• 文献检索
  • 文档翻译
  • 深度研究
  • 学术资讯
  • Suppr Zotero 插件Zotero 插件
  • 邀请有礼
  • 套餐&价格
  • 历史记录
应用&插件
Suppr Zotero 插件Zotero 插件浏览器插件Mac 客户端Windows 客户端微信小程序
定价
高级版会员购买积分包购买API积分包
服务
文献检索文档翻译深度研究API 文档MCP 服务
关于我们
关于 Suppr公司介绍联系我们用户协议隐私条款
关注我们

Suppr 超能文献

核心技术专利:CN118964589B侵权必究
粤ICP备2023148730 号-1Suppr @ 2026

文献检索

告别复杂PubMed语法,用中文像聊天一样搜索,搜遍4000万医学文献。AI智能推荐,让科研检索更轻松。

立即免费搜索

文件翻译

保留排版,准确专业,支持PDF/Word/PPT等文件格式,支持 12+语言互译。

免费翻译文档

深度研究

AI帮你快速写综述,25分钟生成高质量综述,智能提取关键信息,辅助科研写作。

立即免费体验

伴有小脑出血的应激性心肌病样心肌功能障碍。

Takotsubo-like myocardial dysfunction accompanied with cerebellar hemorrhage.

作者信息

Tempaku Akira, Kanda Tsugiyasu

机构信息

Department of General Medicine, Kanazawa Medical University Himi Municipal Hospital, 31-9 Saiwai-cho, Toyama, Himi 935-8531, Japan.

出版信息

Case Rep Neurol Med. 2012;2012:306171. doi: 10.1155/2012/306171. Epub 2012 Aug 2.

DOI:10.1155/2012/306171
PMID:22953089
原文链接:https://pmc.ncbi.nlm.nih.gov/articles/PMC3420634/
Abstract

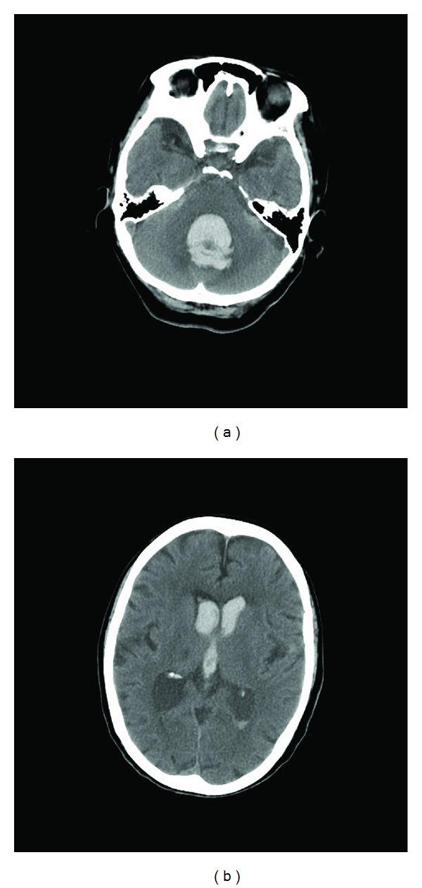
We report a 71-year-old woman with takotsubo-like myocardial dysfunction accompanied with cerebellar hemorrhage. On admission time, although she was unconscious by cerebellar hemorrhage, no obvious heart failure and serological disorder were observed. Three days later, operation for extraventricular drainage was performed. However, conscious level did not change. Four days after admission, the change of electrocardiogram wave pattern and the decrement of heart wall motion were detected. These findings revealed takotsubo-like myocardial dysfunction had occurred. Physical stresses by cerebellar hemorrhage and cranial operation might cause cardiac disorder. This is a remarkable case of takotsubo-like myocardial dysfunction, which is brought about cerebellar hemorrhage against subarachnoid hemorrhage.

