Suppr超能文献

利用肿瘤特异性荧光标记的手持式共聚焦激光内镜成像技术来识别实验性胶质瘤细胞。

Handheld confocal laser endomicroscopic imaging utilizing tumor-specific fluorescent labeling to identify experimental glioma cells .

作者信息

Martirosyan Nikolay L, Georges Joseph, Kalani M Yashar S, Nakaji Peter, Spetzler Robert F, Feuerstein Burt G, Preul Mark C

机构信息

Department of Neurosurgery, Barrow Neurological Institute, St. Joseph's Hospital and Medical Center Phoenix, Arizona, USA.

School of Life Sciences, Arizona State University, Tempe, Arizona, USA.

出版信息

Surg Neurol Int. 2016 Dec 12;7(Suppl 40):S995-S1003. doi: 10.4103/2152-7806.195577. eCollection 2016.

Abstract

BACKGROUND

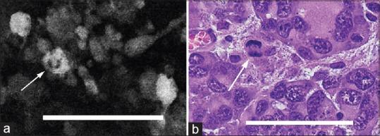
We have reported that handheld confocal laser endomicroscopy (CLE) can be used with various nonspecific fluorescent dyes to improve the microscopic identification of brain tumor and its boundaries. Here, we show that CLE can be used experimentally with tumor-specific fluorescent labeling to define glioma margins .

METHODS

Thirteen rats underwent craniectomy and imaging 21 days after implantation with green fluorescent protein (GFP)-labeled U251 ( = 7) cells or epidermal growth factor receptor (EGFR) overexpressing F98 cells ( = 6). Fluorescein isothiocyanate (FITC) conjugated EGFR fluorescent antibody (FITC-EGFR) was applied for contrast in F98 tumors. Confocal images of normal brain, obvious tumor, and peritumoral zones were collected using the CLE system. Bench-top confocal microscopy and hematoxylin and eosin-stained sections were correlated with CLE images.

RESULTS

GFP and FITC-EGFR fluorescence of glioma cells were detected by visible-wavelength fluorescence CLE. CLE of GFP-labeled tumors revealed bright individual satellite tumor cells within peritumoral tissue, a definitive tumor border, and subcellular structures. Imaging with FITC-EGFR labeling provided weaker contrast in F98-EGFR tumors but was able to delineate tumor cells. Imaging with both methods in various tumor regions correlated with standard confocal imaging and clinical histology.

CONCLUSIONS

These data suggest that CLE of selectively tagged neoplasms could allow specific interactive identification of tumoral areas. Imaging of GFP and FITC-EGFR provides real-time histologic information precisely related to the site of microscopic imaging of tumor.

摘要

背景

我们曾报道,手持式共聚焦激光内镜检查(CLE)可与多种非特异性荧光染料联合使用,以改善脑肿瘤及其边界的显微镜识别。在此,我们表明CLE可通过肿瘤特异性荧光标记在实验中用于界定胶质瘤边界。

方法

13只大鼠在植入绿色荧光蛋白(GFP)标记的U251细胞(n = 7)或过表达表皮生长因子受体(EGFR)的F98细胞(n = 6)21天后接受颅骨切除术并进行成像。将异硫氰酸荧光素(FITC)偶联的EGFR荧光抗体(FITC-EGFR)用于F98肿瘤的对比。使用CLE系统收集正常脑、明显肿瘤和瘤周区域的共聚焦图像。将台式共聚焦显微镜检查以及苏木精和伊红染色切片与CLE图像进行对比。

结果

通过可见波长荧光CLE检测到胶质瘤细胞的GFP和FITC-EGFR荧光。对GFP标记肿瘤进行的CLE显示瘤周组织内有明亮的单个卫星肿瘤细胞、明确的肿瘤边界和亚细胞结构。FITC-EGFR标记成像在F98-EGFR肿瘤中提供的对比度较弱,但能够勾勒出肿瘤细胞。在不同肿瘤区域使用这两种方法进行成像均与标准共聚焦成像和临床组织学相关。

结论

这些数据表明,对选择性标记的肿瘤进行CLE可实现肿瘤区域的特异性交互式识别。GFP和FITC-EGFR成像提供了与肿瘤显微镜成像部位精确相关的实时组织学信息。

https://cdn.ncbi.nlm.nih.gov/pmc/blobs/8790/5234279/393155b9fbc1/SNI-7-995-g001.jpg

文献AI研究员

20分钟写一篇综述,助力文献阅读效率提升50倍。

立即体验

用中文搜PubMed

大模型驱动的PubMed中文搜索引擎

马上搜索

文档翻译

学术文献翻译模型,支持多种主流文档格式。

立即体验