• 文献检索
  • 文档翻译
  • 深度研究
  • 学术资讯
  • Suppr Zotero 插件Zotero 插件
  • 邀请有礼
  • 套餐&价格
  • 历史记录
应用&插件
Suppr Zotero 插件Zotero 插件浏览器插件Mac 客户端Windows 客户端微信小程序
定价
高级版会员购买积分包购买API积分包
服务
文献检索文档翻译深度研究API 文档MCP 服务
关于我们
关于 Suppr公司介绍联系我们用户协议隐私条款
关注我们

Suppr 超能文献

核心技术专利:CN118964589B侵权必究
粤ICP备2023148730 号-1Suppr @ 2026

文献检索

告别复杂PubMed语法,用中文像聊天一样搜索,搜遍4000万医学文献。AI智能推荐,让科研检索更轻松。

立即免费搜索

文件翻译

保留排版,准确专业,支持PDF/Word/PPT等文件格式,支持 12+语言互译。

免费翻译文档

深度研究

AI帮你快速写综述,25分钟生成高质量综述,智能提取关键信息,辅助科研写作。

立即免费体验

基于血供的犬肛门直肠自体移植模型的建立:初步病例报告。

The development of a canine anorectal autotransplantation model based on blood supply: a preliminary case report.

机构信息

Department of Plastic Surgery, University of Tokyo, Tokyo, Japan.

出版信息

PLoS One. 2012;7(9):e44310. doi: 10.1371/journal.pone.0044310. Epub 2012 Sep 6.

DOI:10.1371/journal.pone.0044310
PMID:22970198
原文链接:https://pmc.ncbi.nlm.nih.gov/articles/PMC3435401/
Abstract

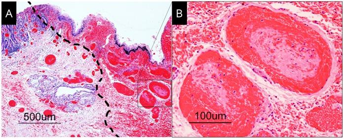
Colostomy is conventionally the only treatment for anal dysfunction. Recently, a few trials of anorectal transplantation in animals have been published; however, further development of this technique is required. Moreover, it is crucial to perform this research in dogs, which resemble humans in anorectal anatomy and biology. We designed a canine anorectal transplantation model, wherein anorectal autotransplantation was performed by anastomoses of the rectum, inferior mesenteric artery (IMA) and vein, and pudendal nerves. Resting pressure in the anal canal and anal canal pressure fluctuation were measured before and after surgery. Graft pathology was examined three days after surgery. The anal blood supply was compared with that in three beagles using indocyanine green (ICG) fluorescence angiography. The anorectal graft had sufficient arterial blood supply from the IMA; however, the graft's distal end was congested and necrotized. Functional examination demonstrated reduced resting pressure and the appearance of an irregular anal canal pressure wave after surgery. ICG angiography showed that the pudendal arteries provided more blood flow than the IMA to the anal segment. This is the first canine model of preliminary anorectal autotransplantation, and it demonstrates the possibility of establishing a transplantation model in dogs using appropriate vascular anastomoses, thus contributing to the progress of anorectal transplantation.

摘要

肠造口术通常是治疗肛门功能障碍的唯一方法。最近,已经有一些关于动物直肠肛门移植的试验发表;然而,这项技术还需要进一步的发展。此外,在与人类肛门解剖和生物学相似的犬类身上进行这项研究至关重要。我们设计了一种犬直肠肛门移植模型,通过直肠、肠系膜下动脉(IMA)和静脉以及阴部神经的吻合进行直肠肛门自体移植。在手术前后测量肛门静息压和肛门压力波动。术后 3 天检查移植物病理。使用吲哚菁绿(ICG)荧光血管造影术比较了 3 只比格犬的肛门血液供应。直肠肛门移植物有来自 IMA 的充足动脉血液供应;然而,移植物的远端充血和坏死。功能检查表明,手术后静息压降低,肛门压力波出现不规则。ICG 血管造影显示,阴部动脉向肛门段提供的血流多于 IMA。这是初步的犬直肠肛门自体移植模型,它证明了通过适当的血管吻合建立犬直肠肛门移植模型的可能性,从而推动了直肠肛门移植的发展。

