Suppr超能文献

大蚊虹彩病毒衣壳基因的分子克隆、特性分析及表达

Molecular cloning, characterization, and expression of the Tipula iridescent virus capsid gene.

作者信息

Tajbakhsh S, Lee P E, Watson D C, Seligy V L

机构信息

Division of Biological Sciences, National Research Council of Canada, Ottawa, Ontario.

出版信息

J Virol. 1990 Jan;64(1):125-36. doi: 10.1128/JVI.64.1.125-136.1990.

Abstract

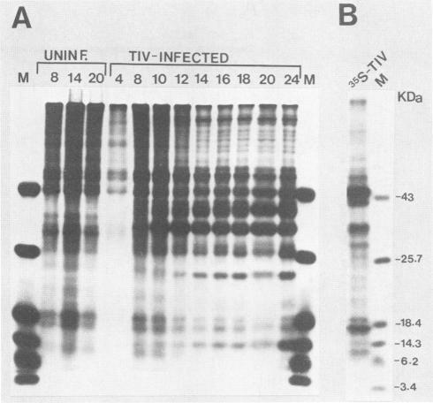
The capsid protein is the major structural component of the icosahedral Tipula iridescent virus (TIV) that replicates in cytoplasmic inclusion bodies of insect cells. TIV capsid protein purified by sodium dodecyl sulfate-polyacrylamide gel electrophoresis was digested with trypsin and fractionated by reverse-phase high-pressure liquid chromatography. A mixed oligonucleotide constructed from the amino acid sequence of a capsid tryptic peptide was used for the identification and cloning of the corresponding gene. The single-copy capsid gene, located on a 2.47-kilobase-pair HindIII TIV genomic fragment, codes for a 464-amino-acid protein (50,831 daltons) with a predicted pI of 6.34. Analysis of total RNA from infected Estigmene acrea cells indicated that the 1.8-kilobase capsid transcript was maximally produced between 14 and 24 h after infection. Transcript mapping by primer extension indicated that the RNA start site was in the A+T-rich TGCTACTAAT sequence, 19 nucleotides upstream from the first ATG codon of the capsid open reading frame. Expression of the TIV capsid protein in infected E. acrea cells was demonstrated by in vivo labeling of total proteins with [35S]methionine, using anti-capsid antiserum as the probe. Capsid protein was also expressed in Escherichia coli cells by using a pUC19 plasmid containing a lacZ-capsid gene fusion.

摘要

衣壳蛋白是在昆虫细胞的细胞质包涵体中复制的二十面体大蚊虹彩病毒(TIV)的主要结构成分。通过十二烷基硫酸钠-聚丙烯酰胺凝胶电泳纯化的TIV衣壳蛋白用胰蛋白酶消化,并用反相高压液相色谱法进行分离。由衣壳胰蛋白酶肽的氨基酸序列构建的混合寡核苷酸用于相应基因的鉴定和克隆。位于2.47千碱基对的HindIII TIV基因组片段上的单拷贝衣壳基因编码一种464个氨基酸的蛋白质(50,831道尔顿),预测的pI为6.34。对感染的黄地老虎细胞的总RNA分析表明,1.8千碱基的衣壳转录本在感染后14至24小时产生最多。通过引物延伸进行转录图谱分析表明,RNA起始位点位于富含A+T的TGCTACTAAT序列中,在衣壳开放阅读框的第一个ATG密码子上游19个核苷酸处。用[35S]甲硫氨酸对总蛋白进行体内标记,以抗衣壳抗血清为探针,证明了TIV衣壳蛋白在感染的黄地老虎细胞中的表达。衣壳蛋白也通过使用含有lacZ-衣壳基因融合体的pUC19质粒在大肠杆菌细胞中表达。

https://cdn.ncbi.nlm.nih.gov/pmc/blobs/0ad5/249063/263bfef765f1/jvirol00056-0142-a.jpg

文献AI研究员

20分钟写一篇综述,助力文献阅读效率提升50倍。

立即体验

用中文搜PubMed

大模型驱动的PubMed中文搜索引擎

马上搜索

文档翻译

学术文献翻译模型,支持多种主流文档格式。

立即体验