摘要

我们报告了一名71岁女性,患有类似应激性心肌病的心肌功能障碍并伴有小脑出血。入院时,尽管她因小脑出血而昏迷,但未观察到明显的心力衰竭和血清学紊乱。三天后,进行了脑室外引流手术。然而,意识水平并未改变。入院四天后,检测到心电图波形变化和心壁运动减弱。这些发现表明发生了类似应激性心肌病的心肌功能障碍。小脑出血和开颅手术引起的身体应激可能导致心脏疾病。这是一例由小脑出血而非蛛网膜下腔出血引发的类似应激性心肌病的显著病例。

https://cdn.ncbi.nlm.nih.gov/pmc/blobs/383f/3420634/e05071f26412/CRIM.NM2012-306171.002.jpg
https://cdn.ncbi.nlm.nih.gov/pmc/blobs/383f/3420634/b75a91b0e031/CRIM.NM2012-306171.001.jpg
https://cdn.ncbi.nlm.nih.gov/pmc/blobs/383f/3420634/e05071f26412/CRIM.NM2012-306171.002.jpg
https://cdn.ncbi.nlm.nih.gov/pmc/blobs/383f/3420634/b75a91b0e031/CRIM.NM2012-306171.001.jpg
https://cdn.ncbi.nlm.nih.gov/pmc/blobs/383f/3420634/e05071f26412/CRIM.NM2012-306171.002.jpg

相似文献

1
Takotsubo-like myocardial dysfunction accompanied with cerebellar hemorrhage.伴有小脑出血的应激性心肌病样心肌功能障碍。
Case Rep Neurol Med. 2012;2012:306171. doi: 10.1155/2012/306171. Epub 2012 Aug 2.
2
Inverted (Reverse) Takotsubo Cardiomyopathy following Cerebellar Hemorrhage.小脑出血后倒置型(反向型)应激性心肌病
Case Rep Cardiol. 2014;2014:781926. doi: 10.1155/2014/781926. Epub 2014 Mar 11.
3
Acute Subarachnoid Hemorrhage and Cardiac Abnormalities: Takotsubo Cardiomyopathy or Neurogenic Stunned Myocardium? a case report.急性蛛网膜下腔出血与心脏异常:应激性心肌病还是神经源性心肌顿抑?一例报告
Cases J. 2010 Feb 20;3:81. doi: 10.1186/1757-1626-3-81.
4
Takotsubo cardiomyopathy secondary to intracranial hemorrhage.颅内出血继发的应激性心肌病
Int J Emerg Med. 2014 Sep 4;7:33. doi: 10.1186/s12245-014-0033-4. eCollection 2014.
5
Serious takotsubo cardiomyopathy: an autopsy case presenting severe irreversible myocardial damage after frequent episodes of recurrence.严重应激性心肌病:频繁复发后出现严重不可逆心肌损伤的尸检病例。
Diagn Pathol. 2020 Jul 21;15(1):90. doi: 10.1186/s13000-020-01006-x.
6
Stress cardiomyopathy with an "inverse" takotsubo pattern in a patient with acute aneurysmal subarachnoid hemorrhage.一名急性动脉瘤性蛛网膜下腔出血患者出现具有“反向”章鱼壶样模式的应激性心肌病。
Echocardiography. 2013 Sep;30(8):E224-6. doi: 10.1111/echo.12266. Epub 2013 Jun 6.
7
A Case of Takotsubo Cardiomyopathy with a Rare Transition Pattern of Left Ventricular Wall Motion Abnormality.一例伴有罕见左心室壁运动异常转变模式的应激性心肌病病例。
Am J Case Rep. 2020 Oct 9;21:e926670. doi: 10.12659/AJCR.926670.
8
Ampulla (takotsubo) cardiomyopathy associated with subarachnoid hemorrhage worsening in the late phase of vasospasm--case report.与蛛网膜下腔出血相关的壶腹(应激性)心肌病在血管痉挛后期恶化——病例报告
Neurol Med Chir (Tokyo). 2004 Feb;44(2):72-4. doi: 10.2176/nmc.44.72.
9
Takotsubo-like syndrome triggered by fludrocortisone overdose for Addison's disease: a case report.氟氢可的松过量引发的艾迪生病类Takotsubo综合征:一例病例报告
J Med Case Rep. 2016 Oct 12;10(1):281. doi: 10.1186/s13256-016-1074-5.
10
Takotsubo cardiomyopathy following subarachnoid haemorrhage.蛛网膜下腔出血后应激性心肌病
Pract Neurol. 2014 Aug;14(4):252-5. doi: 10.1136/practneurol-2013-000629. Epub 2013 Oct 7.