https://cdn.ncbi.nlm.nih.gov/pmc/blobs/3509/3435401/389142c794cf/pone.0044310.g005.jpg
https://cdn.ncbi.nlm.nih.gov/pmc/blobs/3509/3435401/eec69ad51822/pone.0044310.g001.jpg
https://cdn.ncbi.nlm.nih.gov/pmc/blobs/3509/3435401/c21c1551667c/pone.0044310.g002.jpg
https://cdn.ncbi.nlm.nih.gov/pmc/blobs/3509/3435401/c54054dead79/pone.0044310.g003.jpg
https://cdn.ncbi.nlm.nih.gov/pmc/blobs/3509/3435401/5dd975082983/pone.0044310.g004.jpg
https://cdn.ncbi.nlm.nih.gov/pmc/blobs/3509/3435401/389142c794cf/pone.0044310.g005.jpg
https://cdn.ncbi.nlm.nih.gov/pmc/blobs/3509/3435401/eec69ad51822/pone.0044310.g001.jpg
https://cdn.ncbi.nlm.nih.gov/pmc/blobs/3509/3435401/c21c1551667c/pone.0044310.g002.jpg
https://cdn.ncbi.nlm.nih.gov/pmc/blobs/3509/3435401/c54054dead79/pone.0044310.g003.jpg
https://cdn.ncbi.nlm.nih.gov/pmc/blobs/3509/3435401/5dd975082983/pone.0044310.g004.jpg
https://cdn.ncbi.nlm.nih.gov/pmc/blobs/3509/3435401/389142c794cf/pone.0044310.g005.jpg

相似文献

1
The development of a canine anorectal autotransplantation model based on blood supply: a preliminary case report.基于血供的犬肛门直肠自体移植模型的建立:初步病例报告。
PLoS One. 2012;7(9):e44310. doi: 10.1371/journal.pone.0044310. Epub 2012 Sep 6.
2
Anorectal autotransplantation in a canine model: the first successful report in the short term with the non-laparotomy approach.犬模型中的肛门直肠自体移植:非开腹手术方法短期首次成功报告。
Sci Rep. 2014 Sep 10;4:6312. doi: 10.1038/srep06312.
3
Anorectal transplantation in human cadavers: mock anorectal allotransplantation.人体尸体肛门直肠移植:模拟肛门直肠同种异体移植。
PLoS One. 2013 Jul 11;8(7):e68977. doi: 10.1371/journal.pone.0068977. Print 2013.
4
Functional outcome of autologous anorectal transplantation in an experimental model.自体肛门直肠移植在实验模型中的功能结果。
Br J Surg. 2015 Apr;102(5):558-62. doi: 10.1002/bjs.9762. Epub 2015 Feb 18.
5
Experimental model of anorectal transplantation.肛门直肠移植实验模型
Br J Surg. 2000 Nov;87(11):1534-9. doi: 10.1046/j.1365-2168.2000.01557.x.
6
Anorectal Transplantation: The First Long-term Success in a Canine Model.直肠移植:犬模型中首例长期成功。
Ann Surg. 2022 Apr 1;275(4):e636-e644. doi: 10.1097/SLA.0000000000004141.
7
Vascularized anal autotransplantation model in rats: preliminary report.大鼠带血管蒂肛门自体移植模型:初步报告。
Transplant Proc. 2011 Nov;43(9):3552-6. doi: 10.1016/j.transproceed.2011.08.042.
8
[Current status of anorectal transplantation and issues for clinical application for stoma patients].
Nihon Geka Gakkai Zasshi. 2015 Mar;116(2):114-8.
9
Anorectal transplantation.肛肠移植
Tech Coloproctol. 2009 Mar;13(1):55-9. doi: 10.1007/s10151-009-0459-5. Epub 2009 Mar 14.
10
[Vascular anatomy of the anorectal transition].
Langenbecks Arch Chir. 1989;374(4):245-50. doi: 10.1007/BF01359561.

引用本文的文献

1
Multivisceral transplantation of pelvic organs in rats.大鼠盆腔器官多脏器移植
Front Surg. 2023 Apr 20;10:1086651. doi: 10.3389/fsurg.2023.1086651. eCollection 2023.
2
Identification of intra-abdominal lymphatics in canine carcasses by laparoscopic fluorescence lymphography with intradermal and intrapopliteal ICG administration.腹腔镜荧光淋巴造影术经皮内和胫前皮下注射 ICG 显影鉴定犬尸腹腔内淋巴管。
PLoS One. 2020 Nov 12;15(11):e0241992. doi: 10.1371/journal.pone.0241992. eCollection 2020.
3
ICG fluorescence imaging for quantitative evaluation of colonic perfusion in laparoscopic colorectal surgery.

