细胞系用于用荧光染料(荧光素、吖啶橙、FITC-葡聚糖和吲哚菁绿)染色。为了评估未来在患者中的应用,检查了新鲜的人类颅内肿瘤(多形性胶质母细胞瘤、脑膜瘤、颅咽管瘤、听神经瘤、脑转移瘤、髓母细胞瘤、表皮样肿瘤)手术切除标本(n=15)。相邻样本的健康脑组织作为对照。CLE 产生了正常脑组织和肿瘤的高质量组织形态学。不同的荧光剂揭示了组织和细胞结构的不同方面(核模式、轴突途径、出血)。根据组织和细胞结构以及与组织病理学的相似性,很容易区分 CLE 中的肿瘤与健康脑组织。共聚焦激光内窥镜检查允许以高分辨率立即对正常和肿瘤脑组织进行体内成像。该技术可能会被转移到神经外科和神经病理学的科学和临床应用中。它可能有助于筛选无肿瘤边缘,并改善恶性脑肿瘤的手术切除,为肿瘤和其他神经疾病的体内分子成像开辟了道路。

https://cdn.ncbi.nlm.nih.gov/pmc/blobs/453e/3404071/b9d0586105aa/pone.0041760.g001.jpg

文献AI研究员

20分钟写一篇综述,助力文献阅读效率提升50倍。

立即体验

用中文搜PubMed

大模型驱动的PubMed中文搜索引擎

马上搜索

文档翻译

学术文献翻译模型,支持多种主流文档格式。

立即体验