引用本文的文献

1
A case of thalamic hemorrhage with takotsubo cardiomyopathy.一例伴有应激性心肌病的丘脑出血病例。
Acute Med Surg. 2014 Apr 30;1(3):176-180. doi: 10.1002/ams2.34. eCollection 2014 Jul.
2
Medulla Oblongata Hemorrhage and Reverse Takotsubo Cardiomyopathy.延髓出血与反向 Takotsubo 心肌病。
Neurocrit Care. 2018 Dec;29(3):508-511. doi: 10.1007/s12028-017-0482-8.

本文引用的文献

1
Cerebellar haemorrhage triggered Takotsubo-like left ventricular dysfunction syndrome.
Int J Cardiol. 2011 Sep 15;151(3):e85-7. doi: 10.1016/j.ijcard.2010.06.001. Epub 2010 Jul 2.
2
[Takotsubo cardiomyopathy and cerebral infarction].[应激性心肌病与脑梗死]
Rinsho Shinkeigaku. 2009 Apr;49(4):158-66. doi: 10.5692/clinicalneurol.49.158.
3
Subarachnoid haemorrhage associated with midventricular Tako-Tsubo syndrome.蛛网膜下腔出血伴中间部室壁瘤 Takotsubo 综合征。
Int J Cardiol. 2011 Jan 21;146(2):e46-8. doi: 10.1016/j.ijcard.2009.03.079. Epub 2009 Apr 9.
4
Takotsubo cardiomyopathy in acute ischemic stroke.急性缺血性卒中合并应激性心肌病
Ann Neurol. 2008 Nov;64(5):547-54. doi: 10.1002/ana.21459.
5
Cerebral hemorrhage: precipitating event for a tako-tsubo-like cardiomyopathy?脑出血:应激性心肌病样心肌病的诱发事件?
Clin Cardiol. 2008 Jun;31(6):275-80. doi: 10.1002/clc.20165.
6
Regional alterations in myocardial sympathetic innervation in patients with transient left-ventricular apical ballooning (Tako-Tsubo cardiomyopathy).短暂性左心室心尖气球样变(应激性心肌病)患者心肌交感神经支配的区域改变
J Nucl Cardiol. 2008 Jan-Feb;15(1):65-72. doi: 10.1016/j.nuclcard.2007.08.005. Epub 2007 Oct 29.
7
Guidelines for diagnosis of takotsubo (ampulla) cardiomyopathy.Takotsubo(壶腹)心肌病的诊断指南。
Circ J. 2007 Jun;71(6):990-2. doi: 10.1253/circj.71.990.
8
Tako-tsubo cardiomyopathy in aneurysmal subarachnoid hemorrhage: an underappreciated ventricular dysfunction.动脉瘤性蛛网膜下腔出血中的应激性心肌病:一种未被充分认识的心室功能障碍。
J Neurosurg. 2006 Aug;105(2):264-70. doi: 10.3171/jns.2006.105.2.264.
9
Tako-tsubo cardiomyopathy: reversible heart failure with favorable outcome in patients with intracerebral hemorrhage. Case report.
J Neurosurg. 2006 Sep;105(3):465-7. doi: 10.3171/jns.2006.105.3.465.
10
The brain and the heart.大脑和心脏。
Anesth Analg. 2006 Sep;103(3):522-6. doi: 10.1213/01.ane.0000229719.39592.8c.