本文引用的文献

1
Indocyanine green fluorescence imaging for evaluation of uterine blood flow in cynomolgus macaque.吲哚菁绿荧光成像评估食蟹猴子宫血流
PLoS One. 2012;7(4):e35124. doi: 10.1371/journal.pone.0035124. Epub 2012 Apr 20.
2
Vascularized anal autotransplantation model in rats: preliminary report.大鼠带血管蒂肛门自体移植模型:初步报告。
Transplant Proc. 2011 Nov;43(9):3552-6. doi: 10.1016/j.transproceed.2011.08.042.
3
Intestinal transplantation including anorectal segment in the rat.大鼠包括肛门直肠段的肠道移植。
ICG 荧光成像定量评估腹腔镜结直肠手术中结肠灌注
Surg Endosc. 2017 Oct;31(10):4184-4193. doi: 10.1007/s00464-017-5475-3. Epub 2017 Mar 9.
4
Allogeneic anorectal transplantation in rats: technical considerations and preliminary results.大鼠同种异体肛门直肠移植:技术要点与初步结果
Sci Rep. 2016 Aug 4;6:30894. doi: 10.1038/srep30894.
5
Anorectal autotransplantation in a canine model: the first successful report in the short term with the non-laparotomy approach.犬模型中的肛门直肠自体移植:非开腹手术方法短期首次成功报告。
Sci Rep. 2014 Sep 10;4:6312. doi: 10.1038/srep06312.
6
Anorectal transplantation in human cadavers: mock anorectal allotransplantation.人体尸体肛门直肠移植:模拟肛门直肠同种异体移植。
PLoS One. 2013 Jul 11;8(7):e68977. doi: 10.1371/journal.pone.0068977. Print 2013.
Microsurgery. 2012 Jan;32(1):77-9. doi: 10.1002/micr.20958. Epub 2011 Oct 17.
4
The first successful lower extremity transplantation: 6-year follow-up and implications for cortical plasticity.首例成功的下肢移植:6 年随访结果及对皮质可塑性的启示。
Am J Transplant. 2011 Dec;11(12):2762-7. doi: 10.1111/j.1600-6143.2011.03782.x. Epub 2011 Oct 12.
5
Uterus autotransplantation in cynomolgus macaques: intraoperative evaluation of uterine blood flow using indocyanine green.恒河猴子宫自体移植:使用吲哚菁绿评估子宫血流的术中评估。
Hum Reprod. 2011 Nov;26(11):3019-27. doi: 10.1093/humrep/der276. Epub 2011 Sep 6.
6
Vascular anastomosis using controlled phase transitions in poloxamer gels.利用泊洛沙姆凝胶的控制相转变进行血管吻合。
Nat Med. 2011 Aug 28;17(9):1147-52. doi: 10.1038/nm.2424.
7
Bilateral trans-humeral arm transplantation: result at 2 years.双侧肱骨移植术:2 年随访结果。
Am J Transplant. 2011 May;11(5):1085-90. doi: 10.1111/j.1600-6143.2011.03503.x.
8
Long-term follow-up in composite tissue allotransplantation: in-depth study of five (hand and face) recipients.复合组织同种异体移植的长期随访:五名(手和脸)受者的深入研究。
Am J Transplant. 2011 Apr;11(4):808-16. doi: 10.1111/j.1600-6143.2011.03469.x.
9
An innovative sphincter preserving pull-through technique with en bloc colon and small bowel transplantation.一种具有整块结肠和小肠移植的创新性保肛拉通技术。
Am J Transplant. 2010 Aug;10(8):1940-6. doi: 10.1111/j.1600-6143.2010.03167.x. Epub 2010 Jul 15.
10
Tracheal allotransplantation after withdrawal of immunosuppressive therapy.免疫抑制剂治疗停药后的气管同种异体移植。
N Engl J Med. 2010 Jan 14;362(2):138-45. doi: 10.1056/NEJMoa0810653.