Suppr超能文献

基于远边缘追踪(DET)的强度调制质子治疗(IMPT)中,降低因摆位不确定性导致剂量变化的能裕量策略。

The energy margin strategy for reducing dose variation due to setup uncertainty in intensity modulated proton therapy (IMPT) delivered with distal edge tracking (DET).

机构信息

Department of Radiation Oncology,1 The Cancer Institute of New Jersey, UMDNJ-Robert Wood Johnson Medical School, New Brunswick, NJ 08901,USA.

出版信息

J Appl Clin Med Phys. 2012 Sep 6;13(5):3863. doi: 10.1120/jacmp.v13i5.3863.

Abstract

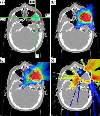
Intensity-modulated proton therapy (IMPT) can produce plans with similar target dose conformity but lower normal tissue dose than intensity-modulated X-ray therapy (IMXT). However, due to the finite range of proton beams in tissue, proton therapy treatment plans are usually more sensitive to setup uncertainties than X-ray therapy plans. In this work, the energy margin (EM) concept, which was initially developed for passive scattering proton therapy, was generalized to apply to IMPT treatment planning. The effectiveness of the EM method was evaluated on five head-and-neck cancer patients with distal edge tracking (DET) treatment plans by comparing the original plans (ORG) without an EM to those with an EM. Three beam arrangements were considered: 24 beams delivered over a 360° arc, 12 beams delivered over a 180° arc, and 12 beams delivered over two 90° fan angles. Setup uncertainty was modeled by sampling rigid translational shifts from a Gaussian distribution with a mean of 0 mm and standard deviation of 2 mm in all directions. Delivered dose distributions for all 30 fractions were recalculated using the Geant4 Monte Carlo code. Normalized total dose (NTD) for both the CTV and a ring structure surrounding the PTV were recorded. The plan quality comparison revealed that EM plans had the same CTV coverage but higher dose to the normal tissue than ORG plans. After the simulated delivery, ORG plans resulted in more than 3% underdosage to 5% of the CTV volume in all three beam arrangements, whereas the EM plans did not. Both ORG and EM plans did not produce more than 5% overdose to D2% of the ring structure. The use of an EM for IMPT treatment planning can substantially reduce sensitivity of the resulting dose distributions to setup uncertainty.

摘要

调强质子治疗(IMPT)可以产生具有相似靶区适形度但正常组织剂量更低的计划,优于调强 X 射线治疗(IMXT)。然而,由于质子束在组织中的有限射程,质子治疗计划通常比 X 射线治疗计划对设置不确定性更为敏感。在这项工作中,最初为被动散射质子治疗开发的能量余量(EM)概念被推广应用于 IMPT 治疗计划。通过比较没有 EM 的原始计划(ORG)和有 EM 的计划,评估了 EM 方法在 5 例采用远边缘跟踪(DET)治疗计划的头颈部癌症患者中的有效性。考虑了三种射束排列:24 束在 360°弧上分布,12 束在 180°弧上分布,12 束在两个 90°扇形角上分布。设置不确定性通过从均值为 0mm、标准差为 2mm 的各向同性高斯分布中采样刚性平移位移来建模。使用 Geant4 蒙特卡罗代码重新计算所有 30 个分次的传递剂量分布。记录了 CTV 和 PTV 周围的环形结构的归一化总剂量(NTD)。计划质量比较表明,EM 计划具有相同的 CTV 覆盖度,但对正常组织的剂量高于 ORG 计划。在模拟传递后,在所有三种射束排列中,ORG 计划导致超过 3%的 CTV 体积剂量不足 5%,而 EM 计划没有。ORG 计划和 EM 计划都没有导致环形结构的 D2%超过 5%的过量剂量。在 IMPT 治疗计划中使用 EM 可以大大降低剂量分布对设置不确定性的敏感性。

https://cdn.ncbi.nlm.nih.gov/pmc/blobs/7ad1/5718234/10ccdd6711ea/ACM2-13-170-g001.jpg

文献检索

告别复杂PubMed语法,用中文像聊天一样搜索,搜遍4000万医学文献。AI智能推荐,让科研检索更轻松。

立即免费搜索

文件翻译

保留排版,准确专业,支持PDF/Word/PPT等文件格式,支持 12+语言互译。

免费翻译文档

深度研究

AI帮你快速写综述,25分钟生成高质量综述,智能提取关键信息,辅助科研写作。

立即免